万千商家帮你免费找货
0 人在求购买到急需产品
- 详细信息
- 技术资料
- 库存:
大量
- 靶点:
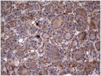
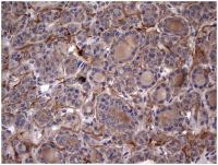
KCNK 9
- 克隆性:
多克隆
- 抗原来源:
Rabbit
- 抗体英文名:
Anti-KCNK 9
- 抗体名:
TWIK相关酸敏感钾离子通道蛋白9抗体
- 标记物:
HRP,AKP
- 宿主:
人,兔,羊,牛,狗等
- 适应物种:
Human, Mouse, Rat, Chicken, Cow, Rabbit
- 免疫原:
KLH conjugated synthetic peptide derived from human KCNK9
- 亚型:
IgG
- 形态:
冻干或液体
- 应用范围:
WB,ELISA,IP,ICC等
- 浓度:
1mg/1ml
- 保存条件:
-20 °C
- 规格:
0.2ml/200μg
TWIK相关酸敏感钾离子通道蛋白9抗体产品资料:
英文名称 Anti-KCNK 9
中文名称 TWIK相关酸敏感钾离子通道蛋白9抗体
别 名 KCNK9 or TASK-3 (TWIK-related Acid sensitive K+ channel) is a member of the potassium channel family of proteins that contain two-pore domain and four transmembrane domains. These channels are characterized as leak K+ channels that are sensitive to changes in the extracellular pH. The physiological functions of TASK channels are largely unknown; it has been proposed that they may be involved in the regulation of breathing, aldosterone secretion and anesthetic-mediated neuronal activity. They were found to act in neurons' membrane potential and in resting K+ currents.KCNK9_HUMAN
浓 度 1mg/1ml
规 格 0.2ml/200μg
抗体来源 Rabbit
克隆类型 polyclonal
交叉反应 Human, Mouse, Rat, Chicken, Cow, Rabbit
产品类型 一抗
研究领域 肿瘤 免疫学 神经生物学 通道蛋白
蛋白分子量 predicted molecular weight:
40kDa
性 状 Lyophilized or Liquid
免 疫 原 KLH conjugated synthetic peptide derived from human KCNK9
亚 型 IgG
纯化方法 affinity purified by Protein A
储 存 液 0.01M PBS, pH 7.4 with 10 mg/ml BSA and 0.1% Sodium azide
产品应用 WB=1:100-500 ELISA=1:500-1000 IP=1:20-100 IHC-P=1:100-500 IHC-F=1:100-500 Flow-Cyt= ICC=1:100-500 IF=1:100-500
公司优势:
★专业营销进口或国产品牌的抗体试剂,种类齐全,数量繁多,涵盖各种生命科研项目,具体有一抗二抗,单抗多抗,标记抗体以及其他各种类型的抗体;
★服务经验丰富,我们提供标记服务,各种标本、种属、具体指标齐全,资深的专业背景和高素质的技术团队,准能让您感受到我们的专业水准;
★关于TWIK相关酸敏感钾离子通道蛋白9抗体更多详情,请来电咨询!
抗体的酶标记法:
一、抗体与过氧化物偶联
1.将5ng抗体与10ng酶在总体积1ml的0.1mol/L磷酸钾缓冲液(pH6.8)混合;
2.在4℃对0.1mol/L磷酸钾缓冲液(pH6.8)透析过夜;
3.用0.1mol/L磷酸钾缓冲液(pH6.8)稀释戊二醛至1%;
4.透析混合液中加入50μ1稀释过的戊二醛,在室温下轻1轻搅拌三小时;
5.加入2mol/L甘氨酸液使最终浓度达到0.1mol/L,混合液室温放置2小时,以封闭残存的醛基;
6.混合液在4℃对PBS透析过夜;
7.10000×g4℃离心30分;
8.将上清移入另一管中,按体积1:1加入甘油,使终浓度达50%;
9.置-20℃保存;
二、抗体与ARP偶联
1.将5mng抗体与10mng酶在总体积2ml的0.1mol/L磷酸钾缓冲液(pH6.8)混合;
2.其它操作同HRP标记法;
三.抗体与荷萄氧化喜偶联
按HRP偶联法操作,仅加入的1%二醛改为150u1;
抗体与β一D一半乳着苷豪偶联,按HRP偶联法操作,但见偶联反应总体积改为2m1,1%戊二醛用量改为的100u1。
TWIK相关酸敏感钾离子通道蛋白9抗体相关产品:
周期蛋白B3 多克隆抗体 CCNB3 Polyclonal Antibody
周期蛋白B2 多克隆抗体 CCNB2 Polyclonal Antibody
