相关产品推荐更多 >
万千商家帮你免费找货
0 人在求购买到急需产品
- 详细信息
- 技术资料
- 供应商:
上海康朗生物科技有限公司
- 库存:
大量
- 目录编号:
kl-33218M
- 克隆性:
多克隆
- 抗原来源:
Mouse
- 保质期:
12个月
- 抗体英文名:
STAT3 antibody
- 抗体名:
信号转导和转录激活因子3单克隆抗体
- 宿主:
Mouse
- 适应物种:
Human, Mouse, Rat,
- 免疫原:
Recombinant human STAT3 Protein:
- 亚型:
IgG
- 形态:
冻干粉或液体
- 应用范围:
WB=1:500-1000 IHC-P=1:400-800 IHC-F=1:400-800 ICC=1:100-500 IF=1:100-500
- 浓度:
1mg/ml
- 保存条件:
-20 °C
- 规格:
50ul 100ul
STAT3 antibody
| 中文名称 | 信号转导和转录激活因子3单克隆抗体 |
| 别 名 | 1110034C02Rik; Acute Phase Response Factor; APRF; AW109958; DNA binding protein APRF; FLJ20882; HIES; MGC128731; MGC16063; MGC93551; Signal transducer and activator of transcription 3 (acute-phase response factor); Signal transducer and activator of transcription 3; Signal Transductor and Activator of Transcription 3; STAT 3; Transcription factor; STAT3_HUMAN. |
| 规格价格 | 50ul/860元 购买 100ul/1580元 购买 大包装/询价 |
| 说 明 书 | 50ul 100ul |
| 研究领域 | 肿瘤 细胞生物 信号转导 细胞凋亡 转录调节因子 |
| 抗体来源 | Mouse |
| 克隆类型 | Monoclonal |
| 克 隆 号 | 3F5 |
| 交叉反应 | Human, Mouse, Rat, |
| 产品应用 | WB=1:500-1000 IHC-P=1:400-800 IHC-F=1:400-800 ICC=1:100-500 IF=1:100-500 (石蜡切片需做抗原修复) not yet tested in other applications. optimal dilutions/concentrations should be determined by the end user. |
| 分 子 量 | 88kDa |
| 细胞定位 | 细胞核 细胞浆 |
| 性 状 | Lyophilized or Liquid |
| 浓 度 | 1mg/ml |
| 免 疫 原 | Recombinant human STAT3 Protein: |
| 亚 型 | IgG |
| 纯化方法 | affinity purified by Protein G |
| 储 存 液 | 0.01M TBS(pH7.4) with 1% BSA, 0.03% Proclin300 and 50% Glycerol. |
| 保存条件 | Store at -20 °C for one year. Avoid repeated freeze/thaw cycles. The lyophilized antibody is stable at room temperature for at least one month and for greater than a year when kept at -20°C. When reconstituted in sterile pH 7.4 0.01M PBS or diluent of antibody the antibody is stable for at least two weeks at 2-4 °C. |
| PubMed | PubMed |
| 产品介绍 | background: The protein encoded by this gene is a member of the STAT protein family. In response to cytokines and growth factors, STAT family members are phosphorylated by the receptor associated kinases, and then form homo- or heterodimers that translocate to the cell nucleus where they act as transcription activators. This protein is activated through phosphorylation in response to various cytokines and growth factors including IFNs, EGF, IL5, IL6, HGF, LIF and BMP2. This protein mediates the expression of a variety of genes in response to cell stimuli, and thus plays a key role in many cellular processes such as cell growth and apoptosis. The small GTPase Rac1 has been shown to bind and regulate the activity of this protein. PIAS3 protein is a specific inhibitor of this protein. Three alternatively spliced transcript variants encoding distinct isoforms have been described. Gene Symbol: APRF; FLJ20882; HIES; MGC16063. Subunit: Forms a homodimer or a heterodimer with a related family member (at least STAT1). Interacts with IL31RA, NCOA1, PELP1, SIPAR, SOCS7, STATIP1 and TMF1. Interacts with HCV core protein. Interacts with IL23R in presence of IL23. Interacts (via SH2 domain) with NLK. Interacts with ARL2BP; the interaction is enhanced by LIF and JAK1 expression (By similarity). Interacts with KPNA4 and KPNA5; KPNA4 may be the primary mediator of nuclear import (By similarity). Interacts with CAV2; the interaction is increased on insulin-induced tyrosine phosphorylation of CAV2 and leads to STAT3 activation (By