相关产品推荐更多 >
万千商家帮你免费找货
0 人在求购买到急需产品
- 详细信息
- 文献和实验
- 技术资料
- 供应商:
上海联迈生物工程有限公司
- 库存:
大量
- 目录编号:
LM-20224R
- 克隆性:
多克隆
- 抗原来源:
Rabbit
- 保质期:
1年
- 抗体英文名:
PIWIL1
- 抗体名:
piwi样1蛋白抗体
- 宿主:
Rabbit
- 适应物种:
Human, Mouse, Chicken, Dog, Pig, Cow, Horse, Rabbit, Sheep,
- 免疫原:
KLH conjugated synthetic peptide derived from human PIWIL1:421-520/861
- 亚型:
IgG
- 形态:
Lyophilized or Liquid
- 应用范围:
WB=1:500-2000 ELISA=1:500-1000 IHC-P=1:400-800 IHC-F=1:400-800 Flow-Cyt=1μg/Test ICC=1:100-500 IF=1:100-500 (石蜡切片需做抗原修复)
- 浓度:
1mg/ml
- 保存条件:
Store at -20 °C
- 规格:
100ul 200ul
| 英文名称 | PIWIL1 |
| 中文名称 | piwi样1蛋白抗体 |
| 别 名 | PIWL1_HUMAN; Piwi-like protein 1. |
| 规格价格 | 100ul/1380元 购买 200ul/2200元 购买 大包装/询价 |
| 说 明 书 | 100ul 200ul |
| 研究领域 | 肿瘤 细胞生物 免疫学 信号转导 转录调节因子 |
| 抗体来源 | Rabbit |
| 克隆类型 | Polyclonal |
| 交叉反应 | Human, Mouse, Chicken, Dog, Pig, Cow, Horse, Rabbit, Sheep, |
| 产品应用 | WB=1:500-2000 ELISA=1:500-1000 IHC-P=1:400-800 IHC-F=1:400-800 Flow-Cyt=1μg/Test ICC=1:100-500 IF=1:100-500 (石蜡切片需做抗原修复) not yet tested in other applications. optimal dilutions/concentrations should be determined by the end user. |
| 分 子 量 | 99kDa |
| 细胞定位 | 细胞浆 |
| 性 状 | Lyophilized or Liquid |
| 浓 度 | 1mg/ml |
| 免 疫 原 | KLH conjugated synthetic peptide derived from human PIWIL1:421-520/861 |
| 亚 型 | IgG |
| 纯化方法 | affinity purified by Protein A |
| 储 存 液 | 0.01M TBS(pH7.4) with 1% BSA, 0.03% Proclin300 and 50% Glycerol. |
| 保存条件 | Store at -20 °C for one year. Avoid repeated freeze/thaw cycles. The lyophilized antibody is stable at room temperature for at least one month and for greater than a year when kept at -20°C. When reconstituted in sterile pH 7.4 0.01M PBS or diluent of antibody the antibody is stable for at least two weeks at 2-4 °C. |
| PubMed | PubMed |
| 产品介绍 | Function: 1 attaches the virion to the cell membrane by interacting with human ACE2 and CLEC4M/DC-SIGNR, initiating the infection. Binding to the receptor and internalization of the virus into the endosomes of the host cell probably induces conformational changes in the S glycoprotein. Proteolysis by cathepsin CTSL may unmask the fusion peptide of S2 and activate membranes fusion within endosomes. S2 is a class I viral fusion protein. Under the current model, the protein has at least three conformational states: pre-fusion native state, pre-hairpin intermediate state, and post-fusion hairpin state. During viral and target cell membrane fusion, the coiled coil regions (heptad repeats) assume a trimer-of-hairpins structure, positioning the fusion peptide in close proximity to the C-terminal region of the ectodomain. The formation of this structure appears to drive apposition and subsequent fusion of viral and target cell membranes. Subunit: Homotrimer. Binds to human and palm civet ACE2 and human CLEC4M/DC-SIGNR. Interacts with the accessory proteins 3a and 7a. {ECO:0000269|PubMed:14647384, ECO:0000269|PubMed:14670965, ECO:0000269|PubMed:15194747, ECO:0000269|PubMed:15496474, ECO:0000269|PubMed:16166518, ECO:0000269|PubMed:16840309}. Subcellular