相关产品推荐更多 >
万千商家帮你免费找货
0 人在求购买到急需产品
- 详细信息
- 技术资料
- 免疫原:
Synthesized peptide derived from human RhoA (Phospho Ser188).
- 形态:
liquid
- 保存条件:
Store at -20˚C
- 克隆性:
Polyclonal
- 适应物种:
Human;Mouse;Rat
- 保质期:
12 months
- 抗原来源:
Rabbit
- 供应商:
南京赛戈巍生物科技有限公司
- 宿主:
Rabbit
- 应用范围:
WB;ELISA;IHC
- 靶点:
Uniprot:P61586
- 抗体英文名:
RhoA (Phospho Ser188) antibody
- 规格:
50ul/100ul
计算分子量:22kD
配方:Liquid in PBS containing 50% glycerol, 0.5% BSA and 0.02% sodium azide.
应用详情:WB 1:500-2000; IHC 1:50-300; ELISA 1:2000-20000
图片:
配方:Liquid in PBS containing 50% glycerol, 0.5% BSA and 0.02% sodium azide.
应用详情:WB 1:500-2000; IHC 1:50-300; ELISA 1:2000-20000
图片:

Western Blot analysis of mouse kidney, rat kidney, HuvEC with RhoA (Phospho Ser188) antibody at 1:1000. 1. mouse kidney whole cell lysate 2. rat kidney whole cell lysate 3. HuvEC whole cell lysate
,

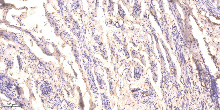
Immunohistochemical analysis of paraffin-embedded human cervical carcinoma using RhoA (Phospho Ser188) antibody at 1:200.
风险提示:丁香通仅作为第三方平台,为商家信息发布提供平台空间。用户咨询产品时请注意保护个人信息及财产安全,合理判断,谨慎选购商品,商家和用户对交易行为负责。对于医疗器械类产品,请先查证核实企业经营资质和医疗器械产品注册证情况。
技术资料暂无技术资料 索取技术资料
RhoA (Phospho Ser188) antibody[62231]
询价


![RhoA (Phospho Ser188) antibody[62231]](https://img1.dxycdn.com/p/s14/2025/0922/632/2321321568067599691.jpg)


![RYBP Rabbit mAb[56453]](https://img1.dxycdn.com/p/s14/2025/0922/632/2321321568067599691.jpg!wh200)
![Calcineurin A Conjugated Antibody[C49514]](https://img1.dxycdn.com/p/s14/2025/0923/305/2150219664296040791.jpg!wh200)
![THOC7 Conjugated Antibody[C36221]](https://img1.dxycdn.com/p/s14/2025/0923/278/4431488150116040791.jpg!wh200)
![RAD21L1 Polyclonal Antibody FITC Conjugated[C91550FITC]](https://img1.dxycdn.com/p/s14/2025/0922/498/0460884283108299691.jpg!wh200)
