相关产品推荐更多 >
万千商家帮你免费找货
0 人在求购买到急需产品
- 详细信息
- 文献和实验
- 技术资料
- 供应商:
上海康朗生物科技有限公司
- 库存:
大量
- 目录编号:
kl-5292R
- 克隆性:
多克隆
- 抗原来源:
Rabbit
- 保质期:
12个月
- 抗体英文名:
phospho-DAXX (Ser517) antibody
- 抗体名:
磷酸化Fas相关死亡结构域蛋白抗体
- 宿主:
Rabbit
- 适应物种:
Human, Mouse, Rat, Pig,
- 免疫原:
KLH conjugated Synthesised phosphopeptide derived from human DAXX around the phosphorylation site of Ser517:SR(p-S)SG
- 亚型:
IgG
- 形态:
冻干粉或液体
- 应用范围:
WB=1:500-2000 ELISA=1:500-1000 IHC-P=1:400-800 IHC-F=1:400-800 IF=1:100-500
- 浓度:
1mg/ml
- 保存条件:
-20 °C
- 规格:
100ul
| 中文名称 | 磷酸化Fas相关死亡结构域蛋白抗体 |
| 别 名 | BING 2; BING2; DAP 6; DAP6; Death associated protein 6; Death domain associated protein 6; EAP 1; EAP1; ETS1 associated protein 1; Fas death domain associated protein; hDaxx; MGC126245; MGC126246; DAXX_HUMAN. |
| 规格价格 | 100ul/1580元 购买 大包装/询价 |
| 说 明 书 | 100ul |
| 产品类型 | 磷酸化抗体 |
| 研究领域 | 肿瘤 免疫学 信号转导 细胞凋亡 转录调节因子 |
| 抗体来源 | Rabbit |
| 克隆类型 | Polyclonal |
| 交叉反应 | Human, Mouse, Rat, Pig, |
| 产品应用 | WB=1:500-2000 ELISA=1:500-1000 IHC-P=1:400-800 IHC-F=1:400-800 IF=1:100-500 (石蜡切片需做抗原修复) not yet tested in other applications. optimal dilutions/concentrations should be determined by the end user. |
| 分 子 量 | 81kDa |
| 细胞定位 | 细胞核 细胞浆 |
| 性 状 | Lyophilized or Liquid |
| 浓 度 | 1mg/ml |
| 免 疫 原 | KLH conjugated Synthesised phosphopeptide derived from human DAXX around the phosphorylation site of Ser517:SR(p-S)SG |
| 亚 型 | IgG |
| 纯化方法 | affinity purified by Protein A |
| 储 存 液 | 0.01M TBS(pH7.4) with 1% BSA, 0.03% Proclin300 and 50% Glycerol. |
| 保存条件 | Store at -20 °C for one year. Avoid repeated freeze/thaw cycles. The lyophilized antibody is stable at room temperature for at least one month and for greater than a year when kept at -20°C. When reconstituted in sterile pH 7.4 0.01M PBS or diluent of antibody the antibody is stable for at least two weeks at 2-4 °C. |
| PubMed | PubMed |
| 产品介绍 | background: Apoptosis, or programmed cell death, occurs during normal cellular differentiation and development of multicellular organisms. Apoptosis is induced by certain cytokines including TNF and Fas ligand of the TNF family through their death domain containing receptors, TNFR1 and Fas. Cell death signals are transduced by death domain (DD) containing adapter molecules and members of the ICE/CED3 protease family. A novel DD containing molecule was recently cloned from mouse, human and monkey and designated Daxx. Daxx is a death domain containing important intermediate in the Fas mediated apoptosis. Daxx binds specifically to the Fas death domain and enhances Fas induced apoptosis and activates the Jun N terminal kinase (JNK) pathway. It is widely expressed in fetal and adult human and mouse tissue, indicating its important function in Fas signaling pathways. Function: Transcription corepressor known to repress transcriptional potential of several sumoylated transcription factors. Acts as an adapter protein in a MDM2-DAXX-USP7 complex by regulating the RING-finger E3 ligase MDM2 ubiquitination activity. Under non-stress condition, in association with the deubiquitinating USP7, prevents MDM2 self-ubiquitination and enhances the intrinsic E3 ligase activity of MDM2 towards TP53, thereby promoting TP53 ubiquitination and subsequent proteasomal degradation. Upon DNA damage, its association with MDM2 and USP7 is disrupted, resulting in increased MDM2 autoubiquitination and consequently, MDM2 degradation, which leads to TP53 stabilization. Proposed to mediate activation of the JNK pathway and apoptosis via MAP3K5 in response to signaling from TNFRSF6 and TGFBR2. Interaction with HSPB1/HSP27 may prevent interaction with TNFRSF6 and MAP3K5 and block DAXX-mediated apoptosis. In contrast, in lymphoid cells JNC activation and TNFRSF6-mediated apoptosis may not involve DAXX. Seems to regulate transcription in PML/POD/ND10 nuclear bodies together with PML and may influence TNFRSF6-dependent apoptosis thereby. Down-regulates basal and activated transcription. Seems to act as a transcriptional corepressor and inhibits PAX3 and ETS1 through direct protein-protein interaction. Modulates PAX5 activity. Its transcription repressor activity is modulated by recruiting it to subnuclear compartments like the nucleolus or PML/POD/ND10 nuclear bodies through interactions with MCSR1 and PML, respectively. Subunit: Homomultimer. Binds to the TNFRSF6 death domain via its C-terminus and to PAX5. Binds to SLC2A4/GLUT4, MAP3K5, TGFBR2, phosphorylated