相关产品推荐更多 >
万千商家帮你免费找货
0 人在求购买到急需产品
- 详细信息
- 技术资料
- 供应商:
上海康朗生物科技有限公司
- 库存:
大量
- 目录编号:
kl-6349R
- 克隆性:
多克隆
- 抗原来源:
Rabbit
- 保质期:
12个月
- 抗体英文名:
VGF antibody
- 抗体名:
神经生长因子诱导蛋白抗体
- 宿主:
Rabbit
- 适应物种:
Human, Mouse, Rat, Dog, Cow, Horse,
- 免疫原:
KLH conjugated synthetic peptide derived from human Nerve growth factor inducible:451-550/615
- 亚型:
IgG
- 形态:
冻干粉或液体
- 应用范围:
ELISA=1:500-1000 IHC-P=1:400-800 IHC-F=1:400-800 IF=1:100-500
- 浓度:
1mg/ml
- 保存条件:
-20 °C
- 规格:
100ul 200ul
VGF antibody
| 中文名称 | 神经生长因子诱导蛋白抗体 |
| 别 名 | NERP-1; NERP-2; Nerve growth factor inducible; Neuroendocrine regulatory peptide-2; Neurosecretory protein VGF; VGF_HUMAN. |
| 规格价格 | 100ul/1380元 购买 200ul/2200元 购买 大包装/询价 |
| 说 明 书 | 100ul 200ul |
| 研究领域 | 细胞生物 神经生物学 信号转导 |
| 抗体来源 | Rabbit |
| 克隆类型 | Polyclonal |
| 交叉反应 | Human, Mouse, Rat, Dog, Cow, Horse, |
| 产品应用 | ELISA=1:500-1000 IHC-P=1:400-800 IHC-F=1:400-800 IF=1:100-500 (石蜡切片需做抗原修复) not yet tested in other applications. optimal dilutions/concentrations should be determined by the end user. |
| 分 子 量 | 65kDa |
| 细胞定位 | 细胞浆 分泌型蛋白 |
| 性 状 | Lyophilized or Liquid |
| 浓 度 | 1mg/ml |
| 免 疫 原 | KLH conjugated synthetic peptide derived from human Nerve growth factor inducible:451-550/615 |
| 亚 型 | IgG |
| 纯化方法 | affinity purified by Protein A |
| 储 存 液 | 0.01M TBS(pH7.4) with 1% BSA, 0.03% Proclin300 and 50% Glycerol. |
| 保存条件 | Store at -20 °C for one year. Avoid repeated freeze/thaw cycles. The lyophilized antibody is stable at room temperature for at least one month and for greater than a year when kept at -20°C. When reconstituted in sterile pH 7.4 0.01M PBS or diluent of antibody the antibody is stable for at least two weeks at 2-4 °C. |
| PubMed | PubMed |
| 产品介绍 | background: VGF is a peptide synthesized and secreted by neurons and is upregulated by NGF in the PC12 cell line. VGF is widely expressed in both the PNS and CNS, but is especially abundant in the adult hypothalamus. VGF plays an essential role in how the brain regulates energy expenditure and body weight. Its expression is rapidly induced by injury, the circadian clock, and neuronal activity Function: May be involved in the regulation of cell-cell interactions or in synatogenesis during the maturation of the nervous system. NERP peptides are involved in the control of body fluid homeostasis by regulating vasopressin release. Subcellular Location: Secreted. Cytoplasmic vesicle > secretory vesicle. Stored in secretory vesicles and then secreted, NERP peptides colocalize with vasopressin in the storage granules of hypothalamus. Tissue Specificity: Central and peripheral nervous systems, synthesized exclusively in neuronal and neuroendocrine cells. Post-translational modifications: Multiple peptides are derived from VGF, with activities in synaptic plasticity, antidepression, penile erection, autonomic activation, and increases in energy expenditure. SWISS: O15240 Gene ID: 7425 Database links: Entrez Gene: 7425 Human Entrez Gene: 381677 Mouse Entrez Gene: 29461 Rat Omim: 602186 Human SwissProt: O15240 Human SwissProt: P20156 Rat Unigene: 587325 Human Important Note: This product as supplied is intended for research use only, not for use in human, therapeutic or diagnostic applications. |
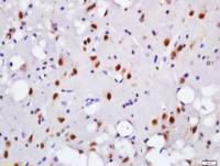
| 产品图片 |
Paraformaldehyde-fixed, paraffin embedded (Rat brain); Antigen retrieval by boiling in sodium citrate buffer (pH6.0) for 15min; Block endogenous peroxidase by 3% hydrogen peroxide for 20 minutes; Blocking buffer (normal goat serum) at 37°C for 30min; Antibody incubation with (VGF) Polyclonal Antibody, Unconjugated (bs-6349R) at 1:400 overnight at 4°C, followed by operating according to SP Kit(Rabbit) (sp-0023) instructionsand DAB staining.
|
风险提示:丁香通仅作为第三方平台,为商家信息发布提供平台空间。用户咨询产品时请注意保护个人信息及财产安全,合理判断,谨慎选购商品,商家和用户对交易行为负责。对于医疗器械类产品,请先查证核实企业经营资质和医疗器械产品注册证情况。
技术资料暂无技术资料 索取技术资料
VGF antibody
¥1380 - 2200










