相关产品推荐更多 >
万千商家帮你免费找货
0 人在求购买到急需产品
- 详细信息
- 文献和实验
- 技术资料
- 供应商:
上海联迈生物工程有限公司
- 库存:
大量
- 目录编号:
LM-1529R
- 克隆性:
多克隆
- 抗原来源:
Rabbit
- 保质期:
1年
- 抗体英文名:
CD46
- 抗体名:
膜辅蛋白抗体
- 宿主:
Rabbit
- 适应物种:
Human, Mouse,
- 免疫原:
KLH conjugated synthetic peptide derived from human CD46:251-355/355 <Extracellular>
- 亚型:
IgG
- 形态:
Lyophilized or Liquid
- 应用范围:
WB=1:500-2000 ELISA=1:500-1000 IHC-P=1:400-800 IHC-F=1:400-800 Flow-Cyt=1μg /test ICC=1:100-500 IF=1:100-500 (石蜡切片需做抗原修复)
- 浓度:
1mg/ml
- 保存条件:
Store at -20 °C
- 规格:
100ul 200ul
| 英文名称 | CD46 |
| 中文名称 | 膜辅蛋白抗体 |
| 别 名 | CD46 antigen; CD46 molecule; CD46 molecule complement regulatory protein; Complement membrane cofactor protein; MCP; Measles virus receptor; Membrane cofactor protein; Membrane cofactor protein precursor; MIC 10; MIC10; TLX; TRA2.10; Trophoblast leucocyte common antigen; Trophoblast lymphocyte cross reactive antigen; Antigen identified by monoclonal antibody TRA 2 10; MCP_HUMAN; membrane cofactor protein isoform 1 precursor. |
| 规格价格 | 100ul/1380元 购买 200ul/2200元 购买 大包装/询价 |
| 说 明 书 | 100ul 200ul |
| 研究领域 | 免疫学 糖蛋白 |
| 抗体来源 | Rabbit |
| 克隆类型 | Polyclonal |
| 交叉反应 | Human, Mouse, |
| 产品应用 | WB=1:500-2000 ELISA=1:500-1000 IHC-P=1:400-800 IHC-F=1:400-800 Flow-Cyt=1μg /test ICC=1:100-500 IF=1:100-500 (石蜡切片需做抗原修复) not yet tested in other applications. optimal dilutions/concentrations should be determined by the end user. |
| 分 子 量 | 43kDa |
| 细胞定位 | 细胞膜 |
| 性 状 | Lyophilized or Liquid |
| 浓 度 | 1mg/ml |
| 免 疫 原 | KLH conjugated synthetic peptide derived from human CD46:251-355/355 <Extracellular> |
| 亚 型 | IgG |
| 纯化方法 | affinity purified by Protein A |
| 储 存 液 | 0.01M TBS(pH7.4) with 1% BSA, 0.03% Proclin300 and 50% Glycerol. |
| 保存条件 | Store at -20 °C for one year. Avoid repeated freeze/thaw cycles. The lyophilized antibody is stable at room temperature for at least one month and for greater than a year when kept at -20°C. When reconstituted in sterile pH 7.4 0.01M PBS or diluent of antibody the antibody is stable for at least two weeks at 2-4 °C. |
| PubMed | PubMed |
| 产品介绍 | background: The protein encoded by this gene is a type I membrane protein and is a regulatory part of the complement system. The encoded protein has cofactor activity for inactivation of complement components C3b and C4b by serum factor I, which protects the host cell from damage by complement. In addition, the encoded protein can act as a receptor for the Edmonston strain of measles virus, human herpesvirus-6, and type IV pili of pathogenic Neisseria. Finally, the protein encoded by this gene may be involved in the fusion of the spermatozoa with the oocyte during fertilization. Mutations at this locus have been associated with susceptibility to hemolytic uremic syndrome. Alternatively spliced transcript variants encoding different isoforms have been described. [provided by RefSeq, Jun 2010]. Function: Acts as a cofactor for complement factor I, a serine protease which protects autologous cells against complement-mediated injury by cleaving C3b and C4b deposited on host tissue. May be involved in the fusion of the spermatozoa with the oocyte during fertilization. Also acts as a costimulatory factor for T-cells which induces the differentiation of CD4+ into T-regulatory 1 cells. T-regulatory 1 cells suppress immune responses by secreting