相关产品推荐更多 >
万千商家帮你免费找货
0 人在求购买到急需产品
- 详细信息
- 文献和实验
- 技术资料
- 供应商:
上海联迈生物工程有限公司
- 库存:
大量
- 目录编号:
LM-20496R
- 克隆性:
多克隆
- 抗原来源:
Rabbit
- 保质期:
1年
- 抗体英文名:
TUBA1A + TUBA1B
- 抗体名:
微管蛋白α 1A/1B
- 宿主:
Rabbit
- 适应物种:
Human, Mouse, Rat, Chicken, Pig, Cow,
- 免疫原:
KLH conjugated synthetic peptide derived from human TUBA1A + TUBA1B:401-451/451
- 亚型:
IgG
- 形态:
Lyophilized or Liquid
- 应用范围:
WB=1:500-2000 ELISA=1:500-1000 IHC-P=1:400-800 IHC-F=1:400-800 ICC=1:100-500 IF=1:100-500 (石蜡切片需做抗原修复)
- 浓度:
1mg/ml
- 保存条件:
Store at -20 °C
- 规格:
100ul 200ul
TUBA1A + TUBA1B微管蛋白α 1A/1B
| 英文名称 | Tubulin alpha |
| 中文名称 | 微管蛋白α 1A/1B抗体 |
| 别 名 | TUBA1A + TUBA1B; Tubulin, Alpha 1b; Tubulin Alpha-Ubiquitous Chain; Alpha-Tubulin Ubiquitous; Tubulin K-Alpha-1; Tubulin, Alpha, Ubiquitous; Tubulin Alpha-1B Chain; Alpha Tubulin; Ubiquitous; K-ALPHA-1; Tubulin Alpha; TBA1B_HUMAN; Tubulin, Alpha 1a; TUBA3; Tubulin Alpha-3 Chain; Tubulin B-Alpha-1; LIS3; Tubulin, Alpha, Brain-Specific; Tubulin Alpha-1A Chain; Alpha-Tubulin 3, Brain-Specific; Hum-A-Tub1; Hum-A-Tub2; B-ALPHA-1; TBA1A_HUMAN; 微管蛋白alpha |
| 规格价格 | 100ul/1380元 购买 200ul/2200元 购买 大包装/询价 |
| 说 明 书 | 100ul 200ul |
| 产品类型 | 内参抗体 |
| 研究领域 | 细胞生物 免疫学 细胞骨架 |
| 抗体来源 | Rabbit |
| 克隆类型 | Polyclonal |
| 交叉反应 | Human, Mouse, Rat, Chicken, Pig, Cow, |
| 产品应用 | WB=1:500-2000 ELISA=1:500-1000 IHC-P=1:400-800 IHC-F=1:400-800 ICC=1:100-500 IF=1:100-500 (石蜡切片需做抗原修复) not yet tested in other applications. optimal dilutions/concentrations should be determined by the end user. |
| 分 子 量 | 50kDa |
| 细胞定位 | 细胞浆 |
| 性 状 | Lyophilized or Liquid |
| 浓 度 | 1mg/ml |
| 免 疫 原 | KLH conjugated synthetic peptide derived from human TUBA1A + TUBA1B:401-451/451 |
| 亚 型 | IgG |
| 纯化方法 | affinity purified by Protein A |
| 储 存 液 | Preservative: 15mM Sodium Azide, Constituents: 1% BSA, 0.01M PBS, pH 7.4 |
| 保存条件 | Store at -20 °C for one year. Avoid repeated freeze/thaw cycles. The lyophilized antibody is stable at room temperature for at least one month and for greater than a year when kept at -20°C. When reconstituted in sterile pH 7.4 0.01M PBS or diluent of antibody the antibody is stable for at least two weeks at 2-4 °C. |
| PubMed | PubMed |
| 产品介绍 | background: Microtubules of the eukaryotic cytoskeleton perform essential and diverse functions and are composed of a heterodimer of alpha and beta tubulins. The genes encoding these microtubule constituents belong to the tubulin superfamily, which is composed of six distinct families. Genes from the alpha, beta and gamma tubulin families are found in all eukaryotes. The alpha and beta tubulins represent the major components of microtubules, while gamma tubulin plays a critical role in the nucleation of microtubule assembly. There are multiple alpha and beta tubulin genes, which are highly conserved among species. This gene encodes alpha tubulin and is highly similar to the mouse and rat Tuba1 genes. Northern blotting studies have shown that the gene expression is predominantly found in morphologically differentiated neurologic cells. This gene is one of three alpha-tubulin genes in a cluster on chromosome 12q. Mutations in this gene cause lissencephaly type 3 (LIS3) - a neurological condition characterized by microcephaly, mental retardation, and early-onset epilepsy and caused by defective neuronal migration. Alternative splicing results in multiple transcript variants encoding distinct isoforms. [provided by RefSeq, Jul 2012] Function: Tubulin is the major constituent of microtubules. It binds two moles of GTP, one at an exchangeable site on the beta chain and one at a non-exchangeable site on the alpha chain Subunit: Dimer of alpha and beta chains. A typical microtubule is a hollow water-filled tube with an