相关产品推荐更多 >
万千商家帮你免费找货
0 人在求购买到急需产品
- 详细信息
- 文献和实验
- 技术资料
- 供应商:
上海抚生
- 库存:
52
- 克隆性:
单克隆
- 抗体英文名:
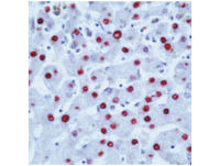
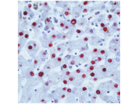
CCNA2 rabbit polyclonal antibody
- 抗体名:
polyclonal antibody
- 宿主:
rabbit
- 适应物种:
Human
- 免疫原:
rabbit
- 应用范围:
ELISA, WB
- 规格:
100 ul
| 产品全名 | 适用物种 | 应用范围 | 规格和包装 | 价格以及说明书 |
| CCNA2 rabbit polyclonal antibody特征 | Human | ELISA, WB | 100 ul | 来电咨询 |
1.采用研钵乳化;
2.直接在旋涡振荡器上乳化;
3.组织捣碎器乳化。
4.少量时,特别是弗氏佐剂与抗原乳化时,常采用注射器乳化,用两个注射器,一个吸入抗原液,一个吸入佐剂,两注射器头以胶管连接,注意一定扎紧,然后来回抽吸。
5.大量乳化时,可采用胶体磨进行。
CCNA2 rabbit polyclonal antibody特征二、乳化效果:
1.取一滴乳化剂滴入水中呈现球形而不分散。如出现平展扩散即为未乳化好。乳化过的物质放置一段时间(在保存期内)出现油水分层也是未乳化好的表现。
2.根据抗原的性质、免疫原性和动物的免疫反应性来决定免疫途径、免疫次数和间隔时间等。 免疫途径包括皮下注射、皮内注射、肌肉注射、静脉注射、腹腔注射以及淋巴结内注射等。可以把各种注射途径联合起来应用,最终以达到效价要求为目的。
形成素2抗体(成蛋白) FMN2
FAM50B蛋白抗体 FAM50B
脂阀结构蛋白1抗体 Flotillin 1
成纤维细胞生长因子17抗体 FGF17
成纤维细胞生长因子23抗体 FGF23
成纤维细胞生长因子20抗体 FGF20
成纤维细胞生长因子19抗体 FGF19
成纤维细胞生长因子22抗体 FGF22
叉头蛋白L2抗体 FOXL2
叉头相关转录因子3抗体 FREAC3
胎球蛋白A Fetuin A
铁蛋白抗体 Ferritin
CCNA2 rabbit polyclonal antibody特征特价促销 甘草皂苷H2 规格:
特价促销 二葡萄糖苷酸 规格:
特价促销 氯化锦葵色素-3-O-阿拉伯糖苷 规格:
特价促销 氯化锦葵色素-3-O-半乳糖苷 规格:
特价促销 氯化锦葵色素-3-Β-葡糖苷 规格:
特价促销 氯化锦葵色素 规格:
风险提示:丁香通仅作为第三方平台,为商家信息发布提供平台空间。用户咨询产品时请注意保护个人信息及财产安全,合理判断,谨慎选购商品,商家和用户对交易行为负责。对于医疗器械类产品,请先查证核实企业经营资质和医疗器械产品注册证情况。
文献和实验Polyclonal Antibody Production
Zealand White Rabbits and have them delivered to the ARC. Don’t put all your eggs in one basket only using one rabbit. Let them get accustomed to there home there for two weeks before the first pre-bleed. Pre-bleed
Polyclonal Antibody Production
Polyclonal Antibody Production Very useful for rapid and simple generation of antibodies for western blots, ELISA assays, and immunoprecipitation. Rabbit Immunization Initial Preparation Your antigen
Generation and Selection of Rabbit Antibody Libraries by Phage Display
The rabbit antibody repertoire is an exceptional source for both polyclonal antibodies (pAbs) and monoclonal antibodies (mAbs) that combine high specificity with high avidity and affinity, respectively. In contrast to rabbit pAbs
技术资料暂无技术资料 索取技术资料









