相关产品推荐更多 >
万千商家帮你免费找货
0 人在求购买到急需产品
- 详细信息
- 文献和实验
- 技术资料
- 供应商:
上海联迈生物工程有限公司
- 库存:
大量
- 目录编号:
LM-20642R
- 克隆性:
多克隆
- 抗原来源:
Rabbit
- 保质期:
1年
- 抗体英文名:
GPR30
- 抗体名:
G蛋白偶联受体30抗体
- 宿主:
Rabbit
- 适应物种:
Human, Mouse, Rat,
- 免疫原:
KLH conjugated synthetic peptide derived from human GPR30:21-120/375 <Extracellular>
- 亚型:
IgG
- 形态:
Lyophilized or Liquid
- 应用范围:
WB=1:500-2000 IHC-P=1:400-800 IHC-F=1:400-800 Flow-Cyt=1μg/Test ICC=1:100-500 IF=1:100-500 (石蜡切片需做抗原修复)
- 浓度:
1mg/ml
- 保存条件:
Store at -20 °C
- 规格:
100ul 200ul
| 英文名称 | GPR30 |
| 中文名称 | G蛋白偶联受体30抗体 |
| 别 名 | G Protein Coupled Receptor 30; G-protein coupled receptor 30; G-protein coupled estrogen receptor 1; Membrane estrogen receptor; mER; Chemokine receptor-like 2; IL8-related receptor DRY12; Flow-induced endothelial G-protein coupled receptor 1; FEG-1; Lymphocyte-derived G-protein coupled receptor; LYGPR; GPCR-BR; CEPR; CMKRL2; DRY12; GPER. |
| 规格价格 | 100ul/1380元 购买 200ul/2200元 购买 大包装/询价 |
| 说 明 书 | 100ul 200ul |
| 研究领域 | 细胞生物 神经生物学 信号转导 细胞膜受体 G蛋白偶联受体 G蛋白信号 |
| 抗体来源 | Rabbit |
| 克隆类型 | Polyclonal |
| 交叉反应 | Human, Mouse, Rat, |
| 产品应用 | WB=1:500-2000 IHC-P=1:400-800 IHC-F=1:400-800 Flow-Cyt=1μg/Test ICC=1:100-500 IF=1:100-500 (石蜡切片需做抗原修复) not yet tested in other applications. optimal dilutions/concentrations should be determined by the end user. |
| 分 子 量 | 42kDa |
| 细胞定位 | 细胞核 细胞浆 细胞膜 细胞外基质 |
| 性 状 | Lyophilized or Liquid |
| 浓 度 | 1mg/ml |
| 免 疫 原 | KLH conjugated synthetic peptide derived from human GPR30:21-120/375 <Extracellular> |
| 亚 型 | IgG |
| 纯化方法 | affinity purified by Protein A |
| 储 存 液 | 0.01M TBS(pH7.4) with 1% BSA, 0.03% Proclin300 and 50% Glycerol. |
| 保存条件 | Store at -20 °C for one year. Avoid repeated freeze/thaw cycles. The lyophilized antibody is stable at room temperature for at least one month and for greater than a year when kept at -20°C. When reconstituted in sterile pH 7.4 0.01M PBS or diluent of antibody the antibody is stable for at least two weeks at 2-4 °C. |
| PubMed | PubMed |
| 产品介绍 | background: G protein-coupled receptors (GPRs, or GPCRs) contain 7 hydrophobic transmembrane domains embedded in hydrophilic intra- and extracellular loops and transduce a variety of hormone, endogenous peptide, and neurotransmitter signals into intracellular effects via G proteins. GRP30 is a member of this family and is an orphan receptor. GPR30 expression has been reported in brain, breast carcinoma, blood, bone marrow, CNS, heart, liver, lung, lymph node, placenta, and spleen. In brain, GPR30 is expressed as a 2.8 kb transcript in basal forebrain, frontal cortex, thalamus, hippocampus, caudate and putamen. However, unlike other known G protein-coupled receptors, GPR30 localizes to the endoplasmic reticulum, where it specifically binds estrogen and estrogen derivatives. Function: Receptor for