相关产品推荐更多 >
万千商家帮你免费找货
0 人在求购买到急需产品
- 详细信息
- 文献和实验
- 技术资料
- 供应商:
上海康朗生物科技有限公司
- 库存:
大量
- 目录编号:
kl-4599R
- 克隆性:
多克隆
- 抗原来源:
Rabbit
- 保质期:
12个月
- 抗体英文名:
MMP-2 antibody
- 抗体名:
基质金属蛋白酶2抗体
- 宿主:
Rabbit
- 适应物种:
Human, Mouse, Rat, Pig, Cow, Horse, Rabbit, Sheep,
- 免疫原:
KLH conjugated synthetic peptide derived from human MMP-2:401-500/662
- 亚型:
IgG
- 形态:
冻干粉或液体
- 应用范围:
WB=1:500-2000 ELISA=1:500-1000 IHC-P=1:400-800 IHC-F=1:400-800 Flow-Cyt=1μg/Test IF=1:100-500
- 浓度:
1mg/ml
- 保存条件:
-20 °C
- 规格:
50ul 100ul 200ul
| 中文名称 | 基质金属蛋白酶2抗体 |
| 别 名 | MMP2; MMP 2; 72 kDa gelatinase; 72kD type IV collagenase; CLG 4; CLG 4A; CLG4; CLG4A; Collagenase Type 4 alpha; Collagenase type IV A; Gelatinase A; Gelatinase alpha; Gelatinase neutrophil; Matrix metallopeptidase 2 gelatinase A 72kDa gelatinase 72kDa type IV collagenase; Matrix metalloproteinase 2 (gelatinase A, 72kDa gelatinase, 72kDa type IV collagenase); Matrix Metalloproteinase 2; Matrix metalloproteinase II; MMP 2; MMP II; MONA; Neutrophil gelatinase; TBE 1. |
![]() |
Specific References (4) | bs-4599R has been referenced in 4 publications. [IF=5.83] Fan, Gaochao, et al. "Ultrasensitive photoelectrochemical immunoassay for matrix metalloproteinase-2 detection based on CdS: Mn/CdTe co-sensitized TiO2 nanotubes and signal amplification of SiO2@ Ab2 conjugates." Analytical Chemistry (2014). other ; PubMed:25420143 [IF=1.03] Liu, Jianfeng, et al. "RECK is involved in intimal hyperplasia in carotid arteries: A new insight in the prevention of restenosis after vascular angioplasty."Annals of Vascular Surgery (2015). WB ; Human. PubMed:26004948 [IF=7.43] Wang, Jing, et al. "Phosphorylation-dependent regulation of ALDH1A1 by Aurora kinase A: insights on their synergistic relationship in pancreatic cancer." BMC biology 15.1 (2017): 10. WB ; Human. PubMed:28193222 [IF=1.06] Cavdar, Z., et al. "The effects of alpha-lipoic acid on MMP-2 and MMP-9 activities in a rat renal ischemia and re-perfusion model." Biotechnic & Histochemistry 0 (2013): 1-11. IHC-P ; Rat. PubMed:24160412 |
| 规格价格 | 50ul/780元 购买 100ul/1380元 购买 200ul/2200元 购买 大包装/询价 |
| 说 明 书 | 50ul 100ul 200ul |
| 研究领域 | 肿瘤 免疫学 神经生物学 合成与降解 |
| 抗体来源 | Rabbit |
| 克隆类型 | Polyclonal |
| 交叉反应 | Human, Mouse, Rat, Pig, Cow, Horse, Rabbit, Sheep, |
| 产品应用 | WB=1:500-2000 ELISA=1:500-1000 IHC-P=1:400-800 IHC-F=1:400-800 Flow-Cyt=1μg/Test IF=1:100-500 (石蜡切片需做抗原修复) not yet tested in other applications. optimal dilutions/concentrations should be determined by the end user. |
| 分 子 量 | 62kDa |
| 细胞定位 | 细胞核 细胞浆 细胞膜 分泌型蛋白 |
| 性 状 | Lyophilized or Liquid |
| 浓 度 | 1mg/ml |
| 免 疫 原 | KLH conjugated synthetic peptide derived from human MMP-2:401-500/662 |
| 亚 型 | IgG |
| 纯化方法 | affinity purified by Protein A |
| 储 存 液 | 0.01M TBS(pH7.4) with 1% BSA, 0.03% Proclin300 and 50% Glycerol. |
| 保存条件 | Store at -20 °C for one year. Avoid repeated freeze/thaw cycles. The lyophilized antibody is stable at room temperature for at least one month and for greater than a year when kept at -20°C. When reconstituted in sterile pH 7.4 0.01M PBS or diluent of antibody the antibody is stable for at least two weeks at 2-4 °C. |
| PubMed | PubMed |
