相关产品推荐更多 >
万千商家帮你免费找货
0 人在求购买到急需产品
- 详细信息
- 文献和实验
- 技术资料
- 供应商:
上海联迈生物工程有限公司
- 库存:
大量
- 目录编号:
LM-17891R
- 克隆性:
多克隆
- 抗原来源:
Rabbit
- 保质期:
1年
- 抗体英文名:
MTO1
- 抗体名:
MTO1蛋白抗体
- 宿主:
Rabbit
- 适应物种:
Human, Mouse, Rat, Cow, Horse, Rabbit, Sheep,
- 免疫原:
KLH conjugated synthetic peptide derived from human MTO1:101-200/717
- 亚型:
IgG
- 形态:
Lyophilized or Liquid
- 应用范围:
ELISA=1:500-1000 IHC-P=1:400-800 IHC-F=1:400-800 ICC=1:100-500 IF=1:100-500 (石蜡切片需做抗原修复)
- 浓度:
1mg/ml
- 保存条件:
Store at -20 °C
- 规格:
100ul 200ul
| 英文名称 | MTO1 |
| 中文名称 | MTO1蛋白抗体 |
| 别 名 | mitochondrial MTO1 3; mitochondrial translation optimization 1 homolog; protein MTO1 homolog, mitochondrial precursor. |
| 规格价格 | 100ul/1380元 购买 200ul/2200元 购买 大包装/询价 |
| 说 明 书 | 100ul 200ul |
| 研究领域 | 细胞生物 信号转导 激酶和磷酸酶 新陈代谢 线粒体 表观遗传学 |
| 抗体来源 | Rabbit |
| 克隆类型 | Polyclonal |
| 交叉反应 | Human, Mouse, Rat, Cow, Horse, Rabbit, Sheep, |
| 产品应用 | ELISA=1:500-1000 IHC-P=1:400-800 IHC-F=1:400-800 ICC=1:100-500 IF=1:100-500 (石蜡切片需做抗原修复) not yet tested in other applications. optimal dilutions/concentrations should be determined by the end user. |
| 分 子 量 | 77kDa |
| 细胞定位 | 细胞浆 线粒体 |
| 性 状 | Lyophilized or Liquid |
| 浓 度 | 1mg/ml |
| 免 疫 原 | KLH conjugated synthetic peptide derived from human MTO1:101-200/717 |
| 亚 型 | IgG |
| 纯化方法 | affinity purified by Protein A |
| 储 存 液 | 0.01M TBS(pH7.4) with 1% BSA, 0.03% Proclin300 and 50% Glycerol. |
| 保存条件 | Store at -20 °C for one year. Avoid repeated freeze/thaw cycles. The lyophilized antibody is stable at room temperature for at least one month and for greater than a year when kept at -20°C. When reconstituted in sterile pH 7.4 0.01M PBS or diluent of antibody the antibody is stable for at least two weeks at 2-4 °C. |
| PubMed | PubMed |
| 产品介绍 | background: This gene encodes a mitochondrial protein thought to be involved in mitochondrial tRNA modification. The encoded protein may also play a role in the expression of the non-syndromic and aminoglycoside-induced deafness phenotypes associated with a specific mutation in the mitochondrial 12S rRNA gene. Multiple transcript variants encoding different isoforms have been found for this gene. [provided by RefSeq, Jul 2008] Function: The Protein MTO1 homolog is involved in the 5 carboxymethylaminomethyl modification (mnm(5)s(2)U34) of the wobble uridine base in mitochondrial tRNAs. It is ubiquitously expressed in various tissues, but with a markedly elevated