相关产品推荐更多 >
万千商家帮你免费找货
0 人在求购买到急需产品
- 详细信息
- 技术资料
- 供应商:
上海抚生
- 库存:
大量
- 靶点:
IQCC
- 克隆性:
多克隆
- 抗原来源:
Rabbit
- 抗体英文名:
Anti-IQCC
- 抗体名:
IQCC蛋白抗体
- 标记物:
HRP,AKP
- 宿主:
人,鼠,猴,鸡,狗,猪等
- 适应物种:
Human, Mouse, Rat, Pig, Horse
- 免疫原:
KLH conjugated synthetic peptide derived from human IQCC
- 亚型:
IgG
- 形态:
冻干或液体
- 应用范围:
WB,ELISA,ICC,IP等
- 浓度:
1mg/1ml
- 保存条件:
-20℃
- 规格:
0.2ml/200μg
IQCC蛋白抗体产品描述:
英文名称 Anti-IQCC
中文名称 IQCC蛋白抗体
别 名 IQ domain containing protein C; IQ domain-containing protein C; IQ motif containing C; Iqcc; IQCC_HUMAN.
浓 度 1mg/1ml
规 格 0.2ml/200μg
抗体来源 Rabbit
克隆类型 polyclonal
交叉反应 Human, Mouse, Rat, Pig, Horse
产品类型 一抗
研究领域 细胞生物 免疫学
蛋白分子量 predicted molecular weight:
53kDa
性 状 Lyophilized or Liquid
免 疫 原 KLH conjugated synthetic peptide derived from human IQCC
亚 型 IgG
纯化方法 affinity purified by Protein A
储 存 液 Preservative: 15mM Sodium Azide, Constituents: 1% BSA, 0.01M PBS, pH 7.4
产品应用 WB=1:100-500 ELISA=1:500-1000 IHC-P=1:100-500 IHC-F=1:100-500 IF=1:50-200
IQCC蛋白抗体订购:
荧光偶联质量的检测:
1.用标准免疫荧光染色试验以测定偶联率
2.用F/P值测定对其FITC标记质量进行鉴定
3.取结合物液0.2ml,加PBS2.8ml(或两者均改用半量),测定其A490/A280,查FITC标志曲线得其浓度ug/ml值,按IgG的消光系数(mg/ml约A2801.2),可计算其F/P值,即每mg抗体所标记的FITC的比值,可以此鉴定及比较各批标记物的质量。
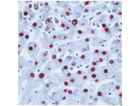
IQCC蛋白抗体实验操作示意图:
公司还提供:
现货供应 荧光素酶 小鼠单克隆抗体(6B8) Luciferase Mouse Monoclonal Antibody(6B8)
现货供应 荧光素酶 小鼠单克隆抗体(2G11) Luciferase Mouse Monoclonal Antibody(2G11)
现货供应 隐花色素1 多克隆抗体 CRY1 Polyclonal Antibody
现货供应 吲哚胺2,3双加氧酶1 多克隆抗体 I23O1 Polyclonal Antibody
现货供应 意识紊乱同源物2 多克隆抗体 MIB2 Polyclonal Antibody
现货供应 抑制素A 多克隆抗体 Inhibin α Polyclonal Antibody
现货供应 抑素2 多克隆抗体 PHB2 Polyclonal Antibody
IQCC蛋白抗体特价促销 人皮肤淋巴细胞相关抗原(CLA)elisa kits试剂盒 96T/48T 免费代测
特价促销 人抗内因子抗体(IFA)elisa kits试剂盒 96T/48T 免费代测
特价促销 人可溶性转铁蛋白受体(sTfR)elisa kits试剂盒 96T/48T 免费代测
特价促销 人可溶性细胞因子受体(sCKR)elisa kits试剂盒 96T/48T 免费代测
特价促销 人可溶性凋亡相关因子配体(sFASL)elisa kits试剂盒 96T/48T 免费代测
特价促销 人细胞凋亡抑制因子(IAP)elisa kits试剂盒 96T/48T 免费代测
英文名称 Anti-IQCC
中文名称 IQCC蛋白抗体
别 名 IQ domain containing protein C; IQ domain-containing protein C; IQ motif containing C; Iqcc; IQCC_HUMAN.
