相关产品推荐更多 >
万千商家帮你免费找货
0 人在求购买到急需产品
- 详细信息
- 文献和实验
- 技术资料
- 供应商:
上海联迈生物工程有限公司
- 库存:
大量
- 目录编号:
LM-3602R
- 克隆性:
多克隆
- 抗原来源:
Rabbit
- 保质期:
1年
- 抗体英文名:
ATG1/ULK1
- 抗体名:
自噬相关蛋白1抗体
- 宿主:
Rabbit
- 适应物种:
Human, Mouse, Rat, Chicken, Pig, Cow, Horse, Rabbit,
- 免疫原:
KLH conjugated synthetic peptide derived from human ATG1/ULK1:951-1050/1050
- 亚型:
IgG
- 形态:
Lyophilized or Liquid
- 应用范围:
WB=1:500-2000 ELISA=1:500-1000 IHC-P=1:400-800 IHC-F=1:400-800 Flow-Cyt=0.5μg /Test IF=1:100-500 (石蜡切片需做抗原修复)
- 浓度:
1mg/ml
- 保存条件:
Store at -20 °C
- 规格:
50ul 100ul 200ul
| 英文名称 | ATG1/ULK1 |
| 中文名称 | 自噬相关蛋白1抗体 |
| 别 名 | ATG 1; ULK1; ATG1; ATG1A; Serine/threonine protein kinase ULK1; Serine/threonine protein kinase Unc51.1; ULK 1; Unc 51 (C. elegans) like kinase 1; UNC 51; Unc 51 like kinase 1; Unc-51-like kinase 1; Unc-51 like kinase 1 (C. elegans); UNC51; ULK1_HUMAN; Serine/threonine-protein kinase ULK1; Autophagy-related protein 1 homolog; hATG1. |
![]() |
Specific References (3) | bs-3602R has been referenced in 3 publications. [IF=2.66] Song, Fuyong, et al. "Involvement of autophagy in tri-ortho-cresyl phosphate-induced delayed neuropathy in hens." Neurochemistry International (2013). WB ; PubMed:24220541 [IF=3.84] Shen, P. P., et al. "Cortical Spreading Depression (CSD) Preconditioning Mediates Neuroprotection against Ischemic Stroke by Inducing AMP‐activated Protein Kinase‐dependent Autophagy in a Rat Cerebral Ischemic/reperfusion Injury Model." Journal of Neurochemistry (2016). WB ; Rat. PubMed:27987215 [IF=2.97] Gao, Yuan, et al. "Activation of lysosomal degradative pathway in spinal cord tissues of carbon disulfide-treated rats." Chemico-Biological Interactions (2014). WB ; Rat. PubMed:24887698 |
| 规格价格 | 50ul/780元 购买 100ul/1380元 购买 200ul/2200元 购买 大包装/询价 |
| 说 明 书 | 50ul 100ul 200ul |
| 研究领域 | 肿瘤 细胞生物 免疫学 信号转导 细胞凋亡 转录调节因子 |
| 抗体来源 | Rabbit |
| 克隆类型 | Polyclonal |
| 交叉反应 | Human, Mouse, Rat, Chicken, Pig, Cow, Horse, Rabbit, |
| 产品应用 | WB=1:500-2000 ELISA=1:500-1000 IHC-P=1:400-800 IHC-F=1:400-800 Flow-Cyt=0.5μg /Test IF=1:100-500 (石蜡切片需做抗原修复) not yet tested in other applications. optimal dilutions/concentrations should be determined by the end user. |
| 分 子 量 | 116kDa |
| 细胞定位 | 细胞浆 |
| 性 状 | Lyophilized or Liquid |
| 浓 度 | 1mg/ml |
| 免 疫 原 | KLH conjugated synthetic peptide derived from human ATG1/ULK1:951-1050/1050 |
| 亚 型 | IgG |
| 纯化方法 | affinity purified by Protein A |
| 储 存 液 | 0.01M TBS(pH7.4) with 1% BSA, 0.03% Proclin300 and 50% Glycerol. |
| 保存条件 | Store at -20 °C for one year. Avoid repeated freeze/thaw cycles. The lyophilized antibody is stable at room temperature for at least one month and for greater than a year when kept at -20°C. When reconstituted in sterile pH 7.4 0.01M PBS or diluent of antibody the antibody is stable for at least two weeks at 2-4 °C. |
