相关产品推荐更多 >
万千商家帮你免费找货
0 人在求购买到急需产品
- 详细信息
- 文献和实验
- 技术资料
- 供应商:
上海联迈生物工程有限公司
- 库存:
大量
- 目录编号:
LM-1824R
- 克隆性:
多克隆
- 抗原来源:
Rabbit
- 保质期:
1年
- 抗体英文名:
Mitofilin
- 抗体名:
线粒体内膜蛋白抗体
- 宿主:
Rabbit
- 适应物种:
Human, Mouse, Rat, Dog, Cow,
- 免疫原:
KLH conjugated synthetic peptide derived from human Mitofilin:241-340/758
- 亚型:
IgG
- 形态:
Lyophilized or Liquid
- 应用范围:
WB=1:500-2000 ELISA=1:500-1000 IHC-P=1:400-800 IHC-F=1:400-800 IF=1:100-500 (石蜡切片需做抗原修复)
- 浓度:
1mg/ml
- 保存条件:
Store at -20 °C
- 规格:
100ul 200ul
| 英文名称 | Mitofilin |
| 中文名称 | 线粒体内膜蛋白抗体 |
| 别 名 | Cell proliferation inducing protein 52; Cell proliferation-inducing gene 4/52 protein; HMP; IMMT; IMMT_HUMAN; Inner membrane protein mitochondrial; Inner mitochrondial membrane; MINOS2; Mitochondrial inner membrane organizing system 2; Mitochondrial inner membrane protein; Mitofilin; Motor protein; p87; p87/89; p89; pig4; PIG52; Proliferation-inducing gene 4; MICOS complex subunit MIC60. |
| 规格价格 | 100ul/1380元 购买 200ul/2200元 购买 大包装/询价 |
| 说 明 书 | 100ul 200ul |
| 研究领域 | 心血管 信号转导 线粒体 |
| 抗体来源 | Rabbit |
| 克隆类型 | Polyclonal |
| 交叉反应 | Human, Mouse, Rat, Dog, Cow, |
| 产品应用 | WB=1:500-2000 ELISA=1:500-1000 IHC-P=1:400-800 IHC-F=1:400-800 IF=1:100-500 (石蜡切片需做抗原修复) not yet tested in other applications. optimal dilutions/concentrations should be determined by the end user. |
| 分 子 量 | 68kDa |
| 细胞定位 | 细胞浆 细胞膜 线粒体 |
| 性 状 | Lyophilized or Liquid |
| 浓 度 | 1mg/ml |
| 免 疫 原 | KLH conjugated synthetic peptide derived from human Mitofilin:241-340/758 |
| 亚 型 | IgG |
| 纯化方法 | affinity purified by Protein A |
| 储 存 液 | 0.01M TBS(pH7.4) with 1% BSA, 0.03% Proclin300 and 50% Glycerol. |
| 保存条件 | Store at -20 °C for one year. Avoid repeated freeze/thaw cycles. The lyophilized antibody is stable at room temperature for at least one month and for greater than a year when kept at -20°C. When reconstituted in sterile pH 7.4 0.01M PBS or diluent of antibody the antibody is stable for at least two weeks at 2-4 °C. |
| PubMed | PubMed |
| 产品介绍 | background: Mitochondria are the center of cellular energy production and essential metabolic reactions. As double membrane-bound organelles, mitochondria from different species, tissues, and metabolic states are highly polymorphic in nature, yet exhibit common structural features. The ultrastructural variations in mitochondrial architecture occur mainly due to the differences in the amount and shape of cristae. Abundant cristae are found in mitochondria from tissues where energy demand is high. Analysis of the human heart mitochondrial proteome shows that mitofilin is one of the most abundant mitochondrial proteins. It appears to play an important role in the maintenance of cristae morphology. Mitofilin was originally described as heart muscle protein (HMP) because of its high expression in the heart. Subunit: Interacts with OPA1, preferentially with the soluble OPA1 form. Component of the MINOS/MitOS complex, that includes