相关产品推荐更多 >
万千商家帮你免费找货
0 人在求购买到急需产品
- 详细信息
- 询价记录
- 文献和实验
- 技术资料
- 供应商:
上海联迈生物工程有限公司
- 库存:
大量
- 目录编号:
LM-5012R
- 克隆性:
多克隆
- 抗原来源:
Rabbit
- 保质期:
1年
- 抗体英文名:
PYGM
- 抗体名:
肌肉糖原磷酸化酶抗体
- 宿主:
Rabbit
- 适应物种:
Human, Mouse, Rat, Dog, Pig, Cow, Horse, Sheep,
- 免疫原:
KLH conjugated synthetic peptide derived from human PYGM:401-500/842
- 亚型:
IgG
- 形态:
Lyophilized or Liquid
- 应用范围:
WB=1:500-2000 ELISA=1:500-1000 IHC-P=1:400-800 IHC-F=1:400-800 IF=1:100-500 (石蜡切片需做抗原修复)
- 浓度:
1mg/ml
- 保存条件:
Store at -20 °C
- 规格:
100ul 200ul
| 英文名称 | PYGM |
| 中文名称 | 肌肉糖原磷酸化酶抗体 |
| 别 名 | Glycogen phosphorylase muscle form; Muscpho; Myophosphorylase; Phosphorylase glycogen muscle (McArdle syndrome glycogen storage disease type V); PYGM_HUMAN. |
| 规格价格 | 100ul/1380元 购买 200ul/2200元 购买 大包装/询价 |
| 说 明 书 | 100ul 200ul |
| 研究领域 | 肿瘤 细胞生物 免疫学 转录调节因子 糖蛋白 |
| 抗体来源 | Rabbit |
| 克隆类型 | Polyclonal |
| 交叉反应 | Human, Mouse, Rat, Dog, Pig, Cow, Horse, Sheep, |
| 产品应用 | WB=1:500-2000 ELISA=1:500-1000 IHC-P=1:400-800 IHC-F=1:400-800 IF=1:100-500 (石蜡切片需做抗原修复) not yet tested in other applications. optimal dilutions/concentrations should be determined by the end user. |
| 分 子 量 | 97kDa |
| 细胞定位 | 细胞浆 细胞外基质 |
| 性 状 | Lyophilized or Liquid |
| 浓 度 | 1mg/ml |
| 免 疫 原 | KLH conjugated synthetic peptide derived from human PYGM:401-500/842 |
| 亚 型 | IgG |
| 纯化方法 | affinity purified by Protein A |
| 储 存 液 | 0.01M TBS(pH7.4) with 1% BSA, 0.03% Proclin300 and 50% Glycerol. |
| 保存条件 | Store at -20 °C for one year. Avoid repeated freeze/thaw cycles. The lyophilized antibody is stable at room temperature for at least one month and for greater than a year when kept at -20°C. When reconstituted in sterile pH 7.4 0.01M PBS or diluent of antibody the antibody is stable for at least two weeks at 2-4 °C. |
| PubMed | PubMed |
| 产品介绍 | background: Phosphorylase is an important allosteric enzyme in carbohydrate metabolism. Enzymes from different sources differ in their regulatory mechanisms and in their natural substrates. However, all known phosphorylases share catalytic and structural properties. Function: Phosphorylase is an important allosteric enzyme in carbohydrate metabolism. Enzymes from different sources differ in their regulatory mechanisms and in their natural substrates. However, all known phosphorylases share catalytic and structural properties. Subunit: Homodimer. Dimers associate into a tetramer to form the enzymatically active phosphorylase A. Post-translational modifications: Phosphorylation of Ser-15 converts phosphorylase B (unphosphorylated) to phosphorylase A. DISEASE: Defects in PYGM are the cause of glycogen