万千商家帮你免费找货
0 人在求购买到急需产品
- 详细信息
- 技术资料
- 库存:
大量
- 靶点:
OLFM4
- 克隆性:
多克隆
- 抗原来源:
Rabbit
- 抗体英文名:
Anti-OLFM4
- 抗体名:
抗细胞凋亡蛋白OLFM44抗体
- 标记物:
HRP,AKP
- 宿主:
人,兔,羊,牛,狗等
- 适应物种:
Human, Mouse, Rat, Dog, Pig, Cow, Rabbit
- 免疫原:
KLH conjugated synthetic peptide derived from human OLFM4
- 亚型:
IgG
- 形态:
冻干或液体
- 应用范围:
WB,ELISA,IP,ICC等
- 浓度:
1mg/1ml
- 保存条件:
-20 °C
- 规格:
0.2ml/200μg
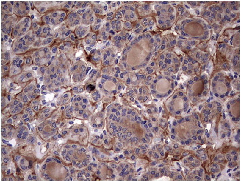
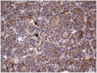
抗细胞凋亡蛋白OLFM44抗体产品介绍:
英文名称 Anti-OLFM4
中文名称 抗细胞凋亡蛋白OLFM44抗体
别 名 Antiapoptotic protein GW112; G-CSF-stimulated clone 1 protein; GC1; GW112; hGC 1; hGC-1; hOLfD; olfactomedin 4; Olfactomedin-4; OlfD; OLFM4; OLFM4_HUMAN; OLM4.
浓 度 1mg/1ml
规 格 0.2ml/200μg
抗体来源 Rabbit
克隆类型 polyclonal
交叉反应 Human, Mouse, Rat, Dog, Pig, Cow, Rabbit
产品类型 一抗
研究领域 肿瘤 肿瘤细胞生物标志物
蛋白分子量 predicted molecular weight:55kDa
性 状 Lyophilized or Liquid
免 疫 原 KLH conjugated synthetic peptide derived from human OLFM4
亚 型 IgG
纯化方法 affinity purified by Protein A
储 存 液 Preservative: 15mM Sodium Azide, Constituents: 1% BSA, 0.01M PBS, pH 7.4
产品应用 WB=1:100-500 ELISA=1:500-1000 IP=1:20-100 IHC-P=1:100-500 IHC-F=1:100-500 IF=1:100-500
抗细胞凋亡蛋白OLFM44抗体订购说明:
※关于产品的详细说明书、价格信息,请来电获取;
※关于运输,我司支持各种快递,具体采用什么快递,我们会满足客户的要求,此外,我们还会根据产品的性状采取特殊的保护方式,以减少运输途中的损坏情况;
※关于产品包装,我司支持进口原装,也能按照客户的要求进行分装;
※关于售后,客户在收到货后,先检查产品包装情况,有无破损情况,然后可以按照严格的操作流程,在无菌环境下检测产品质量本身,如有上述疑似情况,请及时联系我司销售部;
※关于技术服务,我司可为您提供抗体标记服务,以及其他检测服务,此外,如遇技术问题,我司还能为您提供答疑解惑的咨询服务。
抗体分子标记技术:
一、氯胺T法
1.用1.5 mi Ependof管,加10u1抗体及pH7.5的0.5mo1/L磷酸钠缓冲液总体积至25μ1
2.加500uCi的Na125I,混匀;
3.加25u12mg/ml氯胺T液,混匀;
4.在室温下培养1分钟;
5.加入50μ1氯胺T反应终止缓冲液;
6.通过凝胶过滤层析分离将碘化抗体与碘化酪氨酸分离;
7.收集、合并含碘化抗体的各管;
8.将1251标记的抗体管放入同位素保护管中,置4℃保存;
二、Iodogen-包被试管法
1. Iodogen以0.5μg/mnl溶于lv仿;
2.将100u1 Iodogen液移入合用的玻璃试管中;
3.试管置通风橱中过夜,在室温下让lv仿蒸发;
4.加入50u1抗体;
