相关产品推荐更多 >
万千商家帮你免费找货
0 人在求购买到急需产品
- 详细信息
- 文献和实验
- 技术资料
- 供应商:
上海联迈生物工程有限公司
- 库存:
大量
- 目录编号:
LM-23071R
- 克隆性:
多克隆
- 抗原来源:
Rabbit
- 保质期:
1年
- 抗体英文名:
Hes5
- 抗体名:
发状分裂相关增强子-5抗体
- 宿主:
Rabbit
- 适应物种:
Human, Mouse, Rat, Dog, Cow, Horse,
- 免疫原:
KLH conjugated synthetic peptide derived from human Hes5:31-130/166
- 亚型:
IgG
- 形态:
Lyophilized or Liquid
- 应用范围:
ELISA=1:500-1000 IHC-P=1:400-800 IHC-F=1:400-800 ICC=1:100-500 IF=1:100-500 (石蜡切片需做抗原修复)
- 浓度:
1mg/ml
- 保存条件:
Store at -20 °C
- 规格:
100ul 200ul
| 英文名称 | Hes5 |
| 中文名称 | 发状分裂相关增强子-5抗体 |
| 别 名 | Hairy and enhancer of split 5; HES 5; HES5 protein; MGI:104876; HES5_HUMAN. |
| 规格价格 | 100ul/1380元 购买 200ul/2200元 购买 大包装/询价 |
| 说 明 书 | 100ul 200ul |
| 研究领域 | 肿瘤 细胞生物 免疫学 信号转导 转录调节因子 |
| 抗体来源 | Rabbit |
| 克隆类型 | Polyclonal |
| 交叉反应 | Human, Mouse, Rat, Dog, Cow, Horse, |
| 产品应用 | ELISA=1:500-1000 IHC-P=1:400-800 IHC-F=1:400-800 ICC=1:100-500 IF=1:100-500 (石蜡切片需做抗原修复) not yet tested in other applications. optimal dilutions/concentrations should be determined by the end user. |
| 分 子 量 | 18kDa |
| 细胞定位 | 细胞核 |
| 性 状 | Lyophilized or Liquid |
| 浓 度 | 1mg/ml |
| 免 疫 原 | KLH conjugated synthetic peptide derived from human Hes5:31-130/166 |
| 亚 型 | IgG |
| 纯化方法 | affinity purified by Protein A |
| 储 存 液 | 0.01M TBS(pH7.4) with 1% BSA, 0.03% Proclin300 and 50% Glycerol. |
| 保存条件 | Store at -20 °C for one year. Avoid repeated freeze/thaw cycles. The lyophilized antibody is stable at room temperature for at least one month and for greater than a year when kept at -20°C. When reconstituted in sterile pH 7.4 0.01M PBS or diluent of antibody the antibody is stable for at least two weeks at 2-4 °C. |
| PubMed | PubMed |
| 产品介绍 | background: This gene encodes a member of a family of basic helix-loop-helix transcriptional repressors. The protein product of this gene, which is activated downstream of the Notch pathway, regulates cell differentiation in multiple tissues. Disruptions in the normal expression of this gene have been associated with developmental diseases and cancer. [provided by RefSeq, Dec 2008] Function: Transcriptional repressor of genes that require a bHLH protein for their transcription Subunit: Transcription repression requires formation of a complex with a corepressor protein of the Groucho/TLE family. Subcellular Location: Nucleus. Tissue Specificity: Expressed in fetal heart and