万千商家帮你免费找货
0 人在求购买到急需产品
- 详细信息
- 技术资料
- 库存:
大量
- 靶点:
IKK alpha
- 克隆性:
多克隆
- 抗原来源:
Rabbit
- 抗体英文名:
Anti-IKK alpha
- 抗体名:
KB抑制蛋白激酶α/IκBα/IKK-α/IKKα/I-κB-α 抗体
- 标记物:
HRP,AKP
- 宿主:
人,兔,羊,牛,狗等
- 适应物种:
Human, Mouse, Rat, Dog, Horse
- 免疫原:
KLH conjugated synthetic peptide derived from human IKK alpha
- 亚型:
IgG
- 形态:
冻干或液体
- 应用范围:
WB,ELISA,IP,ICC等
- 浓度:
1mg/1ml
- 保存条件:
-20 °C
- 规格:
0.1ml/100μg 0.2ml/200μg
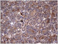
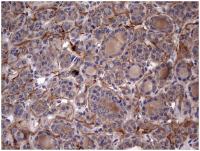
KB抑制蛋白激酶α/IκBα/IKK-α/IKKα/I-κB-α 抗体产品简介:
英文名称 Anti-IKK alpha
中文名称 KB抑制蛋白激酶α/IκBα/IKK-α/IKKα/I-κB-α 抗体
别 名 I Kappa B Kinase Alpha; IKKalpha; IKK alpha; IkappaB kinase; IkB kinase alpha subunit; IKBKA; IKK 1; IKK A; IKK a kinase; IKK1; IKKA; Inhibitor Of Kappa Light Polypeptide Gene Enhancer In B Cells; Inhibitor Of Nuclear Factor Kappa B Kinase Alpha Subunit; NFKBIKA; Nuclear Factor Kappa B Inhibitor Kinase Alpha; Nuclear factor NF kappa B inhibitor kinase alpha; Nuclear factor NFkappaB inhibitor kinase alpha; Nuclear Factor Of Kappa Light Chain Gene Enhancer In B Cells Inhibitor; TCF16; CHUK1; Conserved Helix Loop Helix Ubiquitous Kinase; Conserved helix loop ubiquitous kinase; I Kappa B Kinase 1; IkappaB kinase; IKKA_HUMAN.
浓 度 1mg/1ml
规 格 0.1ml/100μg 0.2ml/200μg
抗体来源 Rabbit
克隆类型 polyclonal
交叉反应 Human, Mouse, Rat, Dog, Horse
产品类型 一抗
研究领域 肿瘤 免疫学 信号转导 细胞凋亡 转录调节因子 细胞粘附分子
蛋白分子量 predicted molecular weight:
85kDa
性 状 Lyophilized or Liquid
免 疫 原 KLH conjugated synthetic peptide derived from human IKK alpha
亚 型 IgG
纯化方法 affinity purified by Protein A
储 存 液 0.01M PBS, pH 7.4 with 10 mg/ml BSA and 0.1% Sodium azide
产品应用 WB=1:100-500 ELISA=1:500-1000 IP=1:20-100 IHC-P=1:100-500 IHC-F=1:100-500 IF=1:100-500
公司优势:
★专业营销进口或国产品牌的抗体试剂,种类齐全,数量繁多,涵盖各种生命科研项目,具体有一抗二抗,单抗多抗,标记抗体以及其他各种类型的抗体;
★服务经验丰富,我们提供标记服务,各种标本、种属、具体指标齐全,资深的专业背景和高素质的技术团队,准能让您感受到我们的专业水准;
★关于KB抑制蛋白激酶α/IκBα/IKK-α/IKKα/I-κB-α 抗体更多详情,请来电咨询!