5.加500 u ci Na125I到加有抗体的 Iodogen-包被管中,室温保温2分钟;
6.将管中反应液转入1.5 nl eppendof管;
7.通过凝胶过滤层析,将碘化抗体与碘化酪氨酸分离;
8.收集、混合含碘化抗体的各管;
9.将125I标记的抗体置同位素保护管中,放4℃保存。
抗细胞凋亡蛋白OLFM44抗体更多相关产品:
51265 兔抗HNRNP(Phospho-Ser83) 多克隆抗体
英文名:Anti-HNRNP(Phospho-Ser83) rabbit polyclonal antiboy
冷冻(-20℃) 避光
10087 HRP标记的山羊抗小鼠IgG
英文名:HRP-conjugate Goat Anti-Mouse IgG
冷冻(-20℃)
162062 兔抗PLXNA3多克隆抗体
英文名:Anti-PLXNA3 rabbit polyclonal antiboy
冷冻(-20℃) 避光
199525 小鼠抗AQP1单克隆抗体
英文名:Anti-AQP1 mouse monoclonal antiboy
冷冻(-20℃) 避光
221684 兔抗ARHGAP5多克隆抗体
英文名:Anti-ARHGAP5 rabbit polyclonal antiboy
冷冻(-20℃) 避光
25299 兔抗RAC3多克隆抗体
英文名:Anti-RAC3 rabbit polyclonal antiboy
冷冻(-20℃) 避光
263077 兔抗CCL18多克隆抗体
英文名:Anti-CCL18 rabbit polyclonal antiboy
冷冻(-20℃) 避光
E680542 人肝癌细胞
英文名:QGY-7701 cells
超低温(-80℃)
抗细胞凋亡蛋白OLFM44抗体大鼠抗双链DNA抗体/天然DNA抗体(dsDNA)ELISA Kit,48T/96T 进口/国产
人抗组蛋白(H2A-H2B)-DNA抗体 ELISA Kit,48T/96T 进口/原装
人抗SS-A/Ro抗体ELISA Kit,48T/96T 进口/分装
小鼠抗α-胞衬蛋白抗体IgG/IgA(αFodrin IgG/IgA)进口/原装
人抗单链DNA抗体/变性DNA抗体(ssDNA)ELISA Kit,48T/96T 特价促销
人抗α-胞衬蛋白抗体IgG/IgA(α-Fodrin IgG/IgA)进口/国产
大鼠抗α-胞衬蛋白抗体IgG/IgA(αFodrin IgG/IgA)进口/分装
英文名称 Anti-OLFM4
中文名称 抗细胞凋亡蛋白OLFM44抗体
别 名 Antiapoptotic protein GW112; G-CSF-stimulated clone 1 protein; GC1; GW112; hGC 1; hGC-1; hOLfD; olfactomedin 4; Olfactomedin-4; OlfD; OLFM4; OLFM4_HUMAN; OLM4.
浓 度 1mg/1ml
规 格 0.2ml/200μg
抗体来源 Rabbit
克隆类型 polyclonal
交叉反应 Human, Mouse, Rat, Dog, Pig, Cow, Rabbit
产品类型 一抗
研究领域 肿瘤 肿瘤细胞生物标志物
蛋白分子量 predicted molecular weight:55kDa
性 状 Lyophilized or Liquid
免 疫 原 KLH conjugated synthetic peptide derived from human OLFM4
亚 型 IgG
纯化方法 affinity purified by Protein A
储 存 液 Preservative: 15mM Sodium Azide, Constituents: 1% BSA, 0.01M PBS, pH 7.4
产品应用 WB=1:100-500 ELISA=1:500-1000 IP=1:20-100 IHC-P=1:100-500 IHC-F=1:100-500 IF=1:100-500
抗细胞凋亡蛋白OLFM44抗体订购说明:
※关于产品的详细说明书、价格信息,请来电获取;
