相关产品推荐更多 >
万千商家帮你免费找货
0 人在求购买到急需产品
- 详细信息
- 文献和实验
- 技术资料
- 供应商:
上海联迈生物工程有限公司
- 库存:
大量
- 目录编号:
LM-20392R
- 克隆性:
多克隆
- 抗原来源:
Rabbit
- 保质期:
1年
- 抗体英文名:
CD42b
- 抗体名:
血小板糖蛋白GPIb抗体
- 宿主:
Rabbit
- 适应物种:
Mouse, Rat,
- 免疫原:
KLH conjugated synthetic peptide derived from mouse CD42b:101-200/734 <Extracellular>
- 亚型:
IgG
- 形态:
Lyophilized or Liquid
- 应用范围:
WB=1:500-2000 ELISA=1:500-1000 IHC-P=1:400-800 IHC-F=1:400-800 ICC=1:100-500 IF=1:100-500 (石蜡切片需做抗原修复)
- 浓度:
1mg/ml
- 保存条件:
Store at -20 °C
- 规格:
100ul 200ul
| 英文名称 | CD42b |
| 中文名称 | 血小板糖蛋白GPIb抗体 |
| 别 名 | Antigen CD42b alpha; BSS; CD 42b; CD42b alpha; CD42b antigen; GLYCOCALICIN; Glycoprotein Ib (platelet) alpha polypeptide; Glycoprotein Ibalpha; GP Ib alpha; GP1B; GP1BA; GPIb alpha; MGC34595; Platelet glycoprotein Ib alpha chain; Platelet glycoprotein Ib alpha polypeptide; Platelet membrane glycoprotein 1b alpha subunit. |
| 规格价格 | 100ul/1380元 购买 200ul/2200元 购买 大包装/询价 |
| 说 明 书 | 100ul 200ul |
| 研究领域 | 心血管 细胞生物 免疫学 细胞粘附分子 细胞表面分子 |
| 抗体来源 | Rabbit |
| 克隆类型 | Polyclonal |
| 交叉反应 | Mouse, Rat, |
| 产品应用 | WB=1:500-2000 ELISA=1:500-1000 IHC-P=1:400-800 IHC-F=1:400-800 ICC=1:100-500 IF=1:100-500 (石蜡切片需做抗原修复) not yet tested in other applications. optimal dilutions/concentrations should be determined by the end user. |
| 分 子 量 | 67kDa |
| 细胞定位 | 细胞膜 |
| 性 状 | Lyophilized or Liquid |
| 浓 度 | 1mg/ml |
| 免 疫 原 | KLH conjugated synthetic peptide derived from mouse CD42b:101-200/734 <Extracellular> |
| 亚 型 | IgG |
| 纯化方法 | affinity purified by Protein A |
| 储 存 液 | Preservative: 15mM Sodium Azide, Constituents: 1% BSA, 0.01M PBS, pH 7.4 |
| 保存条件 | Store at -20 °C for one year. Avoid repeated freeze/thaw cycles. The lyophilized antibody is stable at room temperature for at least one month and for greater than a year when kept at -20°C. When reconstituted in sterile pH 7.4 0.01M PBS or diluent of antibody the antibody is stable for at least two weeks at 2-4 °C. |
| PubMed | PubMed |
| 产品介绍 | background: Glycoprotein Ib (GP Ib) is a platelet surface membrane glycoprotein composed of a heterodimer, an alpha chain and a beta chain, that is linked by disulfide bonds. The Gp Ib functions as a receptor for von Willebrand factor (VWF). The complete receptor complex includes noncovalent association of the alpha and beta subunits with platelet glycoprotein IX and platelet glycoprotein V. The binding of the GP Ib-IX-V complex to VWF facilitates initial platelet adhesion to vascular subendothelium after vascular injury, and also initiates signaling events within the platelet that lead to enhanced platelet activation, thrombosis, and hemostasis. This gene encodes the alpha subunit. Several polymorphisms and mutations have been described in this gene, some of which are the cause of Bernard-Soulier syndromes and platelet-type von Willebrand disease. [provided by RefSeq, Mar 2010]. Function: GP-Ib, a surface membrane protein of platelets, participates in the formation of platelet plugs by binding to the A1 domain of vWF, which is already bound to the subendothelium. Subunit: Heterodimer composed of GP-Ib alpha and beta; disulfide linked. GP-IX is complexed with the GP-Ib heterodimer via a non covalent linkage. Interacts with FLNB. Subcellular Location: Membrane; Single-pass type I membrane protein. Post-translational modifications: Glycocalicin, which is approximately coextensive with the extracellular part of the molecule, is cleaved off by calpain during platelet lysis. DISEASE: Genetic variations in GP1BA may be a cause of susceptibility