相关产品推荐更多 >
万千商家帮你免费找货
0 人在求购买到急需产品
- 详细信息
- 文献和实验
- 技术资料
- 供应商:
上海联迈生物工程有限公司
- 库存:
大量
- 目录编号:
LM-11768R
- 克隆性:
多克隆
- 抗原来源:
Rabbit
- 保质期:
1年
- 抗体英文名:
TDRD3
- 抗体名:
Tudor结构域蛋白TDRD3抗体
- 宿主:
Rabbit
- 适应物种:
Human, Mouse, Rat, Chicken, Pig, Horse, Rabbit,
- 免疫原:
KLH conjugated synthetic peptide derived from human TDRD3 (161-250aa):161-250/651
- 亚型:
IgG
- 形态:
Lyophilized or Liquid
- 应用范围:
WB=1:500-2000 ELISA=1:500-1000 IHC-P=1:400-800 IHC-F=1:400-800 ICC=1:100-500 IF=1:100-500 (石蜡切片需做抗原修复)
- 浓度:
1mg/ml
- 保存条件:
Store at -20 °C
- 规格:
100ul 200ul
| 英文名称 | TDRD3 |
| 中文名称 | Tudor结构域蛋白TDRD3抗体 |
| 别 名 | TDRD 3; tdrd3; TDRD3_HUMAN; Tudor domain containing 3; Tudor domain containing protein 3; Tudor domain-containing protein 3; 4732418C03Rik; 6720468N18; FLJ21007; OTTHUMP00000018485. |
| 规格价格 | 100ul/1380元 购买 200ul/2200元 购买 大包装/询价 |
| 说 明 书 | 100ul 200ul |
| 研究领域 | 细胞生物 神经生物学 表观遗传学 |
| 抗体来源 | Rabbit |
| 克隆类型 | Polyclonal |
| 交叉反应 | Human, Mouse, Rat, Chicken, Pig, Horse, Rabbit, |
| 产品应用 | WB=1:500-2000 ELISA=1:500-1000 IHC-P=1:400-800 IHC-F=1:400-800 ICC=1:100-500 IF=1:100-500 (石蜡切片需做抗原修复) not yet tested in other applications. optimal dilutions/concentrations should be determined by the end user. |
| 分 子 量 | 73kDa |
| 细胞定位 | 细胞核 细胞浆 |
| 性 状 | Lyophilized or Liquid |
| 浓 度 | 1mg/ml |
| 免 疫 原 | KLH conjugated synthetic peptide derived from human TDRD3 (161-250aa):161-250/651 |
| 亚 型 | IgG |
| 纯化方法 | affinity purified by Protein A |
| 储 存 液 | 0.01M TBS(pH7.4) with 1% BSA, 0.03% Proclin300 and 50% Glycerol. |
| 保存条件 | Store at -20 °C for one year. Avoid repeated freeze/thaw cycles. The lyophilized antibody is stable at room temperature for at least one month and for greater than a year when kept at -20°C. When reconstituted in sterile pH 7.4 0.01M PBS or diluent of antibody the antibody is stable for at least two weeks at 2-4 °C. |
| PubMed | PubMed |
| 产品介绍 | background: Tudor domain containing 3 is a 651 amino acid protein that localizes to both the nucleus and the cytoplasm and contains one UBA domain and one tudor domain. Expressed in lung, brain, heart, liver, placenta, kidney, pancreas and skeletal muscle, TDRD3 exists as a component of mRNA stress granules and is thought to play a role in the translation of target mRNAs, as well as in the assembly and disassembly of stress granules. Multiple isoforms of TDRD3 exist due to alternative splicing events. The gene encoding TDRD3 maps to human chromosome 13, which houses over 400 genes, such as BRCA2 and RB1, and comprises nearly 4% of the human genome. Trisomy 13, also known as Patau syndrome, is deadly and the few who survive past one year suffer from permanent neurologic defects, difficulty eating and vulnerability to serious respiratory infections. Function: Scaffolding protein that specifically recognizes and binds dimethylarginine-containing proteins. In nucleus, acts as a coactivator: recognizes and binds asymmetric dimethylation on the core histone tails associated with transcriptional activation (H3R17me2a and H4R3me2a) and recruits proteins at these arginine-methylated loci. In cytoplasm, may play a role in the assembly and/or disassembly of mRNA stress granules and in the regulation of translation of target mRNAs by binding Arg/Gly-rich motifs (GAR) in dimethylarginine-containing