expression in tissues of high metabolic rates including cochlea. The protein belongs to the gidA family. Subcellular Location: Mitochondrial Tissue Specificity: Ubiquitously expressed in various tissues, but with a markedly elevated expression in tissues of high metabolic rates including cochlea. Similarity: Belongs to the MnmG family. SWISS: Q9Y2Z2 Gene ID: 25821 Database links: Entrez Gene: 25821 Human Entrez Gene: 68291 Mouse Entrez Gene: 300852 Rat SwissProt: Q9Y2Z2 Human SwissProt: Q923Z3 Mouse Important Note: This product as supplied is intended for research use only, not for use in human, therapeutic or diagnostic applications. |
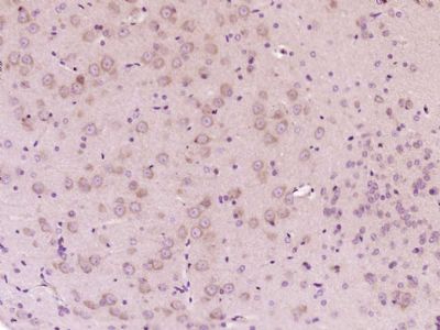
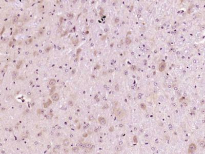
| 产品图片 | ![]() Paraformaldehyde-fixed, paraffin embedded (Mouse brain); Antigen retrieval by boiling in sodium citrate buffer (pH6.0) for 15min; Block endogenous peroxidase by 3% hydrogen peroxide for 20 minutes; Blocking buffer (normal goat serum) at 37°C for 30min; Antibody incubation with (MTO1) Polyclonal Antibody, Unconjugated (bs-17891R) at 1:400 overnight at 4°C, followed by operating according to SP Kit(Rabbit) (sp-0023) instructionsand DAB staining. ![]() Paraformaldehyde-fixed, paraffin embedded (Rat brain); Antigen retrieval by boiling in sodium citrate buffer (pH6.0) for 15min; Block endogenous peroxidase by 3% hydrogen peroxide for 20 minutes; Blocking buffer (normal goat serum) at 37°C for 30min; Antibody incubation with (MTO1) Polyclonal Antibody, Unconjugated (bs-17891R) at 1:400 overnight at 4°C, followed by operating according to SP Kit(Rabbit) (sp-0023) instructionsand DAB staining. |
风险提示:丁香通仅作为第三方平台,为商家信息发布提供平台空间。用户咨询产品时请注意保护个人信息及财产安全,合理判断,谨慎选购商品,商家和用户对交易行为负责。对于医疗器械类产品,请先查证核实企业经营资质和医疗器械产品注册证情况。
文献和实验人 抗麦胶蛋白抗体 ( AGA) 酶联免疫分析 试剂盒使用说明书 本试剂仅供研究使用 目的:本试剂盒用于测定人血清,血浆及相关液体样本中 抗麦胶蛋白抗体( AGA) 的 含量。 实验原理: 本试剂盒应用双抗原夹心法测定标本中人 抗麦胶蛋白抗体( AGA) 的 水平。用纯化的 抗原 包被微孔板,制成固相抗原,往包被抗原的微孔中依次加入 抗麦胶蛋白抗体( AGA) ,再与 HRP 标记的 抗原 结合
sunchangzheng 我打算用此抗体通过流式检测细胞表面P糖蛋白的表达量差异。 说明书中说是多抗,这种抗体有单抗的吧? 用于FCM: 1:20-100,这是说用于流式的稀释倍数,是不是稀释倍数越小越好呢? 同型对照抗体是不是必须要做的?如何选择阴型同型对照抗体呢! 我用的抗体是FITC标记的P-糖蛋白抗体 谢谢交流与帮助! freecell 抗体的稀释倍数是需要优化
载脂蛋白抗体的制备 抗原免疫动物产生的抗体是血清γ-球蛋白的一部分。抗体的理化性质及结构与γ-球蛋白相近似。γ-球蛋白是一组结构相似,但又有差异的蛋白质,通称为免疫球蛋白(immunoglobulin,Ig),按其结构和免疫化学性质的差异,又可分为五类,分别称为IgG、IgA、IgM、IgD和IgE。载脂蛋白抗体以IgG最为稳定。因载脂蛋白的体液中含量不同以及分离纯化的难易的差别,可分别采用多克隆抗体制备法和单克隆抗体制备法。 1.多克隆抗体的制备 (1)抗原
技术资料暂无技术资料 索取技术资料












