相关产品推荐更多 >
万千商家帮你免费找货
0 人在求购买到急需产品
- 详细信息
- 询价记录
- 文献和实验
- 技术资料
- 供应商:
上海联迈生物工程有限公司
- 库存:
大量
- 目录编号:
LM-20144R
- 克隆性:
多克隆
- 抗原来源:
Rabbit
- 保质期:
1年
- 抗体英文名:
SFRS9
- 抗体名:
丝氨酸/苏氨酸SFRS9抗体
- 宿主:
Rabbit
- 适应物种:
Human, Mouse, Rat, Dog, Pig, Horse,
- 免疫原:
KLH conjugated synthetic peptide derived from human SFRS9:101-200/221
- 亚型:
IgG
- 形态:
Lyophilized or Liquid
- 应用范围:
ELISA=1:500-1000 IHC-P=1:400-800 IHC-F=1:400-800 ICC=1:100-500 IF=1:100-500 (石蜡切片需做抗原修复)
- 浓度:
1mg/ml
- 保存条件:
Store at -20 °C
- 规格:
100ul 200ul
| 英文名称 | SFRS9 |
| 中文名称 | 丝氨酸/苏氨酸SFRS9抗体 |
| 别 名 | arginine/serine-rich 9; Pre mRNA splicing factor SRp30C; Pre-mRNA-splicing factor SRp30C; Serine/arginine-rich splicing factor 9; SFRS 9; Splicing factor; Splicing factor arginine/serine rich 9; splicing factor, arginine/serine-rich 9; splicing factor, arginine/serine-rich, 30-KD, C; SR splicing factor 9; SRP30C; SRSF9; SRSF9_HUMAN. |
| 规格价格 | 100ul/1380元 购买 200ul/2200元 购买 大包装/询价 |
| 说 明 书 | 100ul 200ul |
| 研究领域 | 细胞生物 信号转导 激酶和磷酸酶 表观遗传学 |
| 抗体来源 | Rabbit |
| 克隆类型 | Polyclonal |
| 交叉反应 | Human, Mouse, Rat, Dog, Pig, Horse, |
| 产品应用 | ELISA=1:500-1000 IHC-P=1:400-800 IHC-F=1:400-800 ICC=1:100-500 IF=1:100-500 (石蜡切片需做抗原修复) not yet tested in other applications. optimal dilutions/concentrations should be determined by the end user. |
| 分 子 量 | 26kDa |
| 细胞定位 | 细胞核 |
| 性 状 | Lyophilized or Liquid |
| 浓 度 | 1mg/ml |
| 免 疫 原 | KLH conjugated synthetic peptide derived from human SFRS9:101-200/221 |
| 亚 型 | IgG |
| 纯化方法 | affinity purified by Protein A |
| 储 存 液 | 0.01M TBS(pH7.4) with 1% BSA, 0.03% Proclin300 and 50% Glycerol. |
| 保存条件 | Store at -20 °C for one year. Avoid repeated freeze/thaw cycles. The lyophilized antibody is stable at room temperature for at least one month and for greater than a year when kept at -20°C. When reconstituted in sterile pH 7.4 0.01M PBS or diluent of antibody the antibody is stable for at least two weeks at 2-4 °C. |
| PubMed | PubMed |
| 产品介绍 | background: The protein encoded by this gene is a member of the serine/arginine (SR)-rich family of pre-mRNA splicing factors, which constitute part of the spliceosome. Each of these factors contains an RNA recognition motif (RRM) for binding RNA and an RS domain for binding other proteins. The RS domain is rich in serine and arginine residues and facilitates interaction between different SR splicing factors. In addition to being critical for mRNA splicing, the SR proteins have also been shown to be involved in mRNA export from the nucleus and in translation. Two pseudogenes, one on chromosome 15 and the other on chromosome 21, have been found for this gene. [provided by RefSeq, Sep 2010] Function: Plays a role in constitutive splicing and can modulate the selection of