相关产品推荐更多 >
万千商家帮你免费找货
0 人在求购买到急需产品
- 详细信息
- 技术资料
- 供应商:
上海康朗生物科技有限公司
- 库存:
大量
- 目录编号:
kl-1738R
- 克隆性:
多克隆
- 抗原来源:
Rabbit
- 保质期:
12个月
- 抗体英文名:
phospho-c-kit(Tyr936) antibody
- 抗体名:
磷酸化原癌基因c-kit抗体
- 宿主:
Rabbit
- 适应物种:
Human, Mouse, Rat, Dog, Pig, Cow, Horse,
- 免疫原:
KLH conjugated Synthesised phosphopeptide derived from human c-kit around the phosphorylation site of Tyr936:HI(p-Y)SN
- 亚型:
IgG
- 形态:
冻干粉或液体
- 应用范围:
WB=1:500-2000 ELISA=1:500-1000 IHC-P=1:400-800 IHC-F=1:400-800 Flow-Cyt=1μg /test IF=1:100-500
- 浓度:
1mg/ml
- 保存条件:
-20 °C
- 规格:
100ul
phospho-c-kit(Tyr936) antibody
| 中文名称 | 磷酸化原癌基因c-kit抗体 |
| 别 名 | c-Kit (phospho Y936); c-Kit (phospho Tyr936); p-c-Kit (Tyr 936); C Kit; c-Kit; CD 117; CD117; CD117 antigen; KIT; KIT_HUMAN; Mast/stem cell growth factor receptor; Mast/stem cell growth factor receptor Kit; p145 c-kit; PBT; Piebald trait protein; Proto oncogene c Kit; Proto oncogene tyrosine protein kinase Kit; Proto-oncogene c-Kit; SCF Receptor; SCFR; soluble KIT variant 1; Stem cell factor receptor; tyrosine protein kinase Kit; Tyrosine-protein kinase Kit; v kit Hardy Zuckerman 4 feline sarcoma viral oncogene homolog; v kit Hardy Zuckerman 4 feline sarcoma viral oncogene like protein; v-kit Hardy-Zuckerman 4 feline sarcoma viral oncogene homolog. |
| 规格价格 | 100ul/1580元 购买 大包装/询价 |
| 说 明 书 | 100ul |
| 产品类型 | 磷酸化抗体 |
| 研究领域 | 肿瘤 免疫学 信号转导 转录调节因子 激酶和磷酸酶 细胞膜受体 |
| 抗体来源 | Rabbit |
| 克隆类型 | Polyclonal |
| 交叉反应 | Human, Mouse, Rat, Dog, Pig, Cow, Horse, |
| 产品应用 | WB=1:500-2000 ELISA=1:500-1000 IHC-P=1:400-800 IHC-F=1:400-800 Flow-Cyt=1μg /test IF=1:100-500 (石蜡切片需做抗原修复) not yet tested in other applications. optimal dilutions/concentrations should be determined by the end user. |
| 分 子 量 | 107kDa |
| 细胞定位 | 细胞浆 细胞膜 |
| 性 状 | Lyophilized or Liquid |
| 浓 度 | 1mg/ml |
| 免 疫 原 | KLH conjugated Synthesised phosphopeptide derived from human c-kit around the phosphorylation site of Tyr936:HI(p-Y)SN |
| 亚 型 | IgG |
| 纯化方法 | affinity purified by Protein A |
| 储 存 液 | 0.01M TBS(pH7.4) with 1% BSA, 0.03% Proclin300 and 50% Glycerol. |
| 保存条件 | Store at -20 °C for one year. Avoid repeated freeze/thaw cycles. The lyophilized antibody is stable at room temperature for at least one month and for greater than a year when kept at -20°C. When reconstituted in sterile pH 7.4 0.01M PBS or diluent of antibody the antibody is stable for at least two weeks at 2-4 °C. |
| PubMed | PubMed |
| 产品介绍 | background: c-Kit is a transmembrane tyrosine kinase encoded by the cKit proto oncogene. c-Kit acts to regulate a variety of biological responses including cell proliferation, apoptosis, chemotaxis and adhesion. Ligand binding to the extracellular domain leads to autophosphorylation on several tyrosine residues within the cytoplasmic domain, and activation. Mutations in c-Kit have been found to be important for tumor growth and progression in a variety of cancers including mast cell diseases, gastrointestinal stromal tumor, acute myeloid leukemia, Ewing sarcoma and lung cancer. Phosphorylation at tyrosine 721 of c-Kit allows binding and activation of PI3 kinase. Function: Tyrosine-protein kinase that acts as cell-surface receptor for the cytokine KITLG/SCF and plays an essential role in the regulation of cell survival and proliferation, hematopoiesis, stem