※关于运输,我司支持各种快递,具体采用什么快递,我们会满足客户的要求,此外,我们还会根据产品的性状采取特殊的保护方式,以减少运输途中的损坏情况;
※关于产品包装,我司支持进口原装,也能按照客户的要求进行分装;
※关于售后,客户在收到货后,先检查产品包装情况,有无破损情况,然后可以按照严格的操作流程,在无菌环境下检测产品质量本身,如有上述疑似情况,请及时联系我司销售部;
※关于技术服务,我司可为您提供抗体标记服务,以及其他检测服务,此外,如遇技术问题,我司还能为您提供答疑解惑的咨询服务。
抗体分子标记技术:
一、氯胺T法
1.用1.5 mi Ependof管,加10u1抗体及pH7.5的0.5mo1/L磷酸钠缓冲液总体积至25μ1
2.加500uCi的Na125I,混匀;
3.加25u12mg/ml氯胺T液,混匀;
4.在室温下培养1分钟;
5.加入50μ1氯胺T反应终止缓冲液;
6.通过凝胶过滤层析分离将碘化抗体与碘化酪氨酸分离;
7.收集、合并含碘化抗体的各管;
8.将1251标记的抗体管放入同位素保护管中,置4℃保存;
二、Iodogen-包被试管法
1. Iodogen以0.5μg/mnl溶于lv仿;
2.将100u1 Iodogen液移入合用的玻璃试管中;
3.试管置通风橱中过夜,在室温下让lv仿蒸发;
4.加入50u1抗体;
5.加500 u ci Na125I到加有抗体的 Iodogen-包被管中,室温保温2分钟;
6.将管中反应液转入1.5 nl eppendof管;
7.通过凝胶过滤层析,将碘化抗体与碘化酪氨酸分离;
8.收集、混合含碘化抗体的各管;
9.将125I标记的抗体置同位素保护管中,放4℃保存。
抗细胞凋亡蛋白OLFM44抗体更多相关产品:
51265 兔抗HNRNP(Phospho-Ser83) 多克隆抗体
英文名:Anti-HNRNP(Phospho-Ser83) rabbit polyclonal antiboy
冷冻(-20℃) 避光
10087 HRP标记的山羊抗小鼠IgG
英文名:HRP-conjugate Goat Anti-Mouse IgG
冷冻(-20℃)
162062 兔抗PLXNA3多克隆抗体
英文名:Anti-PLXNA3 rabbit polyclonal antiboy
冷冻(-20℃) 避光
199525 小鼠抗AQP1单克隆抗体
英文名:Anti-AQP1 mouse monoclonal antiboy
冷冻(-20℃) 避光
221684 兔抗ARHGAP5多克隆抗体
英文名:Anti-ARHGAP5 rabbit polyclonal antiboy
冷冻(-20℃) 避光
25299 兔抗RAC3多克隆抗体
英文名:Anti-RAC3 rabbit polyclonal antiboy
冷冻(-20℃) 避光
263077 兔抗CCL18多克隆抗体
英文名:Anti-CCL18 rabbit polyclonal antiboy
冷冻(-20℃) 避光
E680542 人肝癌细胞
英文名:QGY-7701 cells
超低温(-80℃)
抗细胞凋亡蛋白OLFM44抗体大鼠抗双链DNA抗体/天然DNA抗体(dsDNA)ELISA Kit,48T/96T 进口/国产
人抗组蛋白(H2A-H2B)-DNA抗体 ELISA Kit,48T/96T 进口/原装
人抗SS-A/Ro抗体ELISA Kit,48T/96T 进口/分装
小鼠抗α-胞衬蛋白抗体IgG/IgA(αFodrin IgG/IgA)进口/原装
人抗单链DNA抗体/变性DNA抗体(ssDNA)ELISA Kit,48T/96T 特价促销
人抗α-胞衬蛋白抗体IgG/IgA(α-Fodrin IgG/IgA)进口/国产
大鼠抗α-胞衬蛋白抗体IgG/IgA(αFodrin IgG/IgA)进口/分装
风险提示:丁香通仅作为第三方平台,为商家信息发布提供平台空间。用户咨询产品时请注意保护个人信息及财产安全,合理判断,谨慎选购商品,商家和用户对交易行为负责。对于医疗器械类产品,请先查证核实企业经营资质和医疗器械产品注册证情况。
技术资料暂无技术资料 索取技术资料
抗细胞凋亡蛋白OLFM44抗体
询价









