万千商家帮你免费找货
0 人在求购买到急需产品
- 详细信息
- 技术资料
- 库存:
大量
- 靶点:
Thr23
- 克隆性:
多克隆
- 抗原来源:
Rabbit
- 抗体英文名:
Anti-Phospho-IKK alpha (Thr23)
- 抗体名:
磷酸化KB抑制蛋白激酶α/IKK α 抗体
- 标记物:
HRP,AKP
- 宿主:
人,兔,羊,牛,狗等
- 适应物种:
Human, Mouse, Rat, Chicken, Dog, Pig, Cow, Rabbit
- 免疫原:
KLH conjugated Synthesised phosphopeptide derived from human IKK alpha around the phosphorylation site of Thr23
- 亚型:
IgG
- 形态:
冻干或液体
- 应用范围:
WB,ELISA,IP,ICC等
- 浓度:
1mg/1ml
- 保存条件:
-20 °C
- 规格:
0.1ml/100μg
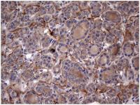
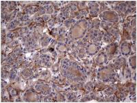
磷酸化KB抑制蛋白激酶α/IKK α 抗体产品简介:
英文名称 Anti-Phospho-IKK alpha (Thr23)
中文名称 磷酸化KB抑制蛋白激酶α/IKK α 抗体
别 名 IKK alpha (Phospho-Thr23); phospho-IKK alpha(Thr23); I Kappa B Kinase Alpha; IKKalpha; IKK alpha; IkappaB kinase; IkB kinase alpha subunit; IKBKA; IKK 1; IKK A; IKK a kinase; IKK1; IKKA; Inhibitor Of Kappa Light Polypeptide Gene Enhancer In B Cells; Inhibitor Of Nuclear Factor Kappa B Kinase Alpha Subunit; NFKBIKA; Nuclear Factor Kappa B Inhibitor Kinase Alpha; Nuclear factor NF kappa B inhibitor kinase alpha; Nuclear factor NFkappaB inhibitor kinase alpha; Nuclear Factor Of Kappa Light Chain Gene Enhancer In B Cells Inhibitor; TCF16; CHUK1; Conserved Helix Loop Helix Ubiquitous Kinase; Conserved helix loop ubiquitous kinase; I Kappa B Kinase 1; IKKA_HUMAN.
浓 度 1mg/1ml
规 格 0.1ml/100μg
抗体来源 Rabbit
克隆类型 polyclonal
交叉反应 Human, Mouse, Rat, Chicken, Dog, Pig, Cow, Rabbit
产品类型 一抗 磷酸化抗体
研究领域 肿瘤 免疫学 信号转导 转录调节因子 激酶和磷酸酶
蛋白分子量 predicted molecular weight:
85kDa
性 状 Lyophilized or Liquid
免 疫 原 KLH conjugated Synthesised phosphopeptide derived from human IKK alpha around the phosphorylation site of Thr23
亚 型 IgG
纯化方法 affinity purified by Protein A
储 存 液 0.01M PBS, pH 7.4 with 10 mg/ml BSA and 0.1% Sodium azide
产品应用 WB=1:100-500 ELISA=1:500-1000 IP=1:20-100 IHC-P=1:100-500 IHC-F=1:100-500 IF=1:100-500
公司优势:
★专业营销进口或国产品牌的抗体试剂,种类齐全,数量繁多,涵盖各种生命科研项目,具体有一抗二抗,单抗多抗,标记抗体以及其他各种类型的抗体;
★服务经验丰富,我们提供标记服务,各种标本、种属、具体指标齐全,资深的专业背景和高素质的技术团队,准能让您感受到我们的专业水准;
★关于磷酸化KB抑制蛋白激酶α/IKK α 抗体更多详情,请来电咨询!