interleukin-10, and therefore are thought to prevent autoimmunity. A number of viral and bacterial pathogens seem to exploit this property and directly induce an immunosuppressive phenotype in T-cells by binding to CD46. Subunit: Interacts with C3b and C4b. Binds to Measles virus H protein, to Human herpesvirus 6 GH protein and to human adenovirus B/D PIV/fiber protein, and acts as a receptor for these viruses. Binds to Streptococcus pyogenes M protein and to type IV pili from Neisseria, and may act as a receptor for these pathogenic bacteria. Subcellular Location: Cytoplasmic vesicle, secretory vesicle, acrosome inner membrane; Single-pass type I membrane protein. Note=Inner acrosomal membrane of spermatozoa. Internalized upon binding of Measles virus, Herpesvirus 6 or Neisseria gonorrhoeae, which results in an increased susceptibility of infected cells to complement-mediated injury. In cancer cells or cells infected by Neisseria, shedding leads to a soluble peptide. Tissue Specificity: Expressed by all cells except erythrocytes. Post-translational modifications: N-glycosylated on Asn-83; Asn-114 and Asn-273 in most tissues, but probably less N-glycosylated in testis. N-glycosylation on Asn-114 and Asn-273 is required for cytoprotective function. N-glycosylation on Asn-114 is required for Measles virus binding. N-glycosylation on Asn-273 is required for Neisseria binding. N-glycosylation is not required for human adenovirus binding. Extensively O-glycosylated in the Ser/Thr-rich domain. O-glycosylation is required for Neisseria binding but not for Measles virus or human adenovirus binding. In epithelial cells, isoforms B/D/F/H/J/L/3 are phosphorylated by YES1 in response to infection by Neisseria gonorrhoeae; which promotes infectivity. In T-cells, these isoforms may be phosphorylated by Lck. DISEASE: Defects in CD46 are a cause of susceptibility to hemolytic uremic syndrome atypical type 2 (AHUS2) [MIM:612922]. An atypical form of hemolytic uremic syndrome. It is a complex genetic disease characterized by microangiopathic hemolytic anemia, thrombocytopenia, renal failure and absence of episodes of enterocolitis and diarrhea. In contrast to typical hemolytic uremic syndrome, atypical forms have a poorer prognosis, with higher death rates and frequent progression to end-stage renal disease. Note=Susceptibility to the development of atypical hemolytic uremic syndrome can be conferred by mutations in various components of or regulatory factors in the complement cascade system. Other genes may play a role in modifying the phenotype. Patients with CD46 mutations seem to have an overall better prognosis compared to patients carrying CFH mutations. Similarity: Contains 4 Sushi (CCP/SCR) domains. SWISS: P15529 Gene ID: 4179 Database links: Entrez Gene: 4179 Human Entrez Gene: 17221 Mouse Entrez Gene: 29333 Rat Omim: 120920 Human SwissProt: P15529 Human SwissProt: O88174 Mouse SwissProt: Q9Z0M4 Rat Unigene: 510402 Human Unigene: 12884 Mouse Unigene: 163242 Rat Important Note: This product as supplied is intended for research use only, not for use in human, therapeutic or diagnostic applications. MCP为一单链穿膜糖蛋白,是补体系统的一种新的调节蛋白,是内源性辅助因子活性蛋白,属于RCA基因簇的成员。CD46通过GPI锚固定于细胞上。MCP的细胞分布广范,在粒细胞、血小板、T细胞(Th、Ts、Tc)、B细胞、NK细胞、造血细胞系、成纤维细胞、表皮细胞、内皮细胞及星状胶质细胞等都有分布。 |
