相关产品推荐更多 >
万千商家帮你免费找货
0 人在求购买到急需产品
- 详细信息
- 文献和实验
- 技术资料
- 供应商:
上海联迈生物工程有限公司
- 库存:
大量
- 目录编号:
LM-20473R
- 克隆性:
多克隆
- 抗原来源:
Rabbit
- 保质期:
1年
- 抗体英文名:
BTN2A1
- 抗体名:
嗜乳脂蛋白2亚型A1抗体
- 宿主:
Rabbit
- 适应物种:
Human
- 免疫原:
KLH conjugated synthetic peptide derived from human BTN2A1:101-200/527 <Extracellular>
- 亚型:
IgG
- 形态:
Lyophilized or Liquid
- 应用范围:
ELISA=1:500-1000 IHC-P=1:400-800 IHC-F=1:400-800 Flow-Cyt=3μg/Test ICC=1:100-500 IF=1:100-500 (石蜡切片需做抗原修复)
- 浓度:
1mg/ml
- 保存条件:
Store at -20 °C
- 规格:
100ul 200ul
| 英文名称 | BTN2A1 |
| 中文名称 | 嗜乳脂蛋白2亚型A1抗体 |
| 别 名 | BK14H9.1; BT2.1; BT2A1_HUMAN; BTF1; BTN2A1; Butyrophilin BTF1; Butyrophilin subfamily 2 member A1; CTA-14H9.1; DJ3E1.1. |
| 规格价格 | 100ul/1380元 购买 200ul/2200元 购买 大包装/询价 |
| 说 明 书 | 100ul 200ul |
| 研究领域 | 细胞生物 信号转导 细胞凋亡 新陈代谢 |
| 抗体来源 | Rabbit |
| 克隆类型 | Polyclonal |
| 交叉反应 | Human, |
| 产品应用 | ELISA=1:500-1000 IHC-P=1:400-800 IHC-F=1:400-800 Flow-Cyt=3μg/Test ICC=1:100-500 IF=1:100-500 (石蜡切片需做抗原修复) not yet tested in other applications. optimal dilutions/concentrations should be determined by the end user. |
| 分 子 量 | 57kDa |
| 细胞定位 | 细胞膜 |
| 性 状 | Lyophilized or Liquid |
| 浓 度 | 1mg/ml |
| 免 疫 原 | KLH conjugated synthetic peptide derived from human BTN2A1:101-200/527 <Extracellular> |
| 亚 型 | IgG |
| 纯化方法 | affinity purified by Protein A |
| 储 存 液 | Preservative: 15mM Sodium Azide, Constituents: 1% BSA, 0.01M PBS, pH 7.4 |
| 保存条件 | Store at -20 °C for one year. Avoid repeated freeze/thaw cycles. The lyophilized antibody is stable at room temperature for at least one month and for greater than a year when kept at -20°C. When reconstituted in sterile pH 7.4 0.01M PBS or diluent of antibody the antibody is stable for at least two weeks at 2-4 °C. |
| PubMed | PubMed |
| 产品介绍 | background: This gene encodes a member of the immunoglobulin superfamily. The gene is located in a cluster of butyrophilin-like genes in the juxta-telomeric region of the major histocompatibility complex on chromosome 6. A pseudogene of this gene has been identified in this cluster. The encoded protein is an integral plasma membrane protein involved in lipid, fatty-acid, and sterol metabolism. Alterations in this gene may be associated with several disease states including metabolic syndrome. Multiple alternatively spliced transcript variants encoding different isoforms