estrogen. Subcellular Location: Cell membrane. Endoplasmic reticulum membrane. Golgi apparatus membrane. Protein has been detected in the cell membrane, endoplasmic reticulum and Golgi apparatus. It is currently unclear whether this is a cell surface or intracellular receptor. Tissue Specificity: Ubiquitously expressed, but is most abundant in placenta. In brain regions, expressed as a 2.8 kb transcript in basal forebrain, frontal cortex, thalamus, hippocampus, caudate and putamen. Similarity: Belongs to the G-protein coupled receptor 1 family. SWISS: Q99527 Gene ID: 2852 Database links: Entrez Gene: 2852 Human Entrez Gene: 76854 Mouse Entrez Gene: 171104 Rat Omim: 601805 Human SwissProt: Q99527 Human SwissProt: Q8BMP4 Mouse SwissProt: O08878 Rat Unigene: 20961 Human Unigene: 389706 Mouse Unigene: 9806 Rat Important Note: This product as supplied is intended for research use only, not for use in human, therapeutic or diagnostic applications. GPR30是一种膜性雌激素蛋白受体又称非基因型雌激素膜性受体GPR30。GPR30受体广泛表达于海马、下丘脑、子宫、卵巢、乳腺、骨和心血管等全身多个系统、器官和组织,在细胞内主要定位于细胞膜、内质网、线粒体和高尔基体。 GPER与雌激素结合, ERK、PI3K/AKT)、 cAMP等第二信使途径发挥快速非基因效应,在神经系统、生殖系统、运动系统和心血管系统中发挥重要的生理作用。 |
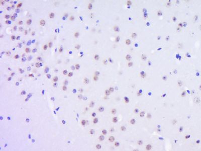
| 产品图片 | ![]() Paraformaldehyde-fixed, paraffin embedded (Mouse brain); Antigen retrieval by boiling in sodium citrate buffer (pH6.0) for 15min; Block endogenous peroxidase by 3% hydrogen peroxide for 20 minutes; Blocking buffer (normal goat serum) at 37°C for 30min; Antibody incubation with (GPR30) Polyclonal Antibody, Unconjugated (bs-20642R) at 1:400 overnight at 4°C, followed by operating according to SP Kit(Rabbit) (sp-0023) instructionsand DAB staining. ![]() Blank control (blue line): A431 cells (fixed with 70% methanol (Overnight at 4℃) and then permeabilized with 90% ice-cold methanol for 20 min at -20℃). Primary Antibody (green line): Rabbit Anti-PR30 antibody (bs-20642R),Dilution: 1μg /10^6 cells; Isotype Control Antibody (orange line): Rabbit IgG . Secondary Antibody (white blue line): Goat anti-rabbit IgG-FITC,Dilution: 1μg /test. |
风险提示:丁香通仅作为第三方平台,为商家信息发布提供平台空间。用户咨询产品时请注意保护个人信息及财产安全,合理判断,谨慎选购商品,商家和用户对交易行为负责。对于医疗器械类产品,请先查证核实企业经营资质和医疗器械产品注册证情况。
文献和实验rebeccagold 大家好。 最近在做建一个高表达某G蛋白偶联受体的CHO细胞株,载体是pEGFP-C1。 稳定筛选后,细胞的荧光表达很好。 但奇怪的问题是,该受体定位出现了问题。原本该定位在膜的G蛋白偶联受体,现在基本上呈全细胞分布,而且核尤其亮。百思不得其解。 请各位战友指点。 附图为该细胞的Confocal图,没有染核。 多谢大家啦! woxingwosu 呵呵,你的
rebeccagold 大家好。 最近在做建一个高表达某G蛋白偶联受体的CHO细胞株,载体是pEGFP-C1。 稳定筛选后,细胞的荧光表达很好。 但奇怪的问题是,该受体定位出现了问题。原本该定位在膜的G蛋白偶联受体,现在基本上呈全细胞分布,而且核尤其亮。百思不得其解。 请各位战友指点。 附图为该细胞的Confocal图,没有染核。 多谢大家啦! kern6549 会不会是该受体
【求助】欲寻找G蛋白偶联受体激酶对某一G蛋白偶联受体的磷酸化位点,其实验应该如何设计
ellen_hu 作为这方面的白痴,实在一团雾水,有没有高手指点一二,把其中的一般流程讲述一下,是我能够形成一个整体的印象,谢谢!!!!! 急切!!! chenlinjie686 上nature或者annualreview 查GRK的综述文献... chenlinjie686 丝氨酸苏氨酸的点突变咯 本文由丁香园论坛提供,想了解更多有用的、有意思的前沿资讯以及酷炫
技术资料暂无技术资料 索取技术资料