storage disease type 5 (GSD5) [MIM:232600]; also known as McArdle disease. GSD5 is a metabolic disorder resulting in myopathy characterized by exercise intolerance, cramps, muscle weakness and recurrent myoglobinuria. Similarity: Belongs to the glycogen phosphorylase family. SWISS: P11217 Gene ID: 5837 Database links: Entrez Gene: 5837 Human Entrez Gene: 19309 Mouse Entrez Gene: 24701 Rat Omim: 608455 Human SwissProt: P11217 Human SwissProt: Q9WUB3 Mouse SwissProt: P09812 Rat Unigene: 154084 Human Unigene: 27806 Mouse Unigene: 11238 Rat Important Note: This product as supplied is intended for research use only, not for use in human, therapeutic or diagnostic applications. |
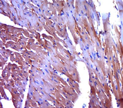
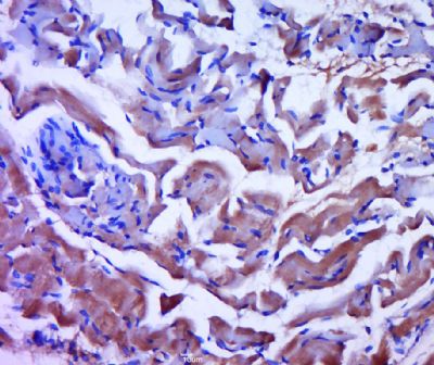
| 产品图片 | ![]() Paraformaldehyde-fixed, paraffin embedded (rat heart tissue); Antigen retrieval by boiling in sodium citrate buffer (pH6.0) for 15min; Block endogenous peroxidase by 3% hydrogen peroxide for 20 minutes; Blocking buffer (normal goat serum) at 37°C for 30min; Antibody incubation with (PYGM) Polyclonal Antibody, Unconjugated (bs-5012R) at 1:400 overnight at 4°C, followed by a conjugated secondary (sp-0023) for 20 minutes and DAB staining. ![]() Paraformaldehyde-fixed, paraffin embedded (rat bladder tissue); Antigen retrieval by boiling in sodium citrate buffer (pH6.0) for 15min; Block endogenous peroxidase by 3% hydrogen peroxide for 20 minutes; Blocking buffer (normal goat serum) at 37°C for 30min; Antibody incubation with (PYGM) Polyclonal Antibody, Unconjugated (bs-5012R) at 1:400 overnight at 4°C, followed by a conjugated secondary (sp-0023) for 20 minutes and DAB staining. |
风险提示:丁香通仅作为第三方平台,为商家信息发布提供平台空间。用户咨询产品时请注意保护个人信息及财产安全,合理判断,谨慎选购商品,商家和用户对交易行为负责。对于医疗器械类产品,请先查证核实企业经营资质和医疗器械产品注册证情况。
- 作者
- 内容
- 询问日期
文献和实验Mol Cell:黄波团队揭示糖原代谢调控记忆性 T 细胞早期应答反应
途径产生 NADPH,NADPH 维持细胞内氧化还原稳态,保证 Tm 细胞二次激活反应时的高质量和高活性。 糖原磷酸化酶(Glycogen phosphorylase,PYG)是糖原分解反应的关键酶,催化糖原裂解为 1 磷酸葡萄糖,具有三种亚型(PYGL,Liver;PYGM, Muscle;PYGB, Brain)。本研究发现 PYGB 在 T 细胞中高表达。 重要的是,PYG 一直被认为通过其丝氨酸磷酸化而发挥活性功能;本研究还首次发现 TCR 的下游信号分子 ZAP70/LCK 能够
糖原积累病 glycogen storage disease,glycogenosis
球;Ⅴ型:肌肉糖原磷酸化酶异常,也称为 McArdle病,患病器官为横纹肌;Ⅵ型:肝糖原磷酸化酶异常,也称为 Hers病,患病器官为肝和白肉球;Ⅶ型:肌肉果糖磷酸激酶异常,也称为 Tarui病,患病器官为横纹肌和白血球;Ⅷ型:肝磷酸化酶激酶异常,主要侵犯肝、白血球及红血球。糖原的结构Ⅲ型及Ⅳ型异常,而其它型都正常。Ⅰ -Ⅶ型为常染色体隐性遗传,Ⅷ型分伴性遗传和常染色体性遗传两个型。
是体内唯一降血糖的激素。 1,促进肌肉,脂肪细胞载体转运葡萄糖入内,2, 糖原磷酸化酶活性降低(通过对蛋白激酶A的抑制); 糖原合酶的活性升高(激活糖原合酶脱磷酸酶),加速肝,肌肉糖原的合成,3,通过第二信使间接激活丙酮酸脱氢酶(丙酮酸从胞液到乙酰CoA的反应,部位是线粒体),加速丙酮酸氧化脱羧成为乙酰CoA, 4, 抑制磷酸烯醇式丙酮酸羧激酶活性, 促进氨基酸进入肌肉合成蛋白质,从而降低糖异生。降低血糖。 5, 减少脂肪组织动员脂肪酸,促进糖有氧氧化。 B 胰高血糖素 胰腺α细胞分泌的。 升高
技术资料暂无技术资料 索取技术资料