have been found for this gene. [provided by RefSeq, Jul 2013] Subcellular Location: Membrane; Single-pass type I membrane protein Tissue Specificity: Highly expressed in brain, bone marrow, small intestine, muscle, spleen and pancreas. Moderate expression was seen in lung, liver and kidney. Similarity: Belongs to the immunoglobulin superfamily. BTN/MOG family. Contains 1 B30.2/SPRY domain. Contains 1 Ig-like V-type (immunoglobulin-like) domain. SWISS: Q7KYR7 Gene ID: 11120 Database links: Entrez Gene: 11120 Human Omim: 613590 Human SwissProt: Q7KYR7 Human Unigene: 159028 Human Important Note: This product as supplied is intended for research use only, not for use in human, therapeutic or diagnostic applications. |
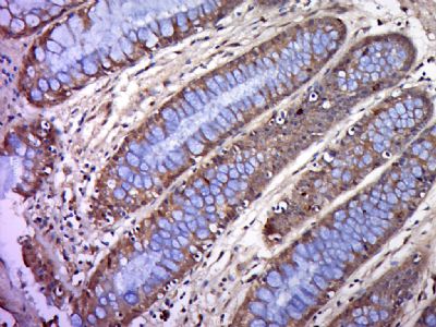
| 产品图片 |
Paraformaldehyde-fixed, paraffin embedded (Human colon cancer); Antigen retrieval by boiling in sodium citrate buffer (pH6.0) for 15min; Block endogenous peroxidase by 3% hydrogen peroxide for 20 minutes; Blocking buffer (normal goat serum) at 37°C for 30min; Antibody incubation with (BTN2A1) Polyclonal Antibody, Unconjugated (bs-20473R) at 1:400 overnight at 4°C, followed by a conjugated secondary (sp-0023) for 20 minutes and DAB staining.
Blank control:MCF7 cells (blue).
Primary Antibody: Rabbit Anti-BTN2A1 antibody(bs-20473R), Dilution: 5μg in 100 μL 1X PBS containing 0.5% BSA; Isotype Control Antibody: Rabbit IgG (orange) ,used under the same conditions. Secondary Antibody: Goat anti-rabbit IgG-PE(white blue), Dilution: 1:200 in 1 X PBS containing 0.5% BSA. |
风险提示:丁香通仅作为第三方平台,为商家信息发布提供平台空间。用户咨询产品时请注意保护个人信息及财产安全,合理判断,谨慎选购商品,商家和用户对交易行为负责。对于医疗器械类产品,请先查证核实企业经营资质和医疗器械产品注册证情况。
文献和实验细胞 T和B细胞的增殖分化,增强NK细胞,单核细胞杀伤活性 3 多集落刺激因子(multi-CSF) 活化的T细胞 多能造血干细胞增殖,促进肥大细胞,嗜酸,嗜碱性粒细胞增殖与分化 4 B细胞刺激因子(BSF-1) B细胞生长因子(BCGF-1)
、胰脏、膀胱和生殖器官等。胃壁非常薄,粘膜呈襞状。胃容量约为20~30ml。肠管较长,约为体长的10倍,其中盲肠发达约占整个腹部的三分之一。肝脏呈暗黄褐色,分为内侧左右叶、外侧左右叶和后叶。胆囊位于内侧左右叶之间。胰脏为一长而扁平的叶状腺体,粉红色,横位于腹腔前半部胃的背面。分头、体和尾叶。6、大脑在胚胎期42~45天脑发育成熟,大脑半球没有明显的回纹,只有原始的深沟,属于平滑脑组织,较其它同类动物发达。7、淋巴系统淋巴系统较为发达。脾脏呈扁平板状,位于胃大弯部。肺部淋巴结具有高度的反应性,在少量
第二类病原体引起慢性感染,而且需要大量能量以入侵。这些病原体可持续存在于宿主中且不致病;时常发病但不致命。一些病原体利用细胞外环境,可持续存在。这些胞外菌包含,幽门螺旋杆菌(生活在胃部),傅氏疏螺旋体(生活在关节、肌肉、神经系统)。胞内菌包含结核分枝杆菌(结核的病原体)。 当然,这些不同的存活方式并不是相互独立的。首先,一些胞内菌可引起感染性疾病,如单核增多性李氏杆菌,嗜肺军团菌(它们分别是李氏杆菌,军团病的病原体)。其次,引起伤寒的肠道沙门氏菌当感染和致病时,主要生活在胞外的巨噬
技术资料暂无技术资料 索取技术资料