磷酸化KB抑制蛋白激酶α/IKK α 抗体抗体分子标记技术:
(一)原理
当应用化学氧化法时,碘化钠(NaI)遇强氧化剂,碘离子被氧化为碘分子,所生成的自由碘分子可与某些基团进行卤化反应。蛋白质分子可进行卤化反应的基团主要为酪氨酸残基,某些组氨酸残基也可能进行碘化。在应用氯胺T( Chloramine T)法的实验中,所用的氧化剂(1,3,4,6- tetrachloro-3a,6adipheny l-glucoluril)强挥发性的有机溶剂中。该溶剂加入试管后,先让其挥发(即让氧化剂将试管包被),然后把Na125I和蛋白质液加入包被好的试管中,反应完成即将混合液移入他管终止反应。
(二)准备
1.试剂
经亲和层析纯化的多克隆抗体或单克隆抗体;0.5mol/L磷酸钠缓冲液,pH7.5;无载体的Na125I3.7GBq/ml(100mCi/ml)的NaOH液;100g/L三氯醋酸;70%乙醇;新鲜制备的含2mg/m1氯络胺T的0.5mol/L磷酸钠缓冲液(pH7.5);氯胺T反应终止缓冲液;
2.仪器
凝胶过滤柱;¥-记数器;玻璃纤维滤。
(三)操作要点
1.用氯胺T法进行碘化,也可在大约pH7.0的缓冲液中进行;
2.如果氧化反应损伤蛋白质,可将抗体与异硫氰酸荧光素(FITC)偶联)胺T量减少到0.02mg/m,并将偏重亚硫酸液的浓度降到0.024mg/ml;
3. Iodogen-包被的试管可在干燥器中,于室温下保存多年;
4.1251标记的抗体,在制备后六周内均可使用(1251的半衰期为59.6天);
5.要注意保证所用的Na1251是新鲜的,陈旧制剂的比活性低;
6.酪氨酸的碘化偶尔会对抗原的抗体结合位点有干扰,因此降低其结合能力,但这种情况很少见。
公司提供:
胞质分裂作用因子11 多克隆抗体 DOC11 Polyclonal Antibody
胞质分裂蛋白调控因子1(磷酸化-Thr481) 多克隆抗体 PRC1(Phospho-Thr481)Polyclonal Antibody
胞质分裂蛋白调控因子1 多克隆抗体 PRC1 Polyclonal Antibody
胞吞蛋白A3 多克隆抗体 SH3G3 Polyclonal Antibody
胞死亡引导DFFA样效应因子a 多克隆抗体 CIDEA Polyclonal Antibody
胞内维甲酸结合蛋白1 多克隆抗体 RABP1 Polyclonal Antibody
胞裂蛋白9 多克隆抗体 SEPT9 Polyclonal Antibody
α连环蛋白样1 多克隆抗体 CTNL1 Polyclonal Antibody
α晶体蛋白A链 多克隆抗体 CRYAA Polyclonal Antibody
α甲基酰基辅酶A消旋酶 单克隆抗体 AMACR Monoclonal Antibody
α激酶3 多克隆抗体 ALPK3 Polyclonal Antibody
α-骨骼肌肌动蛋白 多克隆抗体 α-Skeletal Muscle Actin Polyclonal Antibody
α骨骼肌肌动蛋白 单克隆抗体 α skeletal muscle actin Monoclonal Antibody
α-Tubulin单克隆抗体(3G5) , HRP偶联 Anti-α-Tubulin Monoclonal Antibody (3G5) , HRP Conjugated
磷酸化KB抑制蛋白激酶α/IKK α 抗体人Jo1抗体/抗组氨酰tRNA合成酶抗体(Jo1/HRS)ELISA试剂盒 96T/48T 免费代测
人L-乳酸脱氢酶(L-LDH)ELISA试剂盒 96T/48T 免费代测
人L苯丙氨酸解氨酶(PAL)ELISA试剂盒 96T/48T 免费代测
人L选择素(L-Selectin/CD62L)ELISA试剂盒 96T/48T 免费代测
人MAX二聚化蛋白1(mxd1)ELISA试剂盒 96T/48T 免费代测
人N-乙酰-β-D-氨基葡萄糖苷酶(NAG)ELISA试剂盒 96T/48T 免费代测
