相关产品推荐更多 >
万千商家帮你免费找货
0 人在求购买到急需产品
- 详细信息
- 文献和实验
- 技术资料
- 供应商:
上海抚生
- 库存:
大量
- 靶点:
Integrin alpha 5
- 克隆性:
多克隆
- 抗原来源:
Rabbit
- 抗体英文名:
Anti-Integrin alpha 5/CD49e/ITGA5
- 抗体名:
整合素α5抗体Integrin α5
- 标记物:
HRP,AKP
- 宿主:
人,鼠,猴,鸡,狗,猪等
- 适应物种:
Human, Mouse, Rat, Pig, Cow, Horse
- 免疫原:
KLH conjugated synthetic peptide derived from human Integrin alpha 5 C-terminus
- 亚型:
IgG
- 形态:
冻干或液体
- 应用范围:
WB,ELISA,ICC,IP等
- 浓度:
1mg/1ml
- 保存条件:
-20℃
- 规格:
0.1ml/100μg 0.2ml/200μg
英文名称 Anti-Integrin alpha 5/CD49e/ITGA5
中文名称 整合素α5抗体Integrin α5
别 名 Alpha 5 beta 1; CD49 antigen-like family member E; CD49e; ECMRVI; Fibronectin Receptor alpha; Fibronectin receptor alpha subunit; Fibronectin receptor, alpha subunit; FNR; FNRA; gpIc/IIa; Integrin alpha 5 (fibronectin receptor alpha); Integrin alpha 5; Integrin alpha F; Integrin alpha-5; Integrin alpha-F; Integrin, alpha 5 (fibronectin receptor, alpha polypeptide); ITGA5; Very late Activation Antigen 5; Very Late Activation Protein 5 alpha; Very late activation protein 5, alpha subunit; VLA5; VLA5A; ITA5_HUMAN.
浓 度 1mg/1ml
规 格 0.1ml/100μg 0.2ml/200μg
抗体来源 Rabbit
克隆类型 polyclonal
交叉反应 Human, Mouse, Rat, Pig, Cow, Horse
产品类型 一抗
研究领域 细胞生物 免疫学 信号转导 干细胞 细胞粘附分子
蛋白分子量 predicted molecular weight:
110kDa
性 状 Lyophilized or Liquid
免 疫 原 KLH conjugated synthetic peptide derived from human Integrin alpha 5 C-terminus
亚 型 IgG
纯化方法 affinity purified by Protein A
储 存 液 0.01M PBS, pH 7.4 with 10 mg/ml BSA and 0.1% Sodium azide
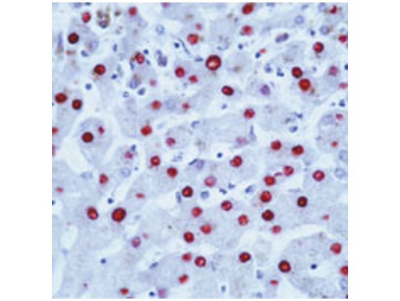
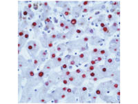
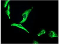
产品应用 WB=1:100-500 ELISA=1:500-1000 IP=1:20-100 IHC-P=1:100-500 IHC-F=1:100-500 IF=1:100-500
整合素α5抗体Integrin α5产品优势:
| ※支持定制服务,客户提前下单,我们根据客户需求进行生产,可保证产品的新批次和应具备的活跃度和灵敏度; ※产品来源正规,由权威保藏中心进行保藏; ※产品价格公允,新老客户皆能享受我司提供的价格优惠,客户可来电获取实时报价; ※我司配备完善的服务体系,详细客户只要与我司达成合作关系,定能感受到我司的诚意。 |
