相关产品推荐更多 >
万千商家帮你免费找货
0 人在求购买到急需产品
- 详细信息
- 技术资料
- 供应商:
上海康朗生物科技有限公司
- 库存:
大量
- 目录编号:
kl-7879R
- 克隆性:
多克隆
- 抗原来源:
Rabbit
- 保质期:
12个月
- 抗体英文名:
SUPT16H antibody
- 抗体名:
染色体特异性转录延伸因子抗体
- 宿主:
Rabbit
- 适应物种:
Human, Mouse, Rat, Dog, Pig, Cow, Horse, Rabbit, Zebrafish,
- 免疫原:
KLH conjugated synthetic peptide derived from human SUPT16H/CDC68:601-700/1047
- 亚型:
IgG
- 形态:
冻干粉或液体
- 应用范围:
WB=1:500-2000 ELISA=1:500-1000 IHC-P=1:400-800 IHC-F=1:400-800 IF=1:100-500
- 浓度:
1mg/ml
- 保存条件:
-20 °C
- 规格:
100ul 200ul
SUPT16H antibody
| 中文名称 | 染色体特异性转录延伸因子抗体 |
| 别 名 | CDC68; Chromatin specific transcription elongation factor 140 kDa subunit; Chromatin-specific transcription elongation factor 140 kDa subunit; Facilitates chromatin transcription complex subunit SPT16; FACT 140 kDa subunit; FACT; FACT complex subunit SPT16; FACTP140; FLJ10857; FLJ14010; hSPT16; SP16H_HUMAN; Suppressor of Ty 16 homolog; Supt16h. |
| 规格价格 | 100ul/1380元 购买 200ul/2200元 购买 大包装/询价 |
| 说 明 书 | 100ul 200ul |
| 研究领域 | 细胞生物 信号转导 细胞周期蛋白 转录调节因子 细胞分化 表观遗传学 |
| 抗体来源 | Rabbit |
| 克隆类型 | Polyclonal |
| 交叉反应 | Human, Mouse, Rat, Dog, Pig, Cow, Horse, Rabbit, Zebrafish, |
| 产品应用 | WB=1:500-2000 ELISA=1:500-1000 IHC-P=1:400-800 IHC-F=1:400-800 IF=1:100-500 (石蜡切片需做抗原修复) not yet tested in other applications. optimal dilutions/concentrations should be determined by the end user. |
| 分 子 量 | 120kDa |
| 细胞定位 | 细胞核 |
| 性 状 | Lyophilized or Liquid |
| 浓 度 | 1mg/ml |
| 免 疫 原 | KLH conjugated synthetic peptide derived from human SUPT16H/CDC68:601-700/1047 |
| 亚 型 | IgG |
| 纯化方法 | affinity purified by Protein A |
| 储 存 液 | 0.01M TBS(pH7.4) with 1% BSA, 0.03% Proclin300 and 50% Glycerol. |
| 保存条件 | Store at -20 °C for one year. Avoid repeated freeze/thaw cycles. The lyophilized antibody is stable at room temperature for at least one month and for greater than a year when kept at -20°C. When reconstituted in sterile pH 7.4 0.01M PBS or diluent of antibody the antibody is stable for at least two weeks at 2-4 °C. |
| PubMed | PubMed |
| 产品介绍 | background: Component of the FACT complex, a general chromatin factor that acts to reorganize nucleosomes. The FACT complex is involved in multiple processes that require DNA as a template such as mRNA elongation, DNA replication and DNA repair. During transcription elongation the FACT complex acts as a histone chaperone that both destabilizes and restores nucleosomal structure. It facilitates the passage of RNA polymerase II and transcription by promoting the dissociation of one histone H2A-H2B dimer from the nucleosome, then subsequently promotes the reestablishment of the nucleosome following the passage of RNA polymerase II. The FACT complex is probably also involved in phosphorylation of 'Ser-392' of p53/TP53 via its association with CK2 (casein kinase II). Also involved in vitamin D-coupled transcription regulation via its association with the WINAC complex, a chromatin-remodeling complex recruited by vitamin D receptor (VDR), which is required for the ligand-bound VDR-mediated transrepression of the CYP27B1 gene. Function: Component of the FACT complex, a general chromatinfactor that acts to reorganize nucleosomes. The FACT complex