brain tumors. Similarity: Contains 1 basic helix-loop-helix (bHLH) domain. Contains 1 Orange domain. SWISS: Q5TA89 Gene ID: 388585 Database links: Entrez Gene: 388585 Human Entrez Gene: 15208 Mouse Entrez Gene: 79225 Rat SwissProt: Q5TA89 Human SwissProt: P70120 Mouse SwissProt: Q03062 Rat Unigene: 57971 Human Unigene: 137268 Mouse Unigene: 22422 Rat Important Note: This product as supplied is intended for research use only, not for use in human, therapeutic or diagnostic applications. |
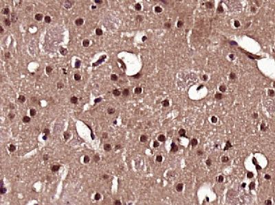
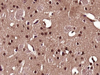
| 产品图片 | ![]() Paraformaldehyde-fixed, paraffin embedded (Human glioma); Antigen retrieval by boiling in sodium citrate buffer (pH6.0) for 15min; Block endogenous peroxidase by 3% hydrogen peroxide for 20 minutes; Blocking buffer (normal goat serum) at 37°C for 30min; Antibody incubation with (Hes5) Polyclonal Antibody, Unconjugated (bs-23071R) at 1:400 overnight at 4°C, followed by operating according to SP Kit(Rabbit) (sp-0023) instructionsand DAB staining. ![]() Paraformaldehyde-fixed, paraffin embedded (Mouse brain); Antigen retrieval by boiling in sodium citrate buffer (pH6.0) for 15min; Block endogenous peroxidase by 3% hydrogen peroxide for 20 minutes; Blocking buffer (normal goat serum) at 37°C for 30min; Antibody incubation with (Hes5) Polyclonal Antibody, Unconjugated (bs-23071R) at 1:400 overnight at 4°C, followed by operating according to SP Kit(Rabbit) (sp-0023) instructionsand DAB staining. |
风险提示:丁香通仅作为第三方平台,为商家信息发布提供平台空间。用户咨询产品时请注意保护个人信息及财产安全,合理判断,谨慎选购商品,商家和用户对交易行为负责。对于医疗器械类产品,请先查证核实企业经营资质和医疗器械产品注册证情况。
文献和实验腺相关病毒在骨科研究中的应用现状 腺相关病毒(AAV)属于细小病毒科,病毒颗粒无包膜,结构为直径约 20-26nm 的正二十面体,是迄今发现的一类结构最简单且无法自主复制的线性单链 DNA 病毒,对分裂细胞和非分裂细胞均具有感染力。在研究中常用的重组腺 相关病毒(rAAV)是在非致病性野生型 AAV 的基础上经过改造而成的特异性更强的基因载体,其感染后约 3 周可达 表达高峰。自互补 AAV(scAAV) 是一种经过特殊设计的 AAV,在感染细胞后可以迅速形成双链 DNA,从而绕过了传统
DNA 复制 有丝分裂染色体 通过 ChIP 研究组蛋白修饰 ChIP 使用抗体来分离蛋白质或目标修饰,以及它所结合的 DNA(图 5)。然后对 DNA 进行测序,并 将其定位到基因组,以确定蛋白质或修饰的位置和丰度。 图 2:组蛋白修饰 ChIP。抗体直接结合到修饰的组蛋白尾部。免疫沉淀和 DNA 纯化可以分离和鉴定修饰所占据的基 因组区域。 在 ChIP 实验中利用靶向特定组蛋白
浅析染色质免疫沉淀(ChIP)技术在 DNA 与蛋白质相互作用研究中的重要性
染色质免疫沉淀(ChIP)是研究蛋白质-DNA 相互作用的一项强大技术,广泛用于多个领域的染色质相关蛋白的研究(如组蛋白及其异构体,转录因子等),特别适用于已知启动子序列或整个基因位点的组蛋白修饰分析研究。这项技术采用特定抗体来富集存在组蛋白修饰或者转录调控的 DNA 片段,通过多种下游检测技术(定量 PCR ,芯片,测序等)来检测此富集片段的 DNA 序列。 ChIP 技术自诞生之后,已成功的应用于人或动物细胞和组织 [1] 、植物组织 [2] 、酵母 [3] 以及细菌、质粒
技术资料暂无技术资料 索取技术资料










