相关产品推荐更多 >
万千商家帮你免费找货
0 人在求购买到急需产品
- 详细信息
- 文献和实验
- 技术资料
- 供应商:
上海联迈生物工程有限公司
- 库存:
大量
- 目录编号:
LM-19577R
- 克隆性:
多克隆
- 抗原来源:
Rabbit
- 保质期:
1年
- 抗体英文名:
PSMG1
- 抗体名:
蛋白酶体组装分子伴侣1抗体
- 宿主:
Rabbit
- 适应物种:
Human, Mouse,
- 免疫原:
KLH conjugated synthetic peptide derived from human PSMG1:21-100/288
- 亚型:
IgG
- 形态:
Lyophilized or Liquid
- 应用范围:
WB=1:500-2000 ELISA=1:500-1000 IHC-P=1:400-800 IHC-F=1:400-800 ICC=1:100-500 IF=1:100-500 (石蜡切片需做抗原修复)
- 浓度:
1mg/ml
- 保存条件:
Store at -20 °C
- 规格:
100ul 200ul
| 英文名称 | PSMG1 |
| 中文名称 | 蛋白酶体组装分子伴侣1抗体 |
| 别 名 | AW552102; c21 LRP; PSMG1_HUMAN; C21LRP; Chromosome 21 leucine rich protein; Down syndrome critical region gene 2; Down syndrome critical region protein 2; Down syndrome critical region protein 2 homolog; DSCR2; leucine rich protein C21 LRP; LRPC21; PAC-1; PAC1; proteasome (prosome, macropain) assembly chaperone 1; proteasome assembling chaperone 1; Proteasome assembly chaperone 1. |
| 规格价格 | 100ul/1380元 购买 200ul/2200元 购买 大包装/询价 |
| 说 明 书 | 100ul 200ul |
| 研究领域 | 细胞生物 信号转导 泛素 |
| 抗体来源 | Rabbit |
| 克隆类型 | Polyclonal |
| 交叉反应 | Human, Mouse, |
| 产品应用 | WB=1:500-2000 ELISA=1:500-1000 IHC-P=1:400-800 IHC-F=1:400-800 ICC=1:100-500 IF=1:100-500 (石蜡切片需做抗原修复) not yet tested in other applications. optimal dilutions/concentrations should be determined by the end user. |
| 分 子 量 | 33kDa |
| 细胞定位 | 细胞浆 |
| 性 状 | Lyophilized or Liquid |
| 浓 度 | 1mg/ml |
| 免 疫 原 | KLH conjugated synthetic peptide derived from human PSMG1:21-100/288 |
| 亚 型 | IgG |
| 纯化方法 | affinity purified by Protein A |
| 储 存 液 | 0.01M TBS(pH7.4) with 1% BSA, 0.03% Proclin300 and 50% Glycerol. |
| 保存条件 | Store at -20 °C for one year. Avoid repeated freeze/thaw cycles. The lyophilized antibody is stable at room temperature for at least one month and for greater than a year when kept at -20°C. When reconstituted in sterile pH 7.4 0.01M PBS or diluent of antibody the antibody is stable for at least two weeks at 2-4 °C. |
| PubMed | PubMed |
| 产品介绍 | background: PSMG1 is a chaperone protein which promotes assembly of the 20S proteasome as part of a heterodimer with PSMG2. The PSMG1-PSMG2 heterodimer binds to the PSMA5 and PSMA7 proteasome subunits, promotes assembly of the proteasome alpha subunits into the heteroheptameric alpha ring and prevents alpha ring dimerization. There are two named isoforms. Function: Chaperone protein which promotes assembly of the 20S proteasome as part of a heterodimer with PSMG2. The PSMG1-PSMG2 heterodimer binds to the PSMA5 and PSMA7 proteasome subunits, promotes assembly of the proteasome alpha subunits into the heteroheptameric alpha ring and prevents alpha ring dimerization. Subunit: Forms a heterodimer with PSMG2. The PSMG1-PSMG2 heterodimer interacts directly with the PSMA5 and PSMA7 proteasome alpha subunits. Subcellular Location: Cytoplasm. Endoplasmic reticulum. Tissue Specificity: In the adult, detected in brain, colon, leukocytes, breast and testis. Widely expressed in the fetus. Also expressed in a variety of proliferating cell lines. Post-translational modifications: Degraded by the proteasome upon completion of 20S proteasome maturation. Similarity: Belongs to the PSMG1 family. SWISS: O95456 Gene ID: 8624 Database links: Entrez Gene: 8624 Human Entrez Gene: 56088 Mouse Entrez Gene: 288236 Rat Omim: 605296 Human SwissProt: O95456 Human SwissProt: Q9JK23 Mouse Important Note: This product as supplied is intended for research use only, not for use in human, therapeutic or diagnostic applications. |