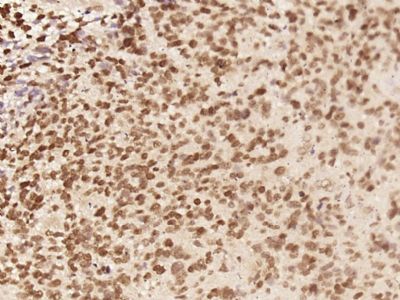
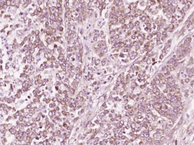
| 产品图片 | ![]() Sample: Testis (Mouse) Lysate at 40 ug Primary: Anti-CD46 (bs-1529R) at 1/1000 dilution Secondary: IRDye800CW Goat Anti-Rabbit IgG at 1/20000 dilution Predicted band size: 43 kD Observed band size: 55 kD ![]() Sample: Epididymis (Mouse) Lysate at 40 ug Primary: Anti-CD46 (bs-1529R) at 1/1000 dilution Secondary: IRDye800CW Goat Anti-Rabbit IgG at 1/20000 dilution Predicted band size: 43 kD Observed band size: 56 kD ![]() Paraformaldehyde-fixed, paraffin embedded (Human colon carcinoma); Antigen retrieval by boiling in sodium citrate buffer (pH6.0) for 15min; Block endogenous peroxidase by 3% hydrogen peroxide for 20 minutes; Blocking buffer (normal goat serum) at 37°C for 30min; Antibody incubation with (CD46) Polyclonal Antibody, Unconjugated (bs-1529R) at 1:400 overnight at 4°C, followed by operating according to SP Kit(Rabbit) (sp-0023) instructionsand DAB staining. ![]() Blank control: U937 (blue). Primary Antibody: Rabbit Anti- CD46 antibody(bs-1529R), Dilution: 1μg in 100 μL 1X PBS containing 0.5% BSA; Isotype Control Antibody: Rabbit IgG(orange) ,used under the same conditions ); Secondary Antibody: Goat anti-rabbit IgG-PE(white blue), Dilution: 1:200 in 1 X PBS containing 0.5% BSA. Protocol The cells were fixed with 2% paraformaldehyde (10 min). Primary antibody (bs-1529R, 1μg /1x10^6 cells) were incubated for 30 min on the ice, followed by 1 X PBS containing 0.5% BSA + 1 0% goat serum (15 min) to block non-specific protein-protein interactions. Then the Goat Anti-rabbit IgG/PE antibody was added into the blocking buffer mentioned above to react with the primary antibody at 1/200 dilution for 30 min on ice. Acquisition of 20,000 events was performed. ![]() Blank control: 293T(blue). Primary Antibody:Rabbit Anti-CD46 antibody(bs-1529R), Dilution: 1μg in 100 1μL 1X PBS containing 0.5% BSA(green); Isotype Control Antibody: Rabbit IgG(orange), used under the same conditions ); Secondary Antibody: Goat anti-rabbit IgG-PE(white blue), Dilution: 1:200 in 1 X PBS containing 0.5% BSA. protocol The cells were washed twice with phosphate-buffered saline (PBS).The cells were then incubated in 1 X PBS containing 0.5% BSA + 10% goat serum (15 min) to block non-specific protein-protein interactions followed by the antibody (bs-1529R, 1μg/1x10^6 cells) for 30 min on ice. The secondary antibody used was Goat Anti-rabbit IgG/PE antibody at 1/200 dilution for 30 min on ice.Acquisition of 20,000 events was performed. |
风险提示:丁香通仅作为第三方平台,为商家信息发布提供平台空间。用户咨询产品时请注意保护个人信息及财产安全,合理判断,谨慎选购商品,商家和用户对交易行为负责。对于医疗器械类产品,请先查证核实企业经营资质和医疗器械产品注册证情况。
文献和实验网络 四、膜辅蛋白(CD46) 膜辅蛋白(membrane cofactor protein,MCP)由Cole等(1985)应用C3b亲和层析在外周血淋巴细胞上发现的一种膜蛋白。由于其奇特的电泳特征,起初被命名为gp45-70,但进一步研究发现,它对I因子介导的对C3b和C4b的裂解有辅助活性,故更命为MCP。鉴于MCP
CD46 分子 CD46 常用单克隆抗体或代号: HULYM5,J48 主要表达细胞: 广泛,Leu,Pt [NL] 分子质量(kDa)和结构: gp56- 66,膜辅助因子蛋白(MCP) 功 能: 调节补体活化,裂解C3b ,C4b膜辅助因子蛋白 CD46 Aka membrane cofactor protein (MCP) Cofactor for Factor
8 色多重荧光免疫组化方法揭示补体在早期类风湿关节炎发展中的作用
类风湿关节炎(RA)是一种以滑膜增生和炎症为特征的自身免疫性疾病。在血清阳性 RA 中发现自身抗体表明,由于关节中局部存在免疫复合物,补体系统激活可能发挥病理生理作用。尽管在开发类风湿关节炎新疗法方面取得了巨大进展,但目前尚无基于补体系统的疗法被批准用于临床治疗。 来自美国科罗拉多大学安舒茨医学院、英国威廉哈维研究所实验医学和风湿病学中心、伦敦玛丽女王大学伦敦医学和牙科学院和卡迪夫大学医学院的研究人员,为了探索特定补体因子在早期类风湿关节炎中的作用机制及其临床应用可能性,对于PEAC(早期
技术资料暂无技术资料 索取技术资料















