相关产品推荐更多 >
万千商家帮你免费找货
0 人在求购买到急需产品
- 详细信息
- 询价记录
- 文献和实验
- 技术资料
- 亚型:
IgG
- 形态:
Each vial contains 0.1 ml IgG in PBS pH 7.4 with 0.17% sodium azide. Antibody was purified by immunogen affinity chromatography.
- 保存条件:
ore at -35°C. Minimize freeze-thaw cycles. Product is guaranteed one year from the date of shipment.
- 克隆性:
多克隆
- 应用范围:
E, WB,IHC,IF
- 浓度:
16mg/ml
- 规格:
0.16ml
克隆类型 : Rabbit Polyclonal Antibody, Modification Specific Antibody
亚 型 : Rabbit Ig
免 疫 原 : Glutathione conjugated to KLH via disulphide bonds
适用物种 : H, M, R
应用范围 : E, WB, IP, IF, IHC
应用说明 : Cat. No. 251134 recognizes reduced (GSH) and oxidixed (GSSG) glutathion as well as glutathionylated proteins and peptides. E: 1:500-1:2,000; WB: 1:200-1:1000; IHC: 1:100-1:500; IP: 5 ug sample; IF: 5 ug/ml
别 名 : Glutathione; GSH; GSSG
形 态 : Each vial contains 0.1 mg IgG in 0.4 ml (0.25 mg/ml) of PBS pH7.4, 50% glycerol. Antibody was purified by immunogen-affinity chromatography on a glutathione agarose column.
保存条件 : Store at -20°C. Minimize freeze-thaw cycles. Product is guaranteed one year from the date of shipment.
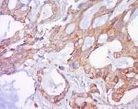
NGAL (14) Antibody实验图片 :
NGAL (14) Antibody
Rabbit Immunization
Initial Preparation:
Your antigen should at least have a molecular weight of 20 kDa (kilodaltons) for development of a strong immune response in animals. If it is a small protein, it can be linked to a larger protein by chemical methods or cloned and expressed as a fusion protein with a larger protein. If it is a peptide or small molecule, a carrier-hapten conjugate must be made. Purify your antigen well to obtain antibodies with good specificity.
Obtain at least two 6 week old New Zealand White rabbits and have them delivered to the Animal Resources Center. Don't put all your eggs in one basket by using only one rabbit. Allow them to get accustomed to their new environment for two weeks before the first pre-bleed.
Pre-bleed:
1. Calmly and gently place rabbit in a restrainer. If they are relaxed they bleed much easier.
2. With a razor blade, shave the top middle of the ear you wish to bleed, completely visualizing the large vein running down the center of the ear.
If you find it necessary, dilate the ear vein by rubbing xylene on it with a Q-tip.
3. Using a perfusion kit with a butterfly needle at one end and a rubber enclosed needle at the other, insert the butterfly needle in the vein. Immediately after blood is seen in the tubing, quickly insert the needle at the other end into the rubber cork of a 20 mL evacuated blood collection tube. This step works best with two people.
4. When you have the required amount of blood (1-5 mL is sufficient for a pre-bleed--for later bleeds take 20 mL), remove the needle and apply pressure to the wound. When the bleeding has stopped (~10 seconds), sterilize the ear with ethanol. If you used xylene, rinse two or three times with ethanol to remove it.
5. Remove the rabbit from the restrainer and place it in its cage.
6. Take the collected blood and place at 37°C for 30 minutes to inactivate complement.
7. Place the tube at 4°C overnight to clot.
8. Loosen the clot from the tube wall with a spatula and decant the blood into a plastic centrifuge tube. Centrifuge at 4°C 10,000g for 10 minutes.
9. Decant or pipet off the supernatant. This is your serum. Dispose of all blood waste in appropriate biohazardous containers.
Antigen Injection:
1. For injection of two rabbits, your antigen should be in 1 mL of a buffer such as phosphate buffered saline (PBS) or Tris that contains no chemicals harmful to the rabbit. 100 µg/rabbit of antigen is best, but you can use less and get good results.
2. Again for two rabbits, prepare RIBI (or Freund's) adjuvant by warming in a beaker of warm water, injecting 1 mL of your antigen solution into the adjuvant, and vortexing vigorously for 2 minutes to get a good suspension. Do not get adjuvant in your eyes, or anywhere else.
3. Calmly take the rabbit out of its cage, reassuringly petting it. There is no need for a restrainer. Place on a flat surface for the injection. With a 1 mL syringe, draw in 1 mL of your antigen/adjuvant solution. Four subcutaneous injections are done, two on the lower back and two on the thigh. To inject, rub the hair away from the injection site and sterilize with a squirt of ethanol. Pinch the skin and pull up slightly to pull the skin away from the muscle, insert the needle 1-2 cm at a 15 degree angle so as to not hit muscle, and inject 250 µL of your innoculum. After the required volume has been injected, let the needle remain in place for a few seconds, then pull out and gently rub the injection site so nothing leaks out. Repeat for all four sites and place the rabbit back in its cage. Repeat the process for the other rabbits.
4. Injections will be done every 4-6 weeks, with bleeds 7-10 days after each injection. Bleeds are performed identically to the pre-bleed, but obtain at 5. least 20 mL per rabbit, with 40 mL being the upper limit for an adult rabbit to prevent anemia.
Monitoring of Titer:
The quality of the antibodies in serum (humoral immune response) of the bleeds is monitored by indirect ELISA. Titer is defined as the dilution that gives you 1/2 the maximal absorbance of this assay.
Purification of Antibodies:
Although for many purposes it is not necessary to purify the antibodies away from other serum proteins, if desired this is best accomplished by Protein A Affinity Chromatography.
风险提示:丁香通仅作为第三方平台,为商家信息发布提供平台空间。用户咨询产品时请注意保护个人信息及财产安全,合理判断,谨慎选购商品,商家和用户对交易行为负责。对于医疗器械类产品,请先查证核实企业经营资质和医疗器械产品注册证情况。
- 作者
- 内容
- 询问日期
文献和实验of the tryptic peptides derived from the purified enzyme revealed two amino acid sequences homologous to the 14-3-3 proteins. A polyclonal antibody was raised against purified ST-IV. A 33 kDa protein was co-immunoprecipitated from rat brain extracts with the anti
人Lipocalin-2 (NGAL)ELISA试剂盒 说明书
上海西唐生物科技有限公司 021-55229872, 65333639 www.westang.com 人 Lipocalin-2 ( NGAL )ELISA 试剂盒 ( 用于血清、血浆、细胞培养上清液和尿液、唾液生物体液内 ) 原理 本实验采用双抗体夹心 ABC-ELISA 法。用抗人 NGAL 单抗包被于酶标板上,标准品和样品中的 NGAL与单抗结合,加入生物素化的抗人
大鼠Lipocalin-2 (NGAL)ELISA试剂盒 说明书
上海西唐生物科技有限公司 021-55229872, 65333639 www.westang.com 大鼠 Lipocalin-2 (NGAL)ELISA 试剂盒 ( 用于血清、血浆、细胞培养上清液和尿液生物体液内 ) 原理 本实验采用双抗体夹心 ABC-ELISA 法。用抗大鼠 NGAL 单抗包被于酶标板上,标准品和样品中的 NGAL 与单抗结合,加入生物素化的抗大鼠 NGAL ,形成免疫复合
技术资料暂无技术资料 索取技术资料