isinvolved in multiple processes that require DNA as a template suchas mRNA elongation, DNA replication and DNA repair. Duringtranscription elongation the FACT complex acts as a histonechaperone that both destabilizes and restores nucleosomalstructure. It facilitates the passage of RNA polymerase II andtranscription by promoting the dissociation of one histone H2A-H2Bdimer from the nucleosome, then subsequently promotes thereestablishment of the nucleosome following the passage of RNApolymerase II. The FACT complex is probably also involved inphosphorylation of 'Ser-392' of p53/TP53 via its association withCK2 (casein kinase II). Also involved in vitamin D-coupledtranscription regulation via its association with the WINACcomplex, a chromatin-remodeling complex recruited by vitamin Dreceptor (VDR), which is required for the ligand-bound VDR-mediatedtransrepression of the CYP27B1 gene (By similarity). Subunit: Component of the FACT complex, a stable heterodimer ofSSRP1 and SUPT16H. Also component of a CK2-SPT16-SSRP1 complexwhich forms following UV irradiation, composed of SSRP1, SUPT16H,CSNK2A1, CSNK2A2 and CSNK2B. Component of the WINAC complex, atleast composed of SMARCA2, SMARCA4, SMARCB1, SMARCC1, SMARCC2,SMARCD1, SMARCE1, ACTL6A, BAZ1B/WSTF, ARID1A, SUPT16H, CHAF1A andTOP2B. Interacts with NEK9. Binds to histone H2A-H2B. Interactswith GTF2E2. Subcellular Location: Nucleus. Chromosome. Note=Colocalizes withRNA polymerase II on chromatin. Recruited to actively transcribedloci. Tissue Specificity: Ubiquitous. Post-translational modifications: ADP-ribosylated. ADP-ribosylation by PARP1 is induced bygenotoxic stress and correlates with dissociation of FACT fromchromatin. Similarity: Belongs to the peptidase M24 family. SPT16 subfamily. SWISS: Q9Y5B9 Gene ID: 11198 Database links: Entrez Gene: 514989 Cow Entrez Gene: 612874 Dog Entrez Gene: 11198 Human Entrez Gene: 114741 Mouse Entrez Gene: 305851 Rat Omim: 605012 Human SwissProt: E1BNP8 Cow SwissProt: Q9Y5B9 Human SwissProt: Q920B9 Mouse Unigene: 213724 Human Unigene: 21662 Mouse Unigene: 93187 Rat Important Note: This product as supplied is intended for research use only, not for use in human, therapeutic or diagnostic applications. |
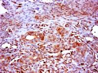
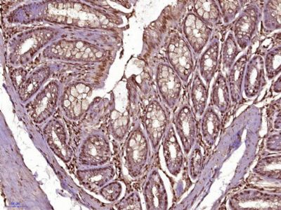
| 产品图片 | ![]() Sample: Placenta (Mouse) Lysate at 40 ug Primary: Anti-SUPT16H (bs-7879R) at 1/300 dilution Secondary: IRDye800CW Goat Anti-Rabbit IgG at 1/20000 dilution Predicted band size: 120 kD Observed band size: 120 kD ![]() Paraformaldehyde-fixed, paraffin embedded (Mouse colon); Antigen retrieval by boiling in sodium citrate buffer (pH6.0) for 15min; Block endogenous peroxidase by 3% hydrogen peroxide for 20 minutes; Blocking buffer (normal goat serum) at 37°C for 30min; Antibody incubation with (SUPT16H) Polyclonal Antibody, Unconjugated (bs-7879R) at 1:400 overnight at 4°C, followed by operating according to SP Kit(Rabbit) (sp-0023) instructionsand DAB staining. |
风险提示:丁香通仅作为第三方平台,为商家信息发布提供平台空间。用户咨询产品时请注意保护个人信息及财产安全,合理判断,谨慎选购商品,商家和用户对交易行为负责。对于医疗器械类产品,请先查证核实企业经营资质和医疗器械产品注册证情况。
技术资料暂无技术资料 索取技术资料
SUPT16H antibody
¥1380 - 2200