人高敏三碘甲状腺原氨酸(u-T3)ELISA试剂盒 96T/48T 免费代测
人高迁移率族蛋白B1(HMGB-1)ELISA试剂盒 96T/48T 免费代测
人高速泳动蛋白17(HMG-17)ELISA试剂盒 96T/48T 免费代测
人高铁血红蛋白(MHB)ELISA试剂盒 96T/48T 免费代测
人丁型肝炎IgM(HDV IgM)ELISA试剂盒 96T/48T 免费代测
人毒性休克综合征毒素1(TSST-1)ELISA试剂盒 96T/48T 免费代测
英文名称 Anti-Phospho-IKK alpha (Thr23)
中文名称 磷酸化KB抑制蛋白激酶α/IKK α 抗体
别 名 IKK alpha (Phospho-Thr23); phospho-IKK alpha(Thr23); I Kappa B Kinase Alpha; IKKalpha; IKK alpha; IkappaB kinase; IkB kinase alpha subunit; IKBKA; IKK 1; IKK A; IKK a kinase; IKK1; IKKA; Inhibitor Of Kappa Light Polypeptide Gene Enhancer In B Cells; Inhibitor Of Nuclear Factor Kappa B Kinase Alpha Subunit; NFKBIKA; Nuclear Factor Kappa B Inhibitor Kinase Alpha; Nuclear factor NF kappa B inhibitor kinase alpha; Nuclear factor NFkappaB inhibitor kinase alpha; Nuclear Factor Of Kappa Light Chain Gene Enhancer In B Cells Inhibitor; TCF16; CHUK1; Conserved Helix Loop Helix Ubiquitous Kinase; Conserved helix loop ubiquitous kinase; I Kappa B Kinase 1; IKKA_HUMAN.
浓 度 1mg/1ml
规 格 0.1ml/100μg
抗体来源 Rabbit
克隆类型 polyclonal
交叉反应 Human, Mouse, Rat, Chicken, Dog, Pig, Cow, Rabbit
产品类型 一抗 磷酸化抗体
研究领域 肿瘤 免疫学 信号转导 转录调节因子 激酶和磷酸酶
蛋白分子量 predicted molecular weight:
85kDa
性 状 Lyophilized or Liquid
免 疫 原 KLH conjugated Synthesised phosphopeptide derived from human IKK alpha around the phosphorylation site of Thr23
亚 型 IgG
纯化方法 affinity purified by Protein A
储 存 液 0.01M PBS, pH 7.4 with 10 mg/ml BSA and 0.1% Sodium azide
产品应用 WB=1:100-500 ELISA=1:500-1000 IP=1:20-100 IHC-P=1:100-500 IHC-F=1:100-500 IF=1:100-500
公司优势:
★专业营销进口或国产品牌的抗体试剂,种类齐全,数量繁多,涵盖各种生命科研项目,具体有一抗二抗,单抗多抗,标记抗体以及其他各种类型的抗体;
★服务经验丰富,我们提供标记服务,各种标本、种属、具体指标齐全,资深的专业背景和高素质的技术团队,准能让您感受到我们的专业水准;
★关于磷酸化KB抑制蛋白激酶α/IKK α 抗体更多详情,请来电咨询!