to non-arteritic anterior ischemic optic neuropathy (NAION) [MIM:258660]. NAION is an ocular disease due to ischemic injury to the optic nerve. It usually affects the optic disk and leads to visual loss and optic disk swelling of a pallid nature. Visual loss is usually sudden, or over a few days at most and is usually permanent, with some recovery possibly occurring within the first weeks or months. Patients with small disks having smaller or non-existent cups have an anatomical predisposition for non-arteritic anterior ischemic optic neuropathy. As an ischemic episode evolves, the swelling compromises circulation, with a spiral of ischemia resulting in further neuronal damage. Defects in GP1BA are a cause of Bernard-Soulier syndrome (BSS) [MIM:231200]; also known as giant platelet disease (GPD). BSS patients have unusually large platelets and have a clinical bleeding tendency. Defects in GP1BA are the cause of benign Mediterranean macrothrombocytopenia (BMM) [MIM:153670]; also known as autosomal dominant benign Bernard-Soulier syndrome. BMM is characterized by mild or no clinical symptoms, normal platelet function, and normal megakaryocyte count. Defects in GP1BA are the cause of von Willebrand disease platelet-type (PVWD) [MIM:177820]; also known as pseudo-von Willebrand disease (pseudo-vWD). This autosomal dominant bleeding disorder is caused by an increased affinity of GP-Ib for soluble vWF resulting in impaired hemostatic function due to the removal of vWF from the circulation. Similarity: Contains 7 LRR (leucine-rich) repeats. Contains 1 LRRCT domain. Contains 1 LRRNT domain. SWISS: O35930 Gene ID: 14723 Database links: Entrez Gene: 2811 Human Entrez Gene: 14723 Mouse Omim: 606672 Human SwissProt: P07359 Human SwissProt: O35930 Mouse Unigene: 1472 Human Unigene: 377085 Mouse Important Note: This product as supplied is intended for research use only, not for use in human, therapeutic or diagnostic applications. |
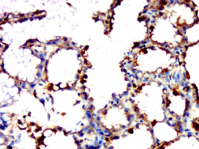
| 产品图片 | ![]() Sample: B16 Cell (Mouse) Lysate at 40 ug Primary: Anti-CD42b (bs-20392R) at 1/300 dilution Secondary: IRDye800CW Goat Anti-Rabbit IgG at 1/20000 dilution Predicted band size: 67 kD Observed band size: 67 kD ![]() Paraformaldehyde-fixed, paraffin embedded (rat mammary gland); Antigen retrieval by boiling in sodium citrate buffer (pH6.0) for 15min; Block endogenous peroxidase by 3% hydrogen peroxide for 20 minutes; Blocking buffer (normal goat serum) at 37°C for 30min; Antibody incubation with (CD42b) Polyclonal Antibody, Unconjugated (bs-20392R) at 1:400 overnight at 4°C, followed by a conjugated secondary (sp-0023) for 20 minutes and DAB staining. |
风险提示:丁香通仅作为第三方平台,为商家信息发布提供平台空间。用户咨询产品时请注意保护个人信息及财产安全,合理判断,谨慎选购商品,商家和用户对交易行为负责。对于医疗器械类产品,请先查证核实企业经营资质和医疗器械产品注册证情况。
文献和实验人血小板膜糖蛋白ⅠbⅨα(GP-ⅠbⅨα/CD42b+CD42a)抗体
人血小板膜糖蛋白Ⅰb Ⅸα(GP- Ⅰb Ⅸα/CD42b+CD42a )抗体 酶联免疫分析试剂盒使用说明书 本试剂仅供研究使用 目的:本试剂盒用于测定人血清,血浆及相关液体样本中血小板膜糖蛋白Ⅰb Ⅸα(GP- Ⅰb Ⅸα/CD42b+CD42a )抗体 的含量。 实验原理: 本试剂盒应用双抗原夹心法测定标本中人血小板膜糖蛋白Ⅰ b Ⅸα( GP- Ⅰ b Ⅸα /CD42b+CD42a )抗体
血小板膜糖蛋白自身抗体检测 【参考范围】 1.血小板表面阴性(抗原抗体复合物法)。 2.血清阴性(抗原抗体复合物法)。 【影响因素】1.选择的正常对照血小板必须是“O”型血的供者,以免过多的干扰。 2.“O”型血混合血小板的准备要十分重视。医学教|育网搜集整理需20人以上的供者,不然将无可比性。 【临床意义】1.血小板膜糖蛋白自身抗体与免疫性血小板减少性紫癜、某些类型的输血后紫癜及新生儿紫癜有关。 2.血小板膜糖蛋白GPIb-Ⅲ
人血小板膜糖蛋白IIbIIIa(GP-IIbIIIa/CD41+CD61)抗体
人血小板膜糖蛋白IIbIIIa(GP-IIbIIIa/CD41+CD61) 抗体 酶联免疫分析试剂盒使用说明书 本试剂仅供研究使用 目的:本试剂盒用于测定人血清,血浆及相关液体样本中血小板膜糖蛋白IIbIIIa(GP-IIbIIIa/CD41+CD61) 抗体 的含量。 实验原理: 本试剂盒应用双抗原夹心法测定标本中人血小板膜糖蛋白 IIbIIIa(GP-IIbIIIa/CD41+CD61) 抗体
技术资料暂无技术资料 索取技术资料