proteins. Subunit: Component of mRNA stress granules. Interacts with FMR1, FXR1, FXR2, EWSR1, FUS, SERBP1, EEF1A1 and DDX3X or DDX3Y, and with the small nuclear ribonucleoprotein-associated proteins SNRPB and SNRPN. Interacts with 'Lys-48'-linked tetra-ubiquitin, but not with monoubiquitin or 'Lys-63'-linked ubiquitin chains. Subcellular Location: Cytoplasm. Nucleus. Predominantly cytoplasmic. Associated with actively translating polyribosomes and with mRNA stress granules. Tissue Specificity: Detected in heart, brain, placenta, lung, liver, skeletal muscle, kidney and pancreas. Similarity: Contains 1 Tudor domain. Contains 1 UBA domain. SWISS: Q9H7E2 Gene ID: 81550 Database links: Entrez Gene: 418823 Chicken Entrez Gene: 452750 Chimpanzee Entrez Gene: 537918 Cow Entrez Gene: 81550 Human Entrez Gene: 219249 Mouse Entrez Gene: 306066 Rat Entrez Gene: 431810 Xenopus laevis Entrez Gene: 395019 Xenopus tropicalis Omim: 614392 Human SwissProt: Q5ZMS6 Chicken SwissProt: Q2HJG4 Cow SwissProt: Q9H7E2 Human SwissProt: Q91W18 Mouse SwissProt: Q66HC1 Rat SwissProt: Q6NRP6 Xenopus laevis SwissProt: Q6P1U3 Xenopus tropicalis Important Note: This product as supplied is intended for research use only, not for use in human, therapeutic or diagnostic applications. |
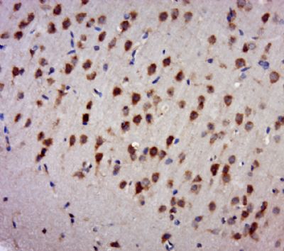
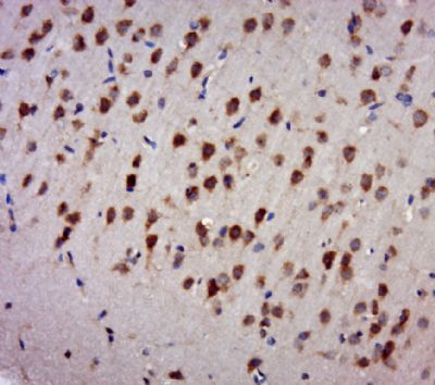
| 产品图片 | ![]() Sample: Brain (Mouse) Lysate at 40 ug Primary: Anti- TDRD3 (bs-11768R) at 1/300 dilution Secondary: IRDye800CW Goat Anti-Rabbit IgG at 1/20000 dilution Predicted band size: 73kD Observed band size: 73kD ![]() Sample: pc-3 Cell (Human) Lysate at 30 ug Primary: Anti-TDRD3 (bs-11768R) at 1/300 dilution Secondary: IRDye800CW Goat Anti-Rabbit IgG at 1/20000 dilution Predicted band size: 73 kD Observed band size: 77 kD ![]() Paraformaldehyde-fixed, paraffin embedded (rat brain tissue); Antigen retrieval by boiling in sodium citrate buffer (pH6.0) for 15min; Block endogenous peroxidase by 3% hydrogen peroxide for 20 minutes; Blocking buffer (normal goat serum) at 37°C for 30min; Antibody incubation with (TDRD3) Polyclonal Antibody, Unconjugated (bs-11768R) at 1:400 overnight at 4°C, followed by a conjugated secondary (sp-0023) for 20 minutes and DAB staining. |
风险提示:丁香通仅作为第三方平台,为商家信息发布提供平台空间。用户咨询产品时请注意保护个人信息及财产安全,合理判断,谨慎选购商品,商家和用户对交易行为负责。对于医疗器械类产品,请先查证核实企业经营资质和医疗器械产品注册证情况。
文献和实验独体—基于纤连蛋白类型Ⅲ结构域框架的抗体模拟 Akiko Koide and Shohei Koide
1. 介绍 蛋白质工程的一个主要目的是生产能够与特定靶分子结合的新的生物分子。这样的分子会应用于生物技术的许多领域,包括诊断、治疗和催化。虽然存在大量的天然蛋白,可供这些应用和开发,但用工程手段制造新的、有用的生物分子的办法仍是有吸引力的。 因为,它不受天然生物分子可用性的限制。抗体的基本构架中可变的链套呈现在基本不变的框架上,以及抗体工程的成功启发了一些研究组去发展“分子框架”[ 1,2] 。这些努力的主要目标一直是在保留呈递多重肽片段以与靶分子结合的能力的同时,克服抗体和抗体
Science 背靠背!施一公、黄志伟团队同日揭开 B 细胞受体复合物的神秘面纱
载体上,同时使用共表达方式,通过表达内质网蛋白 pERp1,pERp1 可以促进 IgM 二硫键的形成,二硫键有助于 IgM-BCR 正确折叠和结构稳定。 在完成蛋白的表达和纯化后,在溶液中加入抗体偶联药物 Polatuzumab vedotin 的 Fab 片段,最后通过冷冻电镜解析了第一个人源 IgM 同种型 B 细胞受体复合物 3.3Å 的高分辨率结构。 这篇文章所获得的结构,包含了复合物几乎胞外结构域以及所有跨膜区域, 包含一个 mIgM 和一个 Igα/Igβ 异源二聚体复合物。除此之外
Nature:施一 / 高福团队揭示埃博拉病毒聚合酶工作的分子机制
(VP24)结合,并被基质蛋白(VP40)环绕,进一步与病毒表面刺突糖蛋白(GP)形成完整病毒颗粒。病毒表面 GP 蛋白在细胞入侵和免疫逃逸方面发挥着重要作用。目前已上市的两款针对扎伊尔型埃博拉病毒的抗体药物,其作用靶点就是埃博拉病毒表面 GP 蛋白。但是抗体药物在制造成本、存储和使用便利性上面具有局限性,而且病毒 GP 蛋白在宿主免疫压力下容易发生免疫逃逸,造成抗体药物效果变差甚至无效。此外由于抗体药物的特异性,无法用于治疗其他类型埃博拉病毒以及马尔堡病毒等丝状病毒。因此,开发有效安全的广谱性抗病
技术资料暂无技术资料 索取技术资料













