相关产品推荐更多 >
万千商家帮你免费找货
0 人在求购买到急需产品
- 详细信息
- 文献和实验
- 技术资料
- 供应商:
上海联迈生物工程有限公司
- 库存:
大量
- 目录编号:
LM-3873R
- 克隆性:
多克隆
- 抗原来源:
Rabbit
- 保质期:
1年
- 抗体英文名:
ATG4A
- 抗体名:
自噬相关蛋白4A抗体
- 宿主:
Rabbit
- 适应物种:
Human, Mouse, Rat, Cow, Rabbit,
- 免疫原:
KLH conjugated synthetic peptide derived from human ATG4A:51-150/398
- 亚型:
IgG
- 形态:
Lyophilized or Liquid
- 应用范围:
ELISA=1:500-1000 IHC-P=1:400-800 IHC-F=1:400-800 IF=1:100-500 (石蜡切片需做抗原修复)
- 浓度:
1mg/ml
- 保存条件:
Store at -20 °C
- 规格:
100ul 200ul
| 英文名称 | ATG4A |
| 中文名称 | 自噬相关蛋白4A抗体 |
| 别 名 | ATG4A is a cysteine protease required for autophagy, which cleaves the C-terminal part of either MAP1LC3, GABARAPL2 or GABARAP, allowing the liberation of form I. A subpopulation of form I is subsequently converted to a smaller form (form II). Form II, with a revealed C-terminal glycine, is considered to be the phosphatidylethanolamine (PE)-conjugated form, and has the capacity for the binding to autophagosomes. |
| 规格价格 | 100ul/1380元 购买 200ul/2200元 购买 大包装/询价 |
| 说 明 书 | 100ul 200ul |
| 研究领域 | 肿瘤 免疫学 细胞凋亡 转录调节因子 |
| 抗体来源 | Rabbit |
| 克隆类型 | Polyclonal |
| 交叉反应 | Human, Mouse, Rat, Cow, Rabbit, |
| 产品应用 | ELISA=1:500-1000 IHC-P=1:400-800 IHC-F=1:400-800 IF=1:100-500 (石蜡切片需做抗原修复) not yet tested in other applications. optimal dilutions/concentrations should be determined by the end user. |
| 分 子 量 | 45kDa |
| 细胞定位 | 细胞浆 |
| 性 状 | Lyophilized or Liquid |
| 浓 度 | 1mg/ml |
| 免 疫 原 | KLH conjugated synthetic peptide derived from human ATG4A:51-150/398 |
| 亚 型 | IgG |
| 纯化方法 | affinity purified by Protein A |
| 储 存 液 | 0.01M TBS(pH7.4) with 1% BSA, 0.03% Proclin300 and 50% Glycerol. |
| 保存条件 | Store at -20 °C for one year. Avoid repeated freeze/thaw cycles. The lyophilized antibody is stable at room temperature for at least one month and for greater than a year when kept at -20°C. When reconstituted in sterile pH 7.4 0.01M PBS or diluent of antibody the antibody is stable for at least two weeks at 2-4 °C. |
| PubMed | PubMed |
| 产品介绍 | background: ATG4A is a cysteine protease required for autophagy, which cleaves the C-terminal part of either MAP1LC3, GABARAPL2 or GABARAP, allowing the liberation of form I. A subpopulation of form I is subsequently converted to a smaller form (form II). Form II, with a revealed C-terminal glycine, is considered to be the phosphatidylethanolamine (PE)-conjugated form, and has the capacity for the binding to autophagosomes. Function: Cysteine protease required for autophagy, which cleaves the C-terminal part of either MAP1LC3, GABARAPL2 or GABARAP, allowing the liberation of form I. A subpopulation of form I is subsequently converted to a smaller form (form II). Form II, with a revealed C-terminal glycine, is considered to be the phosphatidylethanolamine (PE)-conjugated form, and has the capacity for the binding to autophagosomes. Preferred substrate is GABARAPL2 followed by MAP1LC3A and