outer diameter of 25 nm and an inner diameter of 15 nM. Alpha-beta heterodimers associate head-to-tail to form protofilaments running lengthwise along the microtubule wall with the beta-tubulin subunit facing the microtubule plus end conferring a structural polarity. Microtubules usually have 13 protofilaments but different protofilament numbers can be found in some organisms and specialized cells. Subcellular Location: Cytoplasm, cytoskeleton. Tissue Specificity: Ubiquitously expressed with highest levels in Brain, Bone, Adipocyte, and Breast Post-translational modifications: Undergoes a tyrosination/detyrosination cycle, the cyclic removal and re-addition of a C-terminal tyrosine residue by the enzymes tubulin tyrosine carboxypeptidase (TTCP) and tubulin tyrosine ligase (TTL), respectively. Some glutamate residues at the C-terminus are polyglutamylated. This modification occurs exclusively on glutamate residues and results in polyglutamate chains on the gamma-carboxyl group. Also monoglycylated but not polyglycylated due to the absence of functional TTLL10 in human. Monoglycylation is mainly limited to tubulin incorporated into axonemes (cilia and flagella) whereas glutamylation is prevalent in neuronal cells, centrioles, axonemes, and the mitotic spindle. Both modifications can coexist on the same protein on adjacent residues, and lowering glycylation levels increases polyglutamylation, and reciprocally. The precise function of such modifications is still unclear but they regulate the assembly and dynamics of axonemal microtubules (Probable). Acetylation of alpha chains at Lys-40 stabilizes microtubules and affects affinity and processivity of microtubule motors. This modification has a role in multiple cellular functions, ranging from cell motility, cell cycle progression or cell differentiation to intracellular trafficking and signaling (By similarity). Similarity: Belongs to the tubulin family. SWISS: Q71U36 Gene ID: 7846 Database links: TUBA1A: Entrez Gene: 7846 Human Entrez Gene: 22142 Mouse Entrez Gene: 64158 Rat Omim: 602529 Human SwissProt: Q71U36 Human SwissProt: P68369 Mouse SwissProt: P68370 Rat Unigene: 654422 Human Unigene: 405359 Mouse Unigene: 234326 Rat TUBA1B: Entrez Gene: 10376 Human Entrez Gene: 22143 Mouse Entrez Gene: 500929 Rat Omim: 602530 Human SwissProt: P68363 Human SwissProt: P05213 Mouse SwissProt: Q6P9V9 Rat Unigene: 524390 Human Unigene: 392113 Mouse Unigene: 99661 Rat Important Note: This product as supplied is intended for research use only, not for use in human, therapeutic or diagnostic applications. |
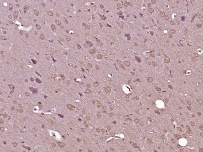
| 产品图片 |
Sample: Cerebrum (Mouse)Lysate at 40 ug
Primary: Anti-TUBA1A + TUBA1B(bs-20496R)at 1/300 dilution Secondary: IRDye800CW Goat Anti-RabbitIgG at 1/20000 dilution Predicted band size: 50kD Observed band size: 50kD
Paraformaldehyde-fixed, paraffin embedded (Rat brain); Antigen retrieval by boiling in sodium citrate buffer (pH6.0) for 15min; Block endogenous peroxidase by 3% hydrogen peroxide for 20 minutes; Blocking buffer (normal goat serum) at 37°C for 30min; Antibody incubation with (Tubulin alpha) Polyclonal Antibody, Unconjugated (bs-20496R) at 1:400 overnight at 4°C, followed by operating according to SP Kit(Rabbit) (sp-0023) instructionsand DAB staining.
|
风险提示:丁香通仅作为第三方平台,为商家信息发布提供平台空间。用户咨询产品时请注意保护个人信息及财产安全,合理判断,谨慎选购商品,商家和用户对交易行为负责。对于医疗器械类产品,请先查证核实企业经营资质和医疗器械产品注册证情况。
文献和实验相关实验
组织之间DNA微卫星体长度的差异,提示在肿瘤组织中发生了突变。 Microtubule 微管,真核细胞骨架的一种主要成分,主要由α、β微管蛋白异二聚体自己联合形成中空的圆柱形多聚体,该圆柱体由13条原丝组成,总直径为25nm。 Minisatellite 小卫星体,头尾串联的短DNA序列基序(14-100bp)。单位总数的变化会在某一小卫星体基因座产生许多等位基因。 Missense mutation 错义突变,密码了中
技术资料暂无技术资料 索取技术资料
TUBA1A + TUBA1B微管蛋白α 1A/1B
¥1380 - 2200












