相关产品推荐更多 >
万千商家帮你免费找货
0 人在求购买到急需产品
- 详细信息
- 文献和实验
- 技术资料
- 供应商:
上海抚生
- 库存:
大量
- 靶点:
KCNK 9
- 克隆性:
多克隆
- 抗原来源:
Rabbit
- 抗体英文名:
Anti-KCNK 9
- 抗体名:
TWIK相关酸敏感钾离子通道蛋白9抗体
- 标记物:
HRP,AKP
- 宿主:
人,鼠,猴,鸡,狗,猪等
- 适应物种:
Human, Mouse, Rat, Chicken, Cow, Rabbit
- 免疫原:
KLH conjugated synthetic peptide derived from human KCNK9
- 亚型:
IgG
- 形态:
冻干或液体
- 应用范围:
WB,ELISA,ICC,IP等
- 浓度:
1mg/1ml
- 保存条件:
-20℃
- 规格:
0.2ml/200μg
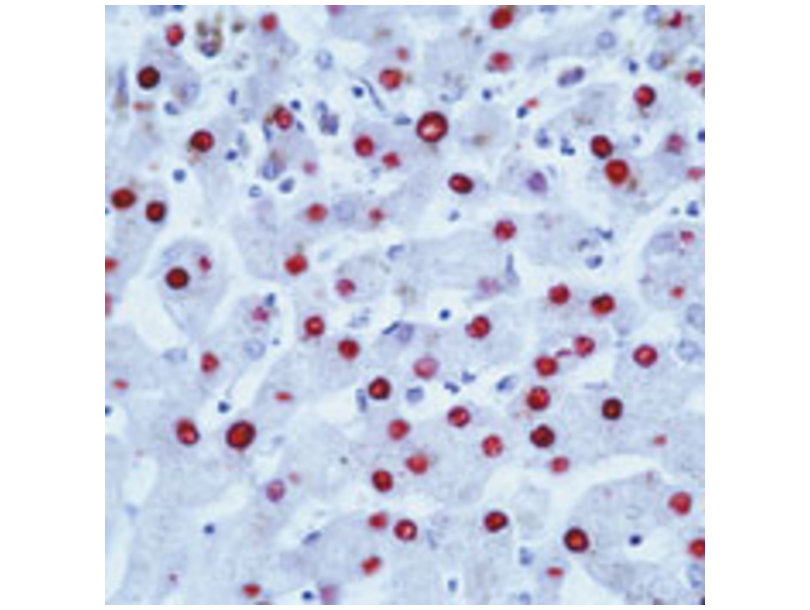
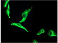
英文名称 Anti-KCNK 9
中文名称 TWIK相关酸敏感钾离子通道蛋白9抗体
别 名 KCNK9 or TASK-3 (TWIK-related Acid sensitive K+ channel) is a member of the potassium channel family of proteins that contain two-pore domain and four transmembrane domains. These channels are characterized as leak K+ channels that are sensitive to changes in the extracellular pH. The physiological functions of TASK channels are largely unknown; it has been proposed that they may be involved in the regulation of breathing, aldosterone secretion and anesthetic-mediated neuronal activity. They were found to act in neurons' membrane potential and in resting K+ currents.KCNK9_HUMAN
浓 度 1mg/1ml
规 格 0.2ml/200μg
抗体来源 Rabbit
克隆类型 polyclonal
交叉反应 Human, Mouse, Rat, Chicken, Cow, Rabbit
产品类型 一抗
研究领域 肿瘤 免疫学 神经生物学 通道蛋白
蛋白分子量 predicted molecular weight:
40kDa
性 状 Lyophilized or Liquid
免 疫 原 KLH conjugated synthetic peptide derived from human KCNK9
亚 型 IgG
纯化方法 affinity purified by Protein A
储 存 液 0.01M PBS, pH 7.4 with 10 mg/ml BSA and 0.1% Sodium azide
产品应用 WB=1:100-500 ELISA=1:500-1000 IP=1:20-100 IHC-P=1:100-500 IHC-F=1:100-500 Flow-Cyt= ICC=1:100-500 IF=1:100-500
TWIK相关酸敏感钾离子通道蛋白9抗体产品优势:
| ※支持定制服务,客户提前下单,我们根据客户需求进行生产,可保证产品的新批次和应具备的活跃度和灵敏度; ※产品来源正规,由权威保藏中心进行保藏; ※产品价格公允,新老客户皆能享受我司提供的价格优惠,客户可来电获取实时报价; ※我司配备完善的服务体系,详细客户只要与我司达成合作关系,定能感受到我司的诚意。 |
荧光标记抗体实验要点:
