相关产品推荐更多 >
万千商家帮你免费找货
0 人在求购买到急需产品
- 详细信息
- 技术资料
- 供应商:
上海康朗生物科技有限公司
- 库存:
大量
- 目录编号:
kl-8713R
- 克隆性:
多克隆
- 抗原来源:
Rabbit
- 保质期:
12个月
- 抗体英文名:
ITCH/AIP4 antibody
- 抗体名:
激活素受体相互作用蛋白4抗体
- 宿主:
Rabbit
- 适应物种:
Human, Mouse, Rat, Dog, Pig, Cow, Horse, Rabbit, Sheep,
- 免疫原:
KLH conjugated synthetic peptide derived from human ITCH/AIP4:2-100/903
- 亚型:
IgG
- 形态:
冻干粉或液体
- 应用范围:
WB=1:500-2000 ELISA=1:500-1000 IHC-P=1:400-800 IHC-F=1:400-800 ICC=1:100-500 IF=1:100-500
- 浓度:
1mg/ml
- 保存条件:
-20 °C
- 规格:
100ul 200ul
ITCH/AIP4 antibody
| 中文名称 | 激活素受体相互作用蛋白4抗体 |
| 别 名 | ADMFD; AIF4; AIP4; Atrophin 1 interacting protein 4; Atrophin-1-interacting protein 4; dJ468O1.1; dJ468O1.1 (atrophin 1 interacting protein 4 (AIP4)); dJ468O1.1 atrophin 1 interacting protein 4 AIP4; E3 ubiquitin protein ligase Itchy homolog; E3 ubiquitin-protein ligase Itchy homolog; EC 6.3.2; Itch; ITCH_HUMAN; Itchy E3 ubiquitin protein ligase; Itchy E3 ubiquitin protein ligase homolog; Itchy E3 ubiquitin protein ligase homolog mouse; Itchy E3 ubiquitin protein ligase, mouse, homolog of; Itchy homolog E3 ubiquitin protein ligase; Itchy mouse homolog E3 ubiquitin protein ligase; NAPP1; NFE2 associated polypeptide 1; NFE2-associated polypeptide 1; Ubiquitin protein ligase ITCH. |
| 规格价格 | 100ul/1380元 购买 200ul/2200元 购买 大包装/询价 |
| 说 明 书 | 100ul 200ul |
| 研究领域 | 细胞生物 泛素 |
| 抗体来源 | Rabbit |
| 克隆类型 | Polyclonal |
| 交叉反应 | Human, Mouse, Rat, Dog, Pig, Cow, Horse, Rabbit, Sheep, |
| 产品应用 | WB=1:500-2000 ELISA=1:500-1000 IHC-P=1:400-800 IHC-F=1:400-800 ICC=1:100-500 IF=1:100-500 (石蜡切片需做抗原修复) not yet tested in other applications. optimal dilutions/concentrations should be determined by the end user. |
| 分 子 量 | 103kDa |
| 细胞定位 | 细胞核 细胞浆 细胞膜 |
| 性 状 | Lyophilized or Liquid |
| 浓 度 | 1mg/ml |
| 免 疫 原 | KLH conjugated synthetic peptide derived from human ITCH/AIP4:2-100/903 |
| 亚 型 | IgG |
| 纯化方法 | affinity purified by Protein A |
| 储 存 液 | Preservative: 15mM Sodium Azide, Constituents: 1% BSA, 0.01M PBS, pH 7.4 |
| 保存条件 | Store at -20 °C for one year. Avoid repeated freeze/thaw cycles. The lyophilized antibody is stable at room temperature for at least one month and for greater than a year when kept at -20°C. When reconstituted in sterile pH 7.4 0.01M PBS or diluent of antibody the antibody is stable for at least two weeks at 2-4 °C. |
| PubMed | PubMed |
| 产品介绍 | background: Acts as an E3 ubiquitin-protein ligase which accepts ubiquitin from an E2 ubiquitin-conjugating enzyme in the form of a thioester and then directly transfers the ubiquitin to targeted substrates. It catalyzes 'Lys-29'-, 'Lys-48'- and 'Lys-63'-linked ubiquitin conjugation. It is involved in the control of inflammatory signaling pathways. Is an essential component of a ubiquitin-editing protein complex, comprising also TNFAIP3, TAX1BP1 and RNF11, that ensures the transient nature of inflammatory signaling pathways. Promotes the association of the complex after TNF stimulation. Once the complex is formed, TNFAIP3 deubiquitinates 'Lys-63' polyubiquitin chains on RIPK1 and catalyzes the formation of 'Lys-48'-polyubiquitin chains. This leads to RIPK1 proteosomal degradation and consequently termination of the TNF- or LPS-mediated activation