dimeric HSPB1/HSP27, CENPC1, ETS1, sumoylated PML, UBE2I and MCRS1. Is part of a complex containing PAX5 and CREBBP. Interacts with HIPK2 and HIPK3 via its N-terminus. Interacts with HIPK1, which induces translocation from PML/POD/ND10 nuclear bodies to chromatin and enhances association with HDAC1 (By similarity). The non-phosphorylated form binds to PAX3, PAX7, DEK, HDAC1, HDAC2, HDAC3, acetylated histone H4 and histones H2A, H2B, H3 and H4. Interacts with SPOP. Part of a complex consisting of DAXX, CUL3 and SPOP. Interacts with CBP; the interaction is dependent the sumoylation of CBP and suppresses CBP transcriptional activity via recruitment of HDAC2 directly in the complex with TP53 and HIPK2. Interacts with AXIN1; the interaction stimulates the interaction of DAXX with TP53, stimulates 'Ser-46' phosphorylation of TP53 on and induces cell death on UV irradiation. Interacts with HCMV tegument phosphoprotein pp71. Part of a complex with MDM2, DAXX, RASSF1 and USP7. Part of a complex with DAXX, MDM2 and USP7. Interacts (via N-terminus) with RASSF1 (via C-terminus); the interaction is independent of MDM2 and TP53. Interacts with MDM2; the interaction is direct. Interacts with USP7; the interaction is direct and independent of MDM2 and TP53. Interacts with TP53. Interacts with human cytomegalovirus/HHV-5 protein UL123. Subcellular Location: Cytoplasm. Nucleus, nucleoplasm. Nucleus, PML body. Nucleus, nucleolus. Chromosome, centromere. Note=Dispersed throughout the nucleoplasm, in PML/POD/ND10 nuclear bodies, and in nucleoli. Colocalizes with a subset of interphase centromeres, but is absent from mitotic centromeres. Detected in cytoplasmic punctate structures. Translocates from the nucleus to the cytoplasm upon glucose deprivation or oxidative stress. Colocalizes with RASSF1 in the nucleus. Colocalizes with USP7 in nucleoplasma with accumulation in speckled structures. Tissue Specificity: Ubiquitous. Post-translational modifications: Sumoylated with SUMO1 on multiple lysine residues. Phosphorylated upon DNA damage, probably by ATM or ATR. Phosphorylated by HIPK1 upon glucose deprivation. Polyubiquitinated; which is promoted by CUL3 and SPOP and results in proteasomal degradation. Ubiquitinated by MDM2; inducing its degradation. Deubiquitinated by USP7; leading to stabilize it. Similarity: Belongs to the DAXX family. SWISS: Q9UER7 Gene ID: 1616 Database links: Entrez Gene: 1616 Human Entrez Gene: 13163 Mouse Entrez Gene: 140926 Rat Omim: 603186 Human SwissProt: Q9UER7 Human SwissProt: O35613 Mouse SwissProt: Q8VIB2 Rat Unigene: 336916 Human Unigene: 271809 Mouse Unigene: 870 Rat Important Note: This product as supplied is intended for research use only, not for use in human, therapeutic or diagnostic applications. |
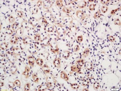
| 产品图片 | ![]() Tissue/cell: mouse kidney tissue; 4% Paraformaldehyde-fixed and paraffin-embedded; Antigen retrieval: citrate buffer ( 0.01M, pH 6.0 ), Boiling bathing for 15min; Block endogenous peroxidase by 3% Hydrogen peroxide for 30min; Blocking buffer (normal goat serum,C-0005) at 37℃ for 20 min; Incubation: Anti-phospho-DAXX (Ser517) Polyclonal Antibody, Unconjugated(bs-5292R) 1:200, overnight at 4°C, followed by conjugation to the secondary antibody(SP-0023) and DAB(C-0010) staining |
风险提示:丁香通仅作为第三方平台,为商家信息发布提供平台空间。用户咨询产品时请注意保护个人信息及财产安全,合理判断,谨慎选购商品,商家和用户对交易行为负责。对于医疗器械类产品,请先查证核实企业经营资质和医疗器械产品注册证情况。
文献和实验Using Phospho‐Motif Antibodies to Determine Kinase Substrates
comprising both the phosphorylated residue and the surrounding residues that determine kinase specificity, with degenerate residues taking up the remaining positions. Currently, several categories of phospho?motif antibody are commercially available
Optimized Protocol to Make Phospho-Specific Antibodies that Work
, not simply its level of expression. In this review, we will discuss both the design of the phosphopeptide immunogen and immunization. The affinity purification of the phospho-specific antibody as well as the methods most suitable for characterizing
Absorption Control in Immunohistochemistry Using Phospho-Peptides Immobilized on Magnetic Beads
neutralization of phospho-specific antibodies with phospho-peptides immobilized on magnetic beads. This technique allows for sequestration of antibody–peptide complex from the incubation solution, minimizing the risk of formation of unblocked antibodies capable
技术资料暂无技术资料 索取技术资料










