相关产品推荐更多 >
万千商家帮你免费找货
0 人在求购买到急需产品
- 详细信息
- 技术资料
- 供应商:
上海联迈生物工程有限公司
- 库存:
大量
- 目录编号:
LM-12034R
- 克隆性:
多克隆
- 抗原来源:
Rabbit
- 保质期:
1年
- 抗体英文名:
GODZ
- 抗体名:
棕榈酰转移酶GODZ抗体
- 宿主:
Rabbit
- 适应物种:
Human, Mouse, Rat, Dog, Cow, Horse, Sheep,
- 免疫原:
KLH conjugated synthetic peptide derived from human GODZ/ZNF373:230-327/327
- 亚型:
IgG
- 形态:
Lyophilized or Liquid
- 应用范围:
WB=1:500-2000 ELISA=1:500-1000 IHC-P=1:400-800 IHC-F=1:400-800 ICC=1:100-500 IF=1:100-500 (石蜡切片需做抗原修复)
- 浓度:
1mg/ml
- 保存条件:
Store at -20 °C
- 规格:
100ul 200ul
GODZ棕榈酰转移酶GODZ抗体
| 英文名称 | GODZ |
| 中文名称 | 棕榈酰转移酶GODZ抗体 |
| 别 名 | DHHC-3; GABA-A receptor-associated membrane protein 1; Golgi-specific DHHC zinc finger protein; Gramp1; Palmitoyltransferase ZDHHC3; Protein DHHC1; ZDHC3; ZDHC3_HUMAN; Zdhhc3; Zinc finger DHHC domain-containing protein 3; Zinc finger protein 373; ZNF373. |
| 规格价格 | 100ul/1380元 购买 200ul/2200元 购买 大包装/询价 |
| 说 明 书 | 100ul 200ul |
| 研究领域 | 神经生物学 信号转导 细胞膜受体 锌指蛋白 G蛋白信号 |
| 抗体来源 | Rabbit |
| 克隆类型 | Polyclonal |
| 交叉反应 | Human, Mouse, Rat, Dog, Cow, Horse, Sheep, |
| 产品应用 | WB=1:500-2000 ELISA=1:500-1000 IHC-P=1:400-800 IHC-F=1:400-800 ICC=1:100-500 IF=1:100-500 (石蜡切片需做抗原修复) not yet tested in other applications. optimal dilutions/concentrations should be determined by the end user. |
| 分 子 量 | 37kDa |
| 细胞定位 | 细胞浆 细胞膜 |
| 性 状 | Lyophilized or Liquid |
| 浓 度 | 1mg/ml |
| 免 疫 原 | KLH conjugated synthetic peptide derived from human GODZ/ZNF373:230-327/327 |
| 亚 型 | IgG |
| 纯化方法 | affinity purified by Protein A |
| 储 存 液 | 0.01M TBS(pH7.4) with 1% BSA, 0.03% Proclin300 and 50% Glycerol. |
| 保存条件 | Store at -20 °C for one year. Avoid repeated freeze/thaw cycles. The lyophilized antibody is stable at room temperature for at least one month and for greater than a year when kept at -20°C. When reconstituted in sterile pH 7.4 0.01M PBS or diluent of antibody the antibody is stable for at least two weeks at 2-4 °C. |
| PubMed | PubMed |
| 产品介绍 | background: Golgi-specific DHHC (Asp-His-His-Cys) zinc finger protein (GODZ), also known as, Palmitoyltransferase ZDHHC3 or Zinc finger protein 373, is a 327 amino acid protein member of the DHHC palmitoyltransferase family. Localized to the Golgi apparatus membrane, GODZ contains one DHHC-type zinc finger, which is necessary for its palmitoyltransferase activity. GODZ has been implicated in the palmitoylation and regulated trafficking of diverse substrates that function various inhibitory and excitatory synapses. Specifically, it palmitoylates the gamma subunit 2 of GABA(A) receptors, which leads to normal synaptic GABAergic inhibitory function. GODZ also palmitoylates glutamate receptors GRIA1 and GRIA2, which leads to their retention in Golgi. Two isoforms of GODZ exist as a result of alternative splicing events. Function: Palmitoyltransferase with broad specificity. Palmitoylates GABA receptors on their gamma subunit (GABRG1, GABRG2 and GABRG3), which regulates synaptic clustering and/or cell surface stability. Palmitoylates glutamate receptors GRIA1 and GRIA2, which leads to their retention in Golgi. Subcellular Location: Golgi apparatus membrane. Post-translational modifications: Autopalmitoylated. Similarity: Belongs to the DHHC palmitoyltransferase family. Contains 1 DHHC-type zinc finger. SWISS: Q9NYG2 Gene ID: 51304 Database links: Entrez Gene: 51304 Human Entrez Gene: 69035 Mouse Entrez Gene: 301081 Rat SwissProt: Q9NYG2 Human SwissProt: Q8R173 Mouse Unigene: 61430 Human Unigene: 28300 Mouse Unigene: 8573 Rat Important Note: This product as supplied is intended for research use only, not for use in human, therapeutic or diagnostic applications. |
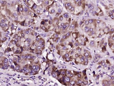
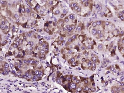
| 产品图片 | ![]() Sample: Muscle (Mouse) Lysate at 40 ug Primary: Anti-GODZ (bs-12034R) at 1/300 dilution Secondary: IRDye800CW Goat Anti-Rabbit IgG at 1/20000 dilution Predicted band size: 37 kD Observed band size: 37 kD ![]() Paraformaldehyde-fixed, paraffin embedded (human liver carcinoma); Antigen retrieval by boiling in sodium citrate buffer (pH6.0) for 15min; Block endogenous peroxidase by 3% hydrogen peroxide for 20 minutes; Blocking buffer (normal goat serum) at 37°C for 30min; Antibody incubation with (GODZ) Polyclonal Antibody, Unconjugated (bs-12034R) at 1:400 overnight at 4°C, followed by operating according to SP Kit(Rabbit) (sp-0023) instructionsand DAB staining. |
风险提示:丁香通仅作为第三方平台,为商家信息发布提供平台空间。用户咨询产品时请注意保护个人信息及财产安全,合理判断,谨慎选购商品,商家和用户对交易行为负责。对于医疗器械类产品,请先查证核实企业经营资质和医疗器械产品注册证情况。
技术资料暂无技术资料 索取技术资料
GODZ棕榈酰转移酶GODZ抗体
¥1380 - 2200