| 产品介绍 | background: This gene is a member of the matrix metalloproteinase (MMP) gene family, that are zinc-dependent enzymes capable of cleaving components of the extracellular matrix and molecules involved in signal transduction. The protein encoded by this gene is a gelatinase A, type IV collagenase, that contains three fibronectin type II repeats in its catalytic site that allow binding of denatured type IV and V collagen and elastin. Unlike most MMP family members, activation of this protein can occur on the cell membrane. This enzyme can be activated extracellularly by proteases, or, intracellulary by its S-glutathiolation with no requirement for proteolytical removal of the pro-domain. This protein is thought to be involved in multiple pathways including roles in the nervous system, endometrial menstrual breakdown, regulation of vascularization, and metastasis. Mutations in this gene have been associated with Winchester syndrome and Nodulosis-Arthropathy-Osteolysis (NAO) syndrome. Alternative splicing results in multiple transcript variants encoding different isoforms. [provided by RefSeq, Oct 2014] Function: Ubiquitinous metalloproteinase that is involved in diverse functions such as remodeling of the vasculature, angiogenesis, tissue repair, tumor invasion, inflammation, and atherosclerotic plaque rupture. As well as degrading extracellular matrix proteins, can also act on several nonmatrix proteins such as big endothelial 1 and beta-type CGRP promoting vasoconstriction. Also cleaves KISS at a Gly-|-Leu bond. Appears to have a role in myocardial cell death pathways. Contributes to myocardial oxidative stress by regulating the activity of GSK3beta. Cleaves GSK3beta in vitro. Involved in the formation of the fibrovascular tissues in association with MMP14. PEX, the C-terminal non-catalytic fragment of MMP2, posseses anti-angiogenic and anti-tumor properties and inhibits cell migration and cell adhesion to FGF2 and vitronectin. Ligand for integrinv/beta3 on the surface of blood vessels. Isoform 2: Mediates the proteolysis of CHUK/IKKA and initiates a primary innate immune response by inducing mitochondrial-nuclear stress signaling with activation of the pro-inflammatory NF-kappaB, NFAT and IRF transcriptional pathways. Subunit: Interacts (via the C-terminal hemopexin-like domains-containing region) with the integrin alpha-V/beta-3; the interaction promotes vascular invasion in angiogenic vessels and melamoma cells. Interacts (via the C-terminal PEX domain) with TIMP2 (via the C-terminal); the interaction inhibits the degradation activity. Interacts with GSK3B. Subcellular Location: Isoform 1: Secreted, extracellular space, extracellular matrix. Membrane. Nucleus. Note=Colocalizes with integrin alphaV/beta3 at the membrane surface in angiogenic blood vessels and melanomas. Found in mitochondria, along microfibrils, and in nuclei of cardiomyocytes. Isoform 2: Cytoplasm. Mitochondrion. Tissue Specificity: Produced by normal skin fibroblasts. PEX is expressed in a number of tumors including gliomas, breast and prostate. Post-translational modifications: Phosphorylation on multiple sites modulates enzymatic activity. Phosphorylated by PKC in vitro. The propeptide is processed by MMP14 (MT-MMP1) and MMP16 (MT-MMP3). Autocatalytic cleavage in the C-terminal produces the anti-angiogenic peptide, PEX. This processing appears to be facilitated by binding integrinv/beta3. DISEASE: Multicentric osteolysis, nodulosis, and arthropathy (MONA) [MIM:259600]: An autosomal recessive syndrome characterized by severe multicentric osteolysis with predominant involvement of the hands and feet. Additional features include coarse face, corneal opacities, patches of thickened, hyperpigmented skin, hypertrichosis and gum hypertrophy. {ECO:0000269|PubMed:11431697, disease is caused by mutations affecting the gene represented in this entry. Similarity: Belongs to the peptidase M10A family. {ECO:0000305}. Contains 3 fibronectin type-II domains. Contains 4 hemopexin repeats. SWISS: P08253 Gene ID: 4313 Database links: Entrez Gene: 4313 Human Entrez Gene: 17390 Mouse Entrez Gene: 81686 Rat Omim: 120360 Human SwissProt: P08253 Human SwissProt: P33434 Mouse SwissProt: P33436 Rat Unigene: 513617 Human Unigene: 29564 Mouse Unigene: 6422 Rat Important Note: This product as supplied is intended for research use only, not for use in human, therapeutic or diagnostic applications. 