相关产品推荐更多 >
万千商家帮你免费找货
0 人在求购买到急需产品
- 详细信息
- 文献和实验
- 技术资料
- 供应商:
上海联迈生物工程有限公司
- 库存:
大量
- 目录编号:
LM-3599R
- 克隆性:
多克隆
- 抗原来源:
Rabbit
- 保质期:
1年
- 抗体英文名:
Tbx21
- 抗体名:
T细胞介导的转录调节因子Tbx21抗体
- 宿主:
Rabbit
- 适应物种:
Human, Mouse, Rat, Dog, Pig, Cow, Horse,
- 免疫原:
KLH conjugated synthetic peptide derived from human Tbx21:201-300/535
- 亚型:
IgG
- 形态:
Lyophilized or Liquid
- 应用范围:
WB=1:500-2000 ELISA=1:500-1000 IHC-P=1:400-800 IHC-F=1:400-800 IF=1:100-500 (石蜡切片需做抗原修复)
- 浓度:
1mg/ml
- 保存条件:
Store at -20 °C
- 规格:
50ul 100ul 200ul
| 英文名称 | Tbx21 |
| 中文名称 | T细胞介导的转录调节因子Tbx21抗体 |
| 别 名 | T bet; T box 21; T box expressed in T cells; T box protein 21; T box transcription factor TBX21; T cell specific T box transcription factor; T cell specific T box transcription factor T bet; T PET; TBET; TBLYM; TBX 21; TBX21; TPET; Transcription factor TBLYM; TBX21_HUMAN; T-box transcription factor TBX21; T-box protein 21; T-cell-specific T-box transcription factor T-bet; Transcription factor TBLYM. |
![]() |
Specific References (1) | bs-3599R has been referenced in 1 publications. [IF=3.53] Bang, Mi-Ae, et al. "Bacillus subtilis KCTC 11782BP-Produced Alginate Oligosaccharide Effectively Suppresses Asthma via T-Helper Cell Type 2-Related Cytokines." PloS one 10.2 (2014): e0117524-e0117524. IHC-P ; Mouse. PubMed:25658604 |
| 规格价格 | 50ul/780元 购买 100ul/1380元 购买 200ul/2200元 购买 大包装/询价 |
| 说 明 书 | 50ul 100ul 200ul |
| 研究领域 | 肿瘤 细胞生物 免疫学 信号转导 细胞凋亡 转录调节因子 |
| 抗体来源 | Rabbit |
| 克隆类型 | Polyclonal |
| 交叉反应 | Human, Mouse, Rat, Dog, Pig, Cow, Horse, |
| 产品应用 | WB=1:500-2000 ELISA=1:500-1000 IHC-P=1:400-800 IHC-F=1:400-800 IF=1:100-500 (石蜡切片需做抗原修复) not yet tested in other applications. optimal dilutions/concentrations should be determined by the end user. |
| 分 子 量 | 59kDa |
| 细胞定位 | 细胞核 |
| 性 状 | Lyophilized or Liquid |
| 浓 度 | 1mg/ml |
| 免 疫 原 | KLH conjugated synthetic peptide derived from human Tbx21:201-300/535 |
| 亚 型 | IgG |
| 纯化方法 | affinity purified by Protein A |
| 储 存 液 | 0.01M TBS(pH7.4) with 1% BSA, 0.03% Proclin300 and 50% Glycerol. |
| 保存条件 | Store at -20 °C for one year. Avoid repeated freeze/thaw cycles. The lyophilized antibody is stable at room temperature for at least one month and for greater than a year when kept at -20°C. When reconstituted in sterile pH 7.4 0.01M PBS or diluent of antibody the antibody is stable for at least two weeks at 2-4 °C. |
| PubMed | PubMed |
| 产品介绍 | background: This gene is a member of a phylogenetically conserved family of genes that share a common DNA-binding domain, the T-box. T-box genes encode transcription factors involved in the regulation of developmental processes. This gene is the human ortholog of mouse Tbx21/Tbet gene. Studies in mouse show that Tbx21 protein is a Th1 cell-specific transcription factor that controls the expression of the hallmark Th1 cytokine, interferon-gamma (IFNG). Expression of the human ortholog also correlates with IFNG expression in Th1 and natural killer cells, suggesting