相关产品推荐更多 >
万千商家帮你免费找货
0 人在求购买到急需产品
- 详细信息
- 技术资料
- 供应商:
上海康朗生物科技有限公司
- 库存:
大量
- 目录编号:
kl-5330R
- 克隆性:
多克隆
- 抗原来源:
Rabbit
- 保质期:
12个月
- 抗体英文名:
Phospho-RhoA (Ser188) antibody
- 抗体名:
磷酸化RhoA蛋白抗体
- 宿主:
Rabbit
- 适应物种:
Human, Mouse, Rat, Chicken, Dog, Cow, Sheep,
- 免疫原:
KLH conjugated Synthesised phosphopeptide derived from human RhoA around the phosphorylation site of Ser188:KK(p-S)GC
- 亚型:
IgG
- 形态:
冻干粉或液体
- 应用范围:
WB=1:500-2000 ELISA=1:500-1000 IHC-P=1:400-800 IHC-F=1:400-800 Flow-Cyt=1μg/Test IF=1:100-500
- 浓度:
1mg/ml
- 保存条件:
-20 °C
- 规格:
100ul
Phospho-RhoA (Ser188) antibody
| 中文名称 | 磷酸化RhoA蛋白抗体 |
| 别 名 | RHOA(phospho S188); RhoA (phospho S188); RhoA protein; Aplysia ras related homolog 12; ARH 12; ARH12; ARHA; H 12; Oncogene RHO H12; Ras homolog gene family member A; RHO 12; Rho A; RHO H12; RHO12; RHOH 12; RHOH12; Small GTP binding protein Rho A; Small GTP binding protein RhoA; Transforming protein Rho A; Transforming protein RhoA. |
![]() |
Specific References (1) | bs-5330R has been referenced in 1 publications. [IF=2.38] Zhang, Beiru, et al. "HSF1 Relieves Amyloid-β-Induced Cardiomyocytes Apoptosis." Cell Biochemistry and Biophysics (2015): 1-9. WB ; Rat. PubMed:25631374 |
| 规格价格 | 100ul/1580元 购买 大包装/询价 |
| 说 明 书 | 100ul |
| 产品类型 | 磷酸化抗体 |
| 研究领域 | 免疫学 信号转导 细胞凋亡 激酶和磷酸酶 |
| 抗体来源 | Rabbit |
| 克隆类型 | Polyclonal |
| 交叉反应 | Human, Mouse, Rat, Chicken, Dog, Cow, Sheep, |
| 产品应用 | WB=1:500-2000 ELISA=1:500-1000 IHC-P=1:400-800 IHC-F=1:400-800 Flow-Cyt=1μg/Test IF=1:100-500 (石蜡切片需做抗原修复) not yet tested in other applications. optimal dilutions/concentrations should be determined by the end user. |
| 分 子 量 | 21kDa |
| 细胞定位 | 细胞浆 细胞膜 |
| 性 状 | Lyophilized or Liquid |
| 浓 度 | 1mg/ml |
| 免 疫 原 | KLH conjugated Synthesised phosphopeptide derived from human RhoA around the phosphorylation site of Ser188:KK(p-S)GC |
| 亚 型 | IgG |
| 纯化方法 | affinity purified by Protein A |
| 储 存 液 | 0.01M TBS(pH7.4) with 1% BSA, 0.03% Proclin300 and 50% Glycerol. |
| 保存条件 | Store at -20 °C for one year. Avoid repeated freeze/thaw cycles. The lyophilized antibody is stable at room temperature for at least one month and for greater than a year when kept at -20°C. When reconstituted in sterile pH 7.4 0.01M PBS or diluent of antibody the antibody is stable for at least two weeks at 2-4 °C. |
| PubMed | PubMed |
| 产品介绍 | background: This gene encodes a member of the Rho family of small GTPases, which cycle between inactive GDP-bound and active GTP-bound states and function as molecular switches in signal transduction cascades. Rho proteins promote reorganization of the actin cytoskeleton and regulate cell shape, attachment, and motility. The protein encoded by this gene is prenylated at its C-terminus, and localizes to the cytoplasm and plasma membrane. It is thought to be important in cell locomotion. Overexpression of this gene is associated with tumor cell proliferation and metastasis. Multiple alternatively spliced variants, encoding the same protein, have been identified. Subunit: nteracts with RGNEF. Binds PRKCL1, ROCK1 and ROCK2. Interacts with ARHGEF2, ARHGEF3, NET1 and RTKN. Interacts with PLCE1 and AKAP13. Interacts (in the constitutively activated, GTP-bound form) with DGKQ. Interacts with human