基质金属蛋白酶(matrix metalloproteinases, MMPs)MMP2是一族依赖锌离子而降解各种细胞外基质的蛋白酶,亦称IV型胶原酶或称明胶酶A,其主要功能为降解IV型胶原,因而它在肿瘤细胞突破基底膜屏障和浸润转移中起重要作用。目前主要用于各种恶性肿瘤(如乳腺癌、胃肠道癌、卵巢癌、膀胱癌等)中的基底膜检测与转移浸润的研究。 |
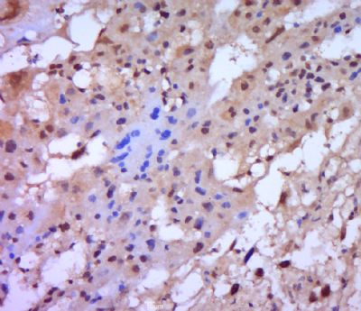
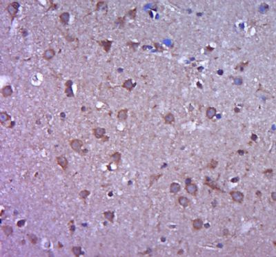
| 产品图片 | ![]() Sample: A431(Human) Cell Lysate at 30 ug Mcf-7(Human) Cell Lysate at 30 ug Primary: Anti-MMP-2 (bs-4599R) at 1/300 dilution Secondary: IRDye800CW Goat Anti-Rabbit IgG at 1/20000 dilution Predicted band size: 62 kD Observed band size: 62 kD ![]() Sample: U87mg Cell (Human) Lysate at 40 ug HT1080 Cell (Human) Lysate at 40 ug Primary: Anti- MMP-2 (bs-4599R) at 1/300 dilution Secondary: IRDye800CW Goat Anti-Rabbit IgG at 1/20000 dilution Predicted band size: 62 kD Observed band size: 65 kD ![]() Sample: Heart (Rabbit) Lysate at 40 ug Primary: Anti-MMP-2 (bs-4599R) at 1/300 dilution Secondary: IRDye800CW Goat Anti-Rabbit IgG at 1/20000 dilution Predicted band size: 62 kD Observed band size: 65 kD ![]() Paraformaldehyde-fixed, paraffin embedded (mouse placenta tissue); Antigen retrieval by boiling in sodium citrate buffer (pH6.0) for 15min; Block endogenous peroxidase by 3% hydrogen peroxide for 20 minutes; Blocking buffer (normal goat serum) at 37°C for 30min; Antibody incubation with (MMP-2) Polyclonal Antibody, Unconjugated (bs-4599R) at 1:400 overnight at 4°C, followed by a conjugated secondary (sp-0023) for 20 minutes and DAB staining. ![]() Paraformaldehyde-fixed, paraffin embedded (human brain glioma); Antigen retrieval by boiling in sodium citrate buffer (pH6.0) for 15min; Block endogenous peroxidase by 3% hydrogen peroxide for 20 minutes; Blocking buffer (normal goat serum) at 37°C for 30min; Antibody incubation with (MMP-2) Polyclonal Antibody, Unconjugated (bs-4599R) at 1:400 overnight at 4°C, followed by a conjugated secondary (sp-0023) for 20 minutes and DAB staining. ![]() Blank control (blue line): Hela (fixed with 80% methanol (5 min at -20℃) and then permeabilized with 0.1% PBS-Tween for 20 min at room temperature). Primary Antibody (green line): Rabbit Anti- MMP2 antibody (bs-4599R),Dilution: 1μg /10^6 cells; Isotype Control Antibody (orange line): Rabbit IgG . Secondary Antibody (white blue line): Goat anti-rabbit IgG-FITC,Dilution: 1μg /test. |
风险提示:丁香通仅作为第三方平台,为商家信息发布提供平台空间。用户咨询产品时请注意保护个人信息及财产安全,合理判断,谨慎选购商品,商家和用户对交易行为负责。对于医疗器械类产品,请先查证核实企业经营资质和医疗器械产品注册证情况。
文献和实验flower1946 菜鸟求助各位大虾,要做miRNA的实验,现已知可以查某个特定miRNA的有哪几个调节靶点,那反过来,如果要查调节某个特定蛋白(如MMP-7)的miRNA,该如何查呢?谢谢! zhujoker 可以使用targscan等软件啊,其实现在很多网站都有了,包括sigma也有一些预测 flower1946 感谢楼上 295546
Assessment of Gelatinases (MMP-2 and MMP-9 by Gelatin Zymography
The invasion and metastasis of tumor cells has been shown to require proteolytic activity in order to degrade components of the extracellular matrix (ECM). The hydrolysis of the ECM appears to facilitate tumor cell migration contributing
Assessment of Gelatinases (MMP-2 and MMP-9) by Gelatin Zymography
family, MMP-2 (gelatinase A) and MMP-9 (gelatinase B), due to their potent gelatin-degrading activity. This polyacrylamide gel electrophoresis-based method can provide a reliable assessment of the type of gelatinase, relative amount, and activation status
技术资料暂无技术资料 索取技术资料

















