相关产品推荐更多 >
万千商家帮你免费找货
0 人在求购买到急需产品
- 详细信息
- 文献和实验
- 技术资料
- 供应商:
上海康朗生物科技有限公司
- 库存:
大量
- 目录编号:
kl-5813R
- 克隆性:
多克隆
- 抗原来源:
Rabbit
- 保质期:
12个月
- 抗体英文名:
PRODH antibody
- 抗体名:
脯氨酸脱氢酶抗体
- 宿主:
Rabbit
- 适应物种:
Human, Mouse, Rat, Horse,
- 免疫原:
KLH conjugated synthetic peptide derived from human PRODH:141-240/600
- 亚型:
IgG
- 形态:
冻干粉或液体
- 应用范围:
WB=1:500-2000 ELISA=1:500-1000 IHC-P=1:400-800 IHC-F=1:400-800 IF=1:100-500
- 浓度:
1mg/ml
- 保存条件:
-20 °C
- 规格:
100ul 200ul
| 中文名称 | 脯氨酸脱氢酶抗体 |
| 别 名 | HSPOX2; P53 induced gene 6 protein; PIG6; PRODH 1; PRODH 2; PRODH1; PRODH2; Proline dehydrogenase; proline dehydrogenase (oxidase) 1; proline dehydrogenase (proline oxidase); Proline oxidase, mitochondrial precursor; SCZD4; TP53I6; tumor protein p53 inducible protein 6; PROD_HUMAN. |
| 规格价格 | 100ul/1380元 购买 200ul/2200元 购买 大包装/询价 |
| 说 明 书 | 100ul 200ul |
| 研究领域 | 肿瘤 细胞生物 免疫学 信号转导 线粒体 |
| 抗体来源 | Rabbit |
| 克隆类型 | Polyclonal |
| 交叉反应 | Human, Mouse, Rat, Horse, |
| 产品应用 | WB=1:500-2000 ELISA=1:500-1000 IHC-P=1:400-800 IHC-F=1:400-800 IF=1:100-500 (石蜡切片需做抗原修复) not yet tested in other applications. optimal dilutions/concentrations should be determined by the end user. |
| 分 子 量 | 68kDa |
| 细胞定位 | 细胞浆 线粒体 |
| 性 状 | Lyophilized or Liquid |
| 浓 度 | 1mg/ml |
| 免 疫 原 | KLH conjugated synthetic peptide derived from human PRODH:141-240/600 |
| 亚 型 | IgG |
| 纯化方法 | affinity purified by Protein A |
| 储 存 液 | 0.01M TBS(pH7.4) with 1% BSA, 0.03% Proclin300 and 50% Glycerol. |
| 保存条件 | Store at -20 °C for one year. Avoid repeated freeze/thaw cycles. The lyophilized antibody is stable at room temperature for at least one month and for greater than a year when kept at -20°C. When reconstituted in sterile pH 7.4 0.01M PBS or diluent of antibody the antibody is stable for at least two weeks at 2-4 °C. |
| PubMed | PubMed |
| 产品介绍 | background: Proline oxidase catalyzes the conversion of proline to pyrroline-5-carboxylate, or P5C during the degradation of the amino acid Proline. Defects in PRODH are the cause of hyperprolinemia type 1, a disorder characterized by elevated serum proline levels. Defective PRODH may be involved in the psychiatric and behavioral phenotypes associated with the 22q11 velocardiofacial and DiGeorge syndrome and may be associated with susceptibility to schizophrenia 4 (SCZD4). Function: Converts proline to delta-1-pyrroline-5-carboxylate. Subcellular Location: Mitochondrion matrix. Tissue Specificity: Expressed in lung, skeletal muscle and brain, to a lesser extent in heart and kidney, and weakly in liver, placenta and pancreas. DISEASE: Defects in PRODH are the cause of hyperprolinemia type 1 (HP-1) [MIM:239500]. HP-1 is a disorder characterized by elevated serum proline levels. May be involved in the psychiatric and behavioral phenotypes associated with the 22q11 velocardiofacial and DiGeorge syndrome. Defects in PRODH are associated with susceptibility to schizophrenia type 4 (SCZD4) [MIM:600850]. A complex, multifactorial psychotic disorder or group of disorders characterized by disturbances in the form and content of thought (e.g. delusions, hallucinations), in mood (e.g. inappropriate affect), in sense of self and relationship to the external world (e.g. loss of ego boundaries, withdrawal), and in behavior (e.g bizarre or apparently purposeless behavior). Although it affects emotions, it is distinguished from mood disorders in which such disturbances are primary. Similarly, there may be mild impairment of cognitive function, and it is distinguished from the dementias in which disturbed cognitive function is considered primary. Some patients manifest schizophrenic as well as bipolar disorder symptoms and are often given the diagnosis of schizoaffective disorder. Similarity: Belongs to the proline oxidase family. SWISS: O43272 Gene ID: 5625 Database links: Entrez Gene: 5625 Human Entrez Gene: 19125 Mouse Entrez Gene: 680409 Rat Omim: 606810 Human SwissProt: O43272 Human SwissProt: Q9WU79 Mouse Unigene: 517352 Human Unigene: 28456 Mouse Unigene: 153570 Rat Important Note: This product as supplied is intended for research use only, not for use in human, therapeutic or diagnostic applications. |
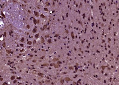
| 产品图片 | ![]() Paraformaldehyde-fixed, paraffin embedded (Mouse brain); Antigen retrieval by boiling in sodium citrate buffer (pH6.0) for 15min; Block endogenous peroxidase by 3% hydrogen peroxide for 20 minutes; Blocking buffer (normal goat serum) at 37°C for 30min; Antibody incubation with (PRODH) Polyclonal Antibody, Unconjugated (bs-5813R) at 1:400 overnight at 4°C, followed by operating according to SP Kit(Rabbit) (sp-0023) instructionsand DAB staining. |
风险提示:丁香通仅作为第三方平台,为商家信息发布提供平台空间。用户咨询产品时请注意保护个人信息及财产安全,合理判断,谨慎选购商品,商家和用户对交易行为负责。对于医疗器械类产品,请先查证核实企业经营资质和医疗器械产品注册证情况。
文献和实验Generation of Antibody Molecules Through Antibody Engineering
been overcome to a large extent using genetic-engineering techniques to produce chimeric mouse/human and completely human antibodies. Such an approach is particularly suitable because of the domain structure of the antibody molecule ( 2 ), where functional
The importance of antibody molecules was first recognized in the 1890s, when it was shown that immunity to tetanus and diphtheria was caused by antibodies against the bacterial exotoxins (1 ). Around the same time, it was shown that antisera
General comments: Antibodies, like most proteins, do not like to be freeze-thawed. Avoid repetitive freezing of your solution. The best way to store your antibody is to keep a high protein concentration (>1 mg/ml), add some protease
技术资料暂无技术资料 索取技术资料