荧光标记抗体实验要点:
1.偶联反应要求在尽可能接近pH9.8的溶液中进行,而且注意在反应过程中要保持此pH水平;
2.要确定在偶联反应缓冲液中不含游离氨基(Tris,氨及叠氮钠均可与FITC反应,因此会降低蛋白质与FITC的偶联率);
3.FITC与蛋白质的比值(F/P),可通过测定495m与280nm吸光度来鉴定;
4.FITC缺限是易被光淬灭,因此复合物必须始终避光保存;
5.如果FITC一复合物对PBS透析不充分,可能造成高本底,对免疫荧光染色产生干扰;
与整合素α5抗体Integrin α5相关的其他产品:
现货供应 溶质载体家族34(钠磷酸),成员3 多克隆抗体 NPT2C Polyclonal Antibody
现货供应 溶质载体家族34(钠磷酸),成员1 多克隆抗体 NPT2A Polyclonal Antibody
现货供应 溶质载体家族33(乙酰辅酶A转运蛋白),成员1 多克隆抗体 ACAP2 Polyclonal Antibody
现货供应 溶质载体家族31(铜转运蛋白)成员1 多克隆抗体 COPT1 Polyclonal Antibody
现货供应 溶质载体家族29成员2 多克隆抗体 S29A2 Polyclonal Antibody
现货供应 溶质载体家族28成员1 多克隆抗体 S28A1 Polyclonal Antibody
现货供应 溶质载体家族27成员6 多克隆抗体 S27A6 Polyclonal Antibody
整合素α5抗体Integrin α5特价促销 人抑制素(INH)elisa kits试剂盒 96T/48T 免费代测
特价促销 人胸腺肽α1(Thymosin α1)elisa kits试剂盒 96T/48T 免费代测
特价促销 人封闭抗体(BA)elisa kits试剂盒 96T/48T 免费代测
特价促销 人β干扰素(IFNβ/IFNB)elisa kits试剂盒 96T/48T 免费代测
特价促销 人Podocin elisa kits试剂盒 96T/48T 免费代测
特价促销 人二胺氧化酶(DAO)elisa kits试剂盒 96T/48T 免费代测
风险提示:丁香通仅作为第三方平台,为商家信息发布提供平台空间。用户咨询产品时请注意保护个人信息及财产安全,合理判断,谨慎选购商品,商家和用户对交易行为负责。对于医疗器械类产品,请先查证核实企业经营资质和医疗器械产品注册证情况。
文献和实验人整合素α2β1(ITG α2β1)酶联免疫分析(ELISA)
人 整合素α2β1(ITG α2β1) 酶联免疫 分析( ELISA ) 试剂 盒使用说明书 本试剂仅供研究使用 目的:本试剂盒用于测定人血清,血浆及相关液体样本中 整合素α2β1(ITG α2β1) 的 含量。 实验原理 : 本试剂盒应用双抗体夹心法测定 标本 中 人 整合素α2β1(ITG α2β1) 水平。用纯化的 整合素α2β1(ITG α2β1) 抗体包被微孔板,制成固相抗体,往包被单抗的微孔中依次加入 整合素
人整合素αVβ3(ITG αⅤβ3)酶联免疫分析(ELISA)
人整合素αVβ3(ITG αⅤβ3) 酶联免疫 分析( ELISA ) 试剂 盒使用说明书 本试剂仅供研究使用 目的:本试剂盒用于测定人血清,血浆及相关液体样本中 整合素αVβ3(ITG αⅤβ3) 的 含量。 实验原理 : 本试剂盒应用双抗体夹心法测定 标本 中 人 整合素αV β 3 ( ITG αⅤβ 3 ) 水平。用纯化的抗体包被微孔板,制成固相抗体,往包被单抗的微孔中依次加入 整合素αV β 3 ( ITG αⅤ
【求助】***integrin(整合素)的抑制剂是什么啊???
lizhenbang ***integrin(整合素)的抑制剂是什么啊???小弟准备做整合素一系列实验,着急找不到抑制剂是什么啊?谢谢各位大侠! 熊文平 拮抗剂,有很多种类,如抗体 mayle 整合素分活化和非活化的 当然用不同的抑制剂像STI571 dfbsdsdfsd rgd可以抑制integrin 本文由丁香园论坛提供,想了解更多
技术资料暂无技术资料 索取技术资料









