相关产品推荐更多 >
万千商家帮你免费找货
0 人在求购买到急需产品
- 详细信息
- 文献和实验
- 技术资料
- 供应商:
上海联迈生物工程有限公司
- 库存:
大量
- 目录编号:
LM-2591R
- 克隆性:
多克隆
- 抗原来源:
Rabbit
- 保质期:
1年
- 抗体英文名:
Fbx32
- 抗体名:
泛素蛋白连接酶抗体
- 宿主:
Rabbit
- 适应物种:
Human, Mouse, Rat, Dog, Pig, Cow, Horse, Rabbit,
- 免疫原:
KLH conjugated synthetic peptide derived from human MAFbx:31-130/355
- 亚型:
IgG
- 形态:
Lyophilized or Liquid
- 应用范围:
ELISA=1:500-1000 IHC-P=1:400-800 IHC-F=1:400-800 Flow-Cyt=0.2ug/test IF=1:100-500 (石蜡切片需做抗原修复)
- 浓度:
1mg/ml
- 保存条件:
Store at -20 °C
- 规格:
50ul 100ul 200ul
| 英文名称 | Fbx32 |
| 中文名称 | 泛素蛋白连接酶抗体 |
| 别 名 | Fbx32; 4833442G10Rik; AI430017; Atrogin 1; Atrogin-1; ATROGIN1; Atrophy gene 1; F box only protein 32; F-box only protein 32; F-box protein 32; FBX32_HUMAN; fbxo25; FBXO32; FLJ32424; MAFbx; MGC108443; MGC137646; MGC33610; Muscle atrophy F box; Muscle atrophy F box protein; Muscle atrophy F-box protein. |
| 规格价格 | 50ul/780元 购买 100ul/1380元 购买 200ul/2200元 购买 大包装/询价 |
| 说 明 书 | 50ul 100ul 200ul |
| 研究领域 | 细胞生物 干细胞 泛素 |
| 抗体来源 | Rabbit |
| 克隆类型 | Polyclonal |
| 交叉反应 | Human, Mouse, Rat, Dog, Pig, Cow, Horse, Rabbit, |
| 产品应用 | ELISA=1:500-1000 IHC-P=1:400-800 IHC-F=1:400-800 Flow-Cyt=0.2ug/test IF=1:100-500 (石蜡切片需做抗原修复) not yet tested in other applications. optimal dilutions/concentrations should be determined by the end user. |
| 分 子 量 | 42kDa |
| 细胞定位 | 细胞核 细胞浆 |
| 性 状 | Lyophilized or Liquid |
| 浓 度 | 1mg/ml |
| 免 疫 原 | KLH conjugated synthetic peptide derived from human MAFbx:31-130/355 |
| 亚 型 | IgG |
| 纯化方法 | affinity purified by Protein A |
| 储 存 液 | 0.01M TBS(pH7.4) with 1% BSA, 0.03% Proclin300 and 50% Glycerol. |
| 保存条件 | Store at -20 °C for one year. Avoid repeated freeze/thaw cycles. The lyophilized antibody is stable at room temperature for at least one month and for greater than a year when kept at -20°C. When reconstituted in sterile pH 7.4 0.01M PBS or diluent of antibody the antibody is stable for at least two weeks at 2-4 °C. |
| PubMed | PubMed |
| 产品介绍 | background: Fbx32 is an E3 ubiquitin ligase that initiates ATP dependent ubiquitin-mediated proteolysis and promotes muscle atrophy. It is highly expressed during muscle atrophy, whereas mice deficient in this gene were found to be resistant to atrophy. It is also thought to recognize and bind to some phosphorylated proteins and promote their ubiquitination and degradation during skeletal muscle atrophy. Fbx32 interacts with MyoD by ubiquitination via a sequence found in transcriptional coactivators and therefore may play an important role in the course of muscle differentiation by determining the abundance of MyoD. Function: Substrate recognition component of a (SKP1-CUL1-F-box protein) E3 ubiquitin-protein ligase complex which mediates the ubiquitination and subsequent proteasomal degradation of target proteins. Probably recognizes and binds to phosphorylated target proteins during skeletal muscle atrophy. Recognizes TERF1. Subunit: Part of the SCF (SKP1-CUL1-F-box) E3 