相关产品推荐更多 >
万千商家帮你免费找货
0 人在求购买到急需产品
- 详细信息
- 文献和实验
- 技术资料
- 供应商:
上海联迈生物工程有限公司
- 库存:
大量
- 目录编号:
LM-2955R
- 克隆性:
多克隆
- 抗原来源:
Rabbit
- 保质期:
1年
- 抗体英文名:
C3a Receptor
- 抗体名:
过敏毒素C3受体/补体C3受体抗体
- 宿主:
Rabbit
- 适应物种:
Human, Mouse, Rat, Horse, Rabbit,
- 免疫原:
KLH conjugated synthetic peptide derived from human C3a Receptor/C3aR:401-482/482 <Cytoplasmic>
- 亚型:
IgG
- 形态:
Lyophilized or Liquid
- 应用范围:
WB=1:500-2000 ELISA=1:500-1000 IHC-P=1:400-800 IHC-F=1:400-800 IF=1:100-500 (石蜡切片需做抗原修复)
- 浓度:
1mg/ml
- 保存条件:
Store at -20 °C
- 规格:
100ul 200ul
| 英文名称 | C3a Receptor |
| 中文名称 | 过敏毒素C3受体/补体C3受体抗体 |
| 别 名 | AZ 3B; AZ3B; C3a anaphylatoxin chemotactic receptor; C3A R; C3A R1; C3a-R; C3AR; C3AR_HUMAN; C3AR1; C3R1; Complement component 3 receptor 1; Complement component 3a receptor 1; HNFAG09. |
![]() |
Specific References (1) | bs-2955R has been referenced in 1 publications. [IF=5.29] Shinjyo, Noriko, et al. "Complement Peptide C3a Promotes Astrocyte Survival in Response to Ischemic Stress." Molecular Neurobiology (2015): 1-12. WB ; Mouse. PubMed:25972241 |
| 规格价格 | 100ul/1380元 购买 200ul/2200元 购买 大包装/询价 |
| 说 明 书 | 100ul 200ul |
| 研究领域 | 免疫学 |
| 抗体来源 | Rabbit |
| 克隆类型 | Polyclonal |
| 交叉反应 | Human, Mouse, Rat, Horse, Rabbit, |
| 产品应用 | WB=1:500-2000 ELISA=1:500-1000 IHC-P=1:400-800 IHC-F=1:400-800 IF=1:100-500 (石蜡切片需做抗原修复) not yet tested in other applications. optimal dilutions/concentrations should be determined by the end user. |
| 分 子 量 | 54kDa |
| 细胞定位 | 细胞膜 |
| 性 状 | Lyophilized or Liquid |
| 浓 度 | 1mg/ml |
| 免 疫 原 | KLH conjugated synthetic peptide derived from human C3a Receptor/C3aR:401-482/482 <Cytoplasmic> |
| 亚 型 | IgG |
| 纯化方法 | affinity purified by Protein A |
| 储 存 液 | 0.01M TBS(pH7.4) with 1% BSA, 0.03% Proclin300 and 50% Glycerol. |
| 保存条件 | Store at -20 °C for one year. Avoid repeated freeze/thaw cycles. The lyophilized antibody is stable at room temperature for at least one month and for greater than a year when kept at -20°C. When reconstituted in sterile pH 7.4 0.01M PBS or diluent of antibody the antibody is stable for at least two weeks at 2-4 °C. |
| PubMed | PubMed |
| 产品介绍 | background: Complement C3 precursor contains complement C3 beta chain, complement C3 alpha chain, C3a anaphylatoxin, complement C3b alpha chain, complement C3c fragment, complement C3dg fragment, complement C3g fragment, complement C3d fragment and complement C3f fragment. C3a, C4a, and C5a are potent anaphylatoxins that are released during complement activation, a system of ligand-surface protein interactions specific to cells of hematopoietic lineage that aids in the elimination of pathogens. C3a and C5a secretion correlates with pathophysiological phenotypes such as asthma and bacterial meningitis. Binding of these proteins to their respective G protein-coupled receptors (C3aR, C5aR), which are present on the surface of myeloid leukocytes, induces proinflammatory events such as cellular degranulation, smooth muscle contraction, arachidonic acid metabolism, cytokine release, leukocyte activation and cellular chemotaxis. C3aR is expressed in brain and activated B-lymphocytes whereas C5aR is prevalent on the surface of hepatocyte, lung, smooth muscle, and endothelial cells. Upon activation, C3aR