相关产品推荐更多 >
万千商家帮你免费找货
0 人在求购买到急需产品
- 详细信息
- 文献和实验
- 技术资料
- 供应商:
上海联迈生物工程有限公司
- 库存:
大量
- 目录编号:
LM-23252R
- 克隆性:
多克隆
- 抗原来源:
Rabbit
- 保质期:
1年
- 抗体英文名:
DTSF/HB-EGF
- 抗体名:
肝素结合性表皮生长因子抗体
- 宿主:
Rabbit
- 适应物种:
Human, Mouse, Rat, Pig, Cow, Sheep,
- 免疫原:
KLH conjugated synthetic peptide derived from human DTSF/HB-EGF:20-62/208 <Extracellular>
- 亚型:
IgG
- 形态:
Lyophilized or Liquid
- 应用范围:
ELISA=1:500-1000 IHC-P=1:400-800 IHC-F=1:400-800 ICC=1:100-500 IF=1:100-500 (石蜡切片需做抗原修复)
- 浓度:
1mg/ml
- 保存条件:
Store at -20 °C
- 规格:
100ul 200ul
| 英文名称 | DTSF/HB-EGF |
| 中文名称 | 肝素结合性表皮生长因子抗体 |
| 别 名 | HB EGF; Diphtheria toxin receptor; DT R; DT-R; DTR; DTS; DTSF; HB-EGF; HBEGF; HBEGF_HUMAN; HEGFL; heparin binding EGF like growth factor; Heparin binding epidermal growth factor; Heparin binding epidermal growth factor like growth factor; Heparin-binding EGF-like growth factor; Proheparin binding EGF like growth factor. |
| 规格价格 | 100ul/1380元 购买 200ul/2200元 购买 大包装/询价 |
| 说 明 书 | 100ul 200ul |
| 研究领域 | 肿瘤 心血管 免疫学 信号转导 生长因子和激素 血管内皮细胞 |
| 抗体来源 | Rabbit |
| 克隆类型 | Polyclonal |
| 交叉反应 | Human, Mouse, Rat, Pig, Cow, Sheep, |
| 产品应用 | ELISA=1:500-1000 IHC-P=1:400-800 IHC-F=1:400-800 ICC=1:100-500 IF=1:100-500 (石蜡切片需做抗原修复) not yet tested in other applications. optimal dilutions/concentrations should be determined by the end user. |
| 分 子 量 | 21kDa |
| 细胞定位 | 细胞膜 分泌型蛋白 |
| 性 状 | Lyophilized or Liquid |
| 浓 度 | 1mg/ml |
| 免 疫 原 | KLH conjugated synthetic peptide derived from human DTSF/HB-EGF:20-62/208 <Extracellular> |
| 亚 型 | IgG |
| 纯化方法 | affinity purified by Protein A |
| 储 存 液 | 0.01M TBS(pH7.4) with 1% BSA, 0.03% Proclin300 and 50% Glycerol. |
| 保存条件 | Store at -20 °C for one year. Avoid repeated freeze/thaw cycles. The lyophilized antibody is stable at room temperature for at least one month and for greater than a year when kept at -20°C. When reconstituted in sterile pH 7.4 0.01M PBS or diluent of antibody the antibody is stable for at least two weeks at 2-4 °C. |
| PubMed | PubMed |
| 产品介绍 | background: Heparin-binding epidermal growth factor-like growth factor (HB-EGF) is a 22kDa O-glycosylated protein that is a potent mitogen and chemoattractant for vascular smooth muscle cells, fibroblasts and epithelial cells but not endothelial cells. The natural protein has an apparent molecular mass of 19-23 kDa and exists in multiple forms as a result of heterogeneous O-glycosylation and/or Nterminal truncation. HB-EGF is synthesized as a membrane-anchored precursor(proHB-EGF) that is proteolytically cleaved to release the soluble mature growth factor. The two forms are active as juxtacrine and paracrine/autocrine growth factors respectively.HB-EGF activates two EGF receptor subtypes, HER1/ErbB1 and HER4 and binds to heparan sulfate proteoglycan. Function: Growth factor that mediates its