respiratory syncytial virus (HRSV) protein F; this interaction facilitates virus-induced syncytium formation. Interacts with GNB2L1/RACK1; enhances RHOA activation. Interacts with PKP4; the interaction is detected at the midbody. Interacts (GTP-bound form preferentially) with PKN2; the interaction stimulates autophosphorylation and phosphorylation of PKN2. Similarity: Belongs to the small GTPase superfamily. Rho family. SWISS: P61586 Gene ID: 387 Database links: Entrez Gene: 387 Human Entrez Gene: 11848 Mouse Entrez Gene: 117273 Rat Omim: 165390 Human SwissProt: P61586 Human SwissProt: Q9QUI0 Mouse SwissProt: P61589 Rat Unigene: 247077 Human Unigene: 757 Mouse Unigene: 107401 Rat Important Note: This product as supplied is intended for research use only, not for use in human, therapeutic or diagnostic applications. RhoA蛋白主要分布在细胞质和细胞膜,RhoA蛋白家族是控制细胞骨架蛋白组合、调节基因表达等细胞活动过程中的关键信号转导成分。通常,RhoA通过激活其下游的Rho 连接激酶(Rho associated kinase,ROK)而起作用。在调节细胞骨架组建的过程中,RhoA与其作用对象均在胞质内。 |
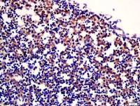
| 产品图片 | ![]() Sample: Brain (Rat) Lysate at 40 ug Primary: Anti-Phospho-RhoA(Ser188) (bs-5330R) at 1/300 dilution Secondary: HRP conjugated Goat-Anti-rabbit IgG (bs-0295G-HRP) at 1/5000 dilution Predicted band size: 21 kD Observed band size: 21 kD ![]() Paraformaldehyde-fixed, paraffin embedded (Rat brain); Antigen retrieval by boiling in sodium citrate buffer (pH6.0) for 15min; Block endogenous peroxidase by 3% hydrogen peroxide for 20 minutes; Blocking buffer (normal goat serum) at 37°C for 30min; Antibody incubation with (Phospho-RhoA(Ser188)) Polyclonal Antibody, Unconjugated (bs-5330R) at 1:400 overnight at 4°C, followed by operating according to SP Kit(Rabbit) (sp-0023) instructionsand DAB staining. ![]() Molt-4 cells were fixed with 4% PFA for 10min at room temperature,permeabilized with 20% PBST for 20 min at room temperature, and incubated in 5% BSA blocking buffer for 30 min at room temperature. Cells were then stained with Phospho-RhoA Antibody(bs-5330R)at 1:100 dilution in blocking buffer and incubated for 30 min at room temperature, washed twice with 2%BSA in PBS, followed by secondary antibody incubation for 40 min at room temperature. Acquisitions of 20,000 events were performed. Cells stained with primary antibody (green), and isotype control (orange). ![]() Blank control (Black line): Molt4 (Black). Primary Antibody (green line):Rabbit Anti-Phospho-RhoA (Ser188) antibody (bs- 5330R) Dilution: 3μg /10^6 cells; Isotype Control Antibody (orange line): Rabbit IgG . Secondary Antibody (white blue line): Goat anti-rabbit IgG-AF647 Dilution: 3μg /test. Protocol The cells were fixed with 4% PFA (10min at room temperature)and then permeabilized with PBST for 20 min at room temperature. The cells were then incubated in 5%BSA to block non-specific protein-protein interactions for 30 min at room temperature .Cells stained with Primary Antibody for 30 min at room temperature. The secondary antibody used for 40 min at room temperature. Acquisition of 20,000 events was performed. |
风险提示:丁香通仅作为第三方平台,为商家信息发布提供平台空间。用户咨询产品时请注意保护个人信息及财产安全,合理判断,谨慎选购商品,商家和用户对交易行为负责。对于医疗器械类产品,请先查证核实企业经营资质和医疗器械产品注册证情况。
技术资料暂无技术资料 索取技术资料
Phospho-RhoA (Ser188) antibody
¥1580