cell maintenance, gametogenesis, mast cell development, migration and function, and in melanogenesis. In response to KITLG/SCF binding, KIT can activate several signaling pathways. Phosphorylates PIK3R1, PLCG1, SH2B2/APS and CBL. Activates the AKT1 signaling pathway by phosphorylation of PIK3R1, the regulatory subunit of phosphatidylinositol 3-kinase. Activated KIT also transmits signals via GRB2 and activation of RAS, RAF1 and the MAP kinases MAPK1/ERK2 and/or MAPK3/ERK1. Promotes activation of STAT family members STAT1, STAT3, STAT5A and STAT5B. Activation of PLCG1 leads to the production of the cellular signaling molecules diacylglycerol and inositol 1,4,5-trisphosphate. Subunit: Monomer in the absence of bound KITLG/SCF. Homodimer in the presence of bound KITLG/SCF, forming a heterotetramer with two KITLG/SCF molecules. Interacts (via phosphorylated tyrosine residues) with the adapter proteins GRB2 and GRB7 (via SH2 domain), and SH2B2/APS. Interacts (via C-terminus) with MPDZ (via the tenth PDZ domain). Interacts (via phosphorylated tyrosine residues) with PIK3R1 and PIK3 catalytic subunit. Interacts (via phosphorylated tyrosine) with CRK (isoform Crk-II), FYN, SHC1 and MATK/CHK (via SH2 domain). Interacts with LYN and FES/FPS. Interacts (via phosphorylated tyrosine residues) with the protein phosphatases PTPN6/SHP-1 (via SH2 domain), PTPN11/SHP-2 (via SH2 domain) and PTPRU. Interacts with PLCG1. Interacts with DOK1 and TEC. Subcellular Location : Isoform 1: Cell membrane; Single-pass type I membrane protein. Isoform 2: Cell membrane; Single-pass type I membrane protein. Isoform 3: Cytoplasm. Note=Detected in the cytoplasm of spermatozoa, especially in the equatorial and subacrosomal region of the sperm head. Subcellular Location: Isoform 1: Cell membrane; Single-pass type I membrane protein. Isoform 2: Cell membrane; Single-pass type I membrane protein. Isoform 3: Cytoplasm. Note=Detected in the cytoplasm of spermatozoa, especially in the equatorial and subacrosomal region of the sperm head. Tissue Specificity: Isoform 1 and isoform 2 are detected in spermatogonia and Leydig cells. Isoform 3 is detected in round spermatids, elongating spermatids and spermatozoa (at protein level). Widely expressed. Detected in the hematopoietic system, the gastrointestinal system, in melanocytes and in germ cells. Post-translational modifications: Ubiquitinated by SOCS6. KIT is rapidly ubiquitinated after autophosphorylation induced by KITLG/SCF binding, leading to internalization and degradation. Autophosphorylated on tyrosine residues. KITLG/SCF binding enhances autophosphorylation. Isoform 1 shows low levels of tyrosine phosphorylation in the absence of added KITLG/SCF (in vitro). Kinase activity is down-regulated by phosphorylation on serine residues by protein kinase C family members. Phosphorylation at Tyr-568 is required for interaction with PTPN11/SHP-2, CRK (isoform Crk-II) and members of the SRC tyrosine-protein kinase family. Phosphorylation at Tyr-570 is required for interaction with PTPN6/SHP-1. Phosphorylation at Tyr-703, Tyr-823 and Tyr-936 is important for interaction with GRB2. Phosphorylation at Tyr-721 is important for interaction with PIK3R1. Phosphorylation at Tyr-823 and Tyr-936 is important for