a role for this gene in initiating Th1 lineage development from naive Th precursor cells. [provided by RefSeq, Jul 2008]. Function: Transcription factor that controls the expression of the TH1 cytokine, interferon-gamma. Initiates TH1 lineage development from naive TH precursor cells both by activating TH1 genetic programs and by repressing the opposing TH2 programs. Subcellular Location: Nucleus. Tissue Specificity: T-cell specific. DISEASE: Genetic variations in TBX21 are associated with susceptibility to asthma with nasal polyps and aspirin intolerance (ANPAI) [MIM:208550]. A condition consisting of asthma, aspirin sensitivity and nasal polyposis. Nasal polyposis is due to chronic inflammation of the paranasal sinus mucosa, leading to protrusion of edematous polyps into the nasal cavities. Similarity: Contains 1 T-box DNA-binding domain. SWISS: Q9UL17 Gene ID: 30009 Database links: Entrez Gene: 30009 Human Entrez Gene: 57765 Mouse Omim: 604895 Human SwissProt: Q9UL17 Human SwissProt: Q9JKD8 Mouse Unigene: 272409 Human Unigene: 94519 Mouse Important Note: This product as supplied is intended for research use only, not for use in human, therapeutic or diagnostic applications. |
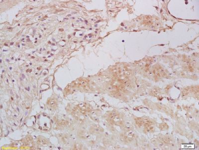
| 产品图片 | ![]() Sample: Thymus (Mouse) Lysate at 40 ug Primary: Anti-Tbx21 (bs-3599R) at 1/300 dilution Secondary: IRDye800CW Goat Anti-Rabbit IgG at 1/20000 dilution Predicted band size: 59 kD Observed band size: 59 kD ![]() Tissue/cell: human gastric carcinoma; 4% Paraformaldehyde-fixed and paraffin-embedded; Antigen retrieval: citrate buffer ( 0.01M, pH 6.0 ), Boiling bathing for 15min; Block endogenous peroxidase by 3% Hydrogen peroxide for 30min; Blocking buffer (normal goat serum,C-0005) at 37℃ for 20 min; Incubation: Anti-Tbx21/T-bet Polyclonal Antibody, Unconjugated(bs-3599R) 1:200, overnight at 4°C, followed by conjugation to the secondary antibody(SP-0023) and DAB(C-0010) staining |
风险提示:丁香通仅作为第三方平台,为商家信息发布提供平台空间。用户咨询产品时请注意保护个人信息及财产安全,合理判断,谨慎选购商品,商家和用户对交易行为负责。对于医疗器械类产品,请先查证核实企业经营资质和医疗器械产品注册证情况。
文献和实验Cancer Cell:整合素 αvβ6-TGFβ-SOX4 途径驱动三阴性乳腺癌的免疫逃逸
9 技术,筛选诱导 TNBC 细胞耐受 T 细胞介导的杀伤力的基因。筛选结果显示 SOX4 和 ITGAV 基因赋予肿瘤细胞抵抗 T 细胞介导的细胞毒性的能力。此外,在肿瘤细胞培养中添加活性 TGFβ1,可显著提高肿瘤细胞对 CD8+T 细胞介导的细胞毒性的耐受性。为了进一步探究整合素 αvβ6–TGFβ–SOX4 途径驱动三阴性乳腺癌的免疫逃逸机制。研究团队构建了不具有抗体依赖的细胞介导的细胞毒性作用(ADCC,Fc 区突变)的整合素 αvβ6/8 单克隆抗体。体外实验表明,用整合素 αvβ6
魔高一尺,道高一丈!清华大学徐萌团队发现能量代谢与肿瘤免疫逃逸的关系
, GZMB, and PRF1)定义了 cytotoxic T lymphocyte (CTL) score,反映肿瘤浸润 CD8+ T 细胞的功能。 研究发现在表观转录组调控因子中,RNA 去甲基化酶 FTO 与 CTL score 呈现负相关。为了检测肿瘤细胞的 FTO 表达是否影响 T 细胞介导的抗肿瘤功能,研究人员在 B16-OVA 黑色素瘤细胞和肺癌细胞系 LLC 中对 FTO 进行敲降。研究人员将 B16-OVA 和 LLC 接种到小鼠体内,发现 Fto-Kd 细胞产生的肿瘤生长速度明显减慢
感染新冠后,为何会导致长期嗅觉丧失?杜克大学的科学家找到了关键原因
鉴定与 PASC-嗅觉功能障碍相关的细胞和转录改变。研究结果表明 T 细胞介导的炎症在嗅觉上皮中持续存在,同时嗅觉感觉神经元的数量减少。 这些结果可能有助于阐明导致长期嗅觉丧失的机制,并提示其他长期 COVID-19 症状,如疲劳、呼吸急促和脑雾等发生可能存在类似的生物学机制。 图片来源:Science Translational Medicine 主要研究内容 PASC 患者嗅觉黏膜的组织学评估提示 T 细胞浸润 首先,研究人员对未感染新冠的正常对照者、新冠感染的正常
技术资料暂无技术资料 索取技术资料












