相关产品推荐更多 >
万千商家帮你免费找货
0 人在求购买到急需产品
- 详细信息
- 技术资料
- 供应商:
上海康朗生物科技有限公司
- 库存:
大量
- 目录编号:
kl-9818R
- 克隆性:
多克隆
- 抗原来源:
Rabbit
- 保质期:
12个月
- 抗体英文名:
C2orf57 antibody
- 抗体名:
2号染色体开放阅读框57抗体
- 宿主:
Rabbit
- 适应物种:
Human
- 免疫原:
KLH conjugated synthetic peptide derived from human C2orf57:21-120/395
- 亚型:
IgG
- 形态:
冻干粉或液体
- 应用范围:
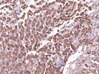
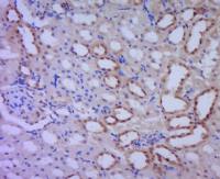
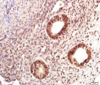
WB=1:500-2000 ELISA=1:500-1000 IHC-P=1:400-800 IHC-F=1:400-800 IF=1:50-200 IEM=1:20-200 IGS=1:20-200 GICA=1:20-200
- 浓度:
1mg/ml
- 保存条件:
-20 °C
- 规格:
100ul 200ul
C2orf57 antibody
| 中文名称 | 2号染色体开放阅读框57抗体 |
| 别 名 | Chromosome 2 open reading frame 57; Hypothetical protein LOC165100; MGC35154; Uncharacterized protein C2orf57; CB057_HUMAN. |
| 规格价格 | 100ul/1380元 购买 200ul/2200元 购买 大包装/询价 |
| 说 明 书 | 100ul 200ul |
| 研究领域 | 细胞生物 免疫学 |
| 抗体来源 | Rabbit |
| 克隆类型 | Polyclonal |
| 交叉反应 | Human, |
| 产品应用 | WB=1:500-2000 ELISA=1:500-1000 IHC-P=1:400-800 IHC-F=1:400-800 IF=1:50-200 IEM=1:20-200 IGS=1:20-200 GICA=1:20-200 (石蜡切片需做抗原修复) not yet tested in other applications. optimal dilutions/concentrations should be determined by the end user. |
| 分 子 量 | 42kDa |
| 细胞定位 | 细胞浆 |
| 性 状 | Lyophilized or Liquid |
| 浓 度 | 1mg/ml |
| 免 疫 原 | KLH conjugated synthetic peptide derived from human C2orf57:21-120/395 |
| 亚 型 | IgG |
| 纯化方法 | affinity purified by Protein A |
| 储 存 液 | 0.01M TBS(pH7.4) with 1% BSA, 0.03% Proclin300 and 50% Glycerol. |
| 保存条件 | Store at -20 癈 for one year. Avoid repeated freeze/thaw cycles. The lyophilized antibody is stable at room temperature for at least one month and for greater than a year when kept at -20癈. When reconstituted in sterile pH 7.4 0.01M PBS or diluent of antibody the antibody is stable for at least two weeks at 2-4 癈. |
| PubMed | PubMed |
| 产品介绍 | background: C2orf57, also known as MGC35154, is a 395 amino acid protein encoded by a gene that maps to human chromosome 2q37.1. As the second largest human chromosome, chromosome 2 makes up approximately 8% of the human genome and contains 237 million bases encoding over 1,400 genes. A number of genetic diseases are linked to genes on chromosome 2. Harlequin icthyosis, a rare skin deformity, is associated with mutations in the ABCA12 gene. The lipid metabolic disorder sitosterolemia is associated with ABCG5 and ABCG8. An extremely rare recessive genetic disorder, Alstr鰉 syndrome, is related to mutations in the ALMS1 gene. Chromosome 2 contains a probable vestigial second centromere as well as vestigial telomeres, which gives credence to the hypothesis that human chromosome 2 formed as a result of an ancient fusion of two ancestral chromosomes, which are still present in modern day apes. SWISS: Q53QW1 Gene ID: 165100 Database links: Entrez Gene: 165100 Human SwissProt: Q53QW1 Human Important Note: This product as supplied is intended for research use only, not for use in human, therapeutic or diagnostic applications. |
风险提示:丁香通仅作为第三方平台,为商家信息发布提供平台空间。用户咨询产品时请注意保护个人信息及财产安全,合理判断,谨慎选购商品,商家和用户对交易行为负责。对于医疗器械类产品,请先查证核实企业经营资质和医疗器械产品注册证情况。
技术资料暂无技术资料 索取技术资料
C2orf57 antibody
¥1380 - 2200








