相关产品推荐更多 >
万千商家帮你免费找货
0 人在求购买到急需产品
- 详细信息
- 文献和实验
- 技术资料
- 供应商:
上海联迈生物工程有限公司
- 库存:
大量
- 目录编号:
LM-18367R
- 克隆性:
多克隆
- 抗原来源:
Rabbit
- 保质期:
1年
- 抗体英文名:
LRRC14
- 抗体名:
富含亮氨酸重复蛋白14抗体
- 宿主:
Rabbit
- 适应物种:
Human, Mouse, Rat, Cow, Horse, Rabbit, Sheep,
- 免疫原:
KLH conjugated synthetic peptide derived from human LRRC14:431-514/514
- 亚型:
IgG
- 形态:
Lyophilized or Liquid
- 应用范围:
ELISA=1:500-1000 IHC-P=1:400-800 IHC-F=1:400-800 ICC=1:100-500 IF=1:100-500 (石蜡切片需做抗原修复)
- 浓度:
1mg/ml
- 保存条件:
Store at -20 °C
- 规格:
100ul 200ul
| 英文名称 | LRRC14 |
| 中文名称 | 富含亮氨酸重复蛋白14抗体 |
| 别 名 | Leucine-rich repeat-containing protein 14B; LR14B_HUMAN; Lrrc14b. |
| 规格价格 | 100ul/1380元 购买 200ul/2200元 购买 大包装/询价 |
| 说 明 书 | 100ul 200ul |
| 研究领域 | 细胞生物 免疫学 |
| 抗体来源 | Rabbit |
| 克隆类型 | Polyclonal |
| 交叉反应 | Human, Mouse, Rat, Cow, Horse, Rabbit, Sheep, |
| 产品应用 | ELISA=1:500-1000 IHC-P=1:400-800 IHC-F=1:400-800 ICC=1:100-500 IF=1:100-500 (石蜡切片需做抗原修复) not yet tested in other applications. optimal dilutions/concentrations should be determined by the end user. |
| 分 子 量 | 57kDa |
| 细胞定位 | 细胞核 |
| 性 状 | Lyophilized or Liquid |
| 浓 度 | 1mg/ml |
| 免 疫 原 | KLH conjugated synthetic peptide derived from human LRRC14:431-514/514 |
| 亚 型 | IgG |
| 纯化方法 | affinity purified by Protein A |
| 储 存 液 | 0.01M TBS(pH7.4) with 1% BSA, 0.03% Proclin300 and 50% Glycerol. |
| 保存条件 | Store at -20 °C for one year. Avoid repeated freeze/thaw cycles. The lyophilized antibody is stable at room temperature for at least one month and for greater than a year when kept at -20°C. When reconstituted in sterile pH 7.4 0.01M PBS or diluent of antibody the antibody is stable for at least two weeks at 2-4 °C. |
| PubMed | PubMed |
| 产品介绍 | background: The leucine-rich repeat-containing protein 14 (LRRC14) is a 493 amino acid protein that contains 6 LRR repeats. The gene encoding LRRC14 maps to chromosome 8, which encodes approximately 800 genes. Translocation of portions of chromosome 8 with amplifications of the c-Myc gene are found in some leukemias and lymphomas, and typically associated with a poor prognosis. Chromosome 8 is also associated with Trisomy 8, Pfeiffer syndrome, congenital hypothyroidism and Waardenburg syndrome. Similarity: Belongs to the PRAME family. Contains 5 LRR (leucine-rich) repeats. SWISS: A6NHZ5 Gene ID: 389257 Database links: Entrez Gene: 389257 Human SwissProt: A6NHZ5 Human Unigene: 683662 Human Important Note: This product as supplied is intended for research use only, not for use in human, therapeutic or diagnostic applications. |
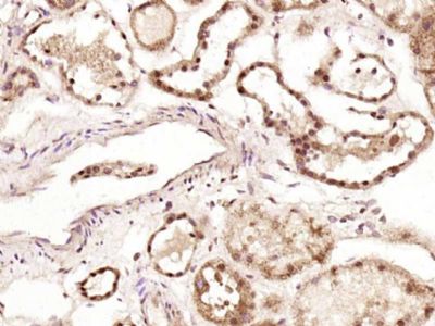
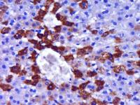
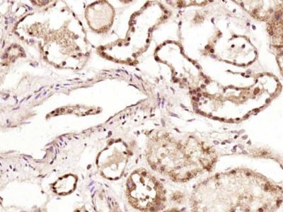
| 产品图片 | ![]() Paraformaldehyde-fixed, paraffin embedded (Human kidney); Antigen retrieval by boiling in sodium citrate buffer (pH6.0) for 15min; Block endogenous peroxidase by 3% hydrogen peroxide for 20 minutes; Blocking buffer (normal goat serum) at 37°C for 30min; Antibody incubation with (LRRC14) Polyclonal Antibody, Unconjugated (bs-18367R) at 1:400 overnight at 4°C, followed by operating according to SP Kit(Rabbit) (sp-0023) instructionsand DAB staining. |
风险提示:丁香通仅作为第三方平台,为商家信息发布提供平台空间。用户咨询产品时请注意保护个人信息及财产安全,合理判断,谨慎选购商品,商家和用户对交易行为负责。对于医疗器械类产品,请先查证核实企业经营资质和医疗器械产品注册证情况。
文献和实验Nature:清华柴继杰 / 南农王源超团队首次揭示植物免疫受体蛋白的双功能抗病机制
在与病原菌的长期斗争中,植物进化出精细、复杂的多层免疫系统保护自身免受侵害。定位于细胞膜表面的植物模式识别受体(Pattern Recognition Receptors,PRRs)作为监控病原菌侵害的「前哨」,通过识别病原菌的病原相关分子模式,激活对多种病原菌的广谱抗性。 PRR 主要是由受体激酶(Receptor Kinases, RKs)和受体蛋白(Receptor-Like Proteins, RLPs)组成。其中重要的一类 PRR 胞外配体识别结构域由富含亮氨酸的重复基序(LRR
的微管结合能力受损。P301L (PL) 是另一种突变型,在 Tau 密码子 301 位置的脯氨酸突变成为亮氨酸,这种突变与额颞叶痴呆相关。下图是这几种蛋白随时间的变化情况,硫黄素 T 是一种荧光染料,和富含 Beta 折叠的结构结合,用来标记 Tau 聚集体的量变情况。硫黄素 T 是一种荧光染料,可以绑定富含 beta 折叠的结构,例如 tau 纤维原。绑定之后,硫黄素T光谱会发生红移,荧光强度会增强。硫黄素 T 荧光曲线显示活性 tau 单体(SPR-327)荧光强度增加(相关于 tau 聚集
比例的带电残基(YPYDVPDYA),因此可能形成强烈的抗体识别位点。组氨酸(His)这是目前使用最广泛的纯化标签;它允许用镍亲和树脂进行纯化。这些树脂可耐受变性条件(可用于从包涵体中纯化变性溶解的蛋白质)并可重复使用。结合特异性低于抗体树脂,因此通常需要额外的纯化步骤。酸性洗脱已被用作咪唑的低盐替代物,钴可用于代替镍以提高特异性。金属蛋白和富含组氨酸的蛋白质(例如氯霉素乙酰转移酶)也与这些树脂结合,所以建议使用合适的对照。单纯疱疹病毒(HSV)HSV 来源于糖蛋白 D 前体包膜蛋白并且短
技术资料暂无技术资料 索取技术资料