and C5aR are susceptible to rapid GRK-mediated phosphorylation and clathrin-coated vesicle targeting. C5aR utilizes the Ras-Raf-ERK1/2 cascade and couples to Gi/G16 proteins. Function: Receptor for the chemotactic and inflammatory peptide anaphylatoxin C3a. This receptor stimulates chemotaxis, granule enzyme release and superoxide anion production. Subcellular Location: Cell membrane; Multi-pass membrane protein. Tissue Specificity: Widely expressed in several differentiated hematopoietic cell lines, in the lung, spleen, ovary, placenta, small intestine, throughout the brain, heart, and endothelial cells. Mostly expressed in lymphoid tissues. Post-translational modifications: Among the sulfation sites Tyr-174 is essential for binding of C3a anaphylatoxin. Similarity: Belongs to the G-protein coupled receptor 1 family. SWISS: Q16581 Gene ID: 719 Database links: Entrez Gene: 719 Human Entrez Gene: 12267 Mouse Entrez Gene: 84007 Rat Omim: 605246 Human SwissProt: Q16581 Human SwissProt: O09047 Mouse SwissProt: O55197 Rat Unigene: 591148 Human Unigene: 2408 Mouse Unigene: 9772 Rat Important Note: This product as supplied is intended for research use only, not for use in human, therapeutic or diagnostic applications. |
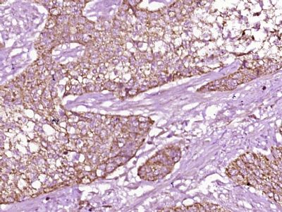
| 产品图片 | ![]() Sample: K562(Human) Cell Lysate at 30 ug 293T(Human) Cell Lysate at 30 ug A549(Human) Cell Lysate at 30 ug Lung (Mouse) Lysate at 40 ug Primary: Anti-C3a Receptor (bs-2955R) at 1/1000 dilution Secondary: IRDye800CW Goat Anti-Rabbit IgG at 1/20000 dilution Predicted band size: 54 kD Observed band size: 64 kD ![]() Sample: 293T Cell (Human) Lysate at 30 ug Primary: Anti-C3a Receptor (bs-2955R)at 1/300 dilution Secondary: IRDye800CW Goat Anti-Rabbit IgG at 1/20000 dilution Predicted band size: 54kD Observed band size: 60kD ![]() Sample: A549 Cell (Human) Lysate at 30 ug Primary: Anti-C3a Receptor (bs-2955R)at 1/300 dilution Secondary: IRDye800CW Goat Anti-Rabbit IgG at 1/20000 dilution Predicted band size: 54kD Observed band size: 60kD ![]() Paraformaldehyde-fixed, paraffin embedded (human gastric carcinoma); Antigen retrieval by boiling in sodium citrate buffer (pH6.0) for 15min; Block endogenous peroxidase by 3% hydrogen peroxide for 20 minutes; Blocking buffer (normal goat serum) at 37°C for 30min; Antibody incubation with (C3a Receptor) Polyclonal Antibody, Unconjugated (bs-2955R) at 1:400 overnight at 4°C, followed by operating according to SP Kit(Rabbit) (sp-0023) instructionsand DAB staining. |
风险提示:丁香通仅作为第三方平台,为商家信息发布提供平台空间。用户咨询产品时请注意保护个人信息及财产安全,合理判断,谨慎选购商品,商家和用户对交易行为负责。对于医疗器械类产品,请先查证核实企业经营资质和医疗器械产品注册证情况。
文献和实验上海西唐生物科技有限公司 021-55229872, 65333639 www.westang.com 小鼠补体C3a (C3a)ELISA 试剂盒 ( 用于血清、血浆、细胞培养上清液和尿液、唾液生物体液内 ) 原理 本实验采用双抗体夹心 ABC-ELISA 法。用抗小鼠 C3a 单抗包被于酶标板上,标准品和样品中的 C3a与单抗结合,加入生物素化的抗小鼠 C3a
小鼠 补体3a(C3a) 酶联免疫 分析( ELISA ) 试剂 盒使用说明书 本试剂仅供研究使用 目的:本试剂盒用于测定小鼠血清,血浆及相关液体样本中 补体3a(C3a) 含量。 实验原理 : 本试剂盒应用双抗体夹心法测定 标本 中 小鼠 补体3a ( C3a ) 水平。用纯化的 小鼠 C3a 抗体包被微孔板,制成固相抗体,往包被单抗的微孔中依次加入 补体3a ( C3a ), 再与HRP 标记的 C3a 抗体
人补体C3a (C3a)ELISA 试剂盒 ( 用于血清、血浆、细胞培养上清液和其它生物体液内 ) 原理 本实验采用双抗体夹心 ABC-ELISA 法。用抗人 C3a 单抗包被于酶标板上,标准品和样品中的 C3a与单抗结合,加入生物素化的抗人 C3a ,形成免疫复合物连接在板上,辣根过氧化物酶标记的 Streptavidin 与生物素结合,加入
技术资料暂无技术资料 索取技术资料