similarity). Interacts with ARL2BP; interaction is enhanced with ARL2. Interacts with NEK6 (By similarity). Binds to CDK9 when activated and nuclear. Interacts with BMX. Interacts with ZIPK/DAPK3. Interacts with PIAS3; the interaction occurs on stimulation by IL6, CNTF or OSM and inhibits the DNA binding activity of STAT3. In prostate cancer cells, interacts with STAT3 and promotes DNA binding activity of STAT3. Interacts with STMN3, antagonizing its microtubule-destabilizing activity. Subcellular Location: Cytoplasm. Nucleus. Note=Shuttles between the nucleus and the cytoplasm. Translocated into the nucleus upon tyrosine phosphorylation and dimerization, in response to signaling by activated FGFR1, FGFR2, FGFR3 or FGFR4. Constitutive nuclear presence is independent of tyrosine phosphorylation. Predominantly present in the cytoplasm without stimuli. Upon leukemia inhibitory factor (LIF) stimulation, accumulates in the nucleus. The complex composed of BART and ARL2 plays an important role in the nuclear translocation and retention of STAT3. Identified in a complex with LYN and PAG1. Tissue Specificity: Heart, brain, placenta, lung, liver, skeletal muscle, kidney and pancreas. Similarity: Belongs to the transcription factor STAT family. Contains 1 SH2 domain. SWISS: P40763 Gene ID: 6774 Database links: Entrez Gene: 6774 Human Entrez Gene: 20848 Mouse Entrez Gene: 25125 Rat Omim: 102582 Human SwissProt: P40763 Human SwissProt: P42227 Mouse SwissProt: P52631 Rat Unigene: 463059 Human Important Note: This product as supplied is intended for research use only, not for use in human, therapeutic or diagnostic applications. Stat3在细胞分化、增殖、凋亡等方面有着重要生理作用。有学者认为:STAT-3对肿瘤有一定的抑制作用,由于其与肿瘤的关系较为密切,越来越受到人们的重视。 |
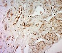
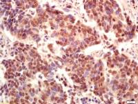
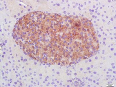
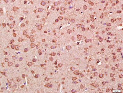
| 产品图片 | ![]() Sample: A549 Cell (Human) Lysate at 40 ug Primary: Anti-STAT3 (bsm-33218M) at 1/1000 dilution Secondary: IRDye800CW Goat Anti-Mouse IgG at 1/20000 dilution Predicted band size: 88 kD Observed band size: 88 kD ![]() Sample: Hela Cell (Human) Lysate at 40 ug Primary: Anti-STAT3 (bsm-33218M) at 1/1000 dilution Secondary: IRDye800CW Goat Anti-Mouse IgG at 1/20000 dilution Predicted band size: 88 kD Observed band size: 88 kD ![]() Paraformaldehyde-fixed, paraffin embedded (Mouse pancreas); Antigen retrieval by boiling in sodium citrate buffer (pH6.0) for 15min; Block endogenous peroxidase by 3% hydrogen peroxide for 20 minutes; Blocking buffer (normal goat serum) at 37°C for 30min; Antibody incubation with (STAT3) Monoclonal Antibody, Unconjugated (bsm-33218M) at 1:400 overnight at 4°C, followed by a conjugated secondary (sp-0023) for 20 minutes and DAB staining. ![]() Paraformaldehyde-fixed, paraffin embedded (Mouse brain); Antigen retrieval by boiling in sodium citrate buffer (pH6.0) for 15min; Block endogenous peroxidase by 3% hydrogen peroxide for 20 minutes; Blocking buffer (normal goat serum) at 37°C for 30min; Antibody incubation with (STAT3) Monoclonal Antibody, Unconjugated (bsm-33218M) at 1:400 overnight at 4°C, followed by a conjugated secondary (sp-0023) for 20 minutes and DAB staining. |
风险提示:丁香通仅作为第三方平台,为商家信息发布提供平台空间。用户咨询产品时请注意保护个人信息及财产安全,合理判断,谨慎选购商品,商家和用户对交易行为负责。对于医疗器械类产品,请先查证核实企业经营资质和医疗器械产品注册证情况。
技术资料暂无技术资料 索取技术资料
STAT3 antibody
¥860 - 1580