1.偶联反应要求在尽可能接近pH9.8的溶液中进行,而且注意在反应过程中要保持此pH水平;
2.要确定在偶联反应缓冲液中不含游离氨基(Tris,氨及叠氮钠均可与FITC反应,因此会降低蛋白质与FITC的偶联率);
3.FITC与蛋白质的比值(F/P),可通过测定495m与280nm吸光度来鉴定;
4.FITC缺限是易被光淬灭,因此复合物必须始终避光保存;
5.如果FITC一复合物对PBS透析不充分,可能造成高本底,对免疫荧光染色产生干扰;
与TWIK相关酸敏感钾离子通道蛋白9抗体相关的其他产品:
现货供应 分泌型卷曲相关蛋白1 多克隆抗体 SFRP1 Polyclonal Antibody
现货供应 分泌型Ly6/uPAR相关蛋白1 多克隆抗体 SLUR1 Polyclonal Antibody
现货供应 分泌素 多克隆抗体 SECR Polyclonal Antibody
现货供应 分泌球蛋白3A成员2 多克隆抗体 SG3A2 Polyclonal Antibody
现货供应 分泌磷脂酶A2 多克隆抗体 PA21B Polyclonal Antibody
现货供应 分泌磷酸蛋白1/骨桥蛋白1 多克隆抗体 OPN Polyclonal Antibody
现货供应 分泌粒蛋白V(7B2蛋白) 多克隆抗体 7B2 Polyclonal Antibody
TWIK相关酸敏感钾离子通道蛋白9抗体特价促销 猪γ干扰素(IFNγ)elisa kits试剂盒 96T/48T 免费代测
特价促销 猪端粒酶(TE)elisa kits试剂盒 96T/48T 免费代测
特价促销 猪促生长激素释放激素(GHRH)elisa kits试剂盒 96T/48T 免费代测
特价促销 猪促卵泡素(FSH)elisa kits试剂盒 96T/48T 免费代测
特价促销 猪白介素1(IL1)elisa kits试剂盒大鼠糖原合成酶激酶(GSK)elisa kits试剂盒 96T/48T 免费代测
特价促销 大鼠高敏三碘甲状腺原氨酸(uT3)elisa kits试剂盒 96T/48T 免费代测
风险提示:丁香通仅作为第三方平台,为商家信息发布提供平台空间。用户咨询产品时请注意保护个人信息及财产安全,合理判断,谨慎选购商品,商家和用户对交易行为负责。对于医疗器械类产品,请先查证核实企业经营资质和医疗器械产品注册证情况。
文献和实验Sci Adv:蒋若天 / 温祥毅揭示钾离子通道参与健康和衰老视网膜视觉信号调控新机制
间隙的 pH 值从 7.5 降至 6.9 1,2,并参与负反馈(negative feedback)信号的传导以及周围接收野(surround receptive field)的形成 3-6,然而这种生理性的瞬时酸化是否对向前传到 RGC 的信号有正反馈(feedforward)效应?在 RGC 上,AMPA 受体、NMDA 受体、酸敏感离子通道(acid-sensing ion channel,ASIC)等多种离子通道都具有酸敏感性 7-9。然而,这些酸敏感通道只对病理性酸化(如 pH 双孔钾离子
或抑制的通道optoXR,给光激活后其改变的是胞内激酶系统,影响细胞活动。因此,光遗传学技术的核心技术差异在于光敏感通道的选择。 光遗传学的基本原理(Karl Deisseroth, et al., Annu. Rev. Biomed. Eng., 2014)常见的光敏感通道几种激活神经元的通道蛋白: ChR2(H134R):470nm蓝光激发。ChR2的突变体,该蛋白质可以产生两倍的光电流,但通道开关速度也比野生的ChR2慢了一倍。 ChETA:470nm左右蓝光激发。ChR2的突变
1-pyrroline-5-carboxylate reductase)以及编码脂肪、碳水化合物、核酸和维生素代谢中相关代谢酶的基因。 然而,有些真核细胞的酶需要翻译后加工,是不能应用E.coli异源互补法的。为了解决不能对植物基因进行蛋白翻译后加工修饰的问题,人们发展应用了酵母突变体的异源互补法。尽管用于互补的表达文库一般产生融合多肽,有些酶不能忍受任何N-端的延伸,但该法的筛选效率比抗体或杂交高2-3倍,尤其是对那些非常不容易被纯化或不稳定的蛋白(如膜蛋白等)来说,更是如此。应用酵母异源互补法用于分离
技术资料暂无技术资料 索取技术资料