KB抑制蛋白激酶α/IκBα/IKK-α/IKKα/I-κB-α 抗体抗体分子标记技术:
(一)原理
当应用化学氧化法时,碘化钠(NaI)遇强氧化剂,碘离子被氧化为碘分子,所生成的自由碘分子可与某些基团进行卤化反应。蛋白质分子可进行卤化反应的基团主要为酪氨酸残基,某些组氨酸残基也可能进行碘化。在应用氯胺T( Chloramine T)法的实验中,所用的氧化剂(1,3,4,6- tetrachloro-3a,6adipheny l-glucoluril)强挥发性的有机溶剂中。该溶剂加入试管后,先让其挥发(即让氧化剂将试管包被),然后把Na125I和蛋白质液加入包被好的试管中,反应完成即将混合液移入他管终止反应。
(二)准备
1.试剂
经亲和层析纯化的多克隆抗体或单克隆抗体;0.5mol/L磷酸钠缓冲液,pH7.5;无载体的Na125I3.7GBq/ml(100mCi/ml)的NaOH液;100g/L三氯醋酸;70%乙醇;新鲜制备的含2mg/m1氯络胺T的0.5mol/L磷酸钠缓冲液(pH7.5);氯胺T反应终止缓冲液;
2.仪器
凝胶过滤柱;¥-记数器;玻璃纤维滤。
(三)操作要点
1.用氯胺T法进行碘化,也可在大约pH7.0的缓冲液中进行;
2.如果氧化反应损伤蛋白质,可将抗体与异硫氰酸荧光素(FITC)偶联)胺T量减少到0.02mg/m,并将偏重亚硫酸液的浓度降到0.024mg/ml;
3. Iodogen-包被的试管可在干燥器中,于室温下保存多年;
4.1251标记的抗体,在制备后六周内均可使用(1251的半衰期为59.6天);
5.要注意保证所用的Na1251是新鲜的,陈旧制剂的比活性低;
6.酪氨酸的碘化偶尔会对抗原的抗体结合位点有干扰,因此降低其结合能力,但这种情况很少见。
公司提供:
ADAR2 多克隆抗体 ADAR2 Polyclonal Antibody
ADAM金属肽酶域9 多克隆抗体 ADAM9 Polyclonal Antibody
ADAM金属肽酶域8 多克隆抗体 ADAM8 Polyclonal Antibody
ADAM金属肽酶域33 多克隆抗体 ADA33 Polyclonal Antibody
ADAM金属肽酶域30 多克隆抗体 ADA30 Polyclonal Antibody
ADAM金属肽酶域29 多克隆抗体 ADA29 Polyclonal Antibody
ADAM金属肽酶域28 多克隆抗体 ADA28 Polyclonal Antibody
14-3-3 θ/τ 多克隆抗体 14-3-3 θ/τ Polyclonal Antibody
14-3-3 θ 多克隆抗体 14-3-3 θ Polyclonal Antibody
14-3-3 ζ 多克隆抗体 14-3-3 ζ Polyclonal Antibody
14-3-3 ζ 多克隆抗体 14-3-3 ζ Polyclonal Antibody
14-3-3 ζ (phospho Ser58) 多克隆抗体 14-3-3 ζ (phospho Ser58) Polyclonal Antibody
14-3-3 ε 多克隆抗体 14-3-3 ε Polyclonal Antibody
14-3-3 β 多克隆抗体 14-3-3 β Polyclonal Antibody
KB抑制蛋白激酶α/IκBα/IKK-α/IKKα/I-κB-α 抗体大鼠促肾上皮质激素释放激素(CRH)ELISA试剂盒 96T/48T 免费代测
大鼠促肾上腺皮质激素(ACTH)ELISA试剂盒 96T/48T 免费代测
大鼠促生长激素释放激素(GRH)ELISA试剂盒 96T/48T 免费代测
大鼠促性腺激素释放激素(GnRH)ELISA试剂盒 96T/48T 免费代测
大鼠促性腺激素释放激素受体(GnRHR)ELISA试剂盒 96T/48T 免费代测
大鼠促性腺激素释放激素受体抗体(GNRHR-Ab)ELISA试剂盒 96T/48T 免费代测
大鼠生长抑素(SS)ELISA试剂盒 96T/48T 免费代测
大鼠视黄醇结合蛋白(RBP)ELISA试剂盒 96T/48T 免费代测
大鼠视黄醇结合蛋白4(RBP-4)ELISA试剂盒 96T/48T 免费代测
