相关产品推荐更多 >
万千商家帮你免费找货
0 人在求购买到急需产品
- 详细信息
- 技术资料
- 供应商:
上海康朗生物科技有限公司
- 库存:
大量
- 目录编号:
kl-8226R
- 克隆性:
多克隆
- 抗原来源:
Rabbit
- 保质期:
12个月
- 抗体英文名:
FAM161B antibody
- 抗体名:
FAM161B蛋白抗体
- 宿主:
Rabbit
- 适应物种:
Human, Mouse, Rat, Dog, Pig, Cow, Horse,
- 免疫原:
KLH conjugated synthetic peptide derived from human FAM161B:451-560/647
- 亚型:
IgG
- 形态:
冻干粉或液体
- 应用范围:
ELISA=1:500-1000 IHC-P=1:400-800 IHC-F=1:400-800 IF=1:100-500
- 浓度:
1mg/ml
- 保存条件:
-20 °C
- 规格:
100ul 200ul
FAM161B antibody
| 中文名称 | FAM161B蛋白抗体 |
| 别 名 | C14orf44; Chromosome 14 open reading frame 44; Family with sequence similarity 161, member B; FLJ31697; Hypothetical protein LOC145483; Protein FAM161B; F161B_HUMAN. |
| 规格价格 | 100ul/1380元 购买 200ul/2200元 购买 大包装/询价 |
| 说 明 书 | 100ul 200ul |
| 研究领域 | 细胞生物 免疫学 |
| 抗体来源 | Rabbit |
| 克隆类型 | Polyclonal |
| 交叉反应 | Human, Mouse, Rat, Dog, Pig, Cow, Horse, |
| 产品应用 | ELISA=1:500-1000 IHC-P=1:400-800 IHC-F=1:400-800 IF=1:100-500 (石蜡切片需做抗原修复) not yet tested in other applications. optimal dilutions/concentrations should be determined by the end user. |
| 分 子 量 | 74kDa |
| 细胞定位 | 细胞浆 |
| 性 状 | Lyophilized or Liquid |
| 浓 度 | 1mg/ml |
| 免 疫 原 | KLH conjugated synthetic peptide derived from human FAM161B:451-560/647 |
| 亚 型 | IgG |
| 纯化方法 | affinity purified by Protein A |
| 储 存 液 | 0.01M TBS(pH7.4) with 1% BSA, 0.03% Proclin300 and 50% Glycerol. |
| 保存条件 | Store at -20 °C for one year. Avoid repeated freeze/thaw cycles. The lyophilized antibody is stable at room temperature for at least one month and for greater than a year when kept at -20°C. When reconstituted in sterile pH 7.4 0.01M PBS or diluent of antibody the antibody is stable for at least two weeks at 2-4 °C. |
| PubMed | PubMed |
| 产品介绍 | background: FAM161B is a 647 amino acid protein that belongs to the FAM161 family. The gene that encodes FAM161B consists of approximately 16,413 bases and maps to human chromosome 14q24.3. Housing over 700 genes, chromosome 14 comprises nearly 3.5% of the human genome. Chromosome 14 encodes the Presenilin 1 (PSEN1) gene, which is one of the three key genes associated with the development of Alzheimer’s disease. The SERPINA1 gene is also located on chromosome 14 and, when defective, leads to the genetic disorder α1-antitrypsin deficiency, which is characterized by severe lung complications and liver dysfunction. An inversion of the long arm of chromosome 14 is thought to be involved in T-cell chronic lymphocytic leukemia (CLL), a cancer that affects T lymphocytes. Subunit: Interacts with FAM161A. Tissue Specificity: Ubiquitously expressed. Similarity: Belongs to the FAM161 family. SWISS: Q96MY7 Gene ID: 145483 Database links: UniProtKB/Swiss-Prot: Q96MY7.2 Important Note: This product as supplied is intended for research use only, not for use in human, therapeutic or diagnostic applications. |
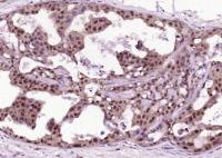
| 产品图片 | ![]() Paraformaldehyde-fixed, paraffin embedded (rat brain); Antigen retrieval by boiling in sodium citrate buffer (pH6.0) for 15min; Block endogenous peroxidase by 3% hydrogen peroxide for 20 minutes; Blocking buffer (normal goat serum) at 37°C for 30min; Antibody incubation with (FAM161B) Polyclonal Antibody, Unconjugated (bs-8226R) at 1:500 overnight at 4°C, followed by a conjugated secondary (sp-0023) for 20 minutes and DAB staining. |
风险提示:丁香通仅作为第三方平台,为商家信息发布提供平台空间。用户咨询产品时请注意保护个人信息及财产安全,合理判断,谨慎选购商品,商家和用户对交易行为负责。对于医疗器械类产品,请先查证核实企业经营资质和医疗器械产品注册证情况。
技术资料暂无技术资料 索取技术资料
FAM161B antibody
¥1380 - 2200