Location: Virion membrane {ECO:0000269|PubMed:15831954}; Single-pass type I membrane protein {ECO:0000269|PubMed:15831954}. Host endoplasmic reticulum-Golgi intermediate compartment membrane {ECO:0000250}; Single-pass type I membrane protein {ECO:0000250}. Host cell membrane {ECO:0000269|PubMed:15831954}; Single-pass type I membrane protein {ECO:0000269|PubMed:15831954}. Note=Accumulates in the endoplasmic reticulum-Golgi intermediate compartment, where it participates in virus particle assembly (By similarity). Some S oligomers are transported to the plasma membrane, where they may mediate cell-cell fusion. {ECO:0000250}. Post-translational modifications: he cytoplasmic Cys-rich domain is palmitoylated. Spike glycoprotein is digested by cathepsin CTSL within endosomes. {ECO:0000269|PubMed:17134730}. Similarity: Belongs to the coronaviruses spike protein family. {ECO:0000305}. SWISS: Q96J94 Gene ID: 9271 Database links:
Entrez Gene: 9271 Human Entrez Gene: 57749 Mouse Entrez Gene: 363912 Rat Omim: 605571 Human SwissProt: Q96J94 Human SwissProt: Q9JMB7 Mouse Unigene: 405659 Human Unigene: 272720 Mouse Unigene: 131387 Rat Important Note: This product as supplied is intended for research use only, not for use in human, therapeutic or diagnostic applications. |
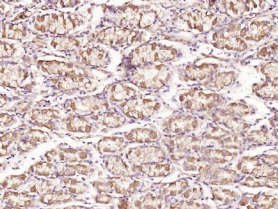
| 产品图片 | ![]() Paraformaldehyde-fixed, paraffin embedded (Human stomach carcinoma); Antigen retrieval by boiling in sodium citrate buffer (pH6.0) for 15min; Block endogenous peroxidase by 3% hydrogen peroxide for 20 minutes; Blocking buffer (normal goat serum) at 37°C for 30min; Antibody incubation with (PIWL1) Polyclonal Antibody, Unconjugated (bs-20224R) at 1:500 overnight at 4°C, followed by a conjugated secondary (sp-0023) for 20 minutes and DAB staining. ![]() Blank control(blue): TM4 cells(fixed with 2% paraformaldehyde (10 min) , then permeabilized with 90% ice-cold methanol for 30 min on ice). Primary Antibody:Rabbit Anti-PIWIL1 antibody(bs-20224R), Dilution: 5μg in 100 μL 1X PBS containing 0.5% BSA; Isotype Control Antibody: Rabbit IgG(orange) ,used under the same conditions ); Secondary Antibody: Goat anti-rabbit IgG-PE(white blue), Dilution: 1:200 in 1 X PBS containing 0.5% BSA. |
风险提示:丁香通仅作为第三方平台,为商家信息发布提供平台空间。用户咨询产品时请注意保护个人信息及财产安全,合理判断,谨慎选购商品,商家和用户对交易行为负责。对于医疗器械类产品,请先查证核实企业经营资质和医疗器械产品注册证情况。
文献和实验,whereas mature Piwi complexes are imported into the nucleus and mediate heterochromatin assembly and transcriptional silencing, or co-transcriptional RNA destruction。 盼望高人解释啊!谢谢! freecell 类核周体 类核周体是在许多动物卵母细胞发育中出现的特殊结构。不同学者观察不同
自身抗体 autoantibody 自身的抗体形成细胞所形成的对抗自身组成成分的抗体。与此抗体起反应的抗原称为自身抗原(au- toantigen)。自身抗体有类风湿性关节炎的抗IgG抗体,桥本氏病(淋巴结样甲状腺炎)的抗甲状腺球蛋白抗体和全身性红斑性狼疮的抗DNA抗体等。
%,大部分红细胞为正常红细胞(或均一性红细胞)。 近来,区分肾性和非肾性血尿的新方法有: ①棘形红细胞百分率法:即红细胞具有1个或多个胞质突起的炸面圈样细胞≥5%为标准。 ②红细胞容积曲线法:肾性血尿,呈不对称曲线,尿红细胞整理平均容积(MCV)小于静脉血MCV;非肾源性血尿,红细胞容积曲线法呈对称曲线,尿红细胞的MCV大于静脉血红细胞的MCV. ③流式细胞术:测定抗血红蛋白抗体或抗Tamm-Horsfall蛋白抗体染色的红细胞,以鉴别血尿。 (3)混合性血尿
技术资料暂无技术资料 索取技术资料