GABARAP. Subcellular Location: Cytoplasm (Probable). Tissue Specificity: Widely expressed, at a low level, and the highest expression is observed in skeletal muscle and brain. Also detected in fetal liver. Similarity: Belongs to the peptidase C54 family. SWISS: Q8WYN0 Gene ID: 115201 Database links: Entrez Gene: 115201 Human Entrez Gene: 666468 Mouse Omim: 300663 Human SwissProt: Q8WYN0 Human SwissProt: Q8C9S8 Mouse Unigene: 8763 Human Unigene: 102230 Mouse Unigene: 393320 Mouse Important Note: This product as supplied is intended for research use only, not for use in human, therapeutic or diagnostic applications. |
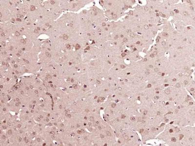
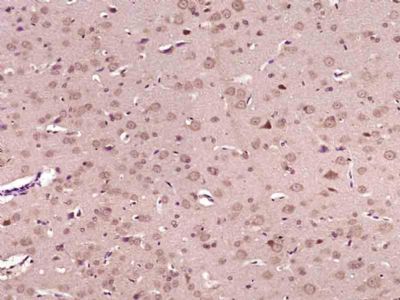
| 产品图片 | ![]() Paraformaldehyde-fixed, paraffin embedded (Mouse brain); Antigen retrieval by boiling in sodium citrate buffer (pH6.0) for 15min; Block endogenous peroxidase by 3% hydrogen peroxide for 20 minutes; Blocking buffer (normal goat serum) at 37°C for 30min; Antibody incubation with (ATG4A) Polyclonal Antibody, Unconjugated (bs-3873R) at 1:400 overnight at 4°C, followed by operating according to SP Kit(Rabbit) (sp-0023) instructionsand DAB staining. ![]() Paraformaldehyde-fixed, paraffin embedded (Human brain glioma); Antigen retrieval by boiling in sodium citrate buffer (pH6.0) for 15min; Block endogenous peroxidase by 3% hydrogen peroxide for 20 minutes; Blocking buffer (normal goat serum) at 37°C for 30min; Antibody incubation with (ATG4A) Polyclonal Antibody, Unconjugated (bs-3873R) at 1:400 overnight at 4°C, followed by operating according to SP Kit(Rabbit) (sp-0023) instructionsand DAB staining. ![]() Paraformaldehyde-fixed, paraffin embedded (Rat brain); Antigen retrieval by boiling in sodium citrate buffer (pH6.0) for 15min; Block endogenous peroxidase by 3% hydrogen peroxide for 20 minutes; Blocking buffer (normal goat serum) at 37°C for 30min; Antibody incubation with (ATG4A) Polyclonal Antibody, Unconjugated (bs-3873R) at 1:400 overnight at 4°C, followed by operating according to SP Kit(Rabbit) (sp-0023) instructionsand DAB staining. |
风险提示:丁香通仅作为第三方平台,为商家信息发布提供平台空间。用户咨询产品时请注意保护个人信息及财产安全,合理判断,谨慎选购商品,商家和用户对交易行为负责。对于医疗器械类产品,请先查证核实企业经营资质和医疗器械产品注册证情况。
文献和实验金酸(HAuCl·Cl3 ·4H2 O) 2. 葡萄球菌A蛋白(SPA) 3. 细胞毒素相关蛋白A(CagA) 4. 酶联免疫吸附试验(ELISA)检测抗CagA-IgG试剂盒 实验设备 1. Z 323 K低温高速离心机 2. LGJ 0.5-Ⅱ冷冻干燥机 3. 点膜器 实验材料 血清标本 实验步骤
摘 要: 目的 建立一种快速、简易的检测血清中抗幽门螺杆菌(Hp)细胞毒素相关蛋白A(CagA)抗体的胶体金免疫层析法(GICA)。 方法 采用柠檬酸三钠还原法制备胶体金颗粒,标记葡萄球菌A蛋白(SPA),将重组的CagA抗原划线固定于硝酸纤维素膜上,制成免疫层析检测试条。 血清中IgG与测试条上金标记物结合后沿着硝酸纤维素膜移动,与膜上的固相抗体结合形成肉眼可见的红色线条。 结果 用GICA与ELISA试剂盒对比检测
重磅综述:年发文量近 10000,自噬领域第 4 版研究指南发布
蛋白质使用相同的名称但不用斜体如 ULK1,而突变体则命名为 ULK1−/−。 第二,详细枚举整理了自噬的监测方法;指南列举了目前监测自噬几乎全部的方法,如①可通过透射电子显微镜观察到自噬体的形态结构,对所测自噬体大小和数量的计算推断自噬活性的强弱;②可对 Atg8 家族蛋白的检测与定量分析,Atg8 和 Atg8 家族蛋白是最广泛监测的自噬相关蛋白。本指南详细综述了利用这些蛋白质的多种分析方法;③通过 SQSTM1/p62 结合 LC3 蛋白翻转实验评价自噬流强弱;④对 TOR/MTOR, AMPK
技术资料暂无技术资料 索取技术资料