alternative splice sites. Represses the splicing of MAPT/Tau exon 10. Subcellular Location: Nucleus. Cellular stresses such as heat shock may induce localization to discrete nuclear bodies termed SAM68 nuclear bodies (SNBs), HAP bodies, or stress bodies. Numerous splicing factors including SRSF1/SFRS1/SF2, SRSF7/SFRS7, SAFB and KHDRBS1/SAM68 accumulate at these structures, which may participate in the post-transcriptional regulation of mRNAs in stressed cells. Tissue Specificity: Expressed at high levels in the heart, kidney, pancreas and placenta, and at lower levels in the brain, liver, lung and skeletal muscle. Post-translational modifications: Extensively phosphorylated on serine residues in the RS domain. Similarity: Belongs to the splicing factor SR family. Contains 2 RRM (RNA recognition motif) domains. SWISS: Q13242 Gene ID: 8683 Database links: Entrez Gene: 8683 Human Entrez Gene: 108014 Mouse Entrez Gene: 100154637 Pig Entrez Gene: 288701 Rat Omim: 601943 Human SwissProt: Q13242 Human SwissProt: Q9D0B0 Mouse SwissProt: Q5PPI1 Rat Unigene: 706889 Human Unigene: 728777 Human Unigene: 287826 Mouse Unigene: 136718 Rat Important Note: This product as supplied is intended for research use only, not for use in human, therapeutic or diagnostic applications. |
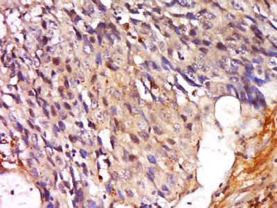
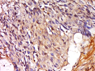
| 产品图片 | ![]() Tissue/cell: human colon cancer; 4% Paraformaldehyde-fixed and paraffin-embedded; Antigen retrieval: citrate buffer ( 0.01M, pH 6.0 ), Boiling bathing for 15min; Block endogenous peroxidase by 3% Hydrogen peroxide for 30min; Blocking buffer (normal goat serum,C-0005) at 37℃ for 20 min; Incubation: Anti-SFRS9 Polyclonal Antibody, Unconjugated(bs-20144R) 1:400, overnight at 4°C, followed by conjugation to the secondary antibody(SP-0023) and DAB(C-0010) staining |
风险提示:丁香通仅作为第三方平台,为商家信息发布提供平台空间。用户咨询产品时请注意保护个人信息及财产安全,合理判断,谨慎选购商品,商家和用户对交易行为负责。对于医疗器械类产品,请先查证核实企业经营资质和医疗器械产品注册证情况。
- 作者
- 内容
- 询问日期
文献和实验的研究已经成为蛋白质科学的热点之一。 磷酸化多肽(主要指肽链中的酪氨酸、丝氨酸和苏氨酸残基的侧链羟基被磷酸化生成酸式磷酸酯的修饰多肽)是研究蛋白质磷酸化过程的必不可少的工具,它可作为磷酸酶模型底物,或作为可产生抗磷酸化蛋白抗体的抗原,也可以在确定磷酸化蛋白的物理参数时作为参考化合物等[3]。因此磷酸化多肽的合成在过去的几年中吸引了相当大的兴趣,目前已确定了较为成熟的合成路线,使磷酸化多肽的合成趋于常规。目前磷酸化多肽的合成主要有两个策略:后磷酸化法(Global
1. 前言 蛋白质翻译后磷酸化修饰是影响真核细胞每一个细胞内活动过程的最丰富的细胞调节形式。一个蛋白质的磷酸化能引起结构、稳定性、酶活,与其他分子之间相互作用的能力或其亚细胞定位的改变。蛋白激酶催化可逆的蛋白质底物的磷酸化,作用在其丝氨 酸、苏氨酸和酪氨酸残基位点上。如在拟南芥中,丝氨酸/苏氨酸激酶占整个蛋白质组 的 4% [1] ,但对它们的生物学功能还不十分了解。因此,我们需要能开展蛋白激酶全球分析的高通量蛋白质组学方法[ 2,3] 来鉴定下游底物。 用于确定磷酸化共有
进行全面审查。因此,本概述仅涉及当今蛋白质研究中研究的少数最常见类型的 PTM。此外,更多的重点放在磷酸化、糖基化和泛素化,因此这些 PTM 在各自的 PTM 专页中进行了更详细的描述。1、Phosphorylation:可逆的蛋白质磷酸化,主要发生在丝氨酸、苏氨酸或酪氨酸残基上,是目前研究得最深入的翻译后修饰之一。磷酸化在细胞周期、生长、凋亡和信号转导等过程中起着重要的调控作用。在以下示例中,使用蛋白免疫印迹分析评价分别用表皮生长因子 (EGF) 和血小板衍生生长因子 (PDGF) 刺激血清
技术资料暂无技术资料 索取技术资料