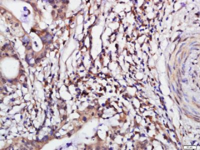
| 产品图片 | ![]() Protein: brain(mouse) lysate at 40ug; Primary: rabbit Anti-PSME1 (bs-19575R) at 1:300; Secondary: IRDye800CW Goat Anti-Rabbit IgG at 1/20000 dilution Predicted band size: 29 kD Observed band size: 29 kD ![]() Tissue/cell: human breast carcinoma; 4% Paraformaldehyde-fixed and paraffin-embedded; Antigen retrieval: citrate buffer ( 0.01M, pH 6.0 ), Boiling bathing for 15min; Block endogenous peroxidase by 3% Hydrogen peroxide for 30min; Blocking buffer (normal goat serum,C-0005) at 37∩ for 20 min; Incubation: Anti-PSMG1 Polyclonal Antibody, Unconjugated(bs-19577R) 1:500, overnight at 4∑C, followed by conjugation to the secondary antibody(SP-0023) and DAB(C-0010) staining ![]() Tissue/cell: human brain glioma; 4% Paraformaldehyde-fixed and paraffin-embedded; Antigen retrieval: citrate buffer ( 0.01M, pH 6.0 ), Boiling bathing for 15min; Block endogenous peroxidase by 3% Hydrogen peroxide for 30min; Blocking buffer (normal goat serum,C-0005) at 37∩ for 20 min; Incubation: Anti-PSMG1 Polyclonal Antibody, Unconjugated(bs-19577R) 1:200, overnight at 4∑C, followed by conjugation to the secondary antibody(SP-0023) and DAB(C-0010) staining ![]() Tissue/cell: human cervix carcinoma; 4% Paraformaldehyde-fixed and paraffin-embedded; Antigen retrieval: citrate buffer ( 0.01M, pH 6.0 ), Boiling bathing for 15min; Block endogenous peroxidase by 3% Hydrogen peroxide for 30min; Blocking buffer (normal goat serum,C-0005) at 37∩ for 20 min; Incubation: Anti-PSMG1 Polyclonal Antibody, Unconjugated(bs-19577R) 1:200, overnight at 4∑C, followed by conjugation to the secondary antibody(SP-0023) and DAB(C-0010) staining |
风险提示:丁香通仅作为第三方平台,为商家信息发布提供平台空间。用户咨询产品时请注意保护个人信息及财产安全,合理判断,谨慎选购商品,商家和用户对交易行为负责。对于医疗器械类产品,请先查证核实企业经营资质和医疗器械产品注册证情况。
文献和实验Nat Biotechnol:调控蛋白质稳态,建立蛋白降解靶向减毒疫苗新策略
机器「泛素-蛋白酶体系统」为 PROTAC 病毒疫苗的设计提供了关键生物学基础。近年来,基于泛素-蛋白酶体系统的 PROTAC 蛋白质靶向降解技术,已经被成功地用于开发基于化学小分子的蛋白降解剂,并成为国际科学研究热点(Nat Biotechnol 40, 12-16 (2022);Nat Rev Drug Discov 21, 181-200 (2022)),即研究人员设计出一种具有两个活性端的小分子化合物,一个活性端可以与需要降解的靶蛋白相结合,而另一个活性端可以与特定的 E3 泛素连接
特异性蛋白质底物,并将生成的去折叠多肽链转运到ClpP中降解。但是,MecA如何介导ClpC形成六聚体并激活ClpC的分子机制一直都没有明确的解释。 自2007年6月起,施一公教授领导的该课题组一直致力于对原核细胞内蛋白酶体调控机理的研究。经过3年多的艰辛努力,该课题组首次解析了枯草芽孢杆菌内蛋白酶体调节亚基MecA-ClpC复合物的三个相关晶体结构,并结合大量的生化实验数据,揭示了六聚体MecA-ClpC复合物的组装方式,阐明了MecA介导ClpC激活的分子机理,并提供了MecA-ClpC
边开始部分折叠,尤其是含有多个结构域的蛋白,可形成部分的二级结构或三级结构,而单结构域的蛋白则须等翻译完毕才进行折叠;( 3 )翻译后修饰如蛋白质糖基化和寡聚糖链的加工;二硫键的形成和异构化;蛋白多聚体的组装和构象调整;最后形成天然结构;蛋白质在翻译时和翻译后的折叠和组装受到帮助蛋白的介导或催化,使之在极短的时间内(短至几毫秒或几分钟)即能完成;( 4 )转运至高尔基体,进一步加工后转位至膜或分泌至胞外。 ER 中的分子伴侣及其他帮助蛋白,不仅介导和辅助新生肽链的正确折叠与组装,还组建成一个
技术资料暂无技术资料 索取技术资料