| PubMed | PubMed |
| 产品介绍 | background: ULK1 belongs to the serine/threonine protein kinase family. It is involved in axon growth and plays an essential role in neurite branching during sensory axon outgrowth. Knockdown of ULK1 results in impaired endocytosis of nerve growth factor (NGF), excessive axon arborization, and severely stunted axon elongation indicating that ULK1 mediates a non clathrin coated endocytosis in sensory growth cones. Knockdown of ULK1 also inhibits the autophagic response. It appears to act as a convergence point for multiple signals that regulate autophagy, and in turn interacts with a large number of autophagy related (Atg) proteins. Function: Serine/threonine-protein kinase involved in autophagy in response to starvation. Acts upstream of phosphatidylinositol 3-kinase PIK3C3 to regulate the formation of autophagophores, the precursors of autophagosomes. Part of regulatory feedback loops in autophagy: acts both as a downstream effector and negative regulator of mammalian target of rapamycin complex 1 (mTORC1) via interaction with RPTOR. Activated via phosphorylation by AMPK and also acts as a regulator of AMPK by mediating phosphorylation of AMPK subunits PRKAA1, PRKAB2 and PRKAG1, leading to negatively regulate AMPK activity. May phosphorylate ATG13/KIAA0652 and RPTOR; however such data need additional evidences. Plays a role early in neuronal differentiation and is required for granule cell axon formation. Subunit: Interacts with GABARAP and GABARAPL2. Interacts (via C-terminus) with ATG13/KIAA0652. Part of a complex consisting of ATG13/KIAA0652, ULK1 and RB1CC1. Associates with the mammalian target of rapamycin complex 1 (mTORC1) through an interaction with RPTOR; the association depends on nutrient conditions and is reduced during starvation. Subcellular Location: Cytoplasm, cytosol. Preautophagosomal structure. Note=Under starvation conditions, is localized to puncate structures primarily representing the isolation membrane that sequesters a portion of the cytoplasm resulting in the formation of an autophagosome. Tissue Specificity: Ubiquitously expressed. Detected in the following adult tissues: skeletal muscle, heart, pancreas, brain, placenta, liver, kidney, and lung. Post-translational modifications: Autophosphorylated. Phosphorylated under nutrient-rich conditions; dephosphorylated during starvation or following treatment with rapamycin. Under nutrient sufficiency phosphorylated by MTOR/mTOR, disrupting the interaction with AMPK and preventing activation of ULK1 (By similarity). In response to nutrient limitation, phosphorylated and activated by AMPK, leading to activate