磷酸化KB抑制蛋白激酶α/IKK α 抗体抗体分子标记技术:
(一)原理
当应用化学氧化法时,碘化钠(NaI)遇强氧化剂,碘离子被氧化为碘分子,所生成的自由碘分子可与某些基团进行卤化反应。蛋白质分子可进行卤化反应的基团主要为酪氨酸残基,某些组氨酸残基也可能进行碘化。在应用氯胺T( Chloramine T)法的实验中,所用的氧化剂(1,3,4,6- tetrachloro-3a,6adipheny l-glucoluril)强挥发性的有机溶剂中。该溶剂加入试管后,先让其挥发(即让氧化剂将试管包被),然后把Na125I和蛋白质液加入包被好的试管中,反应完成即将混合液移入他管终止反应。
(二)准备
1.试剂
经亲和层析纯化的多克隆抗体或单克隆抗体;0.5mol/L磷酸钠缓冲液,pH7.5;无载体的Na125I3.7GBq/ml(100mCi/ml)的NaOH液;100g/L三氯醋酸;70%乙醇;新鲜制备的含2mg/m1氯络胺T的0.5mol/L磷酸钠缓冲液(pH7.5);氯胺T反应终止缓冲液;
2.仪器
凝胶过滤柱;¥-记数器;玻璃纤维滤。
(三)操作要点
1.用氯胺T法进行碘化,也可在大约pH7.0的缓冲液中进行;
2.如果氧化反应损伤蛋白质,可将抗体与异硫氰酸荧光素(FITC)偶联)胺T量减少到0.02mg/m,并将偏重亚硫酸液的浓度降到0.024mg/ml;
3. Iodogen-包被的试管可在干燥器中,于室温下保存多年;
4.1251标记的抗体,在制备后六周内均可使用(1251的半衰期为59.6天);
5.要注意保证所用的Na1251是新鲜的,陈旧制剂的比活性低;
6.酪氨酸的碘化偶尔会对抗原的抗体结合位点有干扰,因此降低其结合能力,但这种情况很少见。
公司提供:
胞质分裂作用因子11 多克隆抗体 DOC11 Polyclonal Antibody
胞质分裂蛋白调控因子1(磷酸化-Thr481) 多克隆抗体 PRC1(Phospho-Thr481)Polyclonal Antibody
胞质分裂蛋白调控因子1 多克隆抗体 PRC1 Polyclonal Antibody
胞吞蛋白A3 多克隆抗体 SH3G3 Polyclonal Antibody
胞死亡引导DFFA样效应因子a 多克隆抗体 CIDEA Polyclonal Antibody
胞内维甲酸结合蛋白1 多克隆抗体 RABP1 Polyclonal Antibody
胞裂蛋白9 多克隆抗体 SEPT9 Polyclonal Antibody
α连环蛋白样1 多克隆抗体 CTNL1 Polyclonal Antibody
α晶体蛋白A链 多克隆抗体 CRYAA Polyclonal Antibody
α甲基酰基辅酶A消旋酶 单克隆抗体 AMACR Monoclonal Antibody
α激酶3 多克隆抗体 ALPK3 Polyclonal Antibody
α-骨骼肌肌动蛋白 多克隆抗体 α-Skeletal Muscle Actin Polyclonal Antibody
α骨骼肌肌动蛋白 单克隆抗体 α skeletal muscle actin Monoclonal Antibody
α-Tubulin单克隆抗体(3G5) , HRP偶联 Anti-α-Tubulin Monoclonal Antibody (3G5) , HRP Conjugated
磷酸化KB抑制蛋白激酶α/IKK α 抗体人Jo1抗体/抗组氨酰tRNA合成酶抗体(Jo1/HRS)ELISA试剂盒 96T/48T 免费代测
人L-乳酸脱氢酶(L-LDH)ELISA试剂盒 96T/48T 免费代测
人L苯丙氨酸解氨酶(PAL)ELISA试剂盒 96T/48T 免费代测
人L选择素(L-Selectin/CD62L)ELISA试剂盒 96T/48T 免费代测
人MAX二聚化蛋白1(mxd1)ELISA试剂盒 96T/48T 免费代测
人N-乙酰-β-D-氨基葡萄糖苷酶(NAG)ELISA试剂盒 96T/48T 免费代测
人高敏三碘甲状腺原氨酸(u-T3)ELISA试剂盒 96T/48T 免费代测
人高迁移率族蛋白B1(HMGB-1)ELISA试剂盒 96T/48T 免费代测
人高速泳动蛋白17(HMG-17)ELISA试剂盒 96T/48T 免费代测
人高铁血红蛋白(MHB)ELISA试剂盒 96T/48T 免费代测
人丁型肝炎IgM(HDV IgM)ELISA试剂盒 96T/48T 免费代测
人毒性休克综合征毒素1(TSST-1)ELISA试剂盒 96T/48T 免费代测
风险提示:丁香通仅作为第三方平台,为商家信息发布提供平台空间。用户咨询产品时请注意保护个人信息及财产安全,合理判断,谨慎选购商品,商家和用户对交易行为负责。对于医疗器械类产品,请先查证核实企业经营资质和医疗器械产品注册证情况。
技术资料暂无技术资料 索取技术资料
磷酸化KB抑制蛋白激酶α/IKK α 抗体
询价









