相关产品推荐更多 >
万千商家帮你免费找货
0 人在求购买到急需产品
- 详细信息
- 文献和实验
- 技术资料
- 供应商:
上海康朗生物科技有限公司
- 库存:
大量
- 目录编号:
kl-4908R
- 克隆性:
多克隆
- 抗原来源:
Rabbit
- 保质期:
12个月
- 抗体英文名:
Latency-associated peptide antibody
- 抗体名:
转化生长因子β/TGFβ抗体
- 宿主:
Rabbit
- 适应物种:
Human
- 免疫原:
KLH conjugated synthetic peptide derived from human Latency-associated peptide:101-200/390
- 亚型:
IgG
- 形态:
冻干粉或液体
- 应用范围:
WB=1:500-2000 ELISA=1:500-1000 IHC-P=1:400-800 IHC-F=1:400-800 ICC=1:100-500 IF=1:100-500
- 浓度:
1mg/ml
- 保存条件:
-20 °C
- 规格:
100ul 200ul
| 中文名称 | 转化生长因子β/TGFβ抗体 |
| 别 名 | LAP; Latency-associated peptide; ARVD; BSC 1 cell growth inhibitor; CED; Cetermin; Diaphyseal dysplasia 1 progressive; DPD 1; DPD1; G TSF; Glioblastoma derived T cell suppressor factor; LAP; Polyergin; TGF beta 1; TGF beta 1 protein; TGF beta; TGF beta1; TGF-beta-1; TGFB 1; TGFB; TGFB1; TGFB1_HUMAN; TGFbeta; Transforming growth factor; Transforming growth factor beta 1; Transforming Growth Factor beta. |
| 规格价格 | 100ul/1380元 购买 200ul/2200元 购买 大包装/询价 |
| 说 明 书 | 100ul 200ul |
| 研究领域 | 肿瘤 细胞生物 信号转导 干细胞 生长因子和激素 转录调节因子 |
| 抗体来源 | Rabbit |
| 克隆类型 | Polyclonal |
| 交叉反应 | Human, |
| 产品应用 | WB=1:500-2000 ELISA=1:500-1000 IHC-P=1:400-800 IHC-F=1:400-800 ICC=1:100-500 IF=1:100-500 (石蜡切片需做抗原修复) not yet tested in other applications. optimal dilutions/concentrations should be determined by the end user. |
| 分 子 量 | 30/44kDa |
| 细胞定位 | 细胞外基质 分泌型蛋白 |
| 性 状 | Lyophilized or Liquid |
| 浓 度 | 1mg/ml |
| 免 疫 原 | KLH conjugated synthetic peptide derived from human Latency-associated peptide:101-200/390 |
| 亚 型 | IgG |
| 纯化方法 | affinity purified by Protein A |
| 储 存 液 | 0.01M TBS(pH7.4) with 1% BSA, 0.03% Proclin300 and 50% Glycerol. |
| 保存条件 | Store at -20 °C for one year. Avoid repeated freeze/thaw cycles. The lyophilized antibody is stable at room temperature for at least one month and for greater than a year when kept at -20°C. When reconstituted in sterile pH 7.4 0.01M PBS or diluent of antibody the antibody is stable for at least two weeks at 2-4 °C. |
| PubMed | PubMed |
| 产品介绍 | background: This gene encodes a member of the transforming growth factor beta (TGFB) family of cytokines, which are multifunctional peptides that regulate proliferation, differentiation, adhesion, migration, and other functions in many cell types. Many cells have TGFB receptors, and the protein positively and negatively regulates many other growth factors. The secreted protein is cleaved into a latency-associated peptide (LAP) and a mature TGFB1 peptide, and is found in either a latent form composed of a TGFB1 homodimer, a LAP homodimer, and a latent TGFB1-binding protein, or in an active form composed of a TGFB1 homodimer. The mature peptide may also form heterodimers with other TGFB family members. This gene is frequently upregulated in tumor cells, and mutations in this gene result in Camurati-Engelmann disease. Function: Multifunctional protein that controls proliferation, differentiation and other functions in many cell types. Many cells synthesize TGFB1 and have specific receptors for it. It positively and negatively regulates many other growth factors. It plays an important role in bone remodeling as it is a potent stimulator of osteoblastic bone formation, causing chemotaxis, proliferation and differentiation in committed osteoblasts. Subunit: Homodimer; disulfide-linked, or heterodimer with TGFB2. Secreted and stored as a biologically inactive form in the extracellular matrix in a 290 kDa complex (large latent TGF-beta1 complex) containing the TGFB1 homodimer, the latency-associated peptide (LAP), and the latent TGFB1 binding protein-1 (LTBP1). The complex without LTBP1 is known as the'small latent TGF-beta1 complex'. Dissociation of the TGFB1 from LAP is required for growth factor activation and biological activity. Release of the large latent TGF-beta1 complex from the extracellular matrix is carried out by the matrix