周期蛋白A2 多克隆抗体 CCNA2 Polyclonal Antibody
重构剪切因子1 多克隆抗体 RSF1 Polyclonal Antibody
肿瘤转移抑制基因KISS1蛋白 多克隆抗体 KISS1 Polyclonal Antibody
肿瘤抑制转移候选基因4蛋白 多克隆抗体 TSSC4 Polyclonal Antibody
肿瘤异常甲基化蛋白2 多克隆抗体 HIC2 Polyclonal Antibody
荧光素酶 小鼠单克隆抗体(6B8) Luciferase Mouse Monoclonal Antibody(6B8)
荧光素酶 小鼠单克隆抗体(2G11) Luciferase Mouse Monoclonal Antibody(2G11)
隐花色素1 多克隆抗体 CRY1 Polyclonal Antibody
吲哚胺2,3双加氧酶1 多克隆抗体 I23O1 Polyclonal Antibody
意识紊乱同源物2 多克隆抗体 MIB2 Polyclonal Antibody
抑制素A 多克隆抗体 Inhibin α Polyclonal Antibody
抑素2 多克隆抗体 PHB2 Polyclonal Antibody
TWIK相关酸敏感钾离子通道蛋白9抗体小鼠生长激素释放肽ghrelin(GHRPGhrelin)elisa kits试剂盒 96T/48T 免费代测
小鼠内脏脂肪特异性丝氨酸蛋白酶抑制剂(vaspin)elisa kits试剂盒 96T/48T 免费代测
小鼠溴脱氧核苷尿嘧啶(BrdU)elisa kits试剂盒 96T/48T 免费代测
小鼠α1微球蛋白(α1MG)elisa kits试剂盒 96T/48T 免费代测
小鼠过氧化物酶体增殖物激活受体α(PPARα)elisa kits试剂盒 96T/48T 免费代测
小鼠肝脂酶(HL)elisa kits试剂盒 96T/48T 免费代测
鱼类白介素1β (IL1β)elisa kits试剂盒 96T/48T 免费代测
鲤鱼卵黄蛋白原(VTG)elisa kits试剂盒 96T/48T 免费代测
鱼类促性腺激素释放激素(GnRH)elisa kits试剂盒 96T/48T 免费代测
鲑鱼降钙素(SCT)elisa kits试剂盒 96T/48T 免费代测
鱼类甲状腺素(T4)elisa kits试剂盒 96T/48T 免费代测
鱼类三碘甲状腺原氨酸(T3)elisa kits试剂盒 96T/48T 免费代测
英文名称 Anti-KCNK 9
中文名称 TWIK相关酸敏感钾离子通道蛋白9抗体
别 名 KCNK9 or TASK-3 (TWIK-related Acid sensitive K+ channel) is a member of the potassium channel family of proteins that contain two-pore domain and four transmembrane domains. These channels are characterized as leak K+ channels that are sensitive to changes in the extracellular pH. The physiological functions of TASK channels are largely unknown; it has been proposed that they may be involved in the regulation of breathing, aldosterone secretion and anesthetic-mediated neuronal activity. They were found to act in neurons' membrane potential and in resting K+ currents.KCNK9_HUMAN
浓 度 1mg/1ml
规 格 0.2ml/200μg
抗体来源 Rabbit
克隆类型 polyclonal
交叉反应 Human, Mouse, Rat, Chicken, Cow, Rabbit
产品类型 一抗
研究领域 肿瘤 免疫学 神经生物学 通道蛋白
蛋白分子量 predicted molecular weight:
40kDa
性 状 Lyophilized or Liquid
免 疫 原 KLH conjugated synthetic peptide derived from human KCNK9
亚 型 IgG
纯化方法 affinity purified by Protein A
储 存 液 0.01M PBS, pH 7.4 with 10 mg/ml BSA and 0.1% Sodium azide
产品应用 WB=1:100-500 ELISA=1:500-1000 IP=1:20-100 IHC-P=1:100-500 IHC-F=1:100-500 Flow-Cyt= ICC=1:100-500 IF=1:100-500
公司优势:
★专业营销进口或国产品牌的抗体试剂,种类齐全,数量繁多,涵盖各种生命科研项目,具体有一抗二抗,单抗多抗,标记抗体以及其他各种类型的抗体;
★服务经验丰富,我们提供标记服务,各种标本、种属、具体指标齐全,资深的专业背景和高素质的技术团队,准能让您感受到我们的专业水准;
★关于TWIK相关酸敏感钾离子通道蛋白9抗体更多详情,请来电咨询!