effects via EGFR, ERBB2 and ERBB4. Required for normal cardiac valve formation and normal heart function. Promotes smooth muscle cell proliferation. May be involved in macrophage-mediated cellular proliferation. It is mitogenic for fibroblasts, but not endothelial cells. It is able to bind EGF receptor/EGFR with higher affinity than EGF itself and is a far more potent mitogen for smooth muscle cells than EGF. Also acts as a diphtheria toxin receptor. Subunit: Interacts with FBLN1. Interacts with EGFR and ERBB4. Subcellular Location: Heparin-binding EGF-like growth factor: Secreted, extracellular space. Note=Mature HB-EGF is released into the extracellular space and probably binds to a receptor. Proheparin-binding EGF-like growth factor: Cell membrane; Single-pass type I membrane protein. Post-translational modifications: Several N-termini have been identified by direct sequencing. The forms with N-termini 63, 73 and 74 have been tested and found to be biologically active. O-glycosylated with core 1 or possibly core 8 glycans. Thr-47 is a minor glycosylation site compared to Thr-44. Similarity: Contains 1 EGF-like domain. SWISS: Q99075 Gene ID: 1839 Database links: Entrez Gene: 1839 Human Omim: 126150 Human SwissProt: Q99075 Human Unigene: 799 Human Important Note: This product as supplied is intended for research use only, not for use in human, therapeutic or diagnostic applications. |
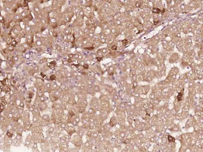
| 产品图片 | ![]() Paraformaldehyde-fixed, paraffin embedded (Human liver carcinoma); Antigen retrieval by boiling in sodium citrate buffer (pH6.0) for 15min; Block endogenous peroxidase by 3% hydrogen peroxide for 20 minutes; Blocking buffer (normal goat serum) at 37°C for 30min; Antibody incubation with (DTSF) Polyclonal Antibody, Unconjugated (bs-23252R) at 1:400 overnight at 4°C, followed by operating according to SP Kit(Rabbit) (sp-0023) instructionsand DAB staining. |
风险提示:丁香通仅作为第三方平台,为商家信息发布提供平台空间。用户咨询产品时请注意保护个人信息及财产安全,合理判断,谨慎选购商品,商家和用户对交易行为负责。对于医疗器械类产品,请先查证核实企业经营资质和医疗器械产品注册证情况。
文献和实验人肝素结合表皮生长因子(HB-EGF)ELISA试剂盒 说明书
上海西唐生物科技有限公司 021-55229872, 65333639 www.westang.com 人肝素结合表皮生长因子 ( HB-EGF )ELISA 试剂盒 ( 用于血清、血浆、细胞培养上清液和尿液生物体液内 ) 原理 本实验采用双抗体夹心 ABC-ELISA 法。用抗人 HB-EGF 单抗包被于酶标板上,标准品和样品中的 HB-EGF与单抗结合,加入生物
成纤维细胞生长因子)、EGF(表皮生长因子)均购自Gibco公司 。抗体为:Nestin兔抗鼠多克隆抗体(博士德公司),GFAP单克隆抗体(Sigma公司),β-Ⅲ tubulin 单克隆抗体(Sigma公司),生物素标记山羊抗小鼠IgG(北京中杉生物试剂公司),山羊抗兔Cy3-IgG(博士德公司),DAB(北京中杉生物试剂公司) ,胎牛血清(FBS,杭州四季青生物试剂公司)。仪器:CO2培养箱(Thermo,美国) ,荧光倒置相差显微镜(Olympus IX70,日本)。病毒载体:Ad/EGFP,滴度为2×1011
进行全面审查。因此,本概述仅涉及当今蛋白质研究中研究的少数最常见类型的 PTM。此外,更多的重点放在磷酸化、糖基化和泛素化,因此这些 PTM 在各自的 PTM 专页中进行了更详细的描述。1、Phosphorylation:可逆的蛋白质磷酸化,主要发生在丝氨酸、苏氨酸或酪氨酸残基上,是目前研究得最深入的翻译后修饰之一。磷酸化在细胞周期、生长、凋亡和信号转导等过程中起着重要的调控作用。在以下示例中,使用蛋白免疫印迹分析评价分别用表皮生长因子 (EGF) 和血小板衍生生长因子 (PDGF) 刺激血清
技术资料暂无技术资料 索取技术资料











