相关产品推荐更多 >
万千商家帮你免费找货
0 人在求购买到急需产品
- 详细信息
- 文献和实验
- 技术资料
- 供应商:
上海联迈生物工程有限公司
- 库存:
大量
- 目录编号:
LM-14364R
- 克隆性:
多克隆
- 抗原来源:
Rabbit
- 保质期:
1年
- 抗体英文名:
GRP
- 抗体名:
促胃泌素释放肽抗体
- 宿主:
Rabbit
- 适应物种:
Mouse, Rat,
- 免疫原:
KLH conjugated synthetic peptide derived from mouse Gastrin Releasing Peptide:24-52/146
- 亚型:
IgG
- 形态:
Lyophilized or Liquid
- 应用范围:
ELISA=1:500-1000 IHC-P=1:400-800 IHC-F=1:400-800 ICC=1:100-500 IF=1:100-500 (石蜡切片需做抗原修复)
- 浓度:
1mg/ml
- 保存条件:
Store at -20 °C
- 规格:
100ul 200ul
| 英文名称 | GRP |
| 中文名称 | 促胃泌素释放肽抗体 |
| 别 名 | Gastrin releasing peptide; BN; Bombesin; GRP 10; GRP10; Neuromedin C; NeuromedinC; Pre progastrin releasing peptide; preproGRP; proGRP; GRP_HUMAN. Gastrin releasing peptide precursor. |
| 规格价格 | 100ul/1380元 购买 200ul/2200元 购买 大包装/询价 |
| 说 明 书 | 100ul 200ul |
| 研究领域 | 肿瘤 神经生物学 信号转导 生长因子和激素 新陈代谢 |
| 抗体来源 | Rabbit |
| 克隆类型 | Polyclonal |
| 交叉反应 | Mouse, Rat, |
| 产品应用 | ELISA=1:500-1000 IHC-P=1:400-800 IHC-F=1:400-800 ICC=1:100-500 IF=1:100-500 (石蜡切片需做抗原修复) not yet tested in other applications. optimal dilutions/concentrations should be determined by the end user. |
| 分 子 量 | 3kDa |
| 细胞定位 | 分泌型蛋白 |
| 性 状 | Lyophilized or Liquid |
| 浓 度 | 1mg/ml |
| 免 疫 原 | KLH conjugated synthetic peptide derived from mouse Gastrin Releasing Peptide:24-52/146 |
| 亚 型 | IgG |
| 纯化方法 | affinity purified by Protein A |
| 储 存 液 | 0.01M TBS(pH7.4) with 1% BSA, 0.03% Proclin300 and 50% Glycerol. |
| 保存条件 | Store at -20 °C for one year. Avoid repeated freeze/thaw cycles. The lyophilized antibody is stable at room temperature for at least one month and for greater than a year when kept at -20°C. When reconstituted in sterile pH 7.4 0.01M PBS or diluent of antibody the antibody is stable for at least two weeks at 2-4 °C. |
| PubMed | PubMed |
| 产品介绍 | background: This gene encodes a member of the bombesin-like family of gastrin-releasing peptides. Its preproprotein, following cleavage of a signal peptide, is further processed to produce either the 27 aa gastrin-releasing peptide or the 10 aa neuromedin C. These smaller peptides regulate numerous functions of the gastrointestinal and central nervous systems, including release of gastrointestinal hormones, smooth muscle cell contraction, and epithelial cell proliferation. These peptides are also likely to play a role in human cancers of the lung, colon, stomach, pancreas, breast, and prostate. Alternative splicing results in multiple transcript variants encoding different isoforms. [provided by RefSeq, Jul 2008]. Function: GRP stimulates gastrin release as well as other gastrointestinal hormones. Operates as a negative feedback regulating fear and established a causal relationship between GRP-receptor gene expression, long-term potentiation, and amygdala-dependent memory for fear. Subcellular Location: Secreted. Tissue Specificity: Highly expressed both in the lateral nucleus of the amygdala, and in regions sending synaptic projections to the lateral nucleus. Similarity: ngs to the bombesin/neuromedin-B/ranatensin family. SWISS: Q8R1I2 Gene ID: 225642 Database links: Entrez Gene: 2922 Human Entrez Gene: 225642 Mouse Entrez Gene: 171101 Rat Omim: 137260 Human SwissProt: P07492 Human SwissProt: Q8R1I2 Mouse SwissProt: P63153 Pig SwissProt: P24393 Rat Unigene: 153444 Human Unigene: 20298 Mouse Unigene: 10930 Rat Important Note: This product as supplied is intended for research use only, not for use in human, therapeutic or diagnostic applications. |
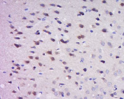
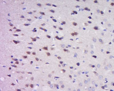
| 产品图片 | ![]() Tissue/cell: Rat brain tissue; 4% Paraformaldehyde-fixed and paraffin-embedded; Antigen retrieval: citrate buffer ( 0.01M, pH 6.0 ), Boiling bathing for 15min; Block endogenous peroxidase by 3% Hydrogen peroxide for 30min; Blocking buffer (normal goat serum,C-0005) at 37℃ for 20 min; Incubation: Anti-GRP10 Polyclonal Antibody, Unconjugated(bs-14364R) 1:500, overnight at 4°C, followed by conjugation to the secondary antibody(SP-0023) and DAB(C-0010) staining |
风险提示:丁香通仅作为第三方平台,为商家信息发布提供平台空间。用户咨询产品时请注意保护个人信息及财产安全,合理判断,谨慎选购商品,商家和用户对交易行为负责。对于医疗器械类产品,请先查证核实企业经营资质和医疗器械产品注册证情况。
文献和实验的却显著增加,且Hp根治1年后,其MAO也未显著减少。 Elomer等通过可促进胃窦胃泌素释放和胃酸分泌的胃泌素释放多肽(gastrin-reliasing peptide,GRP)静脉注射后发现,Hp阳 性健康 者的胃酸分泌量较Hp阴 性健康 者的增加了近3倍,而DU患者则增加了6倍之多。Hp根治1月后,Hp阳性健康者对GRP的泌酸反应恢复正常,而DU患者则1年后才降至正常。 2 Hp感染对胃泌素影响
网膜上也存在Bak等凋亡蛋白,在凋亡因子的刺激下,Bax也能在内质网上富聚,Bax和Bak的多聚化和caspase·12的激活可导致细胞凋亡(Zong et al.2003)。 内质网是细胞内蛋白质合成 和成熟的主要场所,蛋白质成熟和折叠的异常可导致内质网损伤。如用衣霉素(tunicamycin)抑制蛋白质糖基化或改变内质网内的氧化还原状态使蛋白质糖基化和蛋白质二硫键形成发生异常,可使没有折叠奸的蛋白质在内质网内积累。未折叠的蛋白质与内质网内伴侣蛋白BiP/Grp78结合,从而BiP/Grp
-受体特异性结合的方式应用于靶向药物递送系统。短肽在各种受体介导的靶向药物递送系统中的作用受到越来越广泛的研究。 (1)蛙皮素(bombesh,BN)/胃泌素释放多肽(gastrin releasing peptide,GRP)受体介导的靶向药物递送系统:Keller等应用RT-PCR技术及放射配基结合实验对3种肾癌细胞株(A498、ACHN及786-0)进行了分析,结果表明这些细胞株的细胞膜上都有BN/GRP受体的表达。将一种蛙皮素Gln-Trp-Ala-Val-Gly-His-leu-p(CH
技术资料暂无技术资料 索取技术资料