抗体的酶标记法:
一、抗体与过氧化物偶联
1.将5ng抗体与10ng酶在总体积1ml的0.1mol/L磷酸钾缓冲液(pH6.8)混合;
2.在4℃对0.1mol/L磷酸钾缓冲液(pH6.8)透析过夜;
3.用0.1mol/L磷酸钾缓冲液(pH6.8)稀释戊二醛至1%;
4.透析混合液中加入50μ1稀释过的戊二醛,在室温下轻1轻搅拌三小时;
5.加入2mol/L甘氨酸液使最终浓度达到0.1mol/L,混合液室温放置2小时,以封闭残存的醛基;
6.混合液在4℃对PBS透析过夜;
7.10000×g4℃离心30分;
8.将上清移入另一管中,按体积1:1加入甘油,使终浓度达50%;
9.置-20℃保存;
二、抗体与ARP偶联
1.将5mng抗体与10mng酶在总体积2ml的0.1mol/L磷酸钾缓冲液(pH6.8)混合;
2.其它操作同HRP标记法;
三.抗体与荷萄氧化喜偶联
按HRP偶联法操作,仅加入的1%二醛改为150u1;
抗体与β一D一半乳着苷豪偶联,按HRP偶联法操作,但见偶联反应总体积改为2m1,1%戊二醛用量改为的100u1。
TWIK相关酸敏感钾离子通道蛋白9抗体相关产品:
周期蛋白B3 多克隆抗体 CCNB3 Polyclonal Antibody
周期蛋白B2 多克隆抗体 CCNB2 Polyclonal Antibody
周期蛋白A2 多克隆抗体 CCNA2 Polyclonal Antibody
重构剪切因子1 多克隆抗体 RSF1 Polyclonal Antibody
肿瘤转移抑制基因KISS1蛋白 多克隆抗体 KISS1 Polyclonal Antibody
肿瘤抑制转移候选基因4蛋白 多克隆抗体 TSSC4 Polyclonal Antibody
肿瘤异常甲基化蛋白2 多克隆抗体 HIC2 Polyclonal Antibody
荧光素酶 小鼠单克隆抗体(6B8) Luciferase Mouse Monoclonal Antibody(6B8)
荧光素酶 小鼠单克隆抗体(2G11) Luciferase Mouse Monoclonal Antibody(2G11)
隐花色素1 多克隆抗体 CRY1 Polyclonal Antibody
吲哚胺2,3双加氧酶1 多克隆抗体 I23O1 Polyclonal Antibody
意识紊乱同源物2 多克隆抗体 MIB2 Polyclonal Antibody
抑制素A 多克隆抗体 Inhibin α Polyclonal Antibody
抑素2 多克隆抗体 PHB2 Polyclonal Antibody
TWIK相关酸敏感钾离子通道蛋白9抗体小鼠生长激素释放肽ghrelin(GHRPGhrelin)elisa kits试剂盒 96T/48T 免费代测
小鼠内脏脂肪特异性丝氨酸蛋白酶抑制剂(vaspin)elisa kits试剂盒 96T/48T 免费代测
小鼠溴脱氧核苷尿嘧啶(BrdU)elisa kits试剂盒 96T/48T 免费代测
小鼠α1微球蛋白(α1MG)elisa kits试剂盒 96T/48T 免费代测
小鼠过氧化物酶体增殖物激活受体α(PPARα)elisa kits试剂盒 96T/48T 免费代测
小鼠肝脂酶(HL)elisa kits试剂盒 96T/48T 免费代测
鱼类白介素1β (IL1β)elisa kits试剂盒 96T/48T 免费代测
鲤鱼卵黄蛋白原(VTG)elisa kits试剂盒 96T/48T 免费代测
鱼类促性腺激素释放激素(GnRH)elisa kits试剂盒 96T/48T 免费代测
鲑鱼降钙素(SCT)elisa kits试剂盒 96T/48T 免费代测
鱼类甲状腺素(T4)elisa kits试剂盒 96T/48T 免费代测
鱼类三碘甲状腺原氨酸(T3)elisa kits试剂盒 96T/48T 免费代测
风险提示:丁香通仅作为第三方平台,为商家信息发布提供平台空间。用户咨询产品时请注意保护个人信息及财产安全,合理判断,谨慎选购商品,商家和用户对交易行为负责。对于医疗器械类产品,请先查证核实企业经营资质和医疗器械产品注册证情况。
技术资料暂无技术资料 索取技术资料
TWIK相关酸敏感钾离子通道蛋白9抗体
询价