大鼠嗜酸粒细胞趋化蛋白Eotaxin 1(Eotaxin 1/CCL11)ELISA试剂盒 96T/48T 免费代测
大鼠嗜酸粒细胞趋化因子(ECF)ELISA试剂盒 96T/48T 免费代测
大鼠嗜酸性粒细胞阳离子蛋白(ECP)ELISA试剂盒 96T/48T 免费代测
英文名称 Anti-IKK alpha
中文名称 KB抑制蛋白激酶α/IκBα/IKK-α/IKKα/I-κB-α 抗体
别 名 I Kappa B Kinase Alpha; IKKalpha; IKK alpha; IkappaB kinase; IkB kinase alpha subunit; IKBKA; IKK 1; IKK A; IKK a kinase; IKK1; IKKA; Inhibitor Of Kappa Light Polypeptide Gene Enhancer In B Cells; Inhibitor Of Nuclear Factor Kappa B Kinase Alpha Subunit; NFKBIKA; Nuclear Factor Kappa B Inhibitor Kinase Alpha; Nuclear factor NF kappa B inhibitor kinase alpha; Nuclear factor NFkappaB inhibitor kinase alpha; Nuclear Factor Of Kappa Light Chain Gene Enhancer In B Cells Inhibitor; TCF16; CHUK1; Conserved Helix Loop Helix Ubiquitous Kinase; Conserved helix loop ubiquitous kinase; I Kappa B Kinase 1; IkappaB kinase; IKKA_HUMAN.
浓 度 1mg/1ml
规 格 0.1ml/100μg 0.2ml/200μg
抗体来源 Rabbit
克隆类型 polyclonal
交叉反应 Human, Mouse, Rat, Dog, Horse
产品类型 一抗
研究领域 肿瘤 免疫学 信号转导 细胞凋亡 转录调节因子 细胞粘附分子
蛋白分子量 predicted molecular weight:
85kDa
性 状 Lyophilized or Liquid
免 疫 原 KLH conjugated synthetic peptide derived from human IKK alpha
亚 型 IgG
纯化方法 affinity purified by Protein A
储 存 液 0.01M PBS, pH 7.4 with 10 mg/ml BSA and 0.1% Sodium azide
产品应用 WB=1:100-500 ELISA=1:500-1000 IP=1:20-100 IHC-P=1:100-500 IHC-F=1:100-500 IF=1:100-500
公司优势:
★专业营销进口或国产品牌的抗体试剂,种类齐全,数量繁多,涵盖各种生命科研项目,具体有一抗二抗,单抗多抗,标记抗体以及其他各种类型的抗体;
★服务经验丰富,我们提供标记服务,各种标本、种属、具体指标齐全,资深的专业背景和高素质的技术团队,准能让您感受到我们的专业水准;
★关于KB抑制蛋白激酶α/IκBα/IKK-α/IKKα/I-κB-α 抗体更多详情,请来电咨询!
KB抑制蛋白激酶α/IκBα/IKK-α/IKKα/I-κB-α 抗体抗体分子标记技术:
(一)原理
当应用化学氧化法时,碘化钠(NaI)遇强氧化剂,碘离子被氧化为碘分子,所生成的自由碘分子可与某些基团进行卤化反应。蛋白质分子可进行卤化反应的基团主要为酪氨酸残基,某些组氨酸残基也可能进行碘化。在应用氯胺T( Chloramine T)法的实验中,所用的氧化剂(1,3,4,6- tetrachloro-3a,6adipheny l-glucoluril)强挥发性的有机溶剂中。该溶剂加入试管后,先让其挥发(即让氧化剂将试管包被),然后把Na125I和蛋白质液加入包被好的试管中,反应完成即将混合液移入他管终止反应。
