相关产品推荐更多 >
万千商家帮你免费找货
0 人在求购买到急需产品
- 详细信息
- 技术资料
- 供应商:
上海康朗生物科技有限公司
- 库存:
大量
- 目录编号:
kl-8176R
- 克隆性:
多克隆
- 抗原来源:
Rabbit
- 保质期:
12个月
- 抗体英文名:
PHF8 antibody
- 抗体名:
组蛋白赖氨酸去甲基化酶PHF8抗体
- 宿主:
Rabbit
- 适应物种:
Human, Mouse, Rat, Dog, Pig, Cow, Horse, Rabbit, Sheep,
- 免疫原:
KLH conjugated synthetic peptide derived from human PHF8:501-600/106
- 亚型:
IgG
- 形态:
冻干粉或液体
- 应用范围:
ELISA=1:500-1000 IHC-P=1:400-800 IHC-F=1:400-800 Flow-Cyt=1μg/Test IF=1:100-500
- 浓度:
1mg/ml
- 保存条件:
-20 °C
- 规格:
100ul 200ul
PHF8 antibody
| 中文名称 | 组蛋白赖氨酸去甲基化酶PHF8抗体 |
| 别 名 | PHD finger protein 8; PHD finger protein 8; Histone lysine demethylase PHF8; PHD finger protein 8; PHF8; PHF8_HUMAN; ZNF422. |
| 规格价格 | 100ul/1380元 购买 200ul/2200元 购买 大包装/询价 |
| 说 明 书 | 100ul 200ul |
| 研究领域 | 细胞生物 免疫学 表观遗传学 |
| 抗体来源 | Rabbit |
| 克隆类型 | Polyclonal |
| 交叉反应 | Human, Mouse, Rat, Dog, Pig, Cow, Horse, Rabbit, Sheep, |
| 产品应用 | ELISA=1:500-1000 IHC-P=1:400-800 IHC-F=1:400-800 Flow-Cyt=1μg/Test IF=1:100-500 (石蜡切片需做抗原修复) not yet tested in other applications. optimal dilutions/concentrations should be determined by the end user. |
| 分 子 量 | 118kDa |
| 细胞定位 | 细胞核 |
| 性 状 | Lyophilized or Liquid |
| 浓 度 | 1mg/ml |
| 免 疫 原 | KLH conjugated synthetic peptide derived from human PHF8:501-600/106 |
| 亚 型 | IgG |
| 纯化方法 | affinity purified by Protein A |
| 储 存 液 | 0.01M TBS(pH7.4) with 1% BSA, 0.03% Proclin300 and 50% Glycerol. |
| 保存条件 | Store at -20 °C for one year. Avoid repeated freeze/thaw cycles. The lyophilized antibody is stable at room temperature for at least one month and for greater than a year when kept at -20°C. When reconstituted in sterile pH 7.4 0.01M PBS or diluent of antibody the antibody is stable for at least two weeks at 2-4 °C. |
| PubMed | PubMed |
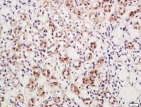
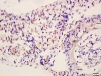
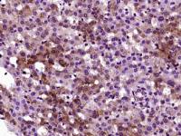
| 产品介绍 | background: The protein encoded by this gene is a histone lysine demethylase that preferentially acts on histones in the monomethyl or dimethyl states. The encoded protein requires Fe(2+) ion, 2-oxoglutarate, and oxygen for its catalytic activity. Defects in this gene are a cause of mental retardation syndromic X-linked Siderius type (MRXSSD). Four transcript variants encoding different isoforms have been found for this gene. Function: Histone lysine demethylase with selectivity for thedi-and monomethyl states that plays a key role cell cycleprogression, rDNA transcription and brain development. Demethylatesmono- and dimethylated histone H3 'Lys-9' residue (H3K9Me1 andH3K9Me2), dimethylated H3 'Lys-27' (H3K27Me2) and monomethylatedhistone H4 'Lys-20' residue (H4K20Me1). Acts as a transcriptionactivator as H3K9Me1, H3K9Me2, H3K27Me2 and H4K20Me1 are epigeneticrepressive marks. Involved in cell cycle progression by beingrequired to control G1-S transition. Acts as a coactivator of rDNAtranscription, by activating polymerase I (pol I) mediatedtranscription of rRNA genes. Required for brain development,probably by regulating expression of neuron-specific genes. Onlyhas activity toward H4K20Me1 when nucleosome is used as a substrateand when not histone octamer is used as substrate. May also haveweak activity toward dimethylated H3 'Lys-36' (H3K36Me2), however,the relevance of this result remains unsure in vivo. Specificallybinds trimethylated 'Lys-4' of histone H3 (H3K4me3), affectinghistone demethylase specificity: has weak activity toward H3K9Me2in absence of H3K4me3, while it has high activity toward H3K9me2when binding H3K4me3. Subunit: Interacts with POLR1B, UBTF, SETD1A, HCFC1, E2F1 andZNF711. Subcellular Location: Nucleus. Nucleus, nucleolus. Note=Recruitedto H3K4me3 sites on chromatin during interphase. Dissociates fromchromatin when cells enter mitosis. Post-translational modifications: Phosphorylation at Ser-69 and Ser-120 are required fordissociation from chromatin and accumulation of H4K20Me1 levelsduring prophase. DISEASE: Defects in PHF8 are the cause of mental retardationsyndromic X-linked Siderius type (MRXSSD) [MIM:300263]. A disordercharacterized by mild to borderline mental retardation with orwithout cleft lip/cleft palate. Similarity: Belongs to the JHDM1 histone demethylase family.JHDM1D subfamily. Contains 1 JmjC domain. Contains 1 PHD-type zinc finger. SWISS: Q9UPP1 Gene ID: 23133 Database links: UniProtKB/Swiss-Prot: Q9UPP1.3 Important Note: This product as supplied is intended for research use only, not for use in human, therapeutic or diagnostic applications. |
| 产品图片 | ![]() Blank control(blue): Hela(fixed with 2% paraformaldehyde (10 min) and then permeabilized with ice-cold 90% methanol for 30 min on ice). Primary Antibody: Rabbit Anti-PHF8/FITC Conjugated antibody (bs-8176R /FITC), Dilution: 1μg in 100 μL 1X PBS containing 0.5% BSA; Isotype Control Antibody: Rabbit IgG/FITC(orange) ,used under the same conditions. |
风险提示:丁香通仅作为第三方平台,为商家信息发布提供平台空间。用户咨询产品时请注意保护个人信息及财产安全,合理判断,谨慎选购商品,商家和用户对交易行为负责。对于医疗器械类产品,请先查证核实企业经营资质和医疗器械产品注册证情况。
技术资料暂无技术资料 索取技术资料
PHF8 antibody
¥1380 - 2200










