相关产品推荐更多 >
万千商家帮你免费找货
0 人在求购买到急需产品
- 详细信息
- 文献和实验
- 技术资料
- 供应商:
上海联迈生物工程有限公司
- 库存:
大量
- 目录编号:
LM-1804R
- 克隆性:
多克隆
- 抗原来源:
Rabbit
- 保质期:
1年
- 抗体英文名:
CD11a
- 抗体名:
整合素αL抗体
- 宿主:
Rabbit
- 适应物种:
Human, Mouse, Rat, Dog, Pig, Cow, Horse, Rabbit, Sheep,
- 免疫原:
KLH conjugated synthetic peptide derived from human Integrin alpha L (292-339aa):251-350/1170 <Extracellular>
- 亚型:
IgG
- 形态:
Lyophilized or Liquid
- 应用范围:
IHC-P=1:400-800 IHC-F=1:400-800 Flow-Cyt=0.2μg /test IF=1:100-500 (石蜡切片需做抗原修复)
- 浓度:
1mg/ml
- 保存条件:
Store at -20 °C
- 规格:
50ul 100ul 200ul
| 英文名称 | CD11a |
| 中文名称 | 整合素αL抗体 |
| 别 名 | Integrin alpha L; Integrin alpha-L; Leukocyte adhesion glycoprotein LFA-1 alpha chain; LFA-1A; Leukocyte function-associated molecule 1 alpha chain; Lymphocyte antigen 15; Ly-15; CD11 antigen-like family member A; CD_antigen; ITAL_HUMAN. Integrin αL; Integrin-αL; Integrin-α-L; Integrin α L; |
| 规格价格 | 50ul/780元 购买 100ul/1380元 购买 200ul/2200元 购买 大包装/询价 |
| 说 明 书 | 50ul 100ul 200ul |
| 研究领域 | 细胞生物 干细胞 细胞粘附分子 |
| 抗体来源 | Rabbit |
| 克隆类型 | Polyclonal |
| 交叉反应 | Human, Mouse, Rat, Dog, Pig, Cow, Horse, Rabbit, Sheep, |
| 产品应用 | IHC-P=1:400-800 IHC-F=1:400-800 Flow-Cyt=0.2μg /test IF=1:100-500 (石蜡切片需做抗原修复) not yet tested in other applications. optimal dilutions/concentrations should be determined by the end user. |
| 分 子 量 | 126kDa |
| 细胞定位 | 细胞膜 |
| 性 状 | Lyophilized or Liquid |
| 浓 度 | 1mg/ml |
| 免 疫 原 | KLH conjugated synthetic peptide derived from human Integrin alpha L (292-339aa):251-350/1170 <Extracellular> |
| 亚 型 | IgG |
| 纯化方法 | affinity purified by Protein A |
| 储 存 液 | 0.01M TBS(pH7.4) with 1% BSA, 0.03% Proclin300 and 50% Glycerol. |
| 保存条件 | Store at -20 °C for one year. Avoid repeated freeze/thaw cycles. The lyophilized antibody is stable at room temperature for at least one month and for greater than a year when kept at -20°C. When reconstituted in sterile pH 7.4 0.01M PBS or diluent of antibody the antibody is stable for at least two weeks at 2-4 °C. |
| PubMed | PubMed |
| 产品介绍 | background: ITGAL encodes the integrin alpha L chain. Integrins are heterodimeric integral membrane proteins composed of an alpha chain and a beta chain. This I-domain containing alpha integrin combines with the beta 2 chain (ITGB2) to form the integrin lymphocyte function-associated antigen-1 (LFA-1), which is expressed on all leukocytes. LFA-1 plays a central role in leukocyte intercellular adhesion through interactions with its ligands, ICAMs 1-3(intercellular adhesion molecules 1 through 3), and also functions in lymphocyte costimulatory signaling. Two transcript variants encoding different isoforms have been found for this gene. Function: Integrin alpha-L/beta-2 is a receptor for ICAM1, ICAM2, ICAM3 and ICAM4. It is involved in a variety of immune phenomena including