of NFKB1. Ubiquitinates RIPK2 by 'Lys-63'-linked conjugation and influences NOD2-dependent signal transduction pathways. Regulates the transcriptional activity of several transcription factors, and probably plays an important role in the regulation of immune response. Ubiquitinates NFE2 by 'Lys-63' linkages and is implicated in the control of the development of hematopoietic lineages. Critical regulator of T helper (TH2) cytokine development through its ability to induce JUNB ubiquitination and degradation (By similarity). Ubiquitinates SNX9. Ubiquitinates CXCR4 and HGS/HRS and regulates sorting of CXCR4 to the degradative pathway. It is involved in the negative regulation of MAVS-dependent cellular antiviral responses. Ubiquitinates MAVS through 'Lys-48'-linked conjugation resulting in MAVS proteosomal degradation. Involved in the regulation of apoptosis and reactive oxygen species levels through the ubiquitination and proteosomal degradation of TXNIP. Mediates the antiapoptotic activity of epidermal growth factor through the ubiquitination and proteosomal degradation of p15 BID. Targets DTX1 for lysosomal degradation and controls NOTCH1 degradation, in the absence of ligand, through 'Lys-29'-linked polyubiquitination. Function: Acts as an E3 ubiquitin-protein ligase which accepts ubiquitin from an E2 ubiquitin-conjugating enzyme in the form of a thioester and then directly transfers the ubiquitin to targeted substrates. It catalyzes 'Lys-29'-, 'Lys-48'- and 'Lys-63'-linked ubiquitin conjugation. It is involved in the control of inflammatory signaling pathways. Is an essential component of a ubiquitin-editing protein complex, comprising also TNFAIP3, TAX1BP1 and RNF11, that ensures the transient nature of inflammatory signaling pathways. Promotes the association of the complex after TNF stimulation. Once the complex is formed, TNFAIP3 deubiquitinates 'Lys-63' polyubiquitin chains on RIPK1 and catalyzes the formation of 'Lys-48'-polyubiquitin chains. This leads to RIPK1 proteasomal degradation and consequently termination of the TNF- or LPS-mediated activation of NFKB1. Ubiquitinates RIPK2 by 'Lys-63'-linked conjugation and influences NOD2-dependent signal transduction pathways. Regulates the transcriptional activity of several transcription factors, and probably plays an important role in the regulation of immune response. Ubiquitinates NFE2 by 'Lys-63' linkages and is implicated in the control of the development of hematopoietic lineages. Critical regulator of T-helper (TH2) cytokine development through its ability to induce JUNB ubiquitination and degradation (By similarity). Ubiquitinates SNX9. Ubiquitinates CXCR4 and HGS/HRS and regulates sorting of CXCR4 to the degradative pathway. It is involved in the negative regulation of MAVS-dependent cellular antiviral responses. Ubiquitinates MAVS through 'Lys-48'-linked conjugation resulting in MAVS proteasomal degradation. Involved in the regulation of apoptosis and reactive oxygen species levels through the ubiquitination and proteasomal degradation of TXNIP. Mediates the antiapoptotic activity of epidermal growth factor through the ubiquitination and proteasomal degradation of p15 BID. Targets