ubiquitin-protein ligase complex SCF(FBXO32) formed of CUL1, SKP1, RBX1 and FBXO32. Subcellular Location: Cytoplasm. Nucleus. Note=Shuttles between Cytoplasm and the nucleus. Tissue Specificity: Specifically expressed in cardiac and skeletal muscle. Similarity: Contains 1 F-box domain. SWISS: Q969P5 Gene ID: 114907 Database links: Entrez Gene: 513776 Cow Entrez Gene: 114907 Human Entrez Gene: 67731 Mouse Entrez Gene: Q2KHT6 Pig Entrez Gene: 171043 Rat Omim: 606604 Human SwissProt: Q2KHT6 Cow SwissProt: Q969P5 Human SwissProt: Q9CPU7 Mouse SwissProt: Q1A730 Pig SwissProt: Q91Z62 Rat Unigene: 403933 Human Unigene: 292042 Mouse Unigene: 72619 Rat Important Note: This product as supplied is intended for research use only, not for use in human, therapeutic or diagnostic applications. |
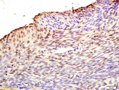
| 产品图片 | ![]() Tissue/cell: rat uterus tissue; 4% Paraformaldehyde-fixed and paraffin-embedded; Antigen retrieval: citrate buffer ( 0.01M, pH 6.0 ), Boiling bathing for 15min; Block endogenous peroxidase by 3% Hydrogen peroxide for 30min; Blocking buffer (normal goat serum,C-0005) at 37℃ for 20 min; Incubation: Anti-MAFbx/Fbx32 Polyclonal Antibody, Unconjugated(bs-2591R) 1:200, overnight at 4°C, followed by conjugation to the secondary antibody(SP-0023) and DAB(C-0010) staining ![]() Blank control: Hela. Primary Antibody (green line): Rabbit Anti-Fbx32 antibody (bs-2591R) Dilution: 1μg /10^6 cells; Isotype Control Antibody (orange line): Rabbit IgG . Secondary Antibody : Goat anti-rabbit IgG-PE Dilution: 1μg /test. Protocol The cells were fixed with 4% PFA (10min at room temperature)and then permeabilized with 90% ice-cold methanol for 20 min at-20℃. The cells were then incubated in 5%BSA to block non-specific protein-protein interactions for 30 min at at room temperature .Cells stained with Primary Antibody for 30 min at room temperature. The secondary antibody used for 40 min at room temperature. Acquisition of 20,000 events was performed. |
风险提示:丁香通仅作为第三方平台,为商家信息发布提供平台空间。用户咨询产品时请注意保护个人信息及财产安全,合理判断,谨慎选购商品,商家和用户对交易行为负责。对于医疗器械类产品,请先查证核实企业经营资质和医疗器械产品注册证情况。
文献和实验化物酶―抗过氧化物酶复合物法(peroxidase-anti- peroxidase complex method,PAP)发展而来。酶桥法的基本原理是将酶免疫动物,制备高效价且特异性强的抗酶抗体.然后用第二抗体作为桥,将抗酶抗体和特异性第一抗体(即连接在组织抗原上的抗体)连接起来.再将酶结合在抗酶抗体上.经过酶催化底物显色,从而显示出抗原所在的部位及含量。作为桥的第二抗体(即桥抗)必须对特异性抗体(一抗)和抗酶抗体均有特异性,这样才能将两者相连起来.因此,一抗和抗酶抗体应由同一种属动物
结合的。避免了共价连接对抗体和酶活性的损害,提高了方法的敏感性,而且节省一抗的用量。但抗酶抗体不易纯化。 几点说明 *一抗(假设来自种属A)的稀释度可大些,使抗体的两个Fab段均与组织抗原结合。 *二抗——桥抗体(抗种属A的IgG抗体)应过量,使其Fab段一个与一抗结合,另一个则游离。 *因抗酶抗体与一抗均系种属A IgG,具有相同的抗原性,所以桥抗体游离的Fab能与抗酶抗体结合,起桥作用,将其连接在与组织抗原结合的一抗上。 PAP法 * 与酶桥法相似,不同的是,PAP 法将酶桥法
3 篇 Nature 连发,解决世纪难题,周期蛋白的毁灭调控蕴含癌症患者的新生
,Chaikovsky 和 Maiani 的研究发现,cyclin D 羧基末端的磷酸化触发泛素化蛋白酶体降解途径。泛素连接酶(E3)中最大的家族是 cullin RING ligases (CRLs),其中 CRL4 复合体(CUL4,RBX 和 DDB1 蛋白)介导磷酸化 cyclin D 降解,而 AMBRA1(activating molecule in beclin-1-regulated autophagy)蛋白负责 cyclin D 与 CRL4 的靶向连接。随后 E3 将泛素蛋白链 (Ub) 附着
技术资料暂无技术资料 索取技术资料