浓 度 1mg/1ml
规 格 0.2ml/200μg
抗体来源 Rabbit
克隆类型 polyclonal
交叉反应 Human, Mouse, Rat, Pig, Horse
产品类型 一抗
研究领域 细胞生物 免疫学
蛋白分子量 predicted molecular weight:
53kDa
性 状 Lyophilized or Liquid
免 疫 原 KLH conjugated synthetic peptide derived from human IQCC
亚 型 IgG
纯化方法 affinity purified by Protein A
储 存 液 Preservative: 15mM Sodium Azide, Constituents: 1% BSA, 0.01M PBS, pH 7.4
产品应用 WB=1:100-500 ELISA=1:500-1000 IHC-P=1:100-500 IHC-F=1:100-500 IF=1:50-200
IQCC蛋白抗体订购:
| ※我司为主营生物试剂产品的公司,欢迎广大客户光临我司商铺,更多相关产品可进入展台浏览,展台展示有限,客户可以直接说明您的订购需求,可以直接联系我们; ※与我司取得联系后,尽管咨询相关问题,达成共识后边签订订购合同,我司销售部开始进行送货事宜; ※客户收到货后,请先检查外部包装情况,然后在无菌环境下,显微镜观察菌种情况,如有疑似问题可联系我司,经我司确认后再进行退换货的相关事宜。 |
荧光偶联质量的检测:
1.用标准免疫荧光染色试验以测定偶联率
2.用F/P值测定对其FITC标记质量进行鉴定
3.取结合物液0.2ml,加PBS2.8ml(或两者均改用半量),测定其A490/A280,查FITC标志曲线得其浓度ug/ml值,按IgG的消光系数(mg/ml约A2801.2),可计算其F/P值,即每mg抗体所标记的FITC的比值,可以此鉴定及比较各批标记物的质量。
IQCC蛋白抗体实验操作示意图:
公司还提供:
现货供应 荧光素酶 小鼠单克隆抗体(6B8) Luciferase Mouse Monoclonal Antibody(6B8)
现货供应 荧光素酶 小鼠单克隆抗体(2G11) Luciferase Mouse Monoclonal Antibody(2G11)
现货供应 隐花色素1 多克隆抗体 CRY1 Polyclonal Antibody
现货供应 吲哚胺2,3双加氧酶1 多克隆抗体 I23O1 Polyclonal Antibody
现货供应 意识紊乱同源物2 多克隆抗体 MIB2 Polyclonal Antibody
现货供应 抑制素A 多克隆抗体 Inhibin α Polyclonal Antibody
现货供应 抑素2 多克隆抗体 PHB2 Polyclonal Antibody
IQCC蛋白抗体特价促销 人皮肤淋巴细胞相关抗原(CLA)elisa kits试剂盒 96T/48T 免费代测
特价促销 人抗内因子抗体(IFA)elisa kits试剂盒 96T/48T 免费代测
特价促销 人可溶性转铁蛋白受体(sTfR)elisa kits试剂盒 96T/48T 免费代测
特价促销 人可溶性细胞因子受体(sCKR)elisa kits试剂盒 96T/48T 免费代测
特价促销 人可溶性凋亡相关因子配体(sFASL)elisa kits试剂盒 96T/48T 免费代测
特价促销 人细胞凋亡抑制因子(IAP)elisa kits试剂盒 96T/48T 免费代测
风险提示:丁香通仅作为第三方平台,为商家信息发布提供平台空间。用户咨询产品时请注意保护个人信息及财产安全,合理判断,谨慎选购商品,商家和用户对交易行为负责。对于医疗器械类产品,请先查证核实企业经营资质和医疗器械产品注册证情况。
技术资料暂无技术资料 索取技术资料
IQCC蛋白抗体
询价