IMMT, HSPA9 and CHCHD3 and associates with mitochondrial outer membrane proteins SAMM50, MTX1 and MTX2. Interacts with CHCHD6; the interaction is direct. Subcellular Location: Mitochondrion inner membrane. SWISS: Q16891 Gene ID: 10989 Database links: Entrez Gene: 508853 Cow Entrez Gene: 10989 Human Entrez Gene: 76614 Mouse Entrez Gene: 312444 Rat Omim: 600378 Human SwissProt: Q16891 Human SwissProt: Q8CAQ8 Mouse SwissProt: Q3KR86 Rat Unigene: 148559 Human Unigene: 235123 Mouse Unigene: 47124 Rat Important Note: This product as supplied is intended for research use only, not for use in human, therapeutic or diagnostic applications. |
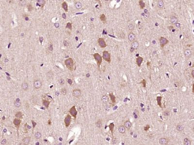
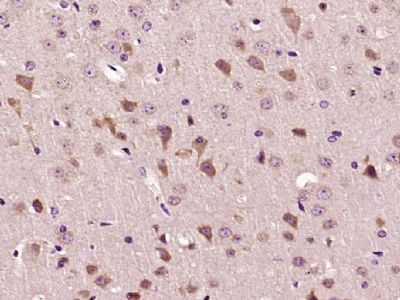
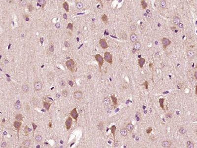
| 产品图片 | ![]() Sample: A673(Human) Cell Lysate at 30 ug Primary: Anti-Mitofilin (bs-1824R) at 1/300 dilution Secondary: IRDye800CW Goat Anti-Rabbit IgG at 1/20000 dilution Predicted band size: 68 kD Observed band size: 68 kD ![]() Paraformaldehyde-fixed, paraffin embedded (mouse brain tissue); Antigen retrieval by boiling in sodium citrate buffer (pH6.0) for 15min; Block endogenous peroxidase by 3% hydrogen peroxide for 20 minutes; Blocking buffer (normal goat serum) at 37°C for 30min; Antibody incubation with (Mitofilin) Polyclonal Antibody, Unconjugated (bs-1824R) at 1:400 overnight at 4°C, followed by operating according to SP Kit(Rabbit) (sp-0023) instructionsand DAB staining. ![]() Paraformaldehyde-fixed, paraffin embedded (rat brain tissue); Antigen retrieval by boiling in sodium citrate buffer (pH6.0) for 15min; Block endogenous peroxidase by 3% hydrogen peroxide for 20 minutes; Blocking buffer (normal goat serum) at 37°C for 30min; Antibody incubation with (Mitofilin) Polyclonal Antibody, Unconjugated (bs-1824R) at 1:400 overnight at 4°C, followed by operating according to SP Kit(Rabbit) (sp-0023) instructionsand DAB staining. |
风险提示:丁香通仅作为第三方平台,为商家信息发布提供平台空间。用户咨询产品时请注意保护个人信息及财产安全,合理判断,谨慎选购商品,商家和用户对交易行为负责。对于医疗器械类产品,请先查证核实企业经营资质和医疗器械产品注册证情况。
文献和实验线粒体 mitochondrion, pl.mitochondria
到。另外除了可用詹纳司绿 B进行特异的活体染色外,还能利用对细胞色素氧化酶的 Nadi反应和对琥珀酸脱氨酶的四唑盐的还原反应,从组织化学的染色检验出来。将去核后的细胞匀浆用 5000— 7000g进行差速离心,即可单独分离出线粒体。根据电子显微镜的观察,线粒体被内外两层线粒体膜( mitochondr- al membrane)包围着(图 a)。膜的厚度约为 6毫微米,两层膜的间隔为 6— 8毫微米。内膜向内突出,形成宽 20— 30毫微米的格状的嵴(图 b)。 嵴的存在是线粒体的基本特征,是从形态上鉴别线粒体
重大突破!甘波谊团队 Nature 首次报道第三种铁死亡抑制机制,提供抗癌新思路
4 可使 DHODH 抑制剂诱导脂质过氧化和铁死亡的发生。 图片来源:Nature机制探究:DHODH 是如何抑制铁死亡的?DHODH 是一种位于线粒体内膜外表面的酶。在 DHODH 敲除的 HT-1080 细胞中回转(restoration)野生型 DHODH,可降低 GPX4 抑制引起的铁死亡,然而回转 DHODH 催化活性突变体或线粒体定位缺陷突变体则没有这一作用。此外,在敲除 HT-1080 细胞的 GPX4 后,回转线粒体定位的 GPX4(GPX4mito)可降低 DHODH 抑制引起的铁
Cell Metab:北大邱义福团队发现「产热通道」介导的褐色脂肪产热新机制
肥胖已成为全球性的重大健康问题,在个体层面可以通过增加能量消耗来对抗肥胖。自 2009 年在成人中检测到代谢活跃的褐色/米色脂肪组织(BAT (brown adipose tissue) or beige fat)以来,科学家们一直在寻找增强褐色/米色脂肪产热从而增加能量消耗、抵抗肥胖的方法。 褐色脂肪组织线粒体富含解偶联蛋白 UCP1(uncoupling protein 1)。UCP1 能够提高线粒体内膜对质子的电导性,从而消耗质子梯度,将氧化磷酸化与 ATP 合成解偶联,把底物氧
技术资料暂无技术资料 索取技术资料













