相关产品推荐更多 >
万千商家帮你免费找货
0 人在求购买到急需产品
- 详细信息
- 文献和实验
- 技术资料
- 供应商:
上海康朗生物科技有限公司
- 库存:
大量
- 目录编号:
kl-4842R
- 克隆性:
多克隆
- 抗原来源:
Rabbit
- 保质期:
12个月
- 抗体英文名:
Phospho-eIF2 alpha(Ser51) antibody
- 抗体名:
磷酸化真核启动因子2α抗体
- 宿主:
Rabbit
- 适应物种:
Human, Mouse, Rat, Cow,
- 免疫原:
KLH conjugated synthesised phosphopeptide derived from human eIF2 alpha around the phosphorylation site of Ser51 [EL(p-S)RR]:EL(p-S)RR
- 亚型:
IgG
- 形态:
冻干粉或液体
- 应用范围:
WB=1:500-2000 ELISA=1:500-1000 IHC-P=1:400-800 IHC-F=1:400-800 Flow-Cyt=1μg/Test IF=1:100-500
- 浓度:
1mg/ml
- 保存条件:
-20 °C
- 规格:
100ul
| 中文名称 | 磷酸化真核启动因子2α抗体 |
| 别 名 | EIF2S1 (phospho S51); EIF2S1 (phospho-Ser51); CDA 02; CDA02; eIF 2 alpha; EIF 2; EIF 2A; EIF-2alpha; EIF2; EIF2A; EIF2alpha; eIF2S1; Eukaryotic Translation Initiation Factor 2 alpha; Eukaryotic translation initiation factor 2 subunit 1 alpha 35kDa; Eukaryotic translation initiation factor 2 subunit alpha. |
![]() |
Specific References (1) | bs-4842R has been referenced in 1 publications. [IF=2.33] He, Yihuai, et al. "Sustained endoplasmic reticulum stress inhibits hepatocyte proliferation via downregulation of c-Met expression." Molecular and Cellular Biochemistry (2014): 1-8. WB ; Human. PubMed:24390087 |
| 规格价格 | 100ul/1580元 购买 大包装/询价 |
| 说 明 书 | 100ul |
| 产品类型 | 磷酸化抗体 |
| 研究领域 | 肿瘤 细胞生物 神经生物学 信号转导 细胞凋亡 转录调节因子 激酶和磷酸酶 |
| 抗体来源 | Rabbit |
| 克隆类型 | Polyclonal |
| 交叉反应 | Human, Mouse, Rat, Cow, |
| 产品应用 | WB=1:500-2000 ELISA=1:500-1000 IHC-P=1:400-800 IHC-F=1:400-800 Flow-Cyt=1μg/Test IF=1:100-500 (石蜡切片需做抗原修复) not yet tested in other applications. optimal dilutions/concentrations should be determined by the end user. |
| 分 子 量 | 36kDa |
| 细胞定位 | 细胞浆 |
| 性 状 | Lyophilized or Liquid |
| 浓 度 | 1mg/ml |
| 免 疫 原 | KLH conjugated synthesised phosphopeptide derived from human eIF2 alpha around the phosphorylation site of Ser51 [EL(p-S)RR]:EL(p-S)RR |
| 亚 型 | IgG |
| 纯化方法 | affinity purified by Protein A |
| 储 存 液 | 0.01M TBS(pH7.4) with 1% BSA, 0.03% Proclin300 and 50% Glycerol. |
| 保存条件 | Store at -20 °C for one year. Avoid repeated freeze/thaw cycles. The lyophilized antibody is stable at room temperature for at least one month and for greater than a year when kept at -20°C. When reconstituted in sterile pH 7.4 0.01M PBS or diluent of antibody the antibody is stable for at least two weeks at 2-4 °C. |
| PubMed | PubMed |
| 产品介绍 | background: The translation initiation factor EIF2 catalyzes the first regulated step of protein synthesis initiation, promoting the binding of the initiator tRNA to 40S ribosomal subunits. Binding occurs as a ternary complex of methionyl-tRNA, EIF2, and GTP. EIF2 is composed of 3 nonidentical subunits, the 36-kD EIF2-alpha subunit (EIF2S1), the 38-kD EIF2-beta subunit (EIF2S2; MIM 603908), and the 52-kD EIF2-gamma subunit (EIF2S3; MIM 300161). The rate of formation of the ternary complex is modulated by the phosphorylation state of EIF2-alpha (Ernst et al., 1987 [PubMed 2948954]).[supplied by OMIM, Feb 2010]. Function: Functions in the early steps of protein synthesis by forming a ternary complex with GTP and initiator tRNA. This complex binds to a 40S ribosomal subunit, followed by mRNA binding to form a 43S preinitiation complex. Junction of the 60S ribosomal subunit to form the 80S initiation complex is preceded by hydrolysis of the GTP bound to eIF-2 and release of an eIF-2-GDP binary complex. In order for eIF-2 to recycle and catalyze another round of initiation, the GDP bound to eIF-2 must exchange with GTP by way of a reaction catalyzed by eIF-2B. Subunit: Heterotrimer composed of an alpha, a beta and a gamma chain. Component of an EIF2 complex at least composed of CELF1/CUGBP1, CALR, CALR3, EIF2S1, EIF2S2, HSP90B1 and HSPA5. Interaction with METAP2 protects EIF2S1 from inhibitory phosphorylation. Interacts with ABCF1 isoform 2. Associates with ribosomes. Subcellular Location: Cytoplasmic granule. Note=The cytoplasmic granules