leukocyte-endothelial cell interaction, cytotoxic T-cell mediated killing, and antibody dependent killing by granulocytes and monocytes. Subunit: Heterodimer of an alpha and a beta subunit. Alpha-L associates with beta-2. Subcellular Location: Membrane; Single-pass type I membrane protein. Tissue Specificity: Leukocytes. Similarity: Belongs to the integrin alpha chain family. Contains 7 FG-GAP repeats. Contains 1 VWFA domain. SWISS: P20701 Gene ID: 3683 Database links: Entrez Gene: 3683 Human Omim: 153370 Human SwissProt: P20701 Human Unigene: 174103 Human Important Note: This product as supplied is intended for research use only, not for use in human, therapeutic or diagnostic applications. |
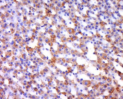
| 产品图片 | ![]() Tissue/cell: Rat adrenal gland; 4% Paraformaldehyde-fixed and paraffin-embedded; Antigen retrieval: citrate buffer ( 0.01M, pH 6.0 ), Boiling bathing for 15min; Block endogenous peroxidase by 3% Hydrogen peroxide for 30min; Blocking buffer (normal goat serum,C-0005) at 37℃ for 20 min; Incubation: Anti-ITAL Polyclonal Antibody, Unconjugated(bs-1804R) 1:500, overnight at 4°C, followed by conjugation to the secondary antibody(SP-0023) and DAB(C-0010) staining ![]() Blank control: U937 (blue). Primary Antibody:Rabbit Anti- Integrin alpha L antibody(bs-1804R), Dilution: 0.2μg in 100 μL 1X PBS containing 0.5% BSA; Isotype Control Antibody: Rabbit IgG(orange) ,used under the same conditions ); Secondary Antibody: Goat anti-rabbit IgG-PE(white blue), Dilution: 1:200 in 1 X PBS containing 0.5% BSA. Protocol The cells were fixed with 2% paraformaldehyde (10 min) . Primary antibody (bs-1804R, 0.2μg /1x10^6 cells) were incubated for 30 min on the ice, followed by 1 X PBS containing 0.5% BSA + 1 0% goat serum (15 min) to block non-specific protein-protein interactions. Then the Goat Anti-rabbit IgG/PE antibody was added into the blocking buffer mentioned above to react with the primary antibody at 1/200 dilution for 30 min on ice. Acquisition of 20,000 events was performed. |
风险提示:丁香通仅作为第三方平台,为商家信息发布提供平台空间。用户咨询产品时请注意保护个人信息及财产安全,合理判断,谨慎选购商品,商家和用户对交易行为负责。对于医疗器械类产品,请先查证核实企业经营资质和医疗器械产品注册证情况。
文献和实验CD11a/CD11b/CD11c 分子 CDlla 常用单克隆抗体或代号:MHM24, 2F12; CRIS―3(LFA―lα链,整合素α1) 主要表达细胞:Leu[A5] 分子质量(kDa)和结构:spl80(整合素α) 功 能:与1CAM-l(CD54)、ICAM-2(CDl02)、ICAM-3(C1350)结合,介导细胞黏附;与JAMl结合,参与白细胞穿过内皮细胞
整合素家族迟现抗原组 ( β 1 组 ) β1(CD29)整合素亚单位可与CD49α~f(Mα1~α6)、CD51(αV)以及α7~α11分别组成VLAl~VLA6,αV61(VNR-191),α7α1、α8βl、α9β1和α11β1整合素分子。由于最早发现的~%A-1和VLA-2分子是在用同种异体抗原或外源凝集素活化淋巴细胞后数周才出现,因此习惯称为迟现抗原(verylateanngen,VLA)。CD29表达十分广泛,包括所有的白细胞。CD29在记忆T细胞上的表达水平高于
网络 四、Ⅲ型补体受体(CD11b/CD18) Ⅲ型补体受体(CR3)为由α、β两条肽链以非共价键结合而构成的异二聚体糖蛋白,分子量分别为165kDa和95kDa。CR3属于粘附分子整合素(integrin)家族中的成员,与淋巴细胞功能相关抗原-1(LFA-1)和CR4的结构极为相似,三者的β链完全相同(命名为CD18),而α链
技术资料暂无技术资料 索取技术资料