DTX1 for lysosomal degradation and controls NOTCH1 degradation, in the absence of ligand, through 'Lys-29'-linked polyubiquitination. Ubiquitinates BRAT1 and this ubiquitination is enhanced in the presence of NDFIP1. Subcellular Location: Cell membrane. Cytoplasm. Nucleus. Associates with endocytic vesicles. May be recruited to exosomes by NDFIP1. Tissue Specificity: Widely expressed. Post-translational modifications: On T-cell activation, phosphorylation by the JNK cascade on serine and threonine residues surrounding the PRR domain accelerates the ubiquitination and degradation of JUN and JUNB. The increased ITCH catalytic activity due to phosphorylation by JNK1 may occur due to a conformational change disrupting the interaction between the PRR/WW motifs domain and the HECT domain and, thus exposing the HECT domain (By similarity). Phosphorylation by FYN reduces interaction with JUNB and negatively controls JUN ubiquitination and degradation. Ubiquitinated; autopolyubiquitination with 'Lys-63' linkages which does not lead to protein degradation. DISEASE: Defects in ITCH are the cause of syndromic multisystem autoimmune disease (SMAD) [MIM:613385]. SMAD is characterized by organomegaly, failure to thrive, developmental delay, dysmorphic features and autoimmune inflammatory cell infiltration of the lungs, liver and gut. Similarity: Contains 1 C2 domain. Contains 1 HECT (E6AP-type E3 ubiquitin-protein ligase) domain. Contains 4 WW domains. SWISS: Q96J02 Gene ID: 83737 Database links: Entrez Gene: 83737 Human Entrez Gene: 16396 Mouse Entrez Gene: 311567 Rat Omim: 606409 Human SwissProt: Q96J02 Human SwissProt: Q8C863 Mouse Unigene: 632272 Human Unigene: 208286 Mouse Unigene: 20718 Rat Important Note: This product as supplied is intended for research use only, not for use in human, therapeutic or diagnostic applications. |
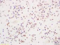
| 产品图片 | ![]() Sample: MCF-7 Cell (Human) Lysate at 40 ug Primary: Anti-ITCH/AIP4 (bs-8713R) at 1/300 dilution Secondary: IRDye800CW Goat Anti-Rabbit IgG at 1/20000 dilution Predicted band size: 103 kD Observed band size: 98 kD ![]() Paraformaldehyde-fixed, paraffin embedded (Rat brain); Antigen retrieval by boiling in sodium citrate buffer (pH6.0) for 15min; Block endogenous peroxidase by 3% hydrogen peroxide for 20 minutes; Blocking buffer (normal goat serum) at 37°C for 30min; Antibody incubation with (ITCH AIP4) Polyclonal Antibody, Unconjugated (bs-8713R) at 1:400 overnight at 4°C, followed by operating according to SP Kit(Rabbit) (sp-0023) instructionsand DAB staining. ![]() Paraformaldehyde-fixed, paraffin embedded (Mouse brain); Antigen retrieval by boiling in sodium citrate buffer (pH6.0) for 15min; Block endogenous peroxidase by 3% hydrogen peroxide for 20 minutes; Blocking buffer (normal goat serum) at 37°C for 30min; Antibody incubation with (ITCH) Polyclonal Antibody, Unconjugated (bs-8713R) at 1:500 overnight at 4°C, followed by a conjugated secondary (sp-0023) for 20 minutes and DAB staining. |
风险提示:丁香通仅作为第三方平台,为商家信息发布提供平台空间。用户咨询产品时请注意保护个人信息及财产安全,合理判断,谨慎选购商品,商家和用户对交易行为负责。对于医疗器械类产品,请先查证核实企业经营资质和医疗器械产品注册证情况。
技术资料暂无技术资料 索取技术资料
ITCH/AIP4 antibody
¥1380 - 2200











