相关产品推荐更多 >
万千商家帮你免费找货
0 人在求购买到急需产品
- 详细信息
- 文献和实验
- 技术资料
- 供应商:
上海康朗生物科技有限公司
- 库存:
大量
- 目录编号:
kl-8592R
- 克隆性:
多克隆
- 抗原来源:
Rabbit
- 保质期:
12个月
- 抗体英文名:
Etv5 antibody
- 抗体名:
转录因子Ets差异基因5抗体
- 宿主:
Rabbit
- 适应物种:
Human, Mouse, Rat, Dog, Pig, Cow, Horse, Sheep,
- 免疫原:
KLH conjugated synthetic peptide derived from human ERM/Etv5 (301-385aa):301-385/510
- 亚型:
IgG
- 形态:
冻干粉或液体
- 应用范围:
WB=1:500-2000 ELISA=1:500-1000 IHC-P=1:400-800 IHC-F=1:400-800 ICC=1:100-500 IF=1:100-500
- 浓度:
1mg/ml
- 保存条件:
-20 °C
- 规格:
100ul 200ul
| 中文名称 | 转录因子Ets差异基因5抗体 |
| 别 名 | ERM; Ets related protein ERM; ETS translocation variant 5; Ets variant gene 5; Ets-related protein ERM; Etv5; ETV5_HUMAN. |
![]() |
Specific References (3) | bs-8592R has been referenced in 3 publications. [IF=3.26] Mu, Hailong, et al. "PLZF‐Induced Upregulation of CXCR4 Promotes Dairy Goat Male Germline Stem Cell Proliferation by Targeting Mir146a." Journal of Cellular Biochemistry (2015). Goat. PubMed:26365432 [IF=3.12] Zheng, Liming, et al. "CD49f promotes proliferation of male dairy goat germline stem cells." Cell Proliferation (2016). Goat. PubMed:26841372 [IF=1.06] Yuan, Quan, et al. "Human microvascular endothelial cell promotes the development of dorsal root ganglion neurons via BDNF pathway in a co-culture system." Bioscience, Biotechnology, and Biochemistry (2017): 1-8. WB ; Human. PubMed:28394221 |
| 规格价格 | 100ul/1380元 购买 200ul/2200元 购买 大包装/询价 |
| 说 明 书 | 100ul 200ul |
| 研究领域 | 肿瘤 干细胞 转录调节因子 表观遗传学 |
| 抗体来源 | Rabbit |
| 克隆类型 | Polyclonal |
| 交叉反应 | Human, Mouse, Rat, Dog, Pig, Cow, Horse, Sheep, |
| 产品应用 | WB=1:500-2000 ELISA=1:500-1000 IHC-P=1:400-800 IHC-F=1:400-800 ICC=1:100-500 IF=1:100-500 (石蜡切片需做抗原修复) not yet tested in other applications. optimal dilutions/concentrations should be determined by the end user. |
| 分 子 量 | 58kDa |
| 性 状 | Lyophilized or Liquid |
| 浓 度 | 1mg/ml |
| 免 疫 原 | KLH conjugated synthetic peptide derived from human ERM/Etv5 (301-385aa):301-385/510 |
| 亚 型 | IgG |
| 纯化方法 | affinity purified by Protein A |
| 储 存 液 | 0.01M TBS(pH7.4) with 1% BSA, 0.03% Proclin300 and 50% Glycerol. |
| 保存条件 | Store at -20 °C for one year. Avoid repeated freeze/thaw cycles. The lyophilized antibody is stable at room temperature for at least one month and for greater than a year when kept at -20°C. When reconstituted in sterile pH 7.4 0.01M PBS or diluent of antibody the antibody is stable for at least two weeks at 2-4 °C. |
| PubMed | PubMed |
| 产品介绍 | background: Rad and Gem related GTP binding protein (REM) is a member of the RGK subfamily of Ras-like GTPases that also includes Rad, REM2 and Gem/Kir. REM is a phosphorylated protein that is highly expressed in cardiac muscle and moderately expressed in lung, kidney and skeletal muscle. REM associates with several 14-3-3 isoforms as well as with calmodulin in a calcium-dependent manner. REM mediates two distinct signal transduction pathways that regulate both cytoskeletal reorganization and voltage-gated calcium channel activity. REM decreases the current that passes through cardiac voltage-gated L-type Ca channels (Ca(V)). Overexpression of REM may result in the development of cytoplasmic processes, reorganization of the Actin cytoskeleton, reduction in focal adhesion size and an elongated or dendritic-like cell morphology. Function: Binds to DNA sequences containing the consensus nucleotide core sequence GGAA. Subcellular Location: Ubiquitous. Tissue Specificity: Nucleus. Similarity: Belongs to the ETS family. Contains 1 ETS DNA-binding domain. SWISS: P41161 Gene ID: 2119 Database links: Entrez Gene: 2119 Human Entrez Gene: 104156 Mouse Entrez Gene: 303828 Rat Omim: 601600 Human SwissProt: P41161 Human SwissProt: Q9CXC9 Mouse Unigene: 43697 Human Unigene: 155708 Mouse Unigene: 18397 Rat Important Note: This product as supplied is intended for research use only, not for use in human, therapeutic or diagnostic applications. |
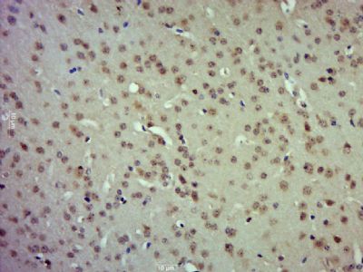
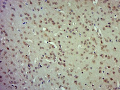
| 产品图片 | ![]() Paraformaldehyde-fixed, paraffin embedded (Mouse brain); Antigen retrieval by boiling in sodium citrate buffer (pH6.0) for 15min; Block endogenous peroxidase by 3% hydrogen peroxide for 20 minutes; Blocking buffer (normal goat serum) at 37°C for 30min; Antibody incubation with (Etv5) Polyclonal Antibody, Unconjugated (bs-8592R) at 1:500 overnight at 4°C, followed by a conjugated secondary (sp-0023) for 20 minutes and DAB staining. |
风险提示:丁香通仅作为第三方平台,为商家信息发布提供平台空间。用户咨询产品时请注意保护个人信息及财产安全,合理判断,谨慎选购商品,商家和用户对交易行为负责。对于医疗器械类产品,请先查证核实企业经营资质和医疗器械产品注册证情况。
文献和实验Generation of Antibody Molecules Through Antibody Engineering
been overcome to a large extent using genetic-engineering techniques to produce chimeric mouse/human and completely human antibodies. Such an approach is particularly suitable because of the domain structure of the antibody molecule ( 2 ), where functional
The importance of antibody molecules was first recognized in the 1890s, when it was shown that immunity to tetanus and diphtheria was caused by antibodies against the bacterial exotoxins (1 ). Around the same time, it was shown that antisera
General comments: Antibodies, like most proteins, do not like to be freeze-thawed. Avoid repetitive freezing of your solution. The best way to store your antibody is to keep a high protein concentration (>1 mg/ml), add some protease
技术资料暂无技术资料 索取技术资料