(二)准备
1.试剂
经亲和层析纯化的多克隆抗体或单克隆抗体;0.5mol/L磷酸钠缓冲液,pH7.5;无载体的Na125I3.7GBq/ml(100mCi/ml)的NaOH液;100g/L三氯醋酸;70%乙醇;新鲜制备的含2mg/m1氯络胺T的0.5mol/L磷酸钠缓冲液(pH7.5);氯胺T反应终止缓冲液;
2.仪器
凝胶过滤柱;¥-记数器;玻璃纤维滤。
(三)操作要点
1.用氯胺T法进行碘化,也可在大约pH7.0的缓冲液中进行;
2.如果氧化反应损伤蛋白质,可将抗体与异硫氰酸荧光素(FITC)偶联)胺T量减少到0.02mg/m,并将偏重亚硫酸液的浓度降到0.024mg/ml;
3. Iodogen-包被的试管可在干燥器中,于室温下保存多年;
4.1251标记的抗体,在制备后六周内均可使用(1251的半衰期为59.6天);
5.要注意保证所用的Na1251是新鲜的,陈旧制剂的比活性低;
6.酪氨酸的碘化偶尔会对抗原的抗体结合位点有干扰,因此降低其结合能力,但这种情况很少见。
公司提供:
ADAR2 多克隆抗体 ADAR2 Polyclonal Antibody
ADAM金属肽酶域9 多克隆抗体 ADAM9 Polyclonal Antibody
ADAM金属肽酶域8 多克隆抗体 ADAM8 Polyclonal Antibody
ADAM金属肽酶域33 多克隆抗体 ADA33 Polyclonal Antibody
ADAM金属肽酶域30 多克隆抗体 ADA30 Polyclonal Antibody
ADAM金属肽酶域29 多克隆抗体 ADA29 Polyclonal Antibody
ADAM金属肽酶域28 多克隆抗体 ADA28 Polyclonal Antibody
14-3-3 θ/τ 多克隆抗体 14-3-3 θ/τ Polyclonal Antibody
14-3-3 θ 多克隆抗体 14-3-3 θ Polyclonal Antibody
14-3-3 ζ 多克隆抗体 14-3-3 ζ Polyclonal Antibody
14-3-3 ζ 多克隆抗体 14-3-3 ζ Polyclonal Antibody
14-3-3 ζ (phospho Ser58) 多克隆抗体 14-3-3 ζ (phospho Ser58) Polyclonal Antibody
14-3-3 ε 多克隆抗体 14-3-3 ε Polyclonal Antibody
14-3-3 β 多克隆抗体 14-3-3 β Polyclonal Antibody
KB抑制蛋白激酶α/IκBα/IKK-α/IKKα/I-κB-α 抗体大鼠促肾上皮质激素释放激素(CRH)ELISA试剂盒 96T/48T 免费代测
大鼠促肾上腺皮质激素(ACTH)ELISA试剂盒 96T/48T 免费代测
大鼠促生长激素释放激素(GRH)ELISA试剂盒 96T/48T 免费代测
大鼠促性腺激素释放激素(GnRH)ELISA试剂盒 96T/48T 免费代测
大鼠促性腺激素释放激素受体(GnRHR)ELISA试剂盒 96T/48T 免费代测
大鼠促性腺激素释放激素受体抗体(GNRHR-Ab)ELISA试剂盒 96T/48T 免费代测
大鼠生长抑素(SS)ELISA试剂盒 96T/48T 免费代测
大鼠视黄醇结合蛋白(RBP)ELISA试剂盒 96T/48T 免费代测
大鼠视黄醇结合蛋白4(RBP-4)ELISA试剂盒 96T/48T 免费代测
大鼠嗜酸粒细胞趋化蛋白Eotaxin 1(Eotaxin 1/CCL11)ELISA试剂盒 96T/48T 免费代测
大鼠嗜酸粒细胞趋化因子(ECF)ELISA试剂盒 96T/48T 免费代测
大鼠嗜酸性粒细胞阳离子蛋白(ECP)ELISA试剂盒 96T/48T 免费代测
风险提示:丁香通仅作为第三方平台,为商家信息发布提供平台空间。用户咨询产品时请注意保护个人信息及财产安全,合理判断,谨慎选购商品,商家和用户对交易行为负责。对于医疗器械类产品,请先查证核实企业经营资质和医疗器械产品注册证情况。
技术资料暂无技术资料 索取技术资料
KB抑制蛋白激酶α/IκBα/IKK-α/IKKα/I-κB-α 抗体
询价