autophagy. Similarity: Belongs to the protein kinase superfamily. Ser/Thr protein kinase family. APG1/unc-51/ULK1 subfamily. Contains 1 protein kinase domain. SWISS: O75385 Gene ID: 8408 Database links: Entrez Gene: 8408 Human Entrez Gene: 22241 Mouse Entrez Gene: 360827 Rat Omim: 603168 Human SwissProt: O75385 Human SwissProt: O70405 Mouse Unigene: 47061 Human Unigene: 271898 Mouse Unigene: 24509 Rat Important Note: This product as supplied is intended for research use only, not for use in human, therapeutic or diagnostic applications. Atg1是一种丝氨酸/苏氨酸蛋白激酶。Atg1的激脢活性是CVT信号传导通路以及細胞自噬所必須的。Atg1可以和一些执行细胞自噬的蛋白相互作用,而且有很多调控細胞自噬的信号传导通路汇集在Atg1。因此Atg1可能是一个可以调控細胞自噬很多步驟的一个调节关键点。但在较高等的真核生物中,Atg1的角色仍然不是很清楚。通过目前的研究已经比较了解细胞自噬可以导致细胞的死亡,但是如何导致死亡的分子机制还不清楚,有待于进一步研究。 |
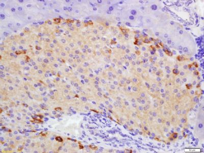
| 产品图片 | ![]() Sample: 293T(Human) Cell Lysate at 30 ug Primary: Anti-ATG1/ULK1 (bs-3602R) at 1/500 dilution Secondary: IRDye800CW Goat Anti-Rabbit IgG at 1/20000 dilution Predicted band size: 116 kD Observed band size: 116 kD ![]() Tissue/cell: mouse pancreas tissue; 4% Paraformaldehyde-fixed and paraffin-embedded; Antigen retrieval: citrate buffer ( 0.01M, pH 6.0 ), Boiling bathing for 15min; Block endogenous peroxidase by 3% Hydrogen peroxide for 30min; Blocking buffer (normal goat serum,C-0005) at 37℃ for 20 min; Incubation: Anti-ATG1/ULK1 Polyclonal Antibody, Unconjugated(bs-3602R) 1:200, overnight at 4°C, followed by conjugation to the secondary antibody(SP-0023) and DAB(C-0010) staining ![]() Positive control: RSC96 Isotype Control Antibody: Rabbit IgG; Secondary Antibody: Goat anti-rabbit IgG-FITC; Dilution: 1:200 in 1 X PBS containing 0.5% BSA Primary Antibody catalog number: bs-3602R; Dilution: 0.5μg in 100 μl 1X PBS containing 0.5% BSA |
风险提示:丁香通仅作为第三方平台,为商家信息发布提供平台空间。用户咨询产品时请注意保护个人信息及财产安全,合理判断,谨慎选购商品,商家和用户对交易行为负责。对于医疗器械类产品,请先查证核实企业经营资质和医疗器械产品注册证情况。
文献和实验重磅综述:年发文量近 10000,自噬领域第 4 版研究指南发布
(autophagy) 是一种细胞内的维稳调控机制,通过自噬过程,部分受损的细胞器和功能失调的蛋白质或其他组分可以在溶酶体中降解,参与细胞内结构和功能大分子的循环重构。 图片来源:本文作者 [2]下面,将为大家简要剖析 2021 版自噬指南涉及的具体内容: 第一,命名规则的重申;为了最大程度地减少研究中关于命名法的混淆,该指南提出以下指导原则:通常情况下,使用 ATG1 表示酵母,ULK1 代表哺乳动物。根据酵母基因组数据库 (Saccharomyces Genome Database) 所采用的命名方法,本指南
(RabS)作用下与溶酶体融合形成自噬溶酶体的过程,有些溶酶体相关蛋白也参与了其中,包括 LAMP1、LAMP2、UVRAG (紫外线抵抗相关肿瘤抑制基因)。而在降解阶段自噬体蛋白也发挥了重要作用,如 Atg22、Atg12、Atg15、Atg1、Atg13 等。细胞自噬的调节是一个多步骤的极其复杂的过程,目前机制尚未完全掌握,已知它主要是通过mTOR 信号通路、Beclin-1 信号通路、P53 信号通路三条途径来进行调控的。 1) mTOR 信号通路:mTOR 是是一个丝/苏氨酸
三句话读懂一篇 CNS:喝酒为何拉近社交距离;教科书级成果,RNA 糖基化修饰...
Cancer 杂志发表论文 ULK1 inhibition overcomes compromised antigen presentation and restores antitumor immunity in LKB1 mutant lung cancer。研究揭示了 LKB1 缺失所导致的免疫逃逸机制,通过靶向抑制 ATG1 / ULK1 途径,进而抑制细胞自噬,达到抗肿瘤免疫的效应,为治疗 LKB1 突变型非小细胞肺癌(NSCLC)提供新思路! 图 6:站酷海洛 plus7. Cell
技术资料暂无技术资料 索取技术资料














