相关产品推荐更多 >
万千商家帮你免费找货
0 人在求购买到急需产品
- 详细信息
- 技术资料
- 供应商:
上海康朗生物科技有限公司
- 库存:
大量
- 目录编号:
kl-7707R
- 克隆性:
多克隆
- 抗原来源:
Rabbit
- 保质期:
12个月
- 抗体英文名:
ZBTB2 antibody
- 抗体名:
锌指蛋白437抗体
- 宿主:
Rabbit
- 适应物种:
Human, Mouse, Rat, Chicken, Dog, Pig, Cow, Horse, Rabbit,
- 免疫原:
KLH conjugated synthetic peptide derived from human ZBTB2 (434-483aa):421-514/514
- 亚型:
IgG
- 形态:
冻干粉或液体
- 应用范围:
ELISA=1:500-1000 IHC-P=1:400-800 IHC-F=1:400-800 IF=1:100-500
- 浓度:
1mg/ml
- 保存条件:
-20 °C
- 规格:
100ul 200ul
ZBTB2 antibody
| 中文名称 | 锌指蛋白437抗体 |
| 别 名 | ZNF437; ZBTB2; ZBTB2_HUMAN; Zinc finger and BTB domain containing 2; Zinc finger and BTB domain-containing protein 2; ZNF437; Zinc finger 437; bA351K16.2; Gm1103; KIAA1483. |
![]() |
Specific References (1) | bs-7707R has been referenced in 1 publications. [IF=3.73] Wang, Ying, et al. "MicroRNA-149 Inhibits Proliferation and Cell Cycle Progression through the Targeting of ZBTB2 in Human Gastric Cancer." PloS one 7.10 (2012): e41693. IHC-P ; Human. PubMed:23144691 |
| 规格价格 | 100ul/1380元 购买 200ul/2200元 购买 大包装/询价 |
| 说 明 书 | 100ul 200ul |
| 研究领域 | 细胞生物 细胞周期蛋白 转录调节因子 锌指蛋白 表观遗传学 |
| 抗体来源 | Rabbit |
| 克隆类型 | Polyclonal |
| 交叉反应 | Human, Mouse, Rat, Chicken, Dog, Pig, Cow, Horse, Rabbit, |
| 产品应用 | ELISA=1:500-1000 IHC-P=1:400-800 IHC-F=1:400-800 IF=1:100-500 (石蜡切片需做抗原修复) not yet tested in other applications. optimal dilutions/concentrations should be determined by the end user. |
| 分 子 量 | 57kDa |
| 细胞定位 | 细胞核 |
| 性 状 | Lyophilized or Liquid |
| 浓 度 | 1mg/ml |
| 免 疫 原 | KLH conjugated synthetic peptide derived from human ZBTB2 (434-483aa):421-514/514 |
| 亚 型 | IgG |
| 纯化方法 | affinity purified by Protein A |
| 储 存 液 | 0.01M TBS(pH7.4) with 1% BSA, 0.03% Proclin300 and 50% Glycerol. |
| 保存条件 | Store at -20 °C for one year. Avoid repeated freeze/thaw cycles. The lyophilized antibody is stable at room temperature for at least one month and for greater than a year when kept at -20°C. When reconstituted in sterile pH 7.4 0.01M PBS or diluent of antibody the antibody is stable for at least two weeks at 2-4 °C. |
| PubMed | PubMed |
| 产品介绍 | background: The BTB (Broad-Complex, Tramtrack and Bric a brac) domain, also known as the POZ (Poxvirus and Zinc finger) domain, is an N-terminal homodimerization domain that contains multiple copies of kelch repeats and/or C2H2-type zinc fingers. Proteins that contain BTB domains are thought to be involved in transcriptional regulation via control of chromatin structure and function. ZBTB1 (zinc finger and BTB domain containing 1), also known as KIAA0997, is a 713 amino acid nuclear protein that contains one BTB (POZ) domain and 8 C2H2-type zinc fingers. ZBTB2 is a 514 amino acid nuclear protein that contains one BTB (POZ) domain and 4 C2H2-type zinc fingers. ZBTB25, also known as ZNF46 or KUP, is a 435 amino acid nuclear protein that is expressed mainly in hematopoietic cells and testis and contains one BTB (POZ) domain and 2 C2H2-type zinc fingers. Function: May be involved in transcriptional regulation. Subcellular Location: Nucleus. Post-translational modifications: Phosphorylated upon DNA damage, probably by ATM or ATR. Similarity: Contains 1 BTB (POZ) domain. Contains 4 C2H2-type zinc fingers. SWISS: Q8N680 Gene ID: 57621 Database links: UniProtKB/Swiss-Prot: Q8N680.1 Entrez Gene: 484036 Dog Entrez Gene: 100060294 Horse Entrez Gene: 57621 Human Entrez Gene: 381990 Mouse Entrez Gene: 308126 Rat SwissPot: Q8N680 Human Unigene: 520073 Human
Important Note: This product as supplied is intended for research use only, not for use in human, therapeutic or diagnostic applications. |
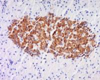
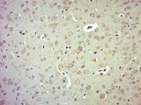
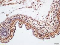
| 产品图片 | ![]() Paraformaldehyde-fixed, paraffin embedded (Mouse brain); Antigen retrieval by boiling in sodium citrate buffer (pH6.0) for 15min; Block endogenous peroxidase by 3% hydrogen peroxide for 20 minutes; Blocking buffer (normal goat serum) at 37°C for 30min; Antibody incubation with (ZBTB2) Polyclonal Antibody, Unconjugated (bs-7707R) at 1:500 overnight at 4°C, followed by a conjugated secondary (sp-0023) for 20 minutes and DAB staining. ![]() The blue histogram is unstained cells(Hepg2). The Wathet Blue histogram is cells stained with secondary antibody alone. The Orange histogram is cells stained with rabbit IgG isotype control antibody plus secondary antibody. The green histogram is cells stained with Rabbit Anti-ZBTB2 antibody (bs-7707R) plus secondary antibody,oncentration 1:50 |
风险提示:丁香通仅作为第三方平台,为商家信息发布提供平台空间。用户咨询产品时请注意保护个人信息及财产安全,合理判断,谨慎选购商品,商家和用户对交易行为负责。对于医疗器械类产品,请先查证核实企业经营资质和医疗器械产品注册证情况。
技术资料暂无技术资料 索取技术资料
ZBTB2 antibody
¥1380 - 2200