metalloproteinase MMP3. May interact with THSD4; this interaction may lead to sequestration by FBN1 microfibril assembly and attenuation of TGFB signaling. Interacts with the serine proteases, HTRA1 and HTRA3: the interaction with either inhibits TGFB1-mediated signaling. The HTRA protease activity is required for this inhibition. Interacts with CD109, DPT and ASPN. Subcellular Location: Secreted, extracellular space, extracellular matrix. Tissue Specificity: Highly expressed in bone. Abundantly expressed in articular cartilage and chondrocytes and is increased in osteoarthritis (OA). Co-localizes with ASPN in chondrocytes within OA lesions of articular cartilage. Post-translational modifications: Glycosylated. The precursor is cleaved into mature TGF-beta-1 and LAP, which remains non-covalently linked to mature TGF-beta-1 rendering it inactive. DISEASE: Defects in TGFB1 are the cause of Camurati-Engelmann disease (CE) [MIM:131300]; also known as progressive diaphyseal dysplasia 1 (DPD1). CE is an autosomal dominant disorder characterized by hyperostosis and sclerosis of the diaphyses of long bones. The disease typically presents in early childhood with pain, muscular weakness and waddling gait, and in some cases other features such as exophthalmos, facial paralysis, hearing difficulties and loss of vision. Similarity: Belongs to the TGF-beta family. SWISS: P01137 Gene ID: 7040 Database links: Entrez Gene: 7040 Human Entrez Gene: 21803 Mouse Entrez Gene: 59086 Rat Omim: 190180 Human SwissProt: P01137 Human SwissProt: P04202 Mouse SwissProt: P17246 Rat Unigene: 645227 Human Unigene: 248380 Mouse Unigene: 40136 Rat Important Note: This product as supplied is intended for research use only, not for use in human, therapeutic or diagnostic applications. |
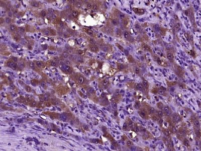
| 产品图片 | ![]() Sample: A549(Human) Cell Lysate at 30 ug Primary: Anti-Latency-associated peptide (bs-4908R) at 1/1000 dilution Secondary: IRDye800CW Goat Anti-Rabbit IgG at 1/20000 dilution Predicted band size: 30/44 kD Observed band size: 30 kD ![]() Sample: MG63(Human) Cell Lysate at 30 ug Primary: Anti-Latency-associated peptide (bs-4908R) at 1/1000 dilution Secondary: IRDye800CW Goat Anti-Rabbit IgG at 1/20000 dilution Predicted band size: 30/44 kD Observed band size: 30 kD ![]() Sample: K562(Human) Cell Lysate at 30 ug Primary: Anti-Latency-associated peptide (bs-4908R) at 1/1000 dilution Secondary: IRDye800CW Goat Anti-Rabbit IgG at 1/20000 dilution Predicted band size: 30/44 kD Observed band size: 30 kD ![]() Paraformaldehyde-fixed, paraffin embedded (human liver carcinoma); Antigen retrieval by boiling in sodium citrate buffer (pH6.0) for 15min; Block endogenous peroxidase by 3% hydrogen peroxide for 20 minutes; Blocking buffer (normal goat serum) at 37°C for 30min; Antibody incubation with (TGFB1) Polyclonal Antibody, Unconjugated (bs-4908R) at 1:400 overnight at 4°C, followed by operating according to SP Kit(Rabbit) (sp-0023) instructionsand DAB staining. |
风险提示:丁香通仅作为第三方平台,为商家信息发布提供平台空间。用户咨询产品时请注意保护个人信息及财产安全,合理判断,谨慎选购商品,商家和用户对交易行为负责。对于医疗器械类产品,请先查证核实企业经营资质和医疗器械产品注册证情况。
文献和实验Purification Of Anti Peptide Antibody
antibody that could contribute to staining background. The proportion in each pool varies with the peptide immunogen. The quality of the anti-peptide serum seems to increase with multiple boosts - the first bleed may be feeble.
Peptide Microarrays for Serum Antibody Diagnostics
antibody. A proposal for the diagnostic evaluation of fluorescence data obtained with the peptide microarray is also made.
Antibody Epitope Mapping Using SPOT Peptide Arrays
Information at the amino acid level about the epitopes of proteins recognized by antibodies or antibody fragments is important for their use as biological and diagnostic tools, therapeutic molecules, and for understanding molecular recognition
技术资料暂无技术资料 索取技术资料














