相关产品推荐更多 >
万千商家帮你免费找货
0 人在求购买到急需产品
- 详细信息
- 技术资料
- 供应商:
上海抚生
- 库存:
大量
- 靶点:
MOT8
- 克隆性:
多克隆
- 抗原来源:
Rabbit
- 抗体英文名:
Anti-MOT8/SLC16A2
- 抗体名:
甲状腺激素转运蛋白/单羧酸转运蛋白7/8抗体
- 标记物:
HRP,AKP
- 宿主:
人,鼠,猴,鸡,狗,猪等
- 适应物种:
Human, Mouse, Rat, Rabbit
- 免疫原:
KLH conjugated synthetic peptide derived from human MOT8/SLC16A2 (101-200aa)
- 亚型:
IgG
- 形态:
冻干或液体
- 应用范围:
WB,ELISA,ICC,IP等
- 浓度:
1mg/1ml
- 保存条件:
-20℃
- 规格:
0.2ml/200μg
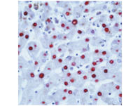
甲状腺激素转运蛋白/单羧酸转运蛋白7/8抗体产品介绍:
英文名称 Anti-MOT8/SLC16A2
中文名称 甲状腺激素转运蛋白/单羧酸转运蛋白7/8抗体
别 名 AHDS; DXS 128; DXS 128E; DXS128; DXS128 E; DXS128E; MCT 7; MCT 8; MCT7; MCT8; Monocarboxylate transporter 7; Monocarboxylate transporter 8; MOT 8; MOT8_HUMAN; MRX 22; MRX22; SLC16 A2; SLC16A 2; SLC16A2; Solute carrier family 16 (monocarboxylic acid transporters), member 2; Solute carrier family 16 member 2; Solute carrier family 16, member 2 (monocarboxylic acid transporter 8); Solute carrier family 16, member 2 (thyroid hormone transporter); Solute carrier family 16, member 2; X linked PEST containing transporter; X-linked PEST-containing transporter; XPCT.
浓 度 1mg/1ml
规 格 0.2ml/200μg
抗体来源 Rabbit
克隆类型 polyclonal
交叉反应 Human, Mouse, Rat, Rabbit
产品类型 一抗
研究领域 细胞生物 神经生物学 信号转导 生长因子和激素
蛋白分子量 predicted molecular weight:
59kDa
性 状 Lyophilized or Liquid
免 疫 原 KLH conjugated synthetic peptide derived from human MOT8/SLC16A2 (101-200aa)
亚 型 IgG
纯化方法 affinity purified by Protein A
储 存 液 Preservative: 15mM Sodium Azide, Constituents: 1% BSA, 0.01M PBS, pH 7.4
产品应用 WB=1:100-500 ELISA=1:500-1000 IHC-P=1:100-500 IHC-F=1:100-500 Flow-Cyt=1:100-500 ICC=1:100-500 IF=1:100-500
公司优势:
甲状腺激素转运蛋白/单羧酸转运蛋白7/8抗体操作流程:
我们还提供:
现货供应 C-型凝集素域家族14成员A 多克隆抗体 CLC14 Polyclonal Antibody
现货供应 C型凝集素域家族12A 多克隆抗体 CL12A Polyclonal Antibody
现货供应 C-型凝集素域家族10成员A 多克隆抗体 CLC10 Polyclonal Antibody
现货供应 C末端结合蛋白1 多克隆抗体 CTBP1 Polyclonal Antibody
现货供应 Cytochrome P450抗体 Cytochrome P450 Antibody,AHH,AHRR,CYP1A1,CP11,CYP1,P1-450,CYPIA1,P450-C,,P450DX,P450-P1
现货供应 Cytochrome c抗体 Cytochrome c Antibody,CYCS,CYC
现货供应 Cytochrome c抗体 Cytochrome c Antibody,CYCS,CYC
甲状腺激素转运蛋白/单羧酸转运蛋白7/8抗体特价促销 大鼠维生素C(VC)ELISA试剂盒 96T/48T 免费代测
特价促销 大鼠维生素D(VD)ELISA试剂盒 96T/48T 免费代测
特价促销 大鼠维生素D2(VD2)ELISA试剂盒 96T/48T 免费代测
特价促销 大鼠维生素D3(VD3)ELISA试剂盒 96T/48T 免费代测
特价促销 大鼠维生素E(VE)ELISA试剂盒 96T/48T 免费代测
特价促销 大鼠维生素K1(VK1)ELISA试剂盒 96T/48T 免费代测
英文名称 Anti-MOT8/SLC16A2
中文名称 甲状腺激素转运蛋白/单羧酸转运蛋白7/8抗体
别 名 AHDS; DXS 128; DXS 128E; DXS128; DXS128 E; DXS128E; MCT 7; MCT 8; MCT7; MCT8; Monocarboxylate transporter 7; Monocarboxylate transporter 8; MOT 8; MOT8_HUMAN; MRX 22; MRX22; SLC16 A2; SLC16A 2; SLC16A2; Solute carrier family 16 (monocarboxylic acid transporters), member 2; Solute carrier family 16 member 2; Solute carrier family 16, member 2 (monocarboxylic acid transporter 8); Solute carrier family 16, member 2 (thyroid hormone transporter); Solute carrier family 16, member 2; X linked PEST containing transporter; X-linked PEST-containing transporter; XPCT.