interaction with GRB7. DISEASE: Defects in KIT are a cause of piebald trait (PBT) [MIM:172800]. PBT is an autosomal dominant genetic developmental abnormality of pigmentation characterized by congenital patches of white skin and hair that lack melanocytes. Defects in KIT are a cause of gastrointestinal stromal tumor (GIST) [MIM:606764]. Defects in KIT have been associated with testicular germ cell tumor (TGCT) [MIM:273300]. A common solid malignancy in males. Germ cell tumors of the testis constitute 95% of all testicular neoplasms. Defects in KIT are a cause of acute myelogenous leukemia (AML) [MIM:601626]. AML is a malignant disease in which hematopoietic precursors are arrested in an early stage of development. Note=Somatic mutations that lead to constitutive activation of KIT are detected in AML patients. These mutations fall into two classes, the most common being in-frame internal tandem duplications of variable length in the juxtamembrane region that disrupt the normal regulation of the kinase activity. Likewise, point mutations in the kinase domain can result in a constitutively activated kinase. Similarity: Belongs to the protein kinase superfamily. Tyr protein kinase family. CSF-1/PDGF receptor subfamily. Contains 5 Ig-like C2-type (immunoglobulin-like) domains. Contains 1 protein kinase domain. Gene ID: 3815 Database links: Entrez Gene: 3815 Human Entrez Gene: 16590 Mouse Entrez Gene: 64030 Rat Omim: 164920 Human SwissProt: P10721 Human SwissProt: P05532 Mouse Unigene: 479754 Human Unigene: 247073 Mouse Unigene: 54004 RatImportant Note: This product as supplied is intended for research use only, not for use in human, therapeutic or diagnostic applications. |
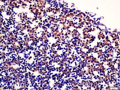
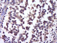
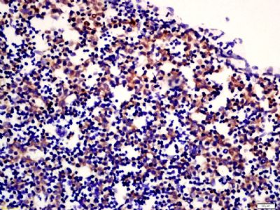
| 产品图片 | ![]() Tissue/cell: Mouse embryos tissue; 4% Paraformaldehyde-fixed and paraffin-embedded; Antigen retrieval: citrate buffer ( 0.01M, pH 6.0 ), Boiling bathing for 15min; Block endogenous peroxidase by 3% Hydrogen peroxide for 30min; Blocking buffer (normal goat serum,C-0005) at 37℃ for 20 min; Incubation: Anti-phospho-c-kit (Tyr936) Polyclonal Antibody, Unconjugated(bs-1738R) 1:200, overnight at 4°C, followed by conjugation to the secondary antibody(SP-0023) and DAB(C-0010) staining ![]() Blank control (blue line): K562 (blue). Primary Antibody (green line): Rabbit Anti-phospho-c-kit(Tyr936) antibody (bs-1738R) Dilution: 1μg /10^6 cells; Isotype Control Antibody (orange line): Rabbit IgG . Secondary Antibody (white blue line): Goat anti-rabbit IgG-PE Dilution: 1μg /test. Protocol The cells were fixed with 70% ethanol (overnight at 4℃) and then permeabilized with 0.1% PBS-Tween for 20 min at room temperature. Cells stained with Primary Antibody for 30 min at room temperature. The cells were then incubated in 1 X PBS/2%BSA/10% goat serum to block non-specific protein-protein interactions followed by the antibody for 15 min at room temperature. The secondary antibody used for 40 min at room temperature. Acquisition of 20,000 events was performed. |
风险提示:丁香通仅作为第三方平台,为商家信息发布提供平台空间。用户咨询产品时请注意保护个人信息及财产安全,合理判断,谨慎选购商品,商家和用户对交易行为负责。对于医疗器械类产品,请先查证核实企业经营资质和医疗器械产品注册证情况。
技术资料暂无技术资料 索取技术资料
phospho-c-kit(Tyr936) antibody
¥1580