are stress granules which are a dense aggregation in the cytosol composed of proteins and RNAs that appear when the cell is under stress. Co-localizes with NANOS3 in the stress granules. Post-translational modifications: Substrate for at least 4 kinases: EIF2AK3/PERK, GCN2, HRI and PKR. Phosphorylation stabilizes the eIF-2/GDP/eIF-2B complex and prevents GDP/GTP exchange reaction, thus impairing the recycling of eIF-2 between successive rounds of initiation and leading to global inhibition of translation. In case of infection by vaccinia virus or rotavirus A, eIF2S1 phosphorylation state is modulated. Similarity: Belongs to the eIF-2-alpha family. Contains 1 S1 motif domain. SWISS: P05198 Gene ID: 1965 Database links: Entrez Gene: 1965 Human Entrez Gene: 13665 Mouse Entrez Gene: 54318 Rat Omim: 603907 Human SwissProt: P05198 Human SwissProt: Q6ZWX6 Mouse SwissProt: P68101 Rat Unigene: 151777 Human Unigene: 196220 Mouse Unigene: 1488 Rat Important Note: This product as supplied is intended for research use only, not for use in human, therapeutic or diagnostic applications. |
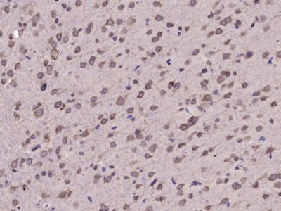
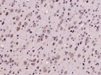
| 产品图片 | ![]() Sample: Testis (Mouse) Lysate at 40 ug Primary: Anti-Phospho-eIF2 alpha(Ser51) (bs-4842R) at 1/300 dilution Secondary: IRDye800CW Goat Anti-Rabbit IgG at 1/20000 dilution Predicted band size: 36 kD Observed band size: 34 kD ![]() Sample: Ovary (Mouse) Lysate at 40 ug Primary: Anti-Phospho-eIF2 alpha(Ser51) (bs-4842R) at 1/300 dilution Secondary: IRDye800CW Goat Anti-Rabbit IgG at 1/20000 dilution Predicted band size: 36 kD Observed band size: 34 kD ![]() Paraformaldehyde-fixed, paraffin embedded (Rat brain); Antigen retrieval by microwave in sodium citrate buffer (pH6.0) ; Block endogenous peroxidase by 3% hydrogen peroxide for 30 minutes; Blocking buffer (3% BSA) at RT for 30min; Antibody incubation with (Phospho-eIF2 alpha(Ser51)) Polyclonal Antibody, Unconjugated (bs-4842R) at 1:400 overnight at 4°C, followed by conjugation to the secondary antibody (labeled with HRP)and DAB staining. ![]() Paraformaldehyde-fixed, paraffin embedded (Mouse brain); Antigen retrieval by microwave in sodium citrate buffer (pH6.0) ; Block endogenous peroxidase by 3% hydrogen peroxide for 30 minutes; Blocking buffer (3% BSA) at RT for 30min; Antibody incubation with (Phospho-eIF2 alpha(Ser51)) Polyclonal Antibody, Unconjugated (bs-4842R) at 1:400 overnight at 4°C, followed by conjugation to the secondary antibody (labeled with HRP)and DAB staining. ![]() Blank control(blue): U-87MG(fixed with 2% paraformaldehyde (10 min), then permeabilized with 90% ice-cold methanol for 30 min on ice). Primary Antibody:Rabbit Anti-Phospho-eIF2 alpha(Ser51) antibody(bs-4842R), Dilution: 1μg in 100 μL 1X PBS containing 0.5% BSA; Isotype Control Antibody: Rabbit IgG(orange) ,used under the same conditions ); Secondary Antibody: Goat anti-rabbit IgG-PE(white blue), Dilution: 1:200 in 1 X PBS containing 0.5% BSA. |
风险提示:丁香通仅作为第三方平台,为商家信息发布提供平台空间。用户咨询产品时请注意保护个人信息及财产安全,合理判断,谨慎选购商品,商家和用户对交易行为负责。对于医疗器械类产品,请先查证核实企业经营资质和医疗器械产品注册证情况。
文献和实验CD51 分子 CD51 常用单克隆抗体或代号: 13C2,23C6,NK1- M7;(VNRa 链,integrin a V) 主要表达细胞: Pt,En,Meg [Pt] 分子质量(kDa)和结构: gp150,与CD61组成二聚体 功 能: 粘附VN、FN和vWF CD51 Aka vitronectin receptor-alpha chain; beta chain
spreading, we developed a method engaging integrin signaling by use of an immobilized anti-integrin monoclonal antibody (mab) directed against the fibronectin (FN) receptor integrin α5β1. ECV 304 cells were plated onto FN or immobilized mab JBS5 (anti
Using Phospho‐Motif Antibodies to Determine Kinase Substrates
comprising both the phosphorylated residue and the surrounding residues that determine kinase specificity, with degenerate residues taking up the remaining positions. Currently, several categories of phospho?motif antibody are commercially available
技术资料暂无技术资料 索取技术资料
