浓 度 1mg/1ml
规 格 0.2ml/200μg
抗体来源 Rabbit
克隆类型 polyclonal
交叉反应 Human, Mouse, Rat, Rabbit
产品类型 一抗
研究领域 细胞生物 神经生物学 信号转导 生长因子和激素
蛋白分子量 predicted molecular weight:
59kDa
性 状 Lyophilized or Liquid
免 疫 原 KLH conjugated synthetic peptide derived from human MOT8/SLC16A2 (101-200aa)
亚 型 IgG
纯化方法 affinity purified by Protein A
储 存 液 Preservative: 15mM Sodium Azide, Constituents: 1% BSA, 0.01M PBS, pH 7.4
产品应用 WB=1:100-500 ELISA=1:500-1000 IHC-P=1:100-500 IHC-F=1:100-500 Flow-Cyt=1:100-500 ICC=1:100-500 IF=1:100-500
公司优势:
| 1)公司主营生物试剂,皆为科研前沿产品,产品针对性强,主要面向各大高校科研基地、科研机构以及研发性企业的客户。 2)公司拥有资深的专业背景,不仅能与国际接轨,还具备自身的研发实力。我司以一批优秀的专业技术人才,为您提供周到的技术服务和支持。 3)公司提供的细胞为美国保藏中心ATCC的细胞,为世界知名品牌。 4)甲状腺激素转运蛋白/单羧酸转运蛋白7/8抗体现货供应,供货周期短,能满足客户的急需,欢迎来电咨询。 |
甲状腺激素转运蛋白/单羧酸转运蛋白7/8抗体操作流程:
我们还提供:
现货供应 C-型凝集素域家族14成员A 多克隆抗体 CLC14 Polyclonal Antibody
现货供应 C型凝集素域家族12A 多克隆抗体 CL12A Polyclonal Antibody
现货供应 C-型凝集素域家族10成员A 多克隆抗体 CLC10 Polyclonal Antibody
现货供应 C末端结合蛋白1 多克隆抗体 CTBP1 Polyclonal Antibody
现货供应 Cytochrome P450抗体 Cytochrome P450 Antibody,AHH,AHRR,CYP1A1,CP11,CYP1,P1-450,CYPIA1,P450-C,,P450DX,P450-P1
现货供应 Cytochrome c抗体 Cytochrome c Antibody,CYCS,CYC
现货供应 Cytochrome c抗体 Cytochrome c Antibody,CYCS,CYC
甲状腺激素转运蛋白/单羧酸转运蛋白7/8抗体特价促销 大鼠维生素C(VC)ELISA试剂盒 96T/48T 免费代测
特价促销 大鼠维生素D(VD)ELISA试剂盒 96T/48T 免费代测
特价促销 大鼠维生素D2(VD2)ELISA试剂盒 96T/48T 免费代测
特价促销 大鼠维生素D3(VD3)ELISA试剂盒 96T/48T 免费代测
特价促销 大鼠维生素E(VE)ELISA试剂盒 96T/48T 免费代测
特价促销 大鼠维生素K1(VK1)ELISA试剂盒 96T/48T 免费代测
风险提示:丁香通仅作为第三方平台,为商家信息发布提供平台空间。用户咨询产品时请注意保护个人信息及财产安全,合理判断,谨慎选购商品,商家和用户对交易行为负责。对于医疗器械类产品,请先查证核实企业经营资质和医疗器械产品注册证情况。
技术资料暂无技术资料 索取技术资料
甲状腺激素转运蛋白/单羧酸转运